Protara Therapeutics
TARA
#8278
Rank
$0.25 B
Marketcap
$4.60
Share price
-9.80%
Change (1 day)
34.50%
Change (1 year)

Protara Therapeutics - 10-K annual report 2019


Text size:
 

UNITED STATES

SECURITIES AND EXCHANGE COMMISSION

WASHINGTON, D.C. 20549

 

Form 10-K

 

(Mark One)

ANNUAL REPORT PURSUANT TO SECTION 13 OR 15(d) OF THE SECURITIES EXCHANGE ACT OF 1934

For the fiscal year ended December 31, 2019

Or

TRANSITION REPORT PURSUANT TO SECTION 13 OR 15(d) OF THE SECURITIES EXCHANGE ACT OF 1934

For the transition period from to

Commission File Number: 001-36694

 

ARTARA THERAPEUTICS, INC.

(Exact Name of Registrant as Specified in Its Charter)

 

Delaware

(State or Other Jurisdiction of
Incorporation or Organization)

 

20-4580525

(I.R.S. Employer

Identification Number)

 

1 Little West 12th Street

New York, NY

(Address of Principal Executive Offices)

10014
(Zip Code)

 

Registrant’s telephone number, including area code:

(646) 844-0337

 

Securities registered pursuant to Section 12(b) of the Act:

Title of each class

Trading Symbol(s)

Name of each exchange on which
registered

Common Stock, par value $0.001 per
share
TARAThe Nasdaq Capital Market

Securities registered pursuant to Section 12(g) of the Act: None

 

Indicate by check mark if the registrant is a well-known seasoned issuer, as defined in Rule 405 of the Securities Act. Yes No

 

Indicate by check mark if the registrant is not required to file reports pursuant to Section 13 or 15(d) of the Securities Exchange Act of 1934. Yes No

 

Indicate by check mark whether the registrant (1) has filed all reports required to be filed by Section 13 or 15(d) of the Securities Exchange Act of 1934 during the preceding 12 months (or for such shorter period that the registrant was required to file such reports), and (2) has been subject to such filing requirements for the past 90 days. Yes No

 

Indicate by check mark whether the registrant has submitted electronically every Interactive Data File required to be submitted pursuant to Rule 405 of Regulation S-T (§ 232.405 of this chapter) during the preceding 12 months (or for such shorter period that the registrant was required to submit such files). Yes No

 

Indicate by check mark whether the registrant is a large accelerated filer, an accelerated filer, a non-accelerated filer, a smaller reporting company, or an emerging growth company. See definitions of “large accelerated filer”, “accelerated filer”, “smaller reporting company” and “emerging growth company” in Rule 12b-2 of the Securities Exchange Act of 1934:

Large accelerated filerAccelerated filer
Non-accelerated filerSmaller reporting company
 Emerging growth company

 

If an emerging growth company, indicate by check mark if the registrant has elected not to use the extended transition period for complying with any new or revised financial accounting standards provided pursuant to Section 13(a) of the Exchange Act.

 

Indicate by check mark whether the registrant is a shell company (as defined in Rule 12b-2 of the Securities Exchange Act of 1934). Yes No

 

As of June 28, 2019, the last business day of the registrant’s most recently completed second fiscal quarter, the aggregate market value of the registrant’s common stock held by non-affiliates of the registrant was approximately $5.8 million, based on the closing price of the registrant’s common stock on the Nasdaq Capital Market on June 28, 2019 of $0.42 per share.

 

 

As of March 19, 2020, 5,843,203 shares of the registrant’s common stock, $0.001 par value, were outstanding.

 

DOCUMENTS INCORPORATED BY REFERENCE

 

Portions of the registrant’s definitive Proxy Statement to be filed with the Securities and Exchange Commission by April 29, 2020 are incorporated by reference into Part III of this report.

 

 

 

 

 

ARTARA THERAPEUTICS, INC.

 

TABLE OF CONTENTS

FORM 10-K

For the Year Ended December 31, 2019

 

 

 Page
PART I1
Item 1.   Business.2
Item 1A.   Risk Factors.33
Item 1B.   Unresolved Staff Comments.56
Item 2.   Properties.56
Item 3.   Legal Proceedings.56
Item 4.   Mine Safety Disclosures.56
PART II57
Item 5.   Market for Registrant’s Common Equity, Related Stockholder Matters and Issuer Purchases of Equity Securities.57
Item 6.   Selected Financial Data.57
Item 7.   Management’s Discussion and Analysis of Financial Condition and Results of Operations.58
Item 7A.   Quantitative and Qualitative Disclosures About Market Risk64
Item 8.   Financial Statements and Supplementary Data.64
Item 9.   Changes in and Disagreements With Accountants on Accounting and Financial Disclosure.64
Item 9A.   Controls and Procedures.64
Item 9B.   Other Information65
PART III66
Item 10.   Directors, Executive Officers and Corporate Governance.66
Item 11.   Executive Compensation.66
Item 12.   Security Ownership of Certain Beneficial Owners and Management and Related Stockholder Matters.66
Item 13.   Certain Relationships and Related Transactions, and Director Independence.66
Item 14.   Principal Accountant Fees and Services.66
PART IV67
Item 15.   Exhibits and Financial Statement Schedules.67
Item 16.   Form 10-K Summary71

 

 i 

 

 

PART I 

 

FORWARD-LOOKING STATEMENTS

 

This report and the information incorporated herein by reference contain forward-looking statements that involve a number of risks and uncertainties, as well as assumptions that, if they never materialize or prove incorrect, could cause our results to differ materially from those expressed or implied by such forward-looking statements. Although our forward-looking statements reflect the good faith judgment of our management, these statements can only be based on facts and factors currently known by us. Consequently, forward-looking statements are inherently subject to risks and uncertainties, and actual results and outcomes may differ materially from results and outcomes discussed in the forward-looking statements. In addition, statements that “we believe” and similar statements reflect our beliefs and opinions on the relevant subject. These statements are based upon information available to us as of the date of this report, and while we believe such information forms a reasonable basis for such statements, such information may be limited or incomplete, and our statements should not be read to indicate that we have conducted an exhaustive inquiry into, or review of, all potentially available relevant information. These statements are inherently uncertain and you are cautioned not to unduly rely upon these statements.

 

The forward-looking statements are contained principally in the sections entitled “Business,” “Risk Factors,” and “Management’s Discussion and Analysis of Financial Condition and Results of Operations.” All statements, other than statements of historical facts, contained in this document, including statements regarding our business, operations and financial performance and conditions, as well as our plans, objectives and expectations for our business operations and financial performance and condition, are forward-looking statements. These statements relate to future events or to our future financial performance and involve known and unknown risks, uncertainties and other factors which may cause our actual results, performance or achievements to be materially different from any future results, performance or achievements expressed or implied by the forward-looking statements. The words “anticipate,” “believe,” “continue,” “could,” “estimate,” “expect,” “intend,” “may,” “might,” “plan,” “predict,” “project,” “potential,” “should,” “target,” “will,” “would,” or the negative of those terms and similar expressions are intended to identify forward-looking statements, although not all forward-looking statements contain these identifying words.

 

The forward-looking statements in this report include, among other things, statements about:

 

estimates regarding our financial performance, including future revenue, expenses and capital requirements;

 

our expected cash position and ability to obtain financing in the future on satisfactory terms or at all;

 

expectations regarding the our plans to research, develop and commercialize our current and future product candidates, including TARA-002, and IV Choline Chloride;

 

expectations regarding the safety and efficacy of our product candidates;

 

expectations regarding the timing, costs and outcomes of our planned clinical trials;

 

expectations regarding potential market size;

 

expectations regarding the timing of the availability of data from our clinical trials;

 

expectations regarding the clinical utility, potential benefits and market acceptance of our product candidates;

 

expectations regarding our commercialization, marketing and manufacturing capabilities and strategy;

 

the implementation of our business model, strategic plans for our business, product candidates and technology;

 

expectations regarding our ability to identify additional products or product candidates with significant commercial potential;

 

developments and projections relating to the combined our competitors and industry;

 

our ability to remain listed on the Nasdaq Capital Market;

 

 1 

 

 

the impact of government laws and regulations;

 

the timing or likelihood of regulatory filings and approvals; and

 

our ability to protect our intellectual property position.

 

We may not actually achieve the plans, intentions or expectations disclosed in our forward-looking statements, and you should not place undue reliance on our forward-looking statements. Forward-looking statements should be regarded solely as our current plans, estimates and beliefs. Actual results or events could differ materially from the plans, intentions and expectations disclosed in the forward-looking statements we make. We have included important factors in the cautionary statements included in this document, particularly in the “Risk Factors” section, that we believe could cause actual results or events to differ materially from the forward-looking statements that we make. Moreover, we operate in a very competitive and rapidly changing environment. New risks emerge from time to time. It is not possible for our management to predict all risks, nor can we assess the impact of all factors on our business or the extent to which any factor, or combination of factors, may cause actual results to differ materially from those contained in any forward-looking statements we may make. Our forward-looking statements do not reflect the potential impact of any future acquisitions, mergers, dispositions, joint ventures or investments we may make.

 

We undertake no obligation to revise or publicly release the results of any revision to these forward-looking statements, except as required by law. Given these risks and uncertainties, readers are cautioned not to place undue reliance on such forward-looking statements. All forward-looking statements are qualified in their entirety by this cautionary statement.

 

Item 1.Business.

 

Merger of Proteon Therapeutics, Inc. and ArTara Therapeutics, Inc.

 

On January 9, 2020, ArTara Therapeutics, Inc. (formerly Proteon Therapeutics, Inc., the “Company”), and privately-held ArTara Subsidiary, Inc. (“Private ArTara”), completed the merger and reorganization, or the Merger, in accordance with the terms of the Agreement and Plan of Merger and Reorganization, dated September 23, 2019, or the Merger Agreement, by and among the Company, Private ArTara and REM 1 Acquisition, Inc., a wholly owned subsidiary of the Company (“Merger Sub”), whereby Merger Sub merged with and into Private ArTara, with Private ArTara surviving as a wholly owned subsidiary of the Company. The Merger was structured as a reverse merger and Private ArTara was determined to be the accounting acquirer based on the terms of the Merger and other factors.

 

On January 9, 2020, in connection with, and prior to the completion of, the Merger, the Company effected a 1-for-40 reverse stock split of its common stock, or the Reverse Stock Split, Private ArTara changed its name from “ArTara Therapeutics, Inc.” to “ArTara Subsidiary, Inc.”, and the Company changed its name from “Proteon Therapeutics, Inc.” to “ArTara Therapeutics, Inc.” All share and per share amounts presented in this annual report on Form 10-K have been adjusted to reflect the Reverse Stock Split. In addition, immediately following the closing of the Private Placement (defined below), all of the outstanding shares of the Company’s Series A Preferred Stock were converted into shares of the Company’s common stock. Shares of the Company’s common stock commenced trading on The Nasdaq Capital Market under the new name and ticker symbol “TARA” as of market open on January 10, 2020. Unless otherwise noted, all references to share amounts in this Annual Report, including references to shares or options issued in connection with the Merger and the Financing (as defined below), reflect the Reverse Stock Split.

 

Under the terms of the Merger Agreement, the Company issued shares of its common stock (“Common Stock”) to Private ArTara’s stockholders, at an exchange ratio of 0.190756 shares of Common Stock, after taking into account the Reverse Stock Split, for each share of Private ArTara common stock outstanding immediately prior to the Merger. ArTara assumed all of the outstanding and unexercised stock options of Private ArTara, with such stock options now representing the right to purchase a number of shares of Common Stock equal to 0.190756 multiplied by the number of shares of Private ArTara common stock previously represented by such Private ArTara stock options. The Company also assumed all of the unvested Private ArTara restricted stock awards, which were exchanged for a number of shares of Common Stock equal to 0.190756 multiplied by the number of shares of Private ArTara common stock previously represented by such Private ArTara restricted stock awards and unvested to the same extent as such Private ArTara restricted stock awards and subject to the same restrictions as such Private ArTara restricted stock awards.

 

The shares of Common Stock issued to the former stockholders of Private ArTara were registered with the U.S. Securities and Exchange Commission (the “SEC”) on a Registration Statement on Form S-4 (Reg. No. 333-234549) (the “Registration Statement”).

 

 2 

 

 

Prior to the Merger, we entered into a Subscription Agreement (the “Subscription Agreement”) on September 23, 2019 with certain institutional investors (the “Purchasers”) which agreement was amended on November 19, 2019. Pursuant to the Subscription Agreement, as amended, the Company agreed to sell and issue shares of Common Stock and shares of the Company’s newly designated Series 1 Convertible Non-Voting Preferred Stock, par value $0.001 per share (the “Series 1 Preferred Stock”), in a private placement transaction (the “Private Placement”), as previously disclosed in the Company’s Current Report on Form 8-K filed with the SEC on September 24, 2019. The closing of the Private Placement was completed on January 9, 2020.

 

At the closing, the Company sold and issued to the Purchasers 1,896,888 shares of Common Stock at a purchase price of approximately $7.01 per share (the “Common Stock Purchase Price”), and 3,879.356 shares of Series 1 Preferred Stock at a purchase price of $7,011.47 per share, for an aggregate purchase price of approximately $40.5 million.

 

At the special meeting of the Company’s stockholders held on January 9, 2020 (the “Special Meeting”), the Company’s stockholders approved (1) an amendment to the sixth amended and restated certificate of incorporation of the Company (the “Stock Split Amendment”) to effect the Reverse Stock Split of the Common Stock and to change the Company’s name from “Proteon Therapeutics, Inc.” to “ArTara Therapeutics, Inc.” (the “Name Change”); and (2) an amendment to the sixth amended and restated certificate of incorporation of the Company (together with the Stock Split Amendment, the “Pre-Effective Time Charter Amendment”) to effect the conversion of all of the outstanding shares of the Company’s Series A Convertible Preferred Stock into shares of Common Stock (the “Series A Preferred Automatic Conversion”).

 

On January 9, 2020, immediately prior to the closing of the Merger, the Company filed the Pre-Effective Time Charter Amendment with the Secretary of State of the State of Delaware to effect the Reverse Stock Split and the Name Change. As a result of the Reverse Stock Split, the number of issued and outstanding shares of Common Stock immediately prior to the Reverse Stock Split was reduced to a smaller number of shares, such that every 40 shares of Common Stock held by a stockholder immediately prior to the Reverse Stock Split were combined and reclassified into one share of the Company’s common stock. Immediately following the Reverse Stock Split, there were approximately 557,631 million shares of Common Stock outstanding.

 

No fractional shares were issued in connection with the Reverse Stock Split. Any fractional shares resulting from the Reverse Stock Split were rounded down to the nearest whole number, and each stockholder who would otherwise be entitled to a fraction of a share of Common Stock upon the Reverse Stock Split (after aggregating all fractions of a share to which such stockholder would otherwise be entitled) is, in lieu thereof, entitled to receive a cash payment determined by multiplying the fraction of a share of Common Stock to which each stockholder would otherwise be entitled by the closing price of the Common Stock on the Nasdaq Capital Market on the date immediately prior to the date on which the Reverse Stock Split is affected.

 

On January 9, 2020, immediately following the closing of the Private Placement, the Series A Preferred Automatic Conversion became effective pursuant to the Pre-Effective Time Charter Amendment. As a result of the Series A Preferred Automatic Conversion, the 18,954 outstanding shares of the Company’s Series A Convertible Preferred Stock were converted into 476,276 shares of Common Stock (on a post-Reverse Stock Split basis).

 

On January 9, 2020, the Company filed a Certificate of Designation of Preferences, Rights and Limitations of Series 1 Convertible Non-Voting Preferred Stock (the “Certificate of Designation”) with the Secretary of State of the State of Delaware. The Certificate of Designation establishes and designates the Series 1 Preferred Stock, and the rights, preferences and privileges thereof.

 

Each share of Series 1 Preferred Stock is convertible into 1,000 shares of Common Stock, at a conversion price initially equal to the Common Stock Purchase Price, subject to adjustment for any stock splits, stock dividends and similar events, at any time at the option of the holder, provided that any conversion of Series 1 Preferred Stock by a holder into shares of Common Stock would be prohibited if, as a result of such conversion, the holder, together with its affiliates and any other person or entity whose beneficial ownership of the common stock would be aggregated with such holder’s for purposes of Section 13(d) of the Securities Exchange Act of 1934, as amended, would beneficially own more than 9.99% of the total number of shares Common Stock issued and outstanding after giving effect to such conversion. Upon written notice to the Company, the holder may from time to time increase or decrease such limitation to any other percentage not in excess of 19.99% specified in such notice. Each share of Series 1 Preferred Stock is entitled to a preference of $10.00 per share upon liquidation of the Company, and thereafter will share ratably in any distributions or payments on an as-converted basis with the holders of Common Stock. In addition, upon the occurrence of certain transactions that involve the merger or consolidation of the Company, an exchange or tender offer, a sale of all or substantially all of the assets of the Company or a reclassification of its common stock, each share of Series 1 Preferred Stock will be convertible into the kind and amount of securities, cash and/or other property that the holder of a number of shares of Common Stock issuable upon conversion of one share of Series 1 Preferred Stock would receive in connection with such transaction.

 

 3 

 

 

The Company was originally incorporated in Delaware in March 2006, and at that time, acquired Proteon Therapeutics, LLC, the predecessor of ArTara, which was formed in June 2001.

 

Unless the context requires otherwise, references in this Annual Report to “ArTara”, “TARA”, “we”, “us”, the “Company” and “our” refer to ArTara Therapeutics, Inc. (formerly Proteon Therapeutics, Inc.).

 

Our principal executive offices are located at 1 Little West 12th Street, New York, New York 10014, our telephone number is (646) 844-0337 and our website address is www.artaratx.com. Annual Reports on Form 10-K, Quarterly Reports on Form 10-Q, Current Reports on Form 8-K, and amendments to reports filed pursuant to Sections 13(a) and 15(d) of the Securities Exchange Act of 1934, as amended, or the Exchange Act, will be made available free of charge on our website as soon as reasonably practicable after we electronically file such material with, or furnish it to, the Securities and Exchange Commission, or SEC. The contents of our website are not incorporated into this Annual Report and our reference to the URL for our website is intended to be an inactive textual reference only. The information contained on, or that can be accessed through, our website is not a part of this document.

 

Company Overview

 

Prior to the Merger, we were a late-stage biopharmaceutical company focused on the development of novel, first-in-class pharmaceuticals to address the needs of patients with renal and vascular disease. After the Merger, we became a company that is committed to identifying and advancing transformative therapies for people with rare and specialty diseases. The Company prioritizes creativity, diverse perspectives and tenacity to expedite our goal of bringing life-changing therapies to people with limited treatment options, including our current development programs focused on the treatment of rare diseases in structural disorders as well as rare hepatology/gastrointestinal and metabolic disorders.

 

We are a development-stage, clinical biopharmaceutical company focused on bringing life-saving therapies to patients who suffer from rare and specialty diseases. The company’s core strategy is to identify and acquire or license overlooked or undervalued products or product candidates and modernize or optimize development programs for these assets. ArTara’s current development programs focus on therapeutics for rare structural disorders as well as rare hepatology/gastrointestinal and metabolic disorders.

 

TARA-002 / OK-432

 

TARA-002, ArTara’s lead program, is a follow-on biologic of the immunotherapy OK-432 (marketed as Picibanil® in Japan and Taiwan by Chugai Pharmaceutical Co., Ltd. (Chugai Pharmaceutical)). ArTara expects to utilize the same regulatory starting materials as OK-432 and manufacture TARA-002 using an updated version of the same proprietary processes used to manufacture OK-432. Functionally, ArTara’s lead product is OK-432. ArTara has designated this product as TARA-002 in order to differentiate the regulatory path in the United States and other geographies from that of OK-432 in Japan.

 

TARA-002 is a cell therapy developed from the master cell line of the same genetically distinct Streptococcus pyogenes (group A, type 3) Su strain as OK-432 and will be manufactured in a similar manner following Good Manufacturing Practices (GMP). ArTara believes that these two factors will result in a product that is comparable to OK-432 such that for the development and regulatory applications of TARA-002, it can use the historic data and literature amassed for OK-432 in the four decades since it was first approved in Japan.

 

ArTara entered into an agreement with Chugai Pharmaceutical in June 2019 to support ArTara’s development of TARA-002. The agreement provides ArTara with exclusive access, for a limited period, to certain materials and documents relating to OK-432 including the master cell bank of Streptococcus pyogenes used in the manufacture of OK-432. Additionally, the agreement provides technical support during a certain period. ArTara plans to utilize the materials, proprietary manufacturing process and technical support provided by Chugai Pharmaceutical to produce TARA-002 at a GMP-compliant facility in the United States. Under the agreement with Chugai Pharmaceutical, ArTara will have sole responsibility for the development and commercialization of TARA-002 worldwide, excluding Japan and Taiwan.

 

In Japan, OK-432 is indicated for: the treatment of lymphangiomas (lymphatic malformations); the prolongation of survival time in patients with gastric cancer (postoperative cases) or primary lung cancer in combination with chemotherapy; and the reduction of cancerous pleural effusion or ascites in patients with lung cancer or gastrointestinal cancer respectively, head and neck cancer (maxillary cancer, laryngeal cancer, pharyngeal cancer, and tongue cancer) and thyroid cancer that are resistant to other drugs.

 

 4 

 

 

ArTara plans to pursue development of TARA-002 for the treatment of lymphatic malformations (LMs). ArTara also plans to explore the potential of TARA-002 in other indications where its utility as a sclerosant (an injectable irritant) or as an immunostimulant has been hypothesized to be of therapeutic benefit.

 

Lymphatic Malformations

 

ArTara intends to initially seek approval of TARA-002 for the treatment of LMs. Lymphatic malformations are rare, non-malignant cysts of the lymphatic vascular system that primarily form in the head and neck region of children before the age of two. The International Society for the Study of Vascular Anomalies categorizes LMs as macrocystic, microcystic, or mixed. Macrocystic LMs are characteristically large, fluid-filled cysts with a thin endothelial lining. Microcystic LMs have very limited internal space with a thick, irregular endothelial lining. Mixed LMs are comprised of varying degrees of both macrocystic and microcystic LMs.

 

In the United States, LMs are present in approximately one in every 4,000 live births. Outside of Japan and Taiwan, the standard of care for LMs is surgical excision, which is associated with high rates of recurrence and complications. There are no pharmacotherapies currently approved for LMs except in Japan and Taiwan, where OK-432 is marketed. In these countries, OK-432 has been the standard of care for LMs for almost 25 years. When OK-432 is administered locally for LMs, it is hypothesized that innate immune cells within the cyst are activated and produce a strong immune cascade. Neutrophils and monocytes infiltrate the cyst and various cytokines, including interleukins IL-6, IL-8, IL-12, interferon (IFN)-gamma, tumor necrosis factor (TNF)-alpha, and vascular endothelial growth factor (VEGF) are secreted by immune cells within the cyst in response to the presence of OK-432. In concert, these immune activities induce a strong local inflammatory reaction in the cyst wall, resulting in fluid drainage, shrinkage and fibrotic adhesion of the cyst.

 

The University of Iowa led a multi-year study in LMs beginning in the late 1990s that included three separate studies including a randomized, controlled safety and efficacy study. In this phase 2 clinical trial, 151 patients with LMs (>90% pediatric) were treated with OK-432. A clinically successful outcome was demonstrated in 94% (74/79) of patients with macrocystic LMs and 63% (25/40) of patients with mixed LMs who completed treatment per protocol. Following these results, an additional 500 pediatric patients were treated with OK-432 in the United States at 27 different pediatric referral centers. ArTara has entered into an exclusive license agreement with the University of Iowa for the data from these clinical trials and is currently analyzing such data.

 

ArTara plans to request a meeting with the U.S. Food and Drug Administration (FDA) in 2020 to determine if additional clinical data are needed to support the submission of a Biologics License Application (BLA) for TARA-002 for the treatment of LMs.

 

IV Choline Chloride

 

IV Choline Chloride is an intravenous (IV) substrate replacement therapy initially in development for patients receiving parenteral (typically intravenous) nutrition (PN) who have intestinal failure associated liver disease (IFALD).

 

Choline is a known important substrate for phospholipids that are critical for healthy liver function. Because PN patients cannot sufficiently absorb adequate levels of choline and no available PN components contain sufficient amounts of choline to correct this deficit, PN patients often experience a prolonged progression to hepatic failure and death, with the only known intervention being a dual small bowel / liver transplant. If approved, IV Choline Chloride would be the first approved therapy for IFALD. It has been granted Orphan Drug Designations (ODDs) by the FDA for the treatment of IFALD and the prevention of choline deficiency in PN patients.

 

ArTara entered into a license agreement with Dr. Alan Buchman for exclusive rights to the IND, ODDs and other regulatory assets related to IV Choline Chloride, as well as exclusive rights to the data from previously conducted phase 1 and phase 2 clinical trials led by Dr. Buchman.

 

Intestinal Failure Associated Liver Disease

 

IFALD is associated with significant morbidity in patients who rely on PN for long-term survival. It is believed that there are multiple contributing factors to the development of IFALD with a substantial body of literature pointing to choline deficiency as a key cause.

 

IFALD is uniquely characterized by the presence of both steatosis (toxic fat accumulation in liver cells) and cholestasis (damage to the biliary system in the liver) in patients who are chronic (greater than six months) PN users.

 

 5 

 

 

The results of a randomized, controlled, phase 2 clinical trial demonstrated that treatment with IV Choline Chloride resulted in normalization of plasma-free choline concentrations, improvement of hepatic steatosis, and a clinically meaningful and statistically significant improvement in cholestasis in patients dependent on PN. ArTara had an end of phase 2 meeting with the FDA in November 2018 and received the FDA’s support for the design of studies necessary to complete the registration package for IV Choline Chloride for the treatment of IFALD.

 

Our Corporate Strategy:

 

Leveraging the drug development and commercialization experience of ArTara’s management team, ArTara’s objective is to build a leading biopharmaceutical company focused on bringing life-saving therapies to patients who suffer from rare and specialty diseases. ArTara’s core strategy is to identify and acquire or license overlooked or undervalued products or product candidates and modernize or optimize development programs for these assets. ArTara’s current development programs focus on therapeutics for rare structural disorders, as well as rare hepatology/gastrointestinal and metabolic disorders.

 

1. Establish comparability of OK-432 and TARA-002 and rapidly seek approval for use in Lymphatic Malformations

 

Utilizing the same genetically distinct Streptococcus-pyogenes strain and proprietary manufacturing process used by Chugai Pharmaceutical to manufacture OK-432, ArTara plans to produce development batches of TARA-002 and conduct comparability studies using commercial OK-432 (Picibanil®) manufactured in Japan as a reference. ArTara plans to engage with the FDA in 2020 to seek their agreement on the comparability of the two products. In addition, ArTara plans to discuss with the FDA whether OK-432’s efficacy and safety database from the clinical trials of more than 600 patients conducted in the US and led by the University of Iowa, as well as the more than 25 year safety database in LM’s are sufficient for a BLA submission for TARA-002.

 

2. Pursue development and approval of IV Choline Chloride for IFALD

 

ArTara is in ongoing discussions with the FDA regarding the development plan for IV Choline Chloride for the treatment of IFALD. ArTara has reached agreement with FDA on a number of key aspects of the overall clinical program necessary for registration. ArTara plans to start implementing certain facets of the development plan in 2020.

 

3. Explore product expansion opportunities from existing pipeline

 

The immunological activity of TARA-002’s reference product, OK-432, has been effectively interrogated in patients in a long list of indications. We plan to carefully evaluate the case reports and the literature and perform initial in vitro characterization studies to better understand the mechanism of action of TARA-002 and its potential activity in indications beyond LMs.

 

4. Continue to leverage expertise in business development

 

ArTara’s leadership team has a strong track record of licensing, acquiring and optimizing product candidates for the treatment of patients with diseases with limited or no treatment options. ArTara plans on building its therapeutic portfolio by strategically pursuing products and product candidates that allow it to utilize this expertise to expand the existing pipeline.

 

Our Pipeline

 

TARA-002 for the Treatment of Lymphatic Malformations

 

Background

 

ArTara will initially develop TARA-002 for the treatment of lymphatic malformations. Lymphatic malformations are rare, non-malignant masses that primarily form in the head and neck region of children before the age of two. While the exact prevalence of LMs is not known, in the United States, the condition is thought to be present in approximately one in every 4,000 live births. Outside of Japan and Taiwan, the standard of care is surgical excision, which is associated with high rates of recurrence and complications. There are no approved pharmacotherapies for LMs, except in Japan and Taiwan where OK-432 is approved. In these countries, OK-432 has been the standard of care for LMs for over 25 years.

 

 6 

 

 

Disease Overview

 

The exact cause of LMs is not completely understood; however, there are studies suggesting that somatic genetic mutations may cause the lymphatic abnormality. One study described the association between observed mutations in the PI3K/AKT1/mTOR pathway and the development of LMs. This pathway is known to regulate the formation of endothelial cells that line the lymphatic channels. In patients with LMs, there is a relatively frequent observation of somatic gain of function mutations in the PIK3CA gene. Additionally, five different point mutations in DNA analyzed from LM tissue have been identified. It remains unclear whether these mutations alone are what cause LMs.

 

Lymphatic malformations are rare, non-malignant cystic masses that primarily form in the head and neck region of children before the age of two. The International Society for the Study of Vascular Anomalies classifies LMs as either macrocystic, microcystic, or mixed. Macrocystic and microcystic LMs are differentiated by the size of the fluid-containing portion of the malformation. Macrocystic LMs are characteristically large, fluid-filled cysts with a thin endothelial lining. Macrocystic LMs are composed of cysts greater than 2 cm3 in size and present as a soft, fluid-filled swelling beneath normal or slightly discolored skin. Macrocystic LMs are usually located in the antero-lateral cervical region of the neck; however, it is possible for this type of LM to originate in other areas of the body. In contrast, microcystic LMs have very limited internal space with a thick irregular endothelial lining. Microcystic LMs are comprised of cysts less than 2 cm3 in size and are often composed of micro-lymphatic channels that integrate and infiltrate normal soft tissue. Microcystic LMs can involve both superficial and deep aspects including muscle and bone. Microcystic LMs can thicken or swell causing enlargement of surrounding soft tissue and bones and can be found on any area of the skin or mucous membrane. Mixed LMs are comprised of varying degrees of both macrocystic and microcystic LMs.

 

Treatment

 

The standard of care for LMs varies depending on the symptoms and complications that present themselves. One of the most common procedures used to reduce the size of lymphatic growth is a percutaneous drainage of the lymphatic fluid. This procedure results in significant discomfort to the pediatric patients and is only a short-term solution that often results in recurrence of the lymphatic fluid. The standard of care outside Japan and Taiwan for the treatment of LMs is either a partial or complete surgical excision of the cysts. While surgery is the standard approach to the treatment of LMs in the head and neck, the region is a difficult area to operate in because of the large number of important anatomical structures in the area. Major venous and arterial trunks travel through the neck, as do important nerves. Surgery on such malformations frequently results in high rates of recurrence and complications including life-long chronic conditions, such as damage to nerves and other important structures of the head and neck.

 

Clinical Development

 

A randomized, phase 2 clinical trial led by the University of Iowa studied the use of OK-432 in 182 patients with lymphatic malformations (>90% pediatric) from 1998 to 2004. This trial included patients with macrocystic, microcystic and mixed lymphatic malformations. There were three treatment groups: immediate treatment, delayed treatment, and open label. The immediate treatment group received treatment with OK-432 upon diagnosis. The delayed treatment group received OK-432 treatment following a six-month observation period because at the time of this trial, there was some belief that LMs could spontaneously resolve. The open-label treatment group included infants younger than six months of age, adults older than 18 years of age, patients with LMs involving sites other than the head and neck (such as the axilla, thorax, and extremities), and patients treated on an emergent basis. Response to therapy was measured by quantitating change in lesion size. Clinical success was defined as a complete (90% to 100%) or substantial (60% to 89%) response to treatment based on radiographically confirmed shrinkage in lesions.

 

 7 

 

 

Figure 1: Consort Diagram of Patients included in the Iowa trial

 

GRAPHIC

 

 

 8 

 

 

Figure 2: Intent-to-Treat: Observations Six Months After Enrollment

 

GRAPHIC

 

Figure 2 demonstrates that the primary endpoint was met showing that 68% of patients in the immediate treatment group had a complete or substantial response to OK-432 while 0% of patients in the delayed treatment group had a complete or substantial response after six months of observation and before treatment.

 

 9 

 

 

Figure 3: Clinical Success of OK-432

 

GRAPHIC

 

Figure 3 illustrates that a large majority of patients in all three cohorts of the trial experienced a complete or substantial response once they completed treatment with OK-432.

 

 10 

 

 

Figure 4: Clinical Success of OK-432 Based on LM Type

 

GRAPHIC

 

Figure 4 illustrates the compelling response to OK-432 demonstrating the overall clinical success of the treatment by radiographically confirmed lesion type.

 

The most common after effects with treatment were local injection site reactions, fever, fatigue, decreased appetite, with resolution within a few days. Serious adverse events associated with OK-432 treatment included re-hospitalization for injection (n=3), severe edema (n=3), airway obstruction necessitating tracheostomy tube replace (n=4), and submental intra-cystic hemorrhage necessitating surgical excision.  

Following the results with OK-432 treatment in this trial, an additional 500 patients were enrolled in an open-label study of OK-432 in the United States from 2005 to 2017. ArTara has entered into an exclusive license agreement with the University of Iowa for the data from these trials and is currently analyzing such data.

 

Once ArTara can demonstrate that it is manufacturing a drug product that is comparable to OK-432, it plans to meet with the FDA to determine if additional clinical data are needed to support the submission of a BLA for TARA-002 for the treatment of lymphatic malformations.

 

 11 

 

 

Preclinical Development:

 

A comprehensive preclinical development program for OK-432, including in vitro and in vivo pharmacology and toxicology studies, was conducted by Chugai Pharmaceutical to support the filing of a new drug application with the Japan Pharmaceuticals and Medical Devices Agency. ArTara plans to discuss with the FDA the ability to rely on these studies for the submission of a BLA for TARA-002.

 

Clinical Development Plan:

 

ArTara plans to engage the FDA in 2020 to determine the requirements for a BLA submission, including agreement on requirements to demonstrate the comparability of the two products. ArTara plans to discuss with the FDA whether OK-432’s more than 25-year safety database in LMs, as well as the efficacy and safety database from the clinical trials of more than 600 patients conducted in the US and led by the University of Iowa are sufficient for a BLA submission for TARA-002. Based on the guidance from the FDA, ArTara plans to conduct additional clinical trials as required.

 

Manufacturing Plans:

 

TARA-002 will be manufactured using an equivalent, but modernized, proprietary manufacturing process as is used to produce OK-432 by Chugai Pharmaceutical. Starting with a master cell line propagated by ArTara but utilizing the same genetically distinct strain of Streptococcus pyogenes (A group, type 3) Su strain as OK-432, TARA-002 will be manufactured by a CMO in a facility located in the United States. TARA-002 will be compared against OK-432 in formal comparability studies to establish the potency of OK-432. ArTara plans to discuss the planned manufacturing program with the FDA as soon as it has demonstrated comparability in the planned research-scale manufacturing batches which is expected to occur in 2020.

 

IV Choline Chloride for the treatment of Intestinal Failure Associated Liver Disease

 

Background:

 

IFALD is a rare hepatic/metabolic disease. IFALD, which occurs in patients dependent upon PN, is characterized by choline deficiency, hepatic steatosis, cholestasis, and rapid progression of liver disease through to hepatic failure and death, in the absence of intestine-liver transplant. IFALD carries a relatively poor prognosis, with a 15-34% death rate within one to four years. When IFALD presents in children, mortality is even higher, with studies reporting death rates of 23-40% within 18 months. A patient is considered to have IFALD if she/he:

 

is dependent on PN for more than six months (e.g., has chronic intestinal failure);

 

has evidence of steatosis, determined by imaging techniques or histologic assessments;

 

has evidence of cholestasis (e.g., elevated alkaline phosphatase (ALP), elevated bilirubin and/or histology); and

 

may have evidence of ongoing, progressive liver injury on the basis of multiple abnormal liver function tests, in conjunction with findings of fibrosis, cirrhosis, and/or end-stage liver disease (ESLD).

 

It is well established that IFALD prevalence increases with duration of PN use; however, the duration that PN is used varies. Based on Medicare data, there are approximately 220,000 PN patients per year (>12 years old) in the United States, the majority of whom tend to be short-term. However, approximately 7% of all patients are on PN for longer than three months and therefore at high risk for developing IFALD. When taking into consideration IFALD available prevalence data and known distribution of PN duration, it is estimated that there are several thousand patients aged 12 and older with IFALD in the United States.

 

Many patients receiving PN are entirely dependent on PN for their nutritional needs. PN delivers nearly all the macro and micro-nutrients necessary for survival in their patients, with the notable exception of choline. Consequently, patients dependent on PN support have been shown to be choline deficient. Patients dependent upon PN are unable to synthesize sufficient levels of choline and malabsorption limits the bioavailability of choline chloride from the PN diet. The American Society for Parenteral and Enteral Nutrition and the Academy of Nutrition and Dietetics’ Dietitians in Nutrition Support both recommend that choline be required in PN products; however, there are currently no FDA-approved choline chloride PN products.

 

 12 

 

 

Choline is an essential dietary nutrient in humans. It is a component of the predominant phospholipids in cell membranes (phosphatidylcholine and sphingomyelin) and a precursor for the neurotransmitter acetylcholine and phospholipid biosynthesis. Choline also plays an important role in the synthesis of methyl groups needed to make the primary methyl donor, S-adenosylmethionine. The normal range of physiologic concentrations of free choline is broad, ranging from 6.7 to 26.9 nmol/mL, due in part to effects of variations in diet, differences in absorption, and genetic polymorphisms related to choline metabolism. Patients are considered to be choline deficient if concentrations of plasma free choline are less than 7 nmol/mL.

 

PN-dependent patients develop choline deficiency, with 80-85% of long-term PN patients exhibiting decreased concentrations of plasma free choline below 7 nmol/mL. Choline deficiency causes impaired triglyceride export from the liver due to reduced very low-density lipoprotein (VLDL) synthesis, leading to fatty accumulation, abnormal bile composition, and progressive hepatocellular injury. Choline deficient patients dependent on PN present with signs of hepatic injury, neuropsychological impairment (including memory abnormalities), and muscle damage, as well as thrombotic abnormalities. Cholestasis (when bile from the liver stops or slows) in IFALD may be mediated by altered and potentially toxic bile salt composition due to deficient phosphatidylcholine, a major component of normal bile.

 

Dependence on PN and resulting choline deficiency often leads to IFALD, which is the most common adverse outcome in chronic PN adult patients that is associated with death. Low free choline plasma concentrations are associated with alanine aminotransferase (“ALT”), aspartate aminotransferase (“AST”), and alkaline phosphatase (“ALP”) elevations as well as steatosis (fatty liver), all indicators of ongoing liver damage. As plasma free choline concentrations decline in PN patients, serum concentrations of liver enzymes, ALT and AST, ALP, and/or bilirubin become abnormally high, which is associated with hepatic steatosis, cholestasis, and liver damage.

 

Figure 6. Choline Synthesis Pathway

 

GRAPHIC

 

Figure 6 depicts the metabolic pathway in which choline is normally synthesized.

 

1. Throughout the body, phosphatidylcholine (PC) is synthesized almost exclusively through external choline consumption.

 

2. Intra-hepatically, the phosphatidylethanolamine N-methyltransferase (“PEMT”) pathway can provide 30% of the liver’s needs.

 

 13 

 

 

Clinical History:

 

In a Phase 2 randomized, double-blind, controlled 24-week clinical trial, patients (n=15) receiving nightly PN for > 85% of their nutritional needs (for at least 12 weeks prior to entry) were randomized to receive via IV infusion (10-12 hours) their usual PN with placebo (n = 8), or PN to which 2g IV Choline Chloride was added (n = 7).

 

In the IV Choline Chloride group, mean choline levels were within or greater than the estimated normal range (i.e., 6.7 to 26.9 nmol/mL) throughout the 24-week trial and quickly returned to baseline levels when treatment was discontinued.

 

Steatosis:

 

Upon conversion of the quantification of computed tomography (CT) values to magnetic resonance imaging proton density fat fraction (MRI-PDFF), significant differences in the least square (LS) mean change from baseline in estimated MRI-PDFF were observed in the IV Choline Chloride group in comparison to placebo group at Week 4 through Week 24, demonstrating a clinically meaningful and statistically significant reduction in steatosis. When LS mean percent changes from baseline in MRI-PDFF were compared between treatment groups, significant differences in LS mean changes (range, 31.7% to 53.6%) were observed from Weeks 4 to 24 with p-values of 0.0009 to 0.0297 favoring the IV Choline Chloride group.

 

Figure 7. Steatosis: ConversionIof CT to MRI-PDFFI

 

GRAPHIC

 

Note: CT to MRI-PDFF Conversion Equation: MRI-PDFF (%) = –0.572*Liver CT(HU) + 37.264

 

Imixed model for repeated measurement (“MMRM”) method used for imputation

 

IA placebo subject was excluded from all analyses due to likely IV contrast-induced imaging abnormalities, confirmed by independent radiologist in subsequent re-analysis.

 

 14 

 

 

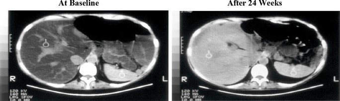
Figure 8. Liver CT Images: Before and After Treatment with IV Choline Chloride

 

GRAPHIC

 

Alkaline Phosphatase:

 

At baseline, LS mean ALP concentration was 239.3 ± 118.93 in the IV Choline Chloride group and 148.1 ± 100.2 in the placebo group. The MMRM analyses demonstrated statistically significant decreases in ALP concentrations at Week 12 (p = 0.008), Week 16 (p = 0.005), Week 20 (p = 0.007), and Week 24 (p = 0.005) for the IV Choline Chloride group, demonstrating a reduction in cholestasis. A trend towards significance was observed at Week 4 (p = 0.076) and Week 6 (p = 0.056). At Week 34, 10 weeks after discontinuation of IV Choline Chloride treatment, LS mean change from baseline in ALP concentrations still demonstrated statistically significant decreases (p = 0.002), demonstrating a significant improvement in cholestasis with treatment with IV Choline Chloride (Figure 9).

 

In the subgroup of subjects with ALP concentration > 1.5x upper limit of normal (ULN) at baseline, (n=7), mean values at baseline were comparable between the IV Choline Chloride and placebo groups (294.20 ± 87.947 versus 277.00 ± 128.693, respectively). In the sub-group analysis, improvement in ALP was consistent and substantial, with 20-30% improvement over 12-24 weeks of treatment (Figure 10).

 

 15 

 

 

Figure 9. Improvement in CholestasisI: All Patients

 

GRAPHIC

 

Imixed model for repeated measurement (“MMRM”) method used for imputation

 

IA placebo subject was excluded from all analyses due to likely IV contrast-induced imaging abnormalities, confirmed by independent radiologist in subsequent re-analysis.

 

 16 

 

 

Figure 10. Improvement in CholestasisI: Patients with 1.5x ULN (ITT Population)I

 

GRAPHIC

 

IMMRM method used for imputation

 

IA placebo subject was excluded from all analyses due to likely IV contrast-induced imaging abnormalities, confirmed by independent radiologist in subsequent re-analysis.

 

Preclinical Development:

 

Table 1. Preclinical Studies Conducted by ArTara for IV Choline Chloride

 

Study Type  Brief Description
In vitro protein binding Evaluation of Protein Binding by Choline Chloride in Plasma Using Rapid Equilibrium Dialysis
In vitro cardiac ion channel study In Vitro Assessment of the Effect of Choline on Currents Mediated by hERG, Cav1.2, and Peak and Late Nav1.5 Channels Expressed in Human Embryonic Kidney (HEK) Cells
In vitro drug-drug interaction Evaluation of Transporter Inhibition by Choline Chloride in Transporter-Transfected HEK293 Cells
  Evaluation of OCT2, MATE1 and MATE2-K Inhibition by Choline Chloride in Transporter-Transfected HEK293 Cells
  Evaluation of Transporter Inhibition by Choline Chloride in Caco-2 Cells
  Evaluation of Time Dependent Cytochrome P450 Inhibition (IC50 Shift) by Choline Chloride in Human Liver Microsomes

 

 17 

 

 

  Evaluation of Direct Cytochrome P450 Inhibition by Choline Chloride in Human Liver Microsomes
  Evaluation of Cytochrome P450 Induction by Choline Chloride in Human Hepatocytes
  Evaluation of Transporter Inhibition by Choline Chloride in Caco-2 Cells
  Evaluating of Cytochrome P450 2C8, 2C9, and 2C19 mRNA Induction by Choline Chloride in Human Hepatocytes
In vitro BSEP inhibition Assessment of Choline as an Inhibitor of Human BSEP Mediated Transport
  Assessment of Choline as a Substrate of Human BSEP Mediated Transport
Nonclinical pharmacology studies Non-GLP Pilot Single Dose, Escalating Dose Tolerance Study of Choline by Intravenous Infusion in Male Beagle Dogs
  GLP Single-dose IV Cardiovascular Study in Surgically Instrumented Male Dogs Monitored by Telemetry
  GLP Combined Single-dose IV Neurobehavioral and Respiratory Study

 

Clinical Development Plan:

 

Discussions are ongoing with the FDA regarding the development plan for IV Choline Chloride for the treatment of IFALD. ArTara has reached agreement with FDA on a number of key aspects of the overall clinical program necessary for registration. ArTara plans to start implementing certain facets of the development plan in 2020.

 

Manufacturing Plans:

 

ArTara has manufactured sufficient amounts of GMP drug substance and drug product to initiate the planned clinical trials. Scale up for commercial demand is ready and will commence when appropriate. ArTara’s end-to-end manufacturing of IV Choline Chloride is conducted in the United States by a GMP-compliant CDMO.

 

Vonapanitase

 

As a result of the Merger, ArTara acquired the product candidate, vonapanitase, a recombinant human elastase that the Company previously pursued development for the improvement of vascular access outcomes in patients with chronic kidney disease, undergoing or preparing for hemodialysis, and as a treatment for patients with symptomatic peripheral artery disease. ArTara is reviewing the research, preclinical and clinical data of vonapanitase and has not yet determined whether to pursue any further development of this product candidate in the future.

 

Sales and Marketing

 

ArTara aims to become a fully integrated biopharmaceutical company pursuing its mission of supporting and improving the lives of patients suffering from rare diseases.

 

If approved by the FDA, ArTara plans to commercialize both of its current product candidates in the United States first and then move to other geographies. As ArTara advances IV Choline Chloride and TARA-002 through its respective clinical development programs, ArTara plans to grow its commercial organization in support of anticipated product launches.

 

 18 

 

 

Collaborations and License Agreements

 

Chugai Agreement

 

On June 17, 2019, ArTara entered into an agreement (the “Chugai Agreement”) with Chugai Pharmaceutical, a company organized and existing under the laws of Japan. Chugai Pharmaceutical has developed and commercialized a therapeutic product, OK-432 (Existing Product), in Japan and Taiwan (the “Chugai Territory”), and owns and controls certain materials and documents related to the Existing Product (the “Chugai Materials”). Pursuant to the Chugai Agreement, Chugai Pharmaceutical will provide ArTara with certain materials and documents relating to the Existing Product and will provide certain technical services to ArTara for ArTara’s development and commercialization in territories other than the Chugai Territory (the “ArTara Territory”) of a new therapeutic product (the “New Product” or “TARA-002”) comparable to the Existing Product. Beginning on the effective date of the Chugai Agreement and ending on June 30, 2020, or any other date to be agreed to by the parties (the “Chugai Service Period”), Chugai Pharmaceutical will exclusively provide the Existing Product and Chugai Materials to ArTara and will not provide the Existing Product or Chugai Materials to any third parties during the Chugai Service Period, other than for medical, compassionate use and/or non-commercial research purposes. Additionally, beginning on the effective date of the Chugai Agreement and ending on the fifth anniversary of such date or upon the termination of the Chugai Agreement, whichever comes earlier, Chugai Pharmaceutical shall not provide Chugai Materials or technical support to any third party for the purpose of development and commercialization in the ArTara Territory of a therapeutic product comparable to the Existing Product. ArTara is responsible, at its sole cost and expense, for the development and commercialization of the New Product in the ArTara Territory.

 

As consideration for Chugai Pharmaceutical’s performance under the Chugai Agreement, ArTara has agreed to pay Chugai Pharmaceutical a payment in the low, single-digit millions, which payments shall be made in two installments with an initial payment in July 2020, and the remaining majority of the payment payable upon FDA approval of the New Product.

 

ArTara granted Chugai Pharmaceutical a right of first refusal on terms to be negotiated between the parties for a license related to the New Product-relevant information, data and documentation and inventions to develop and commercialize the New Product in the Chugai Territory. ArTara will be responsible for manufacturing and supplying or causing its CMO to manufacture and supply the New Product to Chugai Pharmaceutical.

 

The Chugai Agreement shall remain in full force and effect until the first anniversary of the date of FDA approval of the New Product, unless terminated sooner (the “Chugai Term”). Following the Chugai Service Period and during the Chugai Term, Chugai Pharmaceutical may terminate the Chugai Agreement, in whole or in part, without cause, by providing ArTara 90 days prior written notice. ArTara may terminate the Chugai Agreement, in whole only, by providing Chugai Pharmaceutical 90 days prior written notice if (i) ArTara decides to discontinue the New Product development; (ii) ArTara decides that the FDA’s requirements for the New Product are not likely to be met; or (iii) the FDA identifies a safety issue regarding the New Product.

 

In addition, either party may terminate the Chugai Agreement, in whole or in part, in the event that the other party materially breaches the Chugai Agreement and fails to cure the breach within 30 days of written notice. Either party may terminate the Chugai Agreement in its entirety immediately upon notice to the other party if such other party: (i) is dissolved or liquidated or takes any corporate action for such purpose; (ii) becomes insolvent or is generally unable to pay, or fails to pay, its debts as they become due; (iii) files or has filed against it a petition for voluntary or involuntary bankruptcy or otherwise becomes subject to any proceeding under any domestic or foreign bankruptcy or insolvency laws; (iv) makes or seeks to make a general assignment for the benefit of creditors; or (v) applies for or has a receiver, trustee, custodian or similar agent appointed by order of any court to take charge of or sell any material portion of its property or business.

 

In the event that ArTara undergoes a change of control, Chugai Pharmaceutical may terminate the Chugai Agreement upon 90 days written notice to ArTara, absent a written pledge by the new controlling party of its agreement to fulfill and undertake all obligations of ArTara and to be bound by the Chugai Agreement.

 

Sponsored Research and License Agreement

 

On November 28, 2018, ArTara entered into a sponsored research and license agreement (the “Research Agreement”) with The University of Iowa (the “University”), pursuant to which the University will provide access to certain program data related to Chugai Pharmaceutical’s OK-432 and will assist ArTara in conducting certain clinical studies. As consideration for the University’s performance under the Research Agreement, ArTara will pay the University $30,000 per year in funding for the project. The parties also agree to discuss in good faith potential additional funding required for completion of the project pursuant to the Research Agreement as applicable and necessary. In addition, within 45 days of approval of the TARA-002 BLA by the FDA, ArTara will pay a one-time approval milestone to the University, the amount of which depends on the usefulness of the program data in TARA-002’s BLA filing, and the milestone amount will range from $0 to $1 million. ArTara will also be responsible for certain tiered royalties on annual net sales of products for the indication, which royalty rates are in the low single digit percentages. These royalty rates are also subject to a reduction in the event that regulatory authorities determine that the program data is not sufficient for regulatory approval on its own and additional pediatric efficacy and safety clinical studies are required. In the event that the annual net sales surpass certain dollar amount thresholds, ArTara will need to make certain additional milestone payments following the close of the calendar quarter in which each milestone is reached, with the payments ranging from $62,500 to $125,000.

 

 19 

 

 

ArTara may terminate the Research Agreement upon 30 days prior written notice to the University. Either party may terminate the project under the Research Agreement and all commitments and obligations with respect thereto upon 30 days prior written notice to the other party. In the event of any termination of the project under the Research Agreement by the University, (a) the University agrees to complete certain phases of the project and (b) ArTara will continue to provide annual funding until the completion of the second phase of the project. Upon termination of the project by ArTara, the Agreement will terminate and ArTara will reassign to the University the IND.

 

Choline License Agreement

 

On September 27, 2017, ArTara entered into a choline license agreement (the “Choline Agreement”) with Alan L. Buchman, M.D., pursuant to which Dr. Buchman granted ArTara an exclusive, worldwide, non-transferable license in and to certain licensed orphan designations, certain licensed IND, certain existing study data and to certain licensed know-how to develop, make, use, sell, offer for sale and import the licensed product during the term of the Choline Agreement. ArTara is solely responsible for all fees and expenses related to the undertaking of the Choline Agreement, including all due diligence obligations, regulatory authority fees, attorney fees and consulting fees. During the term of the Choline Agreement, Dr. Buchman may not work with any third parties on any product competing with the licensed product. In consideration for the rights and licenses granted under the Agreement, ArTara made an initial upfront payment of $50,000 payable to Dr. Buchman.

 

ArTara will also owe Dr. Buchman certain milestone and royalty payments. ArTara paid Dr. Buchman $50,000 in October 2019 because ArTara had not received at least $5 million in working capital from any source or in any manner as of October 15, 2019. ArTara paid Dr. Buchman an additional $550,000 upon the closing of the Private Placements following the consummation of the Merger because ArTara received at least $5 million in working capital.

 

Regardless of whether development or commercialization is undertaken by ArTara under the Choline Agreement, commencing on November 21, 2022 and during the term of the Choline Agreement, ArTara shall pay Dr. Buchman a minimum annual royalty that ranges between $25,000 and $75,000.

 

ArTara owes Dr. Buchman sales royalties based on aggregate net sales of IV Choline Chloride in each calendar quarter, with the royalty rates ranging from 5.0% to 10.5% based on the amount of net sales. ArTara also agreed to pay Dr. Buchman a royalty in the mid-single digit percentage of (i) net cash receipts after payment of taxes and (ii) any other consideration received by ArTara from its sale or transfer of a priority review voucher, including a fair monetary value for any transaction that is not a bona fide arms-length transaction or that is consideration other than money.

 

ArTara shall also pay Dr. Buchman up to an aggregate of up to $775,000 in additional milestone payments upon the achievement of various regulatory approval milestones. ArTara issued Dr. Buchman 150,000 shares of ArTara’s common stock as of September 27, 2017 and granted Dr. Buchman an option to purchase 43,038 shares of ArTara’s common stock as of September 13, 2018, both in consideration for the rights and licenses granted pursuant to the Choline Agreement.

 

Dr. Buchman also provides advisory services to ArTara related to regulatory and clinical strategy for IV Choline Chloride. In consideration for such services, ArTara issued Dr. Buchman 100,000 shares of ArTara’s common stock as of September 27, 2017 and granted Dr. Buchman an option to purchase 28,692 shares of ArTara’s common stock as of September 13, 2018.

 

The Choline Agreement will remain in full force and effect until the last sale of the licensed product under the Choline Agreement. After ArTara received the FDA’s written minutes regarding its initial FDA meeting concerning the development of the first licensed product for one or more of the licensed indications, ArTara paid an additional payment of $100,000 to Dr. Buchman and elected not terminate the Choline Agreement. The Choline Agreement may be terminated by Dr. Buchman if, following regulatory approval of a licensed product, ArTara has not made its first sale of a licensed product within such country within a specified time period. ArTara may terminate the Choline Agreement for convenience upon 90 days prior written notice to Dr. Buchman. Dr. Buchman may terminate the Choline Agreement effective immediately for non-payment of any payment due that has not been cured. Either party may terminate the Choline Agreement effective immediately if the other party is in material breach and has not cured such breach within 60 days’ notice. In addition, Dr. Buchman may terminate the Choline Agreement effective immediately upon 60 days prior written notice if (a) ArTara ceases or threatens to cease to carry on its business; (b) a petition or resolution for the making of an administration order or for the bankruptcy, winding-up or dissolution of ArTara is presented or passed; (c) ArTara files a voluntary petition in bankruptcy or insolvency; (d) a receiver or administrator takes possession of ArTara’s assets or (e) any similar procedure is commenced against ArTara in the United States.

 

 20 

 

 

License Agreement

 

On December 22, 2017, ArTara entered into a license agreement (the “License Agreement”) with The Feinstein Institute for Medical Research, a not-for-profit corporation organized and existing under the laws of New York (the “Institute”). The Institute owns, by assignment, a U.S. patent related to the treatment of fatty liver disease in humans. Pursuant to the License Agreement, the Institute granted ArTara an exclusive, worldwide license, with the right to grant sublicenses to non-affiliate third parties, to develop, make, have made, use, sell, offer for sale and import certain products for use in the field of fatty liver disease in humans receiving total parenteral nutrition, by administering, as monotherapy, a pharmaceutical composition comprising intravenous choline, wherein the fatty liver disease is selected from IFALD, non-alcoholic fatty liver, non-alcoholic steatohepatitis (“NASH”), NASH-associated liver fibrosis, or non-alcoholic cirrhosis. Notwithstanding the exclusive rights granted to ArTara, the Institute shall retain the right to make, use and practice such patents in its own laboratories solely for non-commercial scientific purposes and for continued non-commercial research.

 

As consideration for the license grant, ArTara agreed to pay the Institute tiered royalties of between 1.0% and 1.5% of all net sales. In addition, ArTara agreed to pay the Institute a low double digit percentage of net proceeds resulting from agreements entered into within two years from the effective date of the License Agreement and a mid single digit percentage of net proceeds resulting from agreements entered into thereafter. ArTara also agreed to make certain license maintenance payments of $15,000 beginning on the second anniversary of the effective date of the License Agreement and continuing upon every anniversary thereafter until the first commercial sale of a licensed product. Beginning on the first anniversary of the effective date of the License Agreement after the first commercial sale of a licensed product and every anniversary of the effective date of the License Agreement thereafter, ArTara shall pay the Institute $30,000 as a license maintenance fee. Such license maintenance fees are non-refundable but are creditable against future royalty payments due to the Institute during the 12-month period following each such anniversary.

 

ArTara agreed to make certain one-time milestone payments in the aggregate amount of $375,000 upon the achievement of certain regulatory approval milestones, of which $100,000 was paid on January 28, 2020 upon ArTara having consummated the Private Placements.

 

Unless terminated earlier, the License Agreement will expire upon the expiration of the last to expire patent under the License Agreement. ArTara may terminate the License Agreement by giving the Institute 60 days prior notice. Either party may terminate the License Agreement in the event of a default or breach by the other party that has not been cured within 60 days of such notice. If ArTara (i) makes an assignment for the benefit of creditors or if proceedings for a voluntary bankruptcy are instituted on behalf of ArTara; (ii) is declared bankrupt or insolvent or (iii) is convicted of a felony relating to the manufacture, use or sale of the licensed products or a felony relating to moral turpitude, the Institute may terminate the License Agreement.

 

Competition

 

The process for commercialization of new drugs is very competitive, and ArTara could potentially face worldwide competition from other pharmaceutical companies, biotechnology companies and ultimately generic products. ArTara’s potential competitors may develop or market therapies that are more clinically effective, safer or less expensive than any therapeutic products ArTara develops.

 

With respect to ArTara’s lead product candidate, TARA-002, for the treatment of Lymphatic Malformations, TARA-002 is a genetically distinct strain of Streptococcus pyogenes (group A, type 3) Su. TARA-002 is produced through a proprietary manufacturing process. ArTara anticipates that, if approved by the FDA, TARA-002 will be protected by 12 years of biologic exclusivity. There are no pharmacotherapies currently available for the treatment of LMs and the current standard of care is a high-risk surgical procedure.

 

 21 

 

 

There are a handful of drug development companies and academic researchers exploring oral formulations of various agents including macrolides, phosphodiesterase inhibitors, and calcineurin/mTOR inhibitors. These are in early development and earlier experiments in LM’s utilizing other compounds utilizing these mechanisms have not produced conclusive evidence of efficacy.

 

There are no treatments currently available for IFALD. With respect to IV Choline Chloride for the treatment of IFALD, IV Choline Chloride is the only sterile injectable form of choline chloride that can be combined with parenteral nutrition. Progression of IFALD to liver failure occurs over time and leads to the need for a dual bowel and liver transplant. If approved, IV Choline Chloride may be protected by orphan Drug Designation exclusivity for seven years.

 

Intellectual Property

 

ArTara’s intellectual property is critical to its business and ArTara strives to protect it, including by obtaining and maintaining patent protection in the United States and internationally for its product candidates, novel biological discoveries, epitopes, new therapeutic approaches and potential indications, and other inventions that are important to our business. Throughout the development of ArTara’s product candidates, it will seek to identify additional means of obtaining patent protection that would potentially enhance commercial success.

 

The patent positions of biotechnology companies like ArTara’s are generally uncertain and involve complex legal, scientific and factual questions. ArTara recognizes that the ability to obtain patent protection and the degree of such protection depends on a number of factors, including the extent of the prior art, the novelty and non-obviousness of the invention, and the ability to satisfy the enablement requirement of the patent laws. In addition, the coverage claimed in a patent application can be significantly reduced before the patent is issued, and its scope can be reinterpreted after issuance. Consequently, ArTara may not obtain or maintain adequate patent protection for any of its product candidates. Any patents that ArTara holds may be challenged, circumvented or invalidated by third parties.

 

ArTara’s commercial success will also depend in part on not infringing the proprietary rights of third parties. In addition, ArTara has licensed rights under proprietary technologies of third parties to develop, manufacture and commercialize specific aspects of our products and services. It is uncertain whether the issuance of any third-party patent would require ArTara to alter its development or commercial strategies, alter its processes, obtain licenses or cease certain activities. The expiration of patents or patent applications licensed from third parties or ArTara’s breach of any license agreements or failure to obtain a license to proprietary rights that it may require to develop or commercialize its future technology may have a material adverse impact on it. If third parties prepare and file patent applications in the United States that also claim technology to which ArTara has rights, ArTara may have to participate in interference proceedings in the United States Patent and Trademark Office (the “USPTO”) to determine priority of invention. For a more comprehensive discussion of the risks related to ArTara’s intellectual property, please see “Risk Factors—Risks Related to ArTara’s Intellectual Property.

 

TARA-002:

 

TARA-002 is a genetically distinct Su strain of Streptococcus pyogenes (group A, type 3). TARA-002 is produced through a proprietary manufacturing process. ArTara believes a significant barrier to entry exists, as it believes only Chugai Pharmaceutical and ArTara have the specific strain and possess the know-how to manufacture the product. ArTara anticipates that, if approved by the FDA, TARA-002 will be protected by 12 years of biologic exclusivity.

 

IV Choline Chloride:

 

With respect to IV Choline Chloride, ArTara has acquired an exclusive, worldwide license to U.S. Patent 8,865,641 B2 from the Feinstein Institute for Medical Research providing protection in the United States until 2035. The patent applies to a method of treating a fatty liver disease in a subject. In particular, the method comprises administering to the subject an effective amount of a cholinergic pathway stimulating agent, wherein the fatty liver disease is selected from non-alcoholic fatty liver (NAFL), alcoholic fatty liver (AFL), non-alcoholic steatohepatitis (NASH), alcoholic steatohepatitis (ASH), NASH-associated liver fibrosis, ASH-associated liver fibrosis, non-alcoholic cirrhosis and alcoholic cirrhosis.

 

The term of individual patents depends upon the legal term of the patents in the countries in which they are obtained. In most countries in which ArTara may file, the patent term is 20 years from the earliest date of filing a non- provisional patent application related to the patent. A U.S. patent also may be accorded a patent term adjustment under certain circumstances to compensate for delays in obtaining the patent from the USPTO. In some instances, such a patent term adjustment may result in a U.S. patent term extending beyond 20 years from the earliest date of filing a non-provisional patent application related to the U.S. patent. In addition, in the United States, the term of a U.S. patent that covers an FDA-approved drug may also be eligible for patent term extension, which permits patent term restoration as compensation for the patent term lost during the FDA regulatory review process. The Hatch-Waxman Act permits a patent term extension of up to five years beyond the expiration of the patent. The length of the patent term extension is related to the length of time the drug is under regulatory review. Patent term extension cannot extend the remaining term of a patent beyond a total of 14 years from the date of product approval and only one patent applicable to an approved drug may be extended. Similar provisions are available in Europe and other foreign jurisdictions to extend the term of a patent that covers an approved drug. In the future, if and when ArTara’s products receive FDA approval, ArTara expect to apply for patent term extensions on patents covering certain of those products, when applicable.

 

 22 

 

 

ArTara also relies on trade secrets relating to product candidates and seeks to protect and maintain the confidentiality of proprietary information to protect aspects of its business that are not amenable to, or that it does not consider appropriate for, patent protection. Although ArTara takes steps to protect its proprietary information and trade secrets, including through contractual means with its employees and consultants, third parties may independently develop substantially equivalent proprietary information and techniques or otherwise gain access to ArTara’s trade secrets, including through breaches of such agreements with its employees and consultants. Thus, ArTara may not be able to meaningfully protect its trade secrets. It is ArTara’s policy to require its employees, consultants, outside scientific partners, sponsored researchers and other advisors to execute confidentiality agreements upon the commencement of employment or consulting relationships with ArTara. These agreements provide that all confidential information concerning ArTara’s business or financial affairs developed or made known to the individual during the course of the individual’s relationship with ArTara is to be kept confidential and not disclosed to third parties except in specific circumstances. ArTara’s agreements with employees also provide that all inventions conceived by the employee in the course of employment with ArTara or from the employee’s use of ArTara’s confidential information are ArTara’s exclusive property.

 

Manufacturing

 

ArTara relies on contract manufacturing organizations (“CMOs”) to produce its drug candidates in accordance with current Good Manufacturing Practices (“cGMP”), regulations for use in clinical trials and commercial product. The manufacture of pharmaceuticals is subject to extensive cGMP regulations, which impose various procedural and documentation requirements and govern all areas of record keeping, production processes and controls, personnel and quality control.

 

The CMOs that ArTara partners with have the capability to produce clinical supply required for clinical trials, as well as support commercial scale up activities for both products.

 

Both TARA-002 and Choline Chloride will be produced in the United States. The starting materials for TARA-002 were provided to ArTara pursuant to an agreement with Chugai Pharmaceutical. The regulatory starting materials for Choline Chloride are available commercially.

 

Government Regulation and Product Approval

 

The FDA and other regulatory authorities at federal, state, and local levels, as well as in foreign countries, extensively regulate, among other things, the research, development, testing, manufacture, quality control, import, export, safety, effectiveness, labeling, packaging, storage, distribution, record keeping, approval, advertising, promotion, marketing, post-approval monitoring, and post-approval reporting of drugs and biologics such as those we are developing. ArTara, along with third-party contractors, will be required to navigate the various preclinical, clinical and commercial approval requirements of the governing regulatory agencies of the countries in which ArTara wishes to conduct studies or seek approval or licensure of its product candidates.

 

In the United States, the FDA regulates drugs under the Federal Food, Drug and Cosmetic Act (“FDCA”) and biologics additionally under the Public Health Services Act (“PHSA”) as well as their respective implementing regulations. The process required by the FDA before biopharmaceutical product candidates may be marketed in the United States generally involves the following:

 

completion of preclinical laboratory tests and animal studies performed in accordance with the FDA’s current Good Laboratory Practices (“GLP”) regulations;

 

 23 

 

 

submission to the FDA of an IND, which must become effective before clinical trials may begin and must be updated annually or when significant changes are made;

 

approval by an independent Institutional Review Board (“IRB”) or ethics committee at each clinical site before the trial is commenced;

 

performance of adequate and well-controlled human clinical trials to establish the safety and efficacy of a drug product candidate and the safety, purity and potency of the proposed biologic product candidate for its intended purpose;

 

preparation of and submission to the FDA of an NDA or BLA after completion of all pivotal clinical trials that includes substantial evidence of safety, purity and potency or efficacy from results of nonclinical testing and clinical trials;

 

satisfactory completion of an FDA Advisory Committee review, if applicable;

 

a determination by the FDA within 60 days of its receipt of an NDA or BLA to file the application for review;

 

satisfactory completion of an FDA pre-approval inspection of the manufacturing facility or facilities at which the proposed product is produced to assess compliance with cGMP, and of selected clinical investigation sites to assess compliance with Good Clinical Practices (“GCP”); and

 

FDA review and approval, or licensure, of the NDA or BLA to permit commercial marketing of the product for particular indications for use in the United States.

 

Preclinical and Clinical Development

 

Prior to beginning the first clinical trial with a product candidate, ArTara must submit an IND to the FDA. An IND is a request for authorization from the FDA to administer an investigational new drug product to humans. The central focus of an IND submission is on the general investigational plan and the protocol(s) for clinical trials. The IND also includes results of animal and in vitro studies assessing the toxicology, pharmacokinetics, pharmacology, and pharmacodynamic characteristics of the product candidate; chemistry, manufacturing, and controls information; and any available human data or literature to support the use of the investigational product. An IND must become effective before human clinical trials may begin. The IND automatically becomes effective 30 days after receipt by the FDA, unless the FDA, within the 30-day time period, raises safety concerns or questions about the proposed clinical trial. In such a case, the IND may be placed on clinical hold and the IND sponsor and the FDA must resolve any outstanding concerns or questions before the clinical trial can begin. Submission of an IND therefore may or may not result in FDA authorization to begin a clinical trial.

 

Clinical trials involve the administration of the investigational product to human subjects under the supervision of qualified investigators in accordance with GCPs, which include the requirement that all research subjects provide their informed consent for their participation in any clinical trial. Clinical trials are conducted under protocols detailing, among other things, the objectives of the trial, the parameters to be used in monitoring safety and the effectiveness criteria to be evaluated. A separate submission to the existing IND must be made for each successive clinical trial conducted during product development and for any subsequent protocol amendments. Furthermore, an independent IRB for each site proposing to conduct the clinical trial must review and approve the plan for any clinical trial and its informed consent form before the clinical trial begins at that site, and must monitor the trial until completed. Regulatory authorities, the IRB or the sponsor may suspend a clinical trial at any time on various grounds, including a finding that the subjects are being exposed to an unacceptable health risk or that the trial is unlikely to meet its stated objectives. Some studies also include oversight by an independent group of qualified experts organized by the clinical trial sponsor, known as a data safety monitoring board, which provides authorization for whether or not a trial may move forward at designated check points based on access to certain data from the trial and may halt the clinical trial if it determines that there is an unacceptable safety risk for subjects or other grounds, such as no demonstration of efficacy. There are also requirements governing the reporting of ongoing clinical trials and clinical trial results to public registries.

 

Human clinical trials are typically conducted in three sequential phases that may overlap.

 

Phase 1—The investigational product is initially introduced into healthy human subjects or patients with the target disease or condition. These trials are designed to test the safety, dosage tolerance, absorption, metabolism, distribution and elimination of the investigational product in humans, the side effects associated with increasing doses, and, if possible, to gain early evidence on effectiveness.

 

 24 

 

 

Phase 2—The investigational product is administered to a limited patient population with a specified disease or condition to evaluate the preliminary efficacy, optimal dosages and dosing schedule and to identify possible adverse side effects and safety risks. Multiple Phase 2 clinical trials may be conducted to obtain information prior to beginning larger and more expensive Phase 3 clinical trials.

 

Phase 3—The investigational product is administered to an expanded patient population to further evaluate dosage, to provide statistically significant evidence of clinical efficacy and to further test for safety, generally at multiple geographically dispersed clinical trial sites. These clinical trials are intended to establish the overall risk/benefit ratio of the investigational product and to provide an adequate basis for product approval.

 

In some cases, the FDA may require, or companies may voluntarily pursue, additional clinical trials after a product is approved to gain more information about the product. These so- called Phase 4 trials may be made a condition to approval of the NDA or BLA. Concurrent with clinical trials, companies may complete additional animal studies and develop additional information about the biological characteristics of the product candidate, and must finalize a process for manufacturing the product in commercial quantities in accordance with cGMP requirements. The manufacturing process must be capable of consistently producing quality batches of the product candidate and, among other things, must develop methods for testing the identity, strength, quality and purity of the final product, or for biologics, the safety, purity and potency. Additionally, appropriate packaging must be selected and tested and stability studies must be conducted to demonstrate that the product candidate does not undergo unacceptable deterioration over its shelf life.

 

Application Submission, Review and Approval

 

Assuming successful completion of all required testing in accordance with all applicable regulatory requirements, the results of product development, nonclinical studies and clinical trials are submitted to the FDA as part of an NDA or BLA requesting approval to market the product for one or more indications. The NDA or BLA must include all relevant data available from pertinent preclinical and clinical trials, including negative or ambiguous results as well as positive findings, together with detailed information relating to the product’s chemistry, manufacturing, controls, and proposed labeling, among other things. The submission of an NDA or BLA requires payment of a substantial application user fee to FDA, unless a waiver or exemption applies.

 

Once an NDA or BLA has been submitted, the FDA’s goal is to review standard applications within ten months after it accepts the application for filing, or, if the application qualifies for priority review, six months after the FDA accepts the application for filing. In both standard and priority reviews, the review process is often significantly extended by FDA requests for additional information or clarification. The FDA reviews the application to determine, among other things, whether a product is safe, pure and potent and the facility in which it is manufactured, processed, packed, or held meets standards designed to assure the product’s continued safety, purity and potency. The FDA may convene an advisory committee to provide clinical insight on application review questions. Before approving an NDA or BLA, the FDA will typically inspect the facility or facilities where the product is manufactured. The FDA will not approve an application unless it determines that the manufacturing processes and facilities are in compliance with cGMP requirements and adequate to assure consistent production of the product within required specifications. Additionally, before approving an NDA or BLA, the FDA will typically inspect one or more clinical sites to assure compliance with GCP. If the FDA determines that the application, manufacturing process or manufacturing facilities are not acceptable, it will outline the deficiencies in the submission and often will request additional testing or information. Notwithstanding the submission of any requested additional information, the FDA ultimately may decide that the application does not satisfy the regulatory criteria for approval.

 

The FDA may issue an approval letter or a Complete Response letter. An approval letter authorizes commercial marketing of the product with specific prescribing information for specific indications. A Complete Response letter will describe all of the deficiencies that the FDA has identified in the NDA or BLA. In issuing the Complete Response letter, the FDA may recommend actions that the applicant might take to place the application in condition for approval, including requests for additional information or clarification. The FDA may delay or refuse approval of an application if applicable regulatory criteria are not satisfied, require additional testing or information and/or require post-marketing testing and surveillance to monitor safety or efficacy of a product.

 

If regulatory approval of a product is granted, such approval will be granted for particular indications and may entail limitations on the indicated uses for which such product may be marketed. For example, the FDA may impose a Risk Evaluation and Mitigation Strategy (REMS), to ensure the benefits of the product outweigh its risks. A REMS is a safety strategy to manage a known or potential serious risk associated with a product and to enable patients to have continued access to such medicines by managing their safe use, and could include medication guides, physician communication plans, or elements to assure safe use, such as restricted distribution methods, patient registries and other risk minimization tools. The FDA also may condition approval on, among other things, changes to proposed labeling or the development of adequate controls and specifications. Once approved, the FDA may withdraw the product approval if compliance with pre- and post-marketing requirements is not maintained or if problems occur after the product reaches the marketplace. The FDA may require one or more Phase 4 post-market trials and surveillance to further assess and monitor the product’s safety and effectiveness after commercialization, and may limit further marketing of the product based on the results of these post-marketing trials.

 

 25 

 

 

Orphan Drug Designation

 

Under the Orphan Drug Act, the FDA may grant orphan designation to a drug or biologic intended to treat a rare disease or condition, which is a disease or condition that affects fewer than 200,000 individuals in the United States, or more than 200,000 individuals in the United States for which there is no reasonable expectation that the cost of developing and making available in the United States a drug or biologic for this type of disease or condition will be recovered from sales in the United States for that drug or biologic. Orphan designation must be requested before submitting an NDA or BLA. After the FDA grants orphan designation, the generic identity of the therapeutic agent and its potential orphan use are disclosed publicly by the FDA. The orphan drug designation does not convey any advantage in, or shorten the duration of, the regulatory review or approval process.

 

If a product that has orphan designation subsequently receives the first FDA approval for the disease for which it has such designation, the product is entitled to orphan exclusivity, which means that the FDA may not approve any other applications, including a full NDA or BLA, to market the same product for the same indication for seven years, except in limited circumstances, such as a showing of clinical superiority to the product with orphan drug exclusivity. Orphan exclusivity does not prevent FDA from approving a different drug or biologic for the same disease or condition, or the same drug or biologic for a different disease or condition. Among the other benefits of orphan drug designation are tax credits for certain research and a waiver of the BLA application fee.

 

A designated orphan product may not receive orphan exclusivity if it is approved for a use that is broader than the indication for which it received orphan designation. In addition, exclusive marketing rights in the United States may be lost if the FDA later determines that the request for designation was materially defective or if the manufacturer is unable to assure sufficient quantities of the product to meet the needs of patients with the rare disease or condition.

 

Post-Approval Requirements

 

Any products manufactured or distributed pursuant to FDA approvals are subject to pervasive and continuing regulation by the FDA, including, among other things, requirements relating to quality control and quality assurance, record-keeping, reporting of adverse experiences, periodic reporting, product sampling and distribution, and advertising and promotion of the product. After approval, most changes to the approved product, such as adding new indications or other labeling claims, are subject to prior FDA review and approval. There also are continuing user fee requirements, under which FDA assesses an annual program fee for each product identified in an approved NDA or BLA. Biopharmaceutical manufacturers and their subcontractors are required to register their establishments with the FDA and certain state agencies, and are subject to periodic unannounced inspections by the FDA and certain state agencies for compliance with cGMP, which impose certain procedural and documentation requirements upon sponsors and their third-party manufacturers. Changes to the manufacturing process are strictly regulated, and, depending on the significance of the change, may require prior FDA approval before being implemented. FDA regulations also require investigation and correction of any deviations from cGMP and impose reporting requirements upon sponsor and third-party manufacturers. Accordingly, manufacturers must continue to expend time, money and effort in the area of production and quality control to maintain compliance with cGMP and other aspects of regulatory compliance.

 

The FDA may withdraw approval if compliance with regulatory requirements and standards is not maintained or if problems occur after the product reaches the market. Later discovery of previously unknown problems with a product, including adverse events of unanticipated severity or frequency, or with manufacturing processes, or failure to comply with regulatory requirements, may result in revisions to the approved labeling to add new safety information; imposition of post-market studies or clinical trials to assess new safety risks; or imposition of distribution restrictions or other restrictions under a REMS program. Other potential consequences include, among other things:

 

restrictions on the marketing or manufacturing of a product, mandated modification of promotional materials or issuance of corrective information, issuance by FDA or other regulatory authorities of safety alerts, Dear Healthcare Provider letters, press releases or other communications containing warnings or other safety information about the product, or complete withdrawal of the product from the market or product recalls;

 

 26 

 

 

fines, warning or untitled letters or holds on post-approval clinical trials;

 

refusal of the FDA to approve pending applications or supplements to approved applications, or suspension or revocation of existing product approvals;

 

product seizure or detention, or refusal of the FDA to permit the import or export of products; or

 

injunctions, consent decrees or the imposition of civil or criminal penalties.

 

The FDA closely regulates the marketing, labeling, advertising and promotion of biopharmaceuticals. A company can make only those claims relating to safety and efficacy, purity and potency of a biopharmaceutical that are approved by the FDA and in accordance with the provisions of the approved label. The FDA and other agencies actively enforce the laws and regulations prohibiting the promotion of off-label uses. Failure to comply with these requirements can result in, among other things, adverse publicity, warning letters, corrective advertising and potential civil and criminal penalties. Physicians may prescribe legally available products for uses that are not described in the product’s labeling and that differ from those approved by the FDA. Such off-label uses are common across medical specialties. Physicians may believe that such off-label uses are the best treatment for many patients in varied circumstances. The FDA does not regulate the behavior of physicians in their choice of treatments. The FDA does, however, restrict manufacturer’s communications on the subject of off-label use of their products.

 

Biosimilars and Reference Product Exclusivity

 

The Patient Protection and Affordable Care Act, as amended by the Health Care and Education Reconciliation Act (ACA), signed into law in 2010, includes a subtitle called the Biologics Price Competition and Innovation Act of 2009 (BPCIA), which created an abbreviated approval pathway for biological products that are biosimilar to or interchangeable with an FDA-approved reference biological product. To date, a number of biosimilars have been licensed under the BPCIA, and numerous biosimilars have been approved in Europe. The FDA has issued several guidance documents outlining its approach to the review and approval of biosimilars.

 

Biosimilarity, which requires that there be no clinically meaningful differences between the biological product and the reference product in terms of safety, purity, and potency, can be shown through analytical studies, animal studies, and a clinical trial or trials. Interchangeability requires that a product is biosimilar to the reference product and the product must demonstrate that it can be expected to produce the same clinical results as the reference product in any given patient and, for products that are administered multiple times to an individual, the biologic and the reference biologic may be alternated or switched after one has been previously administered without increasing safety risks or risks of diminished efficacy relative to exclusive use of the reference biologic. Complexities associated with the larger, and often more complex, structures of biological products, as well as the processes by which such products are manufactured, pose significant hurdles to implementation of the abbreviated approval pathway that are still being worked out by the FDA.

 

Under the BPCIA, an application for a biosimilar product may not be submitted to the FDA until four years following the date that the reference product was first licensed by the FDA. In addition, the approval of a biosimilar product may not be made effective by the FDA until 12 years from the date on which the reference product was first licensed. During this 12-year period of exclusivity, another company may still market a competing version of the reference product if the FDA approves a full BLA for the competing product containing that applicant’s own preclinical data and data from adequate and well-controlled clinical trials to demonstrate the safety, purity and potency of its product. The BPCIA also created certain exclusivity periods for biosimilars approved as interchangeable products. At this juncture, it is unclear whether products deemed “interchangeable” by the FDA will, in fact, be readily substituted by pharmacies, which are governed by state pharmacy law.

 

The BPCIA is complex and continues to be interpreted and implemented by the FDA. In addition, recent government proposals have sought to reduce the 12-year reference product exclusivity period. Other aspects of the BPCIA, some of which may impact the BPCIA exclusivity provisions, have also been the subject of recent litigation. As a result, the ultimate impact, implementation, and impact of the BPCIA is subject to significant uncertainty.

 

Other U.S. Healthcare Laws and Compliance Requirements

 

In the United States, ArTara’s current and future operations are subject to regulation by various federal, state and local authorities in addition to the FDA, including but not limited to, the Centers for Medicare and Medicaid Services (“CMS”), other divisions of the U.S. Department of Health and Human Services (“HHS”) (such as the Office of Inspector General, Office for Civil Rights and the Health Resources and Service Administration), the U.S. Department of Justice (“DOJ”) and individual U.S. Attorney offices within the DOJ, and state and local governments. For example, ArTara’s clinical research, sales, marketing and scientific/educational grant programs will need to comply with the anti-fraud and abuse provisions of the Social Security Act, the false claims laws, the privacy and security provisions of the Health Insurance Portability and Accountability Act (“HIPAA”), and similar state laws, each as amended, as applicable.

 

 27 

 

 

The federal Anti-Kickback Statute prohibits, among other things, any person or entity, from knowingly and willfully offering, paying, soliciting or receiving any remuneration, directly or indirectly, overtly or covertly, in cash or in kind, to induce or in return for purchasing, leasing, ordering or arranging for the purchase, lease or order of any item or service reimbursable, in whole or in part, under Medicare, Medicaid or other federal healthcare programs. The term remuneration has been interpreted broadly to include anything of value. The Anti-Kickback Statute has been interpreted to apply to arrangements between therapeutic product manufacturers on one hand and prescribers, purchasers, and formulary managers on the other. There are a number of statutory exceptions and regulatory safe harbors protecting some common activities from prosecution. The exceptions and safe harbors are drawn narrowly and practices that involve remuneration that may be alleged to be intended to induce prescribing, purchasing or recommending may be subject to scrutiny if they do not qualify for an exception or safe harbor. Failure to meet all of the requirements of a particular applicable statutory exception or regulatory safe harbor does not make the conduct per se illegal under the Anti-Kickback Statute. Instead, the legality of the arrangement will be evaluated on a case-by-case basis based on a cumulative review of all of its facts and circumstances. ArTara’s practices may not in all cases meet all of the criteria for protection under a statutory exception or regulatory safe harbor.

 

Additionally, the intent standard under the Anti-Kickback Statute was amended by the Patient Protection and Affordable Care Act, as amended by the Health Care and Education Reconciliation Act of 2010 (the “Affordable Care Act”) to a stricter standard such that a person or entity no longer needs to have actual knowledge of the statute or specific intent to violate it in order to have committed a violation. In addition, the Affordable Care Act codified case law that a claim including items or services resulting from a violation of the federal Anti-Kickback Statute constitutes a false or fraudulent claim for purposes of the federal False Claims Act (the “FCA”) (discussed below).

 

The federal false claims, including the FCA, and civil monetary penalty laws, which imposes significant penalties and can be enforced by private citizens through civil qui tam actions, prohibit any person or entity from, among other things, knowingly presenting, or causing to be presented, a false or fraudulent claim for payment to, or approval by, the federal government, including federal healthcare programs, such as Medicare and Medicaid, knowingly making, using, or causing to be made or used a false record or statement material to a false or fraudulent claim to the federal government, or knowingly making a false statement to improperly avoid, decrease or conceal an obligation to pay money to the federal government. A claim includes “any request or demand” for money or property presented to the U.S. government. For instance, historically, pharmaceutical and other healthcare companies have been prosecuted under these laws for allegedly providing free product to customers with the expectation that the customers would bill federal programs for the product. Other companies have been prosecuted for causing false claims to be submitted because of the companies’ marketing of the product for unapproved, off-label, and thus generally non-reimbursable, uses.

 

HIPAA created additional federal criminal statutes that prohibit, among other things, knowingly and willfully executing, or attempting to execute, a scheme to defraud or to obtain, by means of false or fraudulent pretenses, representations or promises, any money or property owned by, or under the control or custody of, any healthcare benefit program, including private third-party payors, willfully obstructing a criminal investigation of a healthcare offense, and knowingly and willfully falsifying, concealing or covering up by trick, scheme or device, a material fact or making any materially false, fictitious or fraudulent statement in connection with the delivery of or payment for healthcare benefits, items or services. Like the Anti-Kickback Statute, the Affordable Care Act amended the intent standard for certain healthcare fraud statutes under HIPAA such that a person or entity no longer needs to have actual knowledge of the statute or specific intent to violate it in order to have committed a violation.

 

Also, many states have similar, and typically more prohibitive, fraud and abuse statutes or regulations that apply to items and services reimbursed under Medicaid and other state programs, or, in several states, apply regardless of the payor.

 

ArTara may be subject to data privacy and security regulations by both the federal government and the states in which it conducts business. HIPAA, as amended by the Health Information Technology for Economic and Clinical Health Act (HITECH) and its implementing regulations, imposes requirements relating to the privacy, security and transmission of individually identifiable health information. Among other things, HITECH makes HIPAA’s privacy and security standards directly applicable to business associates, independent contractors, or agents of covered entities that receive or obtain protected health information in connection with providing a service on behalf of a covered entity. HITECH also created four new tiers of civil monetary penalties, amended HIPAA to make civil and criminal penalties directly applicable to business associates, and gave state attorneys general new authority to file civil actions for damages or injunctions in federal courts to enforce HIPAA and seek attorneys’ fees and costs associated with pursuing federal civil actions. In addition, many state laws govern the privacy and security of health information in specified circumstances, many of which differ from each other in significant ways, are often not pre-empted by HIPAA, and may have a more prohibitive effect than HIPAA, thus complicating compliance efforts.

 

 28 

 

 

ArTara may develop products that, once approved, may be administered by a physician. Under currently applicable U.S. law, certain products not usually self-administered (including injectable drugs) may be eligible for coverage under Medicare through Medicare Part B. Medicare Part B is part of original Medicare, the federal health care program that provides health care benefits to the aged and disabled, and covers outpatient services and supplies, including certain biopharmaceutical products, that are medically necessary to treat a beneficiary’s health condition. As a condition of receiving Medicare Part B reimbursement for a manufacturer’s eligible drugs, the manufacturer is required to participate in other government healthcare programs, including the Medicaid Drug Rebate Program and the 340B Drug Pricing Program. The Medicaid Drug Rebate Program requires pharmaceutical manufacturers to enter into and have in effect a national rebate agreement with the Secretary of HHS as a condition for states to receive federal matching funds for the manufacturer’s outpatient drugs furnished to Medicaid patients. Under the 340B Drug Pricing Program, the manufacturer must extend discounts to entities that participate in the program.

 

In addition, many pharmaceutical manufacturers must calculate and report certain price reporting metrics to the government, such as average sales price (“ASP”) and best price. Penalties may apply in some cases when such metrics are not submitted accurately and timely. Further, these prices for drugs may be reduced by mandatory discounts or rebates required by government healthcare programs or private payors and by any future relaxation of laws that presently restrict imports of drugs from countries where they may be sold at lower prices than in the United States. It is difficult to predict how Medicare coverage and reimbursement policies will be applied to ArTara’s products in the future and coverage and reimbursement under different federal healthcare programs are not always consistent. Medicare reimbursement rates may also reflect budgetary constraints placed on the Medicare program.

 

Additionally, the federal Physician Payments Sunshine Act (the “Sunshine Act”), within the Affordable Care Act, and its implementing regulations, require that certain manufacturers of drugs, devices, biological and medical supplies for which payment is available under Medicare, Medicaid or the Children’s Health Insurance Program (with certain exceptions) report annually to CMS information related to certain payments or other transfers of value made or distributed to physicians, as defined by such law, and teaching hospitals, or to entities or individuals at the request of, or designated on behalf of, the physicians and teaching hospitals and to report annually certain ownership and investment interests held by physicians and their immediate family members. Failure to report accurately could result in penalties. In addition, many states also govern the reporting of payments or other transfers of value, many of which differ from each other in significant ways, are often not pre-empted, and may have a more prohibitive effect than the Sunshine Act, thus further complicating compliance efforts.

 

In order to distribute products commercially, ArTara must comply with state laws that require the registration of manufacturers and wholesale distributors of drug and biological products in a state, including, in certain states, manufacturers and distributors who ship products into the state even if such manufacturers or distributors have no place of business within the state. Some states also impose requirements on manufacturers and distributors to establish the pedigree of product in the chain of distribution, including some states that require manufacturers and others to adopt new technology capable of tracking and tracing product as it moves through the distribution chain. Several states and/or localities have enacted legislation requiring pharmaceutical and biotechnology companies to establish marketing compliance programs, file periodic reports with the state, make periodic public disclosures on sales, marketing, pricing, clinical trials and other activities, and/or register their sales representatives, as well as to prohibit pharmacies and other healthcare entities from providing certain physician prescribing data to pharmaceutical and biotechnology companies for use in sales and marketing, and to prohibit certain other sales and marketing practices. All of ArTara’s activities are potentially subject to federal and state consumer protection and unfair competition laws.

 

Ensuring business arrangements with third parties comply with applicable healthcare laws and regulations is a costly endeavor. If ArTara’s operations are found to be in violation of any of the federal and state healthcare laws described above or any other current or future governmental regulations that apply to it, it may be subject to penalties, including without limitation, significant civil, criminal and/or administrative penalties, damages, fines, disgorgement, imprisonment, exclusion from participation in government programs, such as Medicare and Medicaid, injunctions, private “qui tam” actions brought by individual whistleblowers in the name of the government, or refusal to allow it to enter into government contracts, contractual damages, reputational harm, administrative burdens, diminished profits and future earnings, additional reporting obligations and oversight if ArTara becomes subject to a corporate integrity agreement or other agreement to resolve allegations of non-compliance with these laws, and the curtailment or restructuring of its operations, any of which could adversely affect ArTara’s ability to operate its business and its results of operations.

 

 29 

 

 

Coverage, Pricing and Reimbursement

 

Significant uncertainty exists as to the coverage and reimbursement status of any product candidates for which ArTara may obtain regulatory approval. In the United States and in foreign markets, sales of any products for which ArTara receives regulatory approval for commercial sale will depend, in part, on the extent to which third-party payors provide coverage and establish adequate reimbursement levels for such products. In the United States, third-party payors include federal and state healthcare programs, private managed care providers, health insurers and other organizations. Adequate coverage and reimbursement from governmental healthcare programs, such as Medicare and Medicaid in the United States, and commercial payors are critical to new product acceptance.

 

ArTara’s ability to commercialize any products successfully also will depend in part on the extent to which coverage and reimbursement for these products and related treatments will be available from government health administration authorities, private health insurers and other organizations. Government authorities and other third-party payors, such as private health insurers and health maintenance organizations, decide which therapeutics they will pay for and establish reimbursement levels. Coverage and reimbursement by a third-party payor may depend upon a number of factors, including the third-party payor’s determination that use of a therapeutic is:

 

a covered benefit under its health plan;

 

safe, effective and medically necessary;

 

appropriate for the specific patient;

 

cost-effective; and

 

neither experimental nor investigational.

 

ArTara cannot be sure that reimbursement will be available for any product that it commercializes and, if coverage and reimbursement are available, what the level of reimbursement will be. Coverage may also be more limited than the purposes for which the product is approved by the FDA or comparable foreign regulatory authorities. Reimbursement may impact the demand for, or the price of, any product for which ArTara obtains regulatory approval.

 

Third-party payors are increasingly challenging the price, examining the medical necessity, and reviewing the cost-effectiveness of medical products, therapies and services, in addition to questioning their safety and efficacy. Obtaining reimbursement for ArTara’s products may be particularly difficult because of the higher prices often associated with branded drugs and drugs administered under the supervision of a physician. ArTara may need to conduct expensive pharmacoeconomic studies in order to demonstrate the medical necessity and cost-effectiveness of its products, in addition to the costs required to obtain FDA approvals. ArTara’s product candidates may not be considered medically necessary or cost-effective. Obtaining coverage and reimbursement approval of a product from a government or other third-party payor is a time-consuming and costly process that could require ArTara to provide to each payor supporting scientific, clinical and cost-effectiveness data for the use of its product on a payor-by-payor basis, with no assurance that coverage and adequate reimbursement will be obtained. A payor’s decision to provide coverage for a product does not imply that an adequate reimbursement rate will be approved. Further, one payor’s determination to provide coverage for a product does not assure that other payors will also provide coverage for the product. Adequate third-party reimbursement may not be available to enable ArTara to maintain price levels sufficient to realize an appropriate return on ArTara’s investment in product development. If reimbursement is not available or is available only at limited levels, ArTara may not be able to successfully commercialize any product candidate that it successfully develops.

 

Different pricing and reimbursement schemes exist in other countries. In the European Union, governments influence the price of biopharmaceutical products through their pricing and reimbursement rules and control of national health care systems that fund a large part of the cost of those products to consumers. Some jurisdictions operate positive and negative list systems under which products may only be marketed once a reimbursement price has been agreed. To obtain reimbursement or pricing approval, some of these countries may require the completion of clinical trials that compare the cost effectiveness of a particular product candidate to currently available therapies. Other member states allow companies to fix their own prices for medicines but monitor and control company profits. The downward pressure on health care costs has become intense. As a result, increasingly high barriers are being erected to the entry of new products. In addition, in some countries, cross-border imports from low-priced markets exert a commercial pressure on pricing within a country.

 

 30 

 

 

The marketability of any product candidates for which ArTara receives regulatory approval for commercial sale may suffer if the government and third-party payors fail to provide adequate coverage and reimbursement. In addition, emphasis on managed care, the increasing influence of health maintenance organizations, and additional legislative changes in the United States has increased, and ArTara expects will continue to increase, the pressure on healthcare pricing. The downward pressure on the rise in healthcare costs in general, particularly prescription medicines, medical devices and surgical procedures and other treatments, has become very intense. Coverage policies and third-party reimbursement rates may change at any time. Even if favorable coverage and reimbursement status is attained for one or more products for which ArTara receives regulatory approval, less favorable coverage policies and reimbursement rates may be implemented in the future.

 

Healthcare Reform

 

In the United States and some foreign jurisdictions, there have been, and continue to be, several legislative and regulatory changes and proposed changes regarding the healthcare system that could prevent or delay marketing approval of product candidates, restrict or regulate post-approval activities, and affect the ability to profitably sell product candidates for which marketing approval is obtained. Among policy makers and payors in the United States and elsewhere, there is significant interest in promoting changes in healthcare systems with the stated goals of containing healthcare costs, improving quality and/or expanding access. In the United States, the pharmaceutical industry has been a particular focus of these efforts and has been significantly affected by major legislative initiatives.

 

For example, the Affordable Care Act has substantially changed healthcare financing and delivery by both governmental and private insurers. Among the Affordable Care Act provisions of importance to the pharmaceutical and biotechnology industries, in addition to those otherwise described above, are the following:

 

an annual, nondeductible fee on any entity that manufactures or imports certain specified branded prescription drugs and biologic agents apportioned among these entities according to their market share in some government healthcare programs;

 

an increase in the statutory minimum rebates a manufacturer must pay under the Medicaid Drug Rebate Program to 23.1% and 13% of the average manufacturer price for most branded and generic drugs, respectively, and capped the total rebate amount for innovator drugs at 100% of the Average Manufacturer Price (the “AMP”);

 

a new Medicare Part D coverage gap discount program, in which manufacturers must now agree to offer 70% point-of-sale discounts off negotiated prices of applicable brand drugs to eligible beneficiaries during their coverage gap period, as a condition for the manufacturers’ outpatient drugs to be covered under Medicare Part D;

 

extension of manufacturers’ Medicaid rebate liability to covered drugs dispensed to individuals who are enrolled in Medicaid managed care organizations;

 

expansion of eligibility criteria for Medicaid programs by, among other things, allowing states to offer Medicaid coverage to additional individuals and by adding new mandatory eligibility categories for individuals with income at or below 133% of the federal poverty level, thereby potentially increasing manufacturers’ Medicaid rebate liability;

 

expansion of the entities eligible for discounts under the 340B Drug Discount Program;

 

a new Patient-Centered Outcomes Research Institute to oversee, identify priorities in, and conduct comparative clinical effectiveness research, along with funding for such research;

 

expansion of healthcare fraud and abuse laws, including the FCA and the Anti-Kickback Statute, new government investigative powers, and enhanced penalties for noncompliance;

 

a new methodology by which rebates owed by manufacturers under the Medicaid Drug Rebate Program are calculated for drugs that are inhaled, infused, instilled, implanted, or injected;

 

requirements to report certain financial arrangements with physicians and teaching hospitals;

 

a requirement to annually report certain information regarding drug samples that manufacturers and distributors provide to physicians;

 

 31 

 

 

establishment of a Center for Medicare and Medicaid Innovation at CMS to test innovative payment and service delivery models to lower Medicare and Medicaid spending; and

 

a licensure framework for follow on biologic products.

 

There remain legal and political challenges to certain aspects of the Affordable Care Act. Since January 2017, President Trump has signed two executive orders and other directives designed to delay, circumvent, or loosen certain requirements mandated by the Affordable Care Act. In December 2017, Congress repealed the tax penalty for an individual’s failure to maintain Affordable Care Act-mandated health insurance as part of a tax reform bill. Further, the 2020 federal spending package permanently eliminated, effective January 1, 2020, the Affordable Care Act-mandated “Cadillac” tax on high-cost employer-sponsored health coverage and medical device tax and, effective January 1, 2021, also eliminates the health insurer tax. Moreover, the Bipartisan Budget Act of 2018 (BBA), among other things, amends the Affordable Care Act, effective January 1, 2019, to close the coverage gap in most Medicare drug plans, commonly referred to as the “donut hole.” In December 2018, CMS published a new final rule permitting further collections and payments to and from certain qualified health plans and health insurance issuers under the Affordable Care Act risk adjustment program in response to the outcome of federal district court litigation regarding the method CMS uses to determine this risk adjustment. On December 14, 2018, a U.S. District Court Judge in the Northern District of Texas ruled that the individual mandate is a critical and inseverable feature of the Affordable Care Act, and therefore, because it was repealed as part of the tax reform bill, the remaining provisions of the Affordable Care Act are invalid as well. Additionally, on December 18, 2019, the U.S. Court of Appeals for the 5th Circuit upheld the District Court ruling that the individual mandate was unconstitutional and remanded the case back to the District Court to determine whether the remaining provisions of the Affordable Care Act are invalid as well. It is unclear how this decision, future decisions, subsequent appeals, if any, and other efforts to repeal and replace the Affordable Care Act will impact the Affordable Care Act. Congress is continuing to consider legislation that would alter other aspects of the Affordable Care Act. The ultimate content, timing or effect of any healthcare reform legislation on the U.S. healthcare industry is unclear.

 

ArTara anticipates that the Affordable Care Act, if substantially maintained in its current form, will continue to result in additional downward pressure on coverage and the price that ArTara receives for any approved product, and could seriously harm its business. Any reduction in reimbursement from Medicare and other government programs may result in a similar reduction in payments from private payors. The implementation of cost containment measures or other healthcare reforms may prevent ArTara from being able to generate revenue, attain profitability, or commercialize ArTara’s products. Such reforms could have an adverse effect on anticipated revenue from product candidates that ArTara may successfully develop and for which ArTara may obtain regulatory approval and may affect its overall financial condition and ability to develop product candidates.

 

Further legislation or regulation could be passed that could harm ArTara’s business, financial condition and results of operations. Other legislative changes have been proposed and adopted since the Affordable Care Act was enacted. For example, in August 2011, President Obama signed into law the Budget Control Act of 2011, which, among other things, created the Joint Select Committee on Deficit Reduction to recommend to Congress proposals in spending reductions. The Joint Select Committee on Deficit Reduction did not achieve a targeted deficit reduction of at least $1.2 trillion for fiscal years 2012 through 2021, triggering the legislation’s automatic reduction to several government programs. This includes aggregate reductions to Medicare payments to providers of up to 2% per fiscal year, which went into effect beginning on April 1, 2013 and will stay in effect through 2029 unless additional Congressional action is taken. In January 2013, the American Taxpayer Relief Act of 2012 was signed into law, which, among other things, further reduced Medicare payments to several types of providers, including hospitals, imaging centers and cancer treatment centers, and increased the statute of limitations period for the government to recover overpayments to providers from three to five years.

 

Additionally, there has been increasing legislative and enforcement interest in the United States with respect to specialty drug pricing practices. Specifically, there have been several recent U.S. Congressional inquiries and proposed federal legislation designed to, among other things, bring more transparency to drug pricing, reduce the cost of prescription drugs under Medicare, review the relationship between pricing and manufacturer patient programs, and reform government program reimbursement methodologies for drugs. At the federal level, the Trump administration’s budget proposal for fiscal year 2021 includes a $135 billion allowance to support legislative proposals seeking to reduce drug prices, increase competition, lower out-of-pocket drug costs for patients, and increase patient access to lower-cost generic and biosimilar drugs. Further, the Trump administration previously released a “Blueprint,” or plan, to lower drug prices and reduce out of pocket costs of drugs that contains additional proposals to increase drug manufacturer competition, increase the negotiating power of certain federal healthcare programs, incentivize manufacturers to lower the list price of their products, and reduce the out of pocket costs of drug products paid by consumers. HHS has solicited feedback on some of these measures and has implemented others under its existing authority. For example, in May 2019, CMS issued a final rule to allow Medicare Advantage Plans the option of using step therapy for Part B drugs beginning January 1, 2020. This final rule codified CMS’s policy change that was effective January 1, 2019. While some proposed measures will require additional authorization to become effective, Congress and the Trump administration have each indicated that it will continue to seek new legislative and/or administrative measures to control drug costs. Individual states in the United States have also become increasingly active in passing legislation and implementing regulations designed to control biopharmaceutical product pricing, including price or patient reimbursement constraints, discounts, restrictions on certain product access and marketing cost disclosure and transparency measures, and, in some cases, designed to encourage importation from other countries and bulk purchasing.

 

 32 

 

 

The Foreign Corrupt Practices Act

 

The Foreign Corrupt Practices Act (the “FCPA”), prohibits any U.S. individual or business from paying, offering, or authorizing payment or offering of anything of value, directly or indirectly, to any foreign official, political party or candidate for the purpose of influencing any act or decision of the foreign entity in order to assist the individual or business in obtaining or retaining business. The FCPA also obligates companies whose securities are listed in the United States to comply with accounting provisions requiring ArTara to maintain books and records that accurately and fairly reflect all transactions of the corporation, including international subsidiaries, and to devise and maintain an adequate system of internal accounting controls for international operations.

 

Additional Regulation

 

In addition to the foregoing, state and federal laws regarding environmental protection and hazardous substances, including the Occupational Safety and Health Act, the Resource Conservancy and Recovery Act and the Toxic Substances Control Act, affect ArTara’s business. These and other laws govern ArTara’s use, handling and disposal of various biological, chemical and radioactive substances used in, and wastes generated by, ArTara’s operations. If ArTara’s operations result in contamination of the environment or expose individuals to hazardous substances, ArTara could be liable for damages and governmental fines. ArTara believes that it is in material compliance with applicable environmental laws and that continued compliance therewith will not have a material adverse effect on its business. ArTara cannot predict, however, how changes in these laws may affect its future operations.

 

Other Regulations

 

ArTara is also subject to numerous federal, state and local laws relating to such matters as safe working conditions, manufacturing practices, environmental protection, fire hazard control, and disposal of hazardous or potentially hazardous substances. ArTara may incur significant costs to comply with such laws and regulations now or in the future.

 

Employees

 

As of March 10, 2020, we had twelve employees, eight of whom were full-time employees, one of whom was a part-time employee, and three of whom were contract employees. As of March 10, 2020, four of ArTara’s employees were engaged in research and development activities and eight of its employees were engaged in business development, finance, information systems, facilities, human resources or administrative support. As of March 10, 2020, all of ArTara’s employees were located in the U.S. None of ArTara’s U.S. employees are represented by any collective bargaining agreements. ArTara believes that it maintains good relations with its employees.

 

Item 1A.Risk Factors.

 

You should consider carefully the following information about the risks described below, together with the other information contained in this Annual Report and in our other public filings, in evaluating our business. If any of the following risks actually occurs, our business, financial condition, results of operations, and future growth prospects would likely be materially and adversely affected. In these circumstances, the market price of our common stock would likely decline.

 

Risks Related to ArTara’s Financial Condition

 

ArTara has a very limited operating history and has never generated any revenues.

 

ArTara is an early-stage biopharmaceutical company with a very limited operating history that may make it difficult to evaluate the success of its business to date and to assess its future viability. ArTara’s operations with respect to the entity that operationally survived the Merger, have been limited to organizing and staffing the company, business planning, raising capital and in-licensing rights to TARA-002 and IV Choline Chloride, have been limited to business planning, raising capital, developing ArTara’s pipeline assets (TARA-002 and IV Choline Chloride), identifying product candidates, and other research and development. ArTara has not yet demonstrated an ability to successfully complete any clinical trials and has never completed the development of any product candidate, nor has it ever generated any revenue from product sales or otherwise. Consequently, ArTara has no meaningful operations upon which to evaluate its business, and predictions about its future success or viability may not be as accurate as they could be if it had a longer operating history or a history of successfully developing and commercializing biopharmaceutical products.

 

 33 

 

 

ArTara expects to incur significant losses for the foreseeable future and may never achieve or maintain profitability.

 

Investment in biopharmaceutical product development is highly speculative because it entails substantial upfront capital expenditures and significant risk that a product candidate will fail to gain regulatory approval or become commercially viable. ArTara has never generated any revenues, and cannot estimate with precision the extent of our future losses. ArTara expects to incur increasing levels of operating losses for the foreseeable future as it executes on the plan to continue research and development activities, including the ongoing and planned clinical development of its product candidates, potentially acquire new products and/or product candidates, seek regulatory approvals of and potentially commercialize any approved product candidates, hire additional personnel, protect its intellectual property, and incur the additional costs of operating as a public company. ArTara expects to continue to incur significant and increasing operating losses and negative cash flows for the foreseeable future. These losses have had and will continue to have an adverse effect on ArTara’s financial position and working capital.

 

To become and remain profitable, ArTara must develop or acquire and eventually commercialize a product with significant market potential. This will require the Company to be successful in a range of challenging activities, including completing preclinical studies and clinical trials, obtaining marketing approval, manufacturing, marketing and selling any product candidate for which ArTara obtains marketing approval, and satisfying post-marketing requirements, if any. ArTara may never succeed in these activities and, even if ArTara succeeds in obtaining approval for and commercializing one or more products, ArTara may never generate revenues that are significant enough to achieve profitability. In addition, as a young business, ArTara may encounter unforeseen expenses, difficulties, complications, delays and other known and unknown challenges. Furthermore, because of the numerous risks and uncertainties associated with biopharmaceutical product development, ArTara is unable to accurately predict the timing or amount of increased expenses or when, or if, ArTara will be able to achieve profitability. If ArTara achieves profitability, it may not be able to sustain or increase profitability on a quarterly or annual basis and may continue to incur substantial research and development and other expenditures to develop and market additional product candidates. ArTara’s failure to become and remain profitable would decrease the value of the company and could impair its ability to raise capital, maintain its research and development efforts, expand the business or continue operations. A decline in the value of the Company could also cause you to lose all or part of your investment.

 

ArTara will need to raise additional financing in the future to fund ArTara’s operations, which may not be available to it on favorable terms or at all.

 

ArTara will require substantial additional funds to conduct the costly and time-consuming clinical efficacy trials necessary to pursue regulatory approval of each potential product candidate and to continue the development of TARA-002 and IV Choline Chloride in new indications or uses. ArTara’s future capital requirements will depend upon a number of factors, including: the number and timing of future product candidates in the pipeline; progress with and results from preclinical testing and clinical trials; the ability to manufacture sufficient drug supplies to complete preclinical and clinical trials; the costs involved in preparing, filing, acquiring, prosecuting, maintaining and enforcing patent and other intellectual property claims; and the time and costs involved in obtaining regulatory approvals and favorable reimbursement or formulary acceptance. Raising additional capital may be costly or difficult to obtain and could significantly dilute stockholders’ ownership interests or inhibit ArTara’s ability to achieve its business objectives. If ArTara raises additional funds through public or private equity offerings, the terms of these securities may include liquidation or other preferences that adversely the rights of its common stockholders. Further, to the extent that ArTara raises additional capital through the sale of common stock or securities convertible or exchangeable into common stock, your ownership interest in ArTara will be diluted. In addition, any debt financing may subject ArTara to fixed payment obligations and covenants limiting or restricting its ability to take specific actions, such as incurring additional debt, making capital expenditures or declaring dividends. If ArTara raises additional capital through marketing and distribution arrangements or other collaborations, strategic alliances or licensing arrangements with third parties, ArTara may have to relinquish certain valuable intellectual property or other rights to its product candidates, technologies, future revenue streams or research programs or grant licenses on terms that may not be favorable to it. Even if ArTara were to obtain sufficient funding, there can be no assurance that it will be available on terms acceptable to ArTara or its stockholders.

 

Clinical drug development is very expensive, time-consuming and uncertain.

 

Clinical development for ArTara’s product candidates is very expensive, time-consuming, difficult to design and implement, and the outcomes are inherently uncertain. Most product candidates that commence clinical trials are never approved by regulatory authorities for commercialization and of those that are approved many do not cover their costs of development. In addition, ArTara, any partner with which it may in the future collaborate, the FDA, an institutional review board (IRB), or other regulatory authorities, including state and local agencies and counterpart agencies in foreign countries, may suspend, delay, require modifications to or terminate ArTara’s clinical trials at any time.

 

 34 

 

 

Risks Related to Drug/Biologics Development

 

ArTara’s business depends on the successful clinical development, regulatory approval and commercialization of TARA-002 and IV Choline Chloride.

 

The success of ArTara’s business, including its ability to finance itself and generate revenue in the future, primarily depends on the successful development, regulatory approval and commercialization of TARA-002 and IV Choline Chloride. The clinical and commercial success of TARA-002 and IV Choline Chloride depends on a number of factors, including the following:

 

·timely and successful completion of required clinical trials not yet initiated, which may be significantly slower or costlier than ArTara currently anticipates and/or produce results that do not achieve the endpoints of the trials;

 

·whether ArTara is required by the FDA or similar foreign regulatory agencies to conduct additional studies beyond those planned to support the approval and commercialization of TARA-002 and IV Choline Chloride;

 

·achieving and maintaining, and, where applicable, ensuring that ArTara’s third-party contractors achieve and maintain compliance with their contractual obligations and with all regulatory requirements applicable to TARA-002 and IV Choline Chloride;

 

·ability of third parties with whom ArTara contracts to manufacture adequate clinical trial and commercial supplies of TARA-002 and IV Choline Chloride, to remain in good standing with regulatory agencies and to develop, validate and maintain commercially viable manufacturing processes that are compliant with current good manufacturing practices (“cGMP”);

 

·a continued acceptable safety profile during clinical development and following approval of TARA-002 and IV Choline Chloride;

 

·ability to obtain favorable labeling for TARA-002 and IV Choline Chloride through regulators that allows for successful commercialization, given the drugs may be marketed only to the extent approved by these regulatory authorities (unlike with most other industries);

 

·ability to successfully commercialize TARA-002 and IV Choline Chloride in the United States and internationally, if approved for marketing, sale and distribution in such countries and territories, whether alone or in collaboration others;

 

·acceptance by physicians, insurers and payors, and patients of the quality, benefits, safety and efficacy of TARA-002 and IV Choline Chloride, if either is approved, including relative to alternative and competing treatments;

 

·existence of a regulatory environment conducive to the success of TARA-002 and IV Choline Chloride;

 

·ability to price TARA-002 and IV Choline Chloride to recover ArTara’s development costs and generate a satisfactory profit margin; and

 

·ArTara’s ability and its partners’ ability to establish and enforce intellectual property rights in and to TARA-002 and IV Choline Chloride.

 

If ArTara does not achieve one or more of these factors, many of which are beyond its control, in a timely manner or at all, ArTara could experience significant delays or an inability to obtain regulatory approvals or commercialize TARA-002 and IV Choline Chloride. Even if regulatory approvals are obtained, ArTara may never be able to successfully commercialize TARA-002 and IV Choline Chloride. Accordingly, ArTara cannot assure you that it will be able to generate sufficient revenue through the sale of TARA-002 and IV Choline Chloride to continue its business.

 

 35 

 

 

ArTara has never conducted a clinical trial itself and may be unable to successfully do so for TARA-002 or IV Choline Chloride.

 

The conduct of a clinical trials is a long, expensive, complicated and highly regulated process. Although ArTara’s employees have conducted successful clinical trials in the past across many therapeutic areas while employed at other companies, ArTara as a company has not conducted any clinical trials, and as a result may require more time and incur greater costs than it anticipates. Failure to commence or complete, or delays in, ArTara’s planned clinical trials would prevent it from or delay ArTara in obtaining regulatory approval of and commercializing TARA-002 and IV Choline Chloride, which would adversely impact its financial performance, as well as subjecting it to significant contract liabilities.

 

TARA-002 is an immunotherapy, the first indication for which ArTara plans to pursue is the treatment of lymphatic malformations, an indication for which there are no FDA-approved therapies. This makes it difficult to predict the timing and costs of clinical development for TARA-002, as well as the regulatory approval path.

 

To date, there are no FDA-approved therapies for the treatment of lymphatic malformations and the standard of care is surgery. The regulatory approval process for novel product candidates such as TARA-002 can be more expensive and take longer than for other, better known or extensively studied therapeutic approaches. In addition, the clinical trials conducted on TARA-002 in the United States to date, included a control arm in which treatment was initially delayed. It is unclear whether this trial design could support FDA approval or whether a placebo-control or other randomization will be required by the FDA. Delay or failure to obtain, or unexpected costs in obtaining, the regulatory approval necessary to bring TARA-002 to market could decrease ArTara’s ability to generate sufficient revenue to maintain its business.

 

The regulatory path to approval of TARA-002 is dependent on FDA acceptance on prior clinical data from OK-432.

 

The proposed regulatory strategy for the TARA-002 program is combination of demonstrating comparability to a product that is not FDA approved. By demonstrating that TARA-002 is, in fact, OK-432, ArTara believes that the large volume of data published on OK-432 including the data generated by the University of Iowa led study will then apply to TARA-002. This strategy will rely on some components of a biosimilar pathway, with a significant difference being that the same genetically distinct strain and proprietary manufacturing processes will be used to produce TARA-002 as OK-432. If comparability is demonstrated and accepted by regulatory authorities, ArTara will attempt to rely on existing OK-432 safety and efficacy data to file the Biologics Licensing Application (BLA). There is no example to date of a biologic product that was approved utilizing this regulatory approach that we are aware of.

 

ArTara’s product candidates may cause undesirable side effects or have other unexpected properties that could delay or prevent their regulatory approval, limit the commercial profile of an approved label, or result in post-approval regulatory action.

 

Unforeseen side effects from TARA-002 or IV Choline Chloride could arise either during clinical development or, if approved, after it has been marketed. Undesirable side effects could cause ArTara, any partners with which ArTara may collaborate, or regulatory authorities to interrupt, extend, modify, delay or halt clinical trials and could result in a more restrictive or narrower label or the delay or denial of regulatory approval by the FDA or comparable foreign authorities.

 

Results of clinical trials could reveal a high and unacceptable severity and prevalence of side effects. In such an event, trials could be suspended or terminated, and the FDA or comparable foreign regulatory authorities could order us to cease further development of or deny approval of a product candidate for any or all targeted indications. The drug-related side effects could affect patient recruitment or the ability of enrolled patients to complete the trial or result in product liability claims. Any of these occurrences may harm ArTara’s business, financial condition, operating results and prospects.

 

Additionally, if ArTara or others identify undesirable side effects, or other previously unknown problems, caused by a product after obtaining U.S. or foreign regulatory approval, a number of potentially negative consequences could result, which could prevent ArTara or its potential partners from achieving or maintaining market acceptance of the product and could substantially increase the costs of commercializing such product.

 

 36 

 

 

Even if a product candidate obtains regulatory approval, it may fail to achieve the broad degree of physician and patient adoption and use necessary for commercial success.

 

The commercial success of both TARA-002 and IV Choline Chloride, if approved, will depend significantly on the broad adoption and use of them by physicians and patients for approved indications, and neither may be commercially successful even though the product is shown to be safe and effective. The degree and rate of physician and patient adoption of a product, if approved, will depend on a number of factors, including but not limited to:

 

·patient demand for approved products that treat the indication for which a product is approved;

 

·the effectiveness of the product compared to other available therapies;

 

·the availability of coverage and adequate reimbursement from managed care plans and other healthcare payors;

 

·the cost of treatment in relation to alternative treatments and willingness to pay on the part of patients;

 

·in the case of TARA-002, overcoming physician or patient biases toward surgery for the treatment of lymphatic malformations;

 

·insurers’ willingness to see the applicable indication as a disease worth treating;

 

·proper administration;

 

·patient satisfaction with the results, administration and overall treatment experience;

 

·limitations or contraindications, warnings, precautions or approved indications for use different than those sought by ArTara that are contained in the final FDA-approved labeling for the applicable product;

 

·any FDA requirement to undertake a risk evaluation and mitigation strategy;

 

·the effectiveness of ArTara’s sales, marketing, pricing, reimbursement and access, government affairs, and distribution efforts;

 

·adverse publicity about a product or favorable publicity about competitive products;

 

·new government regulations and programs, including price controls and/or limits or prohibitions on ways to commercialize drugs, such as increased scrutiny on direct-to-consumer advertising of pharmaceuticals; and

 

·potential product liability claims or other product-related litigation.

 

If either of TARA-002 or IV Choline Chloride is approved for use but fails to achieve the broad degree of physician and patient adoption necessary for commercial success, ArTara’s operating results and financial condition will be adversely affected, which may delay, prevent or limit its ability to generate revenue and continue its business.

 

Any adverse developments that occur in patients undergoing treatment with OK-432 / Picibanil or in patients participating in clinical trials conducted by third parties may affect ArTara’s ability to obtain regulatory approval or commercialize TARA-002.

 

Chugai Pharmaceutical Co., Ltd., over which ArTara has no control, has the rights to commercialize TARA-002 and it is currently marketed in Japan and Taiwan, under the name Picibanil for various indications. In addition, clinical trials using Picibanil are currently ongoing in various countries around the world. If serious adverse events occur with patients using Picibanil or during any clinical trials of Picibanil conducted by third parties, the FDA may delay, limit or deny approval of TARA-002 or require ArTara to conduct additional clinical trials as a condition to marketing approval, which would increase its costs. If ArTara receives FDA approval for TARA-002 and a new and serious safety issue is identified in connection with use of Picibanil or in clinical trials of Picibanil conducted by third parties, the FDA may withdraw their approval of the product or otherwise restrict ArTara’s ability to market and sell TARA-002. In addition, treating physicians may be less willing to administer TARA-002 due to concerns over such adverse events, which would limit ArTara’s ability to commercialize TARA-002.

 

 37 

 

 

ArTara may in the future conduct clinical trials for its product candidates outside the United States, and the FDA and applicable foreign regulatory authorities may not accept data from such trials.

 

ArTara may in the future choose to conduct one or more of its clinical trials outside of the United States. Although the FDA or applicable foreign regulatory authority may accept data from clinical trials conducted outside the United States or the applicable jurisdiction, acceptance of such study data by the FDA or applicable foreign regulatory authority may be subject to certain conditions or exclusion. Where data from foreign clinical trials are intended to serve as the basis for marketing approval in the United States, the FDA will not approve the application on the basis of foreign data alone unless such data are applicable to the U.S. population and U.S. medical practice; the studies were performed by clinical investigators of recognized competence; and the data are considered valid without the need for an on-site inspection by the FDA or, if the FDA considers such an inspection to be necessary, the FDA is able to validate the data through an on-site inspection or other appropriate means. Many foreign regulatory bodies have similar requirements. In addition, such foreign studies would be subject to the applicable local laws of the foreign jurisdictions where the studies are conducted. There can be no assurance the FDA or applicable foreign regulatory authority will accept data from trials conducted outside of the United States or the applicable home country. If the FDA or applicable foreign regulatory authority does not accept such data, it would likely result in the need for additional trials, which would be costly and time-consuming and delay aspects of ArTara’s business plan.

 

ArTara may choose not to continue developing or commercializing any of its product candidates at any time during development or after approval, which would reduce or eliminate its potential return on investment for those product candidates.

 

At any time, ArTara may decide to discontinue the development of any of its product candidates for a variety of reasons, including the appearance of new technologies that make its product obsolete, competition from a competing product or changes in or failure to comply with applicable regulatory requirements. If ArTara terminates a program in which it has invested significant resources, ArTara will not receive any return on its investment and it will have missed the opportunity to have allocated those resources to potentially more productive uses.

 

ArTara’s or third party’s clinical trials may fail to demonstrate the safety and efficacy of its product candidates, or serious adverse or unacceptable side effects may be identified during their development, which could prevent or delay marketing approval and commercialization, increase ArTara’s costs or necessitate the abandonment or limitation of the development of the product candidate.

 

Before obtaining marketing approvals for the commercial sale of any product candidate, ArTara must demonstrate through lengthy, complex and expensive preclinical testing and clinical trials that such product candidate is both safe and effective for use in the applicable indication, and failures can occur at any stage of testing. Clinical trials often fail to demonstrate safety and are associated with side effects or have characteristics that are unexpected. Based on the safety profile seen in clinical testing, ArTara may need to abandon development or limit development to more narrow uses in which the side effects or other characteristics are less prevalent, less severe or more tolerable from a risk-benefit perspective. The FDA or an IRB may also require that ArTara suspend, discontinue, or limit clinical trials based on safety information. Such findings could further result in regulatory authorities failing to provide marketing authorization for the product candidate. Many pharmaceutical candidates that initially showed promise in early stage testing and which were efficacious have later been found to cause side effects that prevented further development of the drug candidate and, in extreme cases, the side effects were not seen until after the drug was marketed, causing regulators to remove the drug from the market post-approval.

 

ArTara’s regulatory strategy for TARA-002 requires first that it can demonstrate that TARA-002 is the same biologic substance as OK-432, which is currently manufactured in Japan and marketed in Japan and Taiwan by Chugai. In order to demonstrate comparability, ArTara plans to conduct studies using batches of OK-432 from Japan and batches of TARA-002 manufactured in the United States by its CMO. If ArTara can demonstrate comparability, it plans to engage with the FDA to seek its agreement to use OK-432’s safety and efficacy data from clinical trials previously conducted by third parties for its BLA filing. There can be no assurances that ArTara’s CMO will be able to produce a sufficiently comparable product or that the FDA will find such substances comparable or permit ArTara to use any of the data from prior clinical trials as part of the BLA filing for TARA-002.

 

 38 

 

 

Other Risks Related to ArTara’s Business

 

ArTara’s product candidates, if approved, will face significant competition and their failure to compete effectively may prevent them from achieving significant market penetration.

 

The pharmaceutical industry is characterized by rapidly advancing technologies, intense competition, less effective patent terms, and a strong emphasis on developing newer, fast-to-market proprietary therapeutics. Numerous companies are engaged in the development, patenting, manufacturing and marketing of healthcare products competitive with those that ArTara is developing, including TARA-002 and IV Choline Chloride. ArTara will face competition from a number of sources, such as pharmaceutical companies, generic drug companies, biotechnology companies and academic and research institutions, many of which have greater financial resources, marketing capabilities, sales forces, manufacturing capabilities, research and development capabilities, regulatory expertise, clinical trial expertise, intellectual property portfolios, more international reach, experience in obtaining patents and regulatory approvals for product candidates and other resources than ArTara. Some of the companies that offer competing products also have a broad range of other product offerings, large direct sales forces and long-term customer relationships with ArTara’s target physicians, which could inhibit ArTara’s market penetration efforts.

 

With respect to ArTara’s lead product candidate, TARA-002, for the treatment of LMs, the active ingredient in TARA-002 is a genetically distinct strain of Streptococcus pyogenes (group A, type 3) Su strain. TARA-002 is produced through a proprietary manufacturing process. ArTara anticipates that, if approved by the FDA, TARA-002 will be protected by 12 years of biologic exclusivity. In addition, TARA-002 is likely to have seven years of Orphan Drug Designation exclusivity if deemed comparable to OK-432 by the FDA or based on the prevalence of the disease. There are no pharmacotherapies currently available for the treatment of LMs and the current standard of care is a high-risk surgical procedure. There are a handful of drug development companies and academic researchers exploring oral formulations of various agents including macrolides, phosphodiesterase inhibitors, and calcineurin/ mTOR inhibitors. These are in early development and earlier experiments in LMs utilizing other compounds utilizing these mechanisms have not produced conclusive evidence of safety or efficacy.

 

There are no treatments currently available for IFALD. With respect to IV Choline Chloride for the treatment of IFALD, IV Choline Chloride is the only sterile injectable form of choline chloride that can be combined with parenteral nutrition. Further, if approved, IV Choline Chloride will be protected by Orphan Drug Designation exclusivity for seven years.

 

TARA-002 and any future product candidates for which ArTara intends to seek approval as biologic products may face competition sooner than anticipated.

 

The Patient Protection and Affordable Care Act, or Affordable Care Act, signed into law on March 23, 2010, includes a subtitle called the Biologics Price Competition and Innovation Act of 2009, or BPCIA, which created an abbreviated approval pathway for biological products that are biosimilar to or interchangeable with an FDA-licensed reference biological product. Under the BPCIA, an application for a biosimilar product may not be submitted to the FDA until four years following the date that the reference product was first licensed by the FDA. In addition, the approval of a biosimilar product may not be made effective by the FDA until 12 years from the date on which the reference product was first licensed. During this 12-year period of exclusivity, another company may still market a competing version of the reference product if the FDA approves a full BLA for the competing product containing the sponsor’s own preclinical data and data from adequate and well-controlled clinical trials to demonstrate the safety, purity and potency of their product. The law is complex and is still being interpreted and implemented by the FDA. As a result, its ultimate impact, implementation and meaning are subject to uncertainty. While it is uncertain when such processes are intended to implement BPCIA may be fully adopted by the FDA, any such processes could have a material adverse effect on the future commercial prospects for ArTara’s biological products.

 

ArTara believes that any of its product candidates approved as a biological product under a BLA should qualify for the 12-year period of exclusivity. However, there is a risk that this exclusivity could be shortened due to congressional action or otherwise, or that the FDA will not consider ArTara’s product candidates to be reference products for competing products, potentially creating the opportunity for biosimilar competition sooner than anticipated. Other aspects of the BPCIA, some of which may impact the BPCIA exclusivity provisions, have also been the subject of recent litigation. Moreover, the extent to which a biosimilar, once approved, will be substituted for any one of ArTara’s reference products in a way that is similar to traditional generic substitution for non-biological products is not yet clear, and will depend on a number of marketplace and regulatory factors that are still developing.

 

 39 

 

 

ArTara expects to rely on third-party CROs and other third parties to conduct and oversee its clinical trials. If these third parties do not meet ArTara’s requirements or otherwise conduct the trials as required, ArTara may not be able to satisfy its contractual obligations or obtain regulatory approval for, or commercialize, its product candidates.

 

ArTara expects to rely on third-party contract research organizations (CROs) to conduct and oversee its TARA-002 and IV Choline Chloride clinical trials and other aspects of product development. ArTara also expects to rely on various medical institutions, clinical investigators and contract laboratories to conduct its trials in accordance with ArTara’s clinical protocols and all applicable regulatory requirements, including the FDA’s regulations and good clinical practice (GCP) requirements, which are an international standard meant to protect the rights and health of patients and to define the roles of clinical trial sponsors, administrators and monitors, and state regulations governing the handling, storage, security and recordkeeping for drug and biologic products. These CROs and other third parties will play a significant role in the conduct of these trials and the subsequent collection and analysis of data from the clinical trials. ArTara will rely heavily on these parties for the execution of its clinical trials and preclinical studies and will control only certain aspects of their activities. ArTara and its CROs and other third-party contractors will be required to comply with GCP and good laboratory practice (GLP) requirements, which are regulations and guidelines enforced by the FDA and comparable foreign regulatory authorities. Regulatory authorities enforce these GCP and GLP requirements through periodic inspections of trial sponsors, principal investigators and trial sites. If ArTara or any of these third parties fail to comply with applicable GCP and GLP requirements, or reveal noncompliance from an audit or inspection, the clinical data generated in ArTara’s clinical trials may be deemed unreliable and the FDA or other regulatory authorities may require ArTara to perform additional clinical trials before approving ArTara’s or ArTara’s partners’ marketing applications. ArTara cannot assure that upon inspection by a given regulatory authority, such regulatory authority will determine that any of ArTara’s clinical or preclinical trials comply with applicable GCP and GLP requirements. In addition, ArTara’s clinical trials generally must be conducted with product produced under cGMP regulations. ArTara’s failure to comply with these regulations and policies may require it to repeat clinical trials, which would delay the regulatory approval process.

 

If any of ArTara’s CROs or clinical trial sites terminate their involvement in one of its clinical trials for any reason, it may not be able to enter into arrangements with alternative CROs or clinical trial sites or do so on commercially reasonable terms. In addition, if ArTara’s relationship with clinical trial sites is terminated, it may experience the loss of follow-up information on patients enrolled in its ongoing clinical trials unless ArTara is able to transfer the care of those patients to another qualified clinical trial site. In addition, principal investigators for ArTara’s clinical trials may serve as scientific advisors or consultants to it from time to time and could receive cash or equity compensation in connection with such services. If these relationships and any related compensation result in perceived or actual conflicts of interest, the integrity of the data generated at the applicable clinical trial site may be questioned by the FDA.

 

ArTara currently has no marketing capabilities and no sales organization. If ArTara is unable to establish sales and marketing capabilities on its own or through third parties, ArTara will be unable to successfully commercialize its product candidates, if approved, or generate product revenue.

 

ArTara currently has no marketing capabilities and no sales organization. To commercialize ArTara’s product candidates, if approved, in the United States, Canada, the European Union, Latin America and other jurisdictions it seeks to enter, ArTara must build its marketing, sales, distribution, managerial and other non-technical capabilities or make arrangements with third parties to perform these services, and ArTara may not be successful in doing so. Although ArTara’s employees have experience in the marketing, sale and distribution of pharmaceutical products, and business development activities involving external alliances, from prior employment at other companies, ArTara as a company has no prior experience in the marketing, sale and distribution of pharmaceutical products, and there are significant risks involved in building and managing a sales organization, including its ability to hire, retain and incentivize qualified individuals, generate sufficient sales leads, provide adequate training to sales and marketing personnel, and effectively manage a geographically dispersed sales and marketing team. Any failure or delay in the development of ArTara’s internal sales, marketing, distribution and pricing/reimbursement/access capabilities would impact adversely the commercialization of these products.

 

ArTara has only received the exclusive rights to the materials required to commercialize TARA-002 in territories other than Japan and Taiwan until June 17, 2024, or an earlier date if Chugai terminates the agreement with ArTara for any number of reasons, including for convenience after June 2020, following which such rights become nonexclusive.

 

Pursuant to an agreement with Chugai Pharmaceutical Co., Ltd. dated June 17, 2019, Chugai agreed to provide ArTara with exclusive access to the starting material necessary to manufacture TARA-002 as well as technical support necessary for ArTara to develop and commercialize TARA-002 anywhere in the world other than Japan and Taiwan. However, this agreement does not prevent Chugai from providing such materials and support to any third party for medical, compassionate use and/or non-commercial research purposes and this agreement is not exclusive following June 17, 2024 or following any termination of the agreement by either party, which includes a termination by Chugai for convenience, which it has the right to do upon 90 days’ notice after June 2020. Once ArTara’s rights to the materials and technology necessary to manufacture, develop and commercialize TARA-002 are not exclusive, third parties, including those with greater expertise and greater resources, could obtain such materials and technology and develop a competing therapy, which would adversely affect ArTara’s ability to generate revenue and achieve or maintain profitability.

 

 40 

 

 

ArTara currently has no products approved for sale, and it may never obtain regulatory approval to commercialize any of its product candidates.

 

The research, testing, manufacturing, safety surveillance, efficacy, quality control, recordkeeping, labeling, packaging, storage, approval, sale, marketing, distribution, import, export and reporting of safety and other post-market information related to its biopharmaceutical products are subject to extensive regulation by the FDA and other regulatory authorities in the United States and in foreign countries, and such regulations differ from country to country and frequently are revised.

 

Even after ArTara achieves U.S. regulatory approval for a product candidate, if any, ArTara will be subject to continued regulatory review and compliance obligations. For example, with respect to ArTara’s product candidates, the FDA may impose significant restrictions on the approved indicated uses for which the product may be marketed or on the conditions of approval. A product candidate’s approval may contain requirements for potentially costly post-approval studies and surveillance, including Phase 4 clinical trials, to monitor the safety and efficacy of the product. ArTara also will be subject to ongoing FDA obligations and continued regulatory review with respect to, among other things, the manufacturing, processing, labeling, packaging, distribution, pharmacovigilance and adverse event reporting, storage, advertising, promotion and recordkeeping for ArTara’s product candidates.

 

These requirements include submissions of safety and other post-marketing information and reports, registration, continued compliance with cGMP requirements and with the FDA’s GCP requirements and GLP requirements, which are regulations and guidelines enforced by the FDA for all of ArTara’s product candidates in clinical and preclinical development, and for any clinical trials that it conducts post-approval, as well as continued compliance with the FDA’s laws governing commercialization of the approved product, including but not limited to the FDA’s Office of Prescription Drug Promotion (OPDP) regulation of promotional activities, fraud and abuse, product sampling, scientific speaker engagements and activities, formulary interactions as well as interactions with healthcare practitioners. To the extent that a product candidate is approved for sale in other countries, ArTara may be subject to similar or more onerous (i.e., prohibition on direct-to-consumer advertising that does not exist in the United States.) restrictions and requirements imposed by laws and government regulators in those countries.

 

In addition, manufacturers of drug and biologic products and their facilities are subject to continual review and periodic inspections by the FDA and other regulatory authorities for compliance with cGMP regulations. If ArTara or a regulatory agency discovers previously unknown problems with a product, such as adverse events of unanticipated severity or frequency, or problems with the manufacturing, processing, distribution or storage facility where, or processes by which, the product is made, a regulatory agency may impose restrictions on that product or ArTara, including requesting that ArTara initiate a product recall, or requiring notice to physicians or the public, withdrawal of the product from the market, or suspension of manufacturing.

 

If ArTara, its product candidates or the manufacturing facilities for its product candidates fail to comply with applicable regulatory requirements, a regulatory agency may:

 

·impose restrictions on the sale, marketing or manufacturing of the product, amend, suspend or withdraw product approvals or revoke necessary licenses;
·mandate modifications to promotional and other product-specific materials or require ArTara to provide corrective information to healthcare practitioners or in its advertising;
·require ArTara or its partners to enter into a consent decree, which can include imposition of various fines, reimbursements for inspection costs, required due dates for specific actions, penalties for noncompliance and, in extreme cases, require an independent compliance monitor to oversee ArTara’s activities;
·issue warning letters, bring enforcement actions, initiate surprise inspections, issue show cause notices or untitled letters describing alleged violations, which may be publicly available;
·commence criminal investigations and prosecutions;

 41 

 

 

·impose injunctions, suspensions or revocations of necessary approvals or other licenses;
·impose other civil or criminal penalties;
·suspend any ongoing clinical trials;
·place restrictions on the kind of promotional activities that can be done;
·delay or refuse to approve pending applications or supplements to approved applications filed by ArTara or its potential partners;
·refuse to permit drugs or precursor chemicals to be imported or exported to or from the United States;
·suspend or impose restrictions on operations, including costly new manufacturing requirements; or
·seize or detain products or require ArTara or its partners to initiate a product recall.

The regulations, policies or guidance of the FDA and other applicable government agencies may change, and new or additional statutes or government regulations may be enacted, including at the state and local levels, which can differ by geography and could prevent or delay regulatory approval of ArTara’s product candidates or further restrict or regulate post-approval activities. ArTara cannot predict the likelihood, nature or extent of adverse government regulations that may arise from future legislation or administrative action, either in the United States or abroad. If ArTara is not able to achieve and maintain regulatory compliance, it may not be permitted to commercialize its product candidates, which would adversely affect its ability to generate revenue and achieve or maintain profitability.

 

ArTara may face product liability exposure, and if successful claims are brought against it, ArTara may incur substantial liability if its insurance coverage for those claims is inadequate.

 

ArTara faces an inherent risk of product liability or similar causes of action as a result of the clinical testing of its product candidates and will face an even greater risk if ArTara commercializes any products. This risk exists even if a product is approved for commercial sale by the FDA and manufactured in facilities licensed and regulated by the FDA or an applicable foreign regulatory authority and notwithstanding ArTara complying with applicable laws on promotional activity. ArTara’s products and product candidates are designed to affect important bodily functions and processes. Any side effects, manufacturing defects, misuse or abuse associated with ArTara’s product candidates could result in injury to a patient or potentially even death. ArTara cannot offer any assurance that it will not face product liability suits in the future, nor can it assure that its insurance coverage will be sufficient to cover its liability under any such cases.

 

In addition, a liability claim may be brought against ArTara even if its product candidates merely appear to have caused an injury. Product liability claims may be brought against ArTara by consumers, healthcare providers, pharmaceutical companies or others selling or otherwise coming into contact with its product candidates, among others, and under some circumstances even government agencies. If ArTara cannot successfully defend itself against product liability or similar claims, it will incur substantial liabilities, reputational harm and possibly injunctions and punitive actions. In addition, regardless of merit or eventual outcome, product liability claims may result in:

 

·withdrawal or delay of recruitment or decreased enrollment rates of clinical trial participants;

 

·termination or increased government regulation of clinical trial sites or entire trial programs;

 

·the inability to commercialize ArTara’s product candidates;

 

·decreased demand for ArTara’s product candidates;

 

·impairment of ArTara’s business reputation;

 

·product recall or withdrawal from the market or labeling, marketing or promotional restrictions;

 

 42 

 

 

·substantial costs of any related litigation or similar disputes;

 

·distraction of management’s attention and other resources from ArTara’s primary business;

 

·significant delay in product launch;

 

·substantial monetary awards to patients or other claimants against ArTara that may not be covered by insurance;

 

·withdrawal of reimbursement or formulary inclusion; or

 

·loss of revenue.

 

ArTara intends to obtain product liability insurance coverage for its clinical trials. Large judgments have been awarded in class action or individual lawsuits based on drugs that had unanticipated side effects. ArTara’s insurance coverage may not be sufficient to cover all of its product liability-related expenses or losses and may not cover it for any expenses or losses it may suffer. Moreover, insurance coverage is becoming increasingly expensive, restrictive and narrow, and, in the future, ArTara may not be able to maintain adequate insurance coverage at a reasonable cost, in sufficient amounts or upon adequate terms to protect it against losses due to product liability or other similar legal actions. ArTara will need to increase its product liability coverage if any of its product candidates receive regulatory approval, which will be costly, and it may be unable to obtain this increased product liability insurance on commercially reasonable terms or at all and for all geographies in which ArTara wishes to launch. A successful product liability claim or series of claims brought against ArTara, if judgments exceed its insurance coverage, could decrease its cash and harm its business, financial condition, operating results and future prospects.

 

ArTara’s employees, independent contractors, principal investigators, other clinical trial staff, consultants, vendors, CROs and any partners with whom ArTara may collaborate may engage in misconduct or other improper activities, including noncompliance with regulatory standards and requirements.

 

ArTara is exposed to the risk that its employees, independent contractors, principal investigators, other clinical trial staff, consultants, vendors, CROs and any partners with which ArTara may collaborate may engage in fraudulent or other illegal activity. Misconduct by these persons could include intentional, reckless, gross or negligent misconduct or unauthorized activity that violates: laws or regulations, including those laws requiring the reporting of true, complete and accurate information to the FDA or foreign regulatory authorities; manufacturing standards; federal, state and foreign healthcare fraud and abuse laws and data privacy; anticorruption laws, antikickback and Medicare/Medicaid rules, or laws that require the true, complete and accurate reporting of financial information or data, books and records. If any such or similar actions are instituted against ArTara and ArTara is not successful in defending itself or asserting ArTara’s rights, those actions could have a significant impact on ArTara’s business, including the imposition of civil, criminal and administrative and punitive penalties, damages, monetary fines, possible exclusion from participation in Medicare, Medicaid and other federal healthcare programs, debarments, contractual damages, imprisonment, reputational harm, diminished profits and future earnings, injunctions, and curtailment or cessation of ArTara’s operations, any of which could adversely affect ArTara’s ability to operate ArTara’s business and ArTara’s operating results.

 

ArTara may be subject to risks related to off-label use of its product candidates.

 

The FDA strictly regulates the advertising and promotion of drug products, and drug products may only be marketed or promoted for their FDA approved uses, consistent with the product’s approved labeling. Advertising and promotion of any product candidate that obtains approval in the United States will be heavily scrutinized by the FDA, the Department of Justice, the Office of Inspector General of the Department of Health and Human Services, state attorneys general, members of Congress and the public. Violations, including promotion of ArTara’s products for unapproved or off-label uses, are subject to enforcement letters, inquiries and investigations, and civil, criminal and/or administrative sanctions by the FDA. Additionally, advertising and promotion of any product candidate that obtains approval outside of the United States will be heavily scrutinized by relevant foreign regulatory authorities.

 

Even if ArTara obtains regulatory approval for its product candidates, the FDA or comparable foreign regulatory authorities may require labeling changes or impose significant restrictions on a product’s indicated uses or marketing or impose ongoing requirements for potentially costly post-approval studies or post-market surveillance.

 

 43 

 

 

In the United States, engaging in impermissible promotion of ArTara’s product candidates for off-label uses can also subject it to false claims litigation under federal and state statutes, which can lead to civil, criminal and/or administrative penalties and fines and agreements, such as a corporate integrity agreement, that materially restrict the manner in which ArTara promotes or distributes its product candidates. If ArTara does not lawfully promote its products once they have received regulatory approval, ArTara may become subject to such litigation and, if it is not successful in defending against such actions, those actions could have a material adverse effect on its business, financial condition and operating results and even result in having an independent compliance monitor assigned to audit ArTara’s ongoing operations for a lengthy period of time.

 

If ArTara or any partners with which ArTara may collaborate are unable to achieve and maintain coverage and adequate levels of reimbursement for TARA-002 or IV Choline Chloride following regulatory approval, their commercial success may be hindered severely.

 

If TARA-002 and IV Choline Chloride only becomes available by prescription, successful sales by ArTara or by any partners with which ArTara may collaborate depend on the availability of coverage and adequate reimbursement from third-party payors. Patients who are prescribed medicine for the treatment of their conditions generally rely on third-party payors to reimburse all or part of the costs associated with their prescription drugs. The availability of coverage and adequate reimbursement from governmental healthcare programs, such as Medicare and Medicaid in the United States, and private third-party payors is often critical to new product acceptance. Coverage decisions may depend on clinical and economic standards that disfavor new drug products when more established or lower-cost therapeutic alternatives are already available or subsequently become available, or may be affected by the budgets and demands on the various entities responsible for providing health insurance to patients who will use TARA-002 and IV Choline Chloride. Even if ArTara obtains coverage for its products, the resulting reimbursement payment rates might not be adequate or may require co-payments that patients find unacceptably high. Patients are unlikely to use a product unless coverage is provided, and reimbursement is adequate to cover a significant portion of the cost.

 

In addition, the market for ArTara’s products will depend significantly on access to third-party payors’ drug formularies or lists of medications for which third-party payors provide coverage and reimbursement. The industry competition to be included in such formularies often leads to downward pricing pressures on pharmaceutical companies and there may be time limitations on when a new drug may even apply for formulary inclusion. Also, third-party payors may refuse to include products in their formularies or otherwise restrict patient access to such products when a less costly generic equivalent or other treatment alternative is available in the discretion of the formulary.

 

Third-party payors, whether foreign or domestic, or governmental or commercial, are developing increasingly sophisticated methods of controlling healthcare costs. In addition, in the United States, although private third-party payors tend to follow Medicare practices, no uniform or consistent policy of coverage and reimbursement for drug products exists among third-party payors. Therefore, coverage and reimbursement for drug products can differ significantly from payor to payor as well as state to state. Consequently, the coverage determination process is often a time-consuming and costly process that must be played out across many jurisdictions and different entities and which will require ArTara to provide scientific, clinical and health economics support for the use of its products compared to current alternatives and do so to each payor separately, with no assurance that coverage and adequate reimbursement will be obtained and in what time frame.

 

Further, ArTara believes that future coverage and reimbursement likely will be subject to increased restrictions both in the United States and in international markets. Third-party coverage and reimbursement for ArTara’s products may not be available or adequate in either the United States or international markets, which could harm ArTara’s business, financial condition, operating results and prospects.

 

Healthcare reform measures could hinder or prevent the commercial success of ArTara’s product candidates.

 

The current presidential administration and certain members of the majority of the U.S. Congress have sought to repeal all or part of the Patient Protection and Affordable Care Act, as amended by the Health Care and Education Reconciliation Act (collectively, “Affordable Care Act”), and implement a replacement program. For example, the so-called “individual mandate” was repealed as part of tax reform legislation adopted in December 2017, such that the shared responsibility payment for individuals who fail to maintain minimum essential coverage under section 5000A of the Code was eliminated beginning in 2019. In addition, litigation may result in the repeal or replacement of prevent some or all of the Affordable Care Act legislation from taking effect. For example, on December 14, 2018, the U.S. District Court for the Northern District of Texas held that the individual mandate is a critical and inseverable feature of the Affordable Care Act, and therefore, because it was repealed as part of the tax reform legislation, the remaining provisions of the Affordable Care Act are invalid as well. On December 18, 2019, the U.S. Court of Appeals for the Fifth Circuit upheld the District Court ruling that the individual mandate was unconstitutional and remanded the case back to the District Court to determine whether the remaining provisions of the ACA are invalid as well. The impact of this ruling is stayed as it is appealed to the Fifth Circuit Court of Appeals. While the ruling will have no immediate effect, it is unclear how this decision, future decisions, and subsequent appeals, if any, will impact the law. In 2019 and beyond, ArTara may face additional uncertainties as a result of likely federal and administrative efforts to repeal, substantially modify or invalidate some or all of the provisions of the Affordable Care Act. There is no assurance that the Affordable Care Act, as amended in the future, will not adversely affect ArTara’s business and financial results.

 

 44 

 

 

Additionally, there has been increasing legislative and enforcement interest in the United States with respect to drug pricing practices. For example, the Trump administration previously released a “Blueprint,” or plan, to lower drug prices and reduce out of pocket costs of drugs that contains additional proposals to increase drug manufacturer competition, increase the negotiating power of certain federal healthcare programs, incentivize manufacturers to lower the list price of their products, and reduce the out of pocket costs of drug products paid by consumers, and the Trump administration’s budget proposal for fiscal year 2021 includes a $135 billion allowance to support legislative proposals seeking to reduce drug prices, increase competition, lower out-of-pocket drug costs for patients, and increase patient access to lower-cost generic and biosimilar drugs in October 2018, the U.S. President proposed to lower Medicare Part B drug prices, in addition to contemplating other measures to lower prescription drug prices. While these and other measures in the proposal may require additional authorization to become effective, ArTara expects that additional state and federal healthcare reform measures will be adopted in the future, any of which could limit the amounts that federal and state governments will pay for healthcare products and services, which could result in reduced demand for its product candidates if approved or additional pricing pressures.

 

There are also calls to place additional restrictions on or to ban all direct-to-consumer advertising of pharmaceuticals, which would limit ArTara’s ability to market its product candidates. The United States is in a minority of jurisdictions that allow this kind of advertising and its removal could limit the potential reach of a marketing campaign.

 

ArTara may also be subject to stricter healthcare laws, regulation and enforcement, and its failure to comply with those laws could adversely affect its business, operations and financial condition.

 

Certain federal and state healthcare laws and regulations pertaining to fraud and abuse and patients’ rights are and will be applicable to ArTara’s business. ArTara is subject to regulation by both the federal government and the states in which it or its partners conduct business. The healthcare laws and regulations that may affect ArTara’s ability to operate include: the federal Anti-Kickback Statute; federal civil and criminal false claims laws and civil monetary penalty laws; the federal Health Insurance Portability and Accountability Act of 1996, as amended by the Health Information Technology for Economic and Clinical Health Act; the Prescription Drug Marketing Act (for sampling of drug product among other things); the federal physician sunshine requirements under the Affordable Care Act; the Foreign Corrupt Practices Act as it applies to activities outside of the United States; the new federal Right-to-Try legislation; and state law equivalents of many of the above federal laws.

 

Because of the breadth of these laws and the narrowness of the statutory exceptions and safe harbors available, it is possible that some of ArTara’s business activities could be subject to challenge under one or more of such laws. In addition, recent healthcare reform legislation has strengthened these laws. For example, the recently enacted Affordable Care Act, among other things, amended the intent requirement of the federal Anti-Kickback Statute and certain criminal healthcare fraud statutes. A person or entity no longer needs to have actual knowledge of the statute or specific intent to violate it. In addition, the Affordable Care Act provided that the government may assert that a claim including items or services resulting from a violation of the federal Anti-Kickback Statute constitutes a false or fraudulent claim for purposes of the federal civil False Claims Act.

 

Achieving and sustaining compliance with these laws may prove costly. In addition, any action against ArTara for violation of these laws, even if ArTara successfully defends against it, could cause ArTara to incur significant legal expenses and divert its management’s attention from the operation of its business and result in reputational damage. If ArTara’s operations are found to be in violation of any of the laws described above or any other governmental laws or regulations that apply to ArTara, it may be subject to penalties, including administrative, civil and criminal penalties, damages, including punitive damages, fines, disgorgement, the exclusion from participation in federal and state healthcare programs, imprisonment or the curtailment or restructuring of its operations, and injunctions, any of which could adversely affect ArTara’s ability to operate its business and its financial results.

 

 45 

 

 

ArTara intends to in-license and acquire product candidates and may engage in other strategic transactions, which could impact its liquidity, increase its expenses and present significant distractions to its management.

 

ArTara’s strategy is to in-license and acquire product candidates and it may engage in other strategic transactions. Additional potential transactions that ArTara may consider include a variety of different business arrangements, including spin-offs, strategic partnerships, joint ventures, restructurings, divestitures, business combinations and investments. Any such transaction may require ArTara to incur non-recurring or other charges, may increase its near- and long-term expenditures and may pose significant integration challenges or disrupt its management or business, which could adversely affect its operations and financial results. Accordingly, there can be no assurance that ArTara will undertake or successfully complete any transactions of the nature described above, and any transaction that it does complete could harm its business, financial condition, operating results and prospects. ArTara has no current plan, commitment or obligation to enter into any transaction described above, and ArTara is not engaged in discussions related to additional partnerships.

 

ArTara’s failure successfully to in-license, acquire, develop and market additional product candidates or approved products would impair its ability to grow its business.

 

ArTara intends to in-license, acquire, develop and market additional products and product candidates. Because ArTara’s internal research and development capabilities are limited, it may be dependent on pharmaceutical companies, academic or government scientists and other researchers to sell or license products or technology to it. The success of this strategy depends partly on ArTara’s ability to identify and select promising pharmaceutical product candidates and products, negotiate licensing or acquisition agreements with their current owners, and finance these arrangements.

 

The process of proposing, negotiating and implementing a license or acquisition of a product candidate or approved product is lengthy and complex. Other companies, including some with substantially greater financial, marketing, sales and other resources, may compete with ArTara for the license or acquisition of product candidates and approved products. ArTara has limited resources to identify and execute the acquisition or in-licensing of third-party products, businesses and technologies and integrate them into its current infrastructure. Moreover, ArTara may devote resources to potential acquisitions or licensing opportunities that are never completed, or ArTara may fail to realize the anticipated benefits of such efforts. ArTara may not be able to acquire the rights to additional product candidates on terms that it finds acceptable or at all.

 

Further, any product candidate that ArTara acquires may require additional development efforts prior to commercial sale, including preclinical or clinical testing and approval by the FDA and applicable foreign regulatory authorities. All product candidates are prone to risks of failure typical of pharmaceutical product development, including the possibility that a product candidate will not be shown to be sufficiently safe and effective for approval by regulatory authorities. In addition, ArTara cannot provide assurance that any approved products that it acquires will be manufactured or sold profitably or achieve market acceptance.

 

ArTara expects to rely on collaborations with third parties for the successful development and commercialization of its product candidates.

 

ArTara expects to rely upon the efforts of third parties for the successful development and commercialization of ArTara’s current and future product candidates. The clinical and commercial success of ArTara’s product candidates may depend upon maintaining successful relationships with third-party partners which are subject to a number of significant risks, including the following:

 

·ArTara’s partners’ ability to execute their responsibilities in a timely, cost-efficient and compliant manner;

 

·reduced control over delivery and manufacturing schedules;

 

·price increases and product reliability;

 

·manufacturing deviations from internal or regulatory specifications;

 

·quality incidents;

 

·the failure of partners to perform their obligations for technical, market or other reasons;

 

 46 

 

 

·misappropriation of ArTara’s current or future product candidates; and

 

·other risks in potentially meeting ArTara’s current and future product commercialization schedule or satisfying the requirements of its end-users.

 

ArTara cannot assure you that it will be able to establish or maintain third-party relationships in order to successfully develop and commercialize its product candidates.

 

ArTara relies completely on third-party contractors to supply, manufacture and distribute clinical drug supplies for its product candidates, which may include sole-source suppliers and manufacturers; ArTara intends to rely on third parties for commercial supply, manufacturing and distribution if any of its product candidates receive regulatory approval; and ArTara expects to rely on third parties for supply, manufacturing and distribution of preclinical, clinical and commercial supplies of any future product candidates.

 

ArTara does not currently have, nor does it plan to acquire, the infrastructure or capability to supply, store, manufacture or distribute preclinical, clinical or commercial quantities of drug substances or products. Additionally, ArTara has not entered into a long-term commercial supply agreement to provide it with such drug substances or products. As a result, ArTara’s ability to develop its product candidates is dependent, and ArTara’s ability to supply its products commercially will depend, in part, on ArTara’s ability to obtain the APIs and other substances and materials used in its product candidates successfully from third parties and to have finished products manufactured by third parties in accordance with regulatory requirements and in sufficient quantities for preclinical and clinical testing and commercialization. If ArTara fails to develop and maintain supply and other technical relationships with these third parties, it may be unable to continue to develop or commercialize its products and product candidates.

 

ArTara does not have direct control over whether its contract suppliers and manufacturers will maintain current pricing terms, be willing to continue supplying ArTara with APIs and finished products or maintain adequate capacity and capabilities to serve its needs, including quality control, quality assurance and qualified personnel. ArTara is dependent on its contract suppliers and manufacturers for day-to-day compliance with applicable laws and cGMPs for production of both APIs and finished products. If the safety or quality of any product or product candidate or component is compromised due to a failure to adhere to applicable laws or for other reasons, ArTara may not be able to commercialize or obtain regulatory approval for the affected product or product candidate successfully, and ArTara may be held liable for injuries sustained as a result.

 

In order to conduct larger or late-stage clinical trials for its product candidates and supply sufficient commercial quantities of the resulting drug product and its components, if that product candidate is approved for sale, ArTara’s contract manufacturers and suppliers will need to produce its drug substances and product candidates in larger quantities, more cost-effectively and, in certain cases, at higher yields than they currently achieve. If ArTara’s third-party contractors are unable to scale up the manufacture of any of its product candidates successfully in sufficient quality and quantity and at commercially reasonable prices, or are shut down or put on clinical hold by government regulators, and ArTara is unable to find one or more replacement suppliers or manufacturers capable of production at a substantially equivalent cost in substantially equivalent volumes and quality, and ArTara is unable to transfer the processes successfully on a timely basis, the development of that product candidate and regulatory approval or commercial launch for any resulting products may be delayed, or there may be a shortage in supply, either of which could significantly harm its business, financial condition, operating results and prospects.

 

ArTara expects to continue to depend on third-party contract suppliers and manufacturers for the foreseeable future. ArTara’s supply and manufacturing agreements, if any, do not guarantee that a contract supplier or manufacturer will provide services adequate for its needs. Additionally, any damage to or destruction of ArTara’s third-party manufacturer’s or suppliers’ facilities or equipment, even by force majeure, may significantly impair its ability to have its products and product candidates manufactured on a timely basis. ArTara’s reliance on contract manufacturers and suppliers further exposes it to the possibility that they, or third parties with access to their facilities, will have access to and may misappropriate ArTara’s trade secrets or other proprietary information. In addition, the manufacturing facilities of certain of ArTara’s suppliers may be located outside of the United States. This may give rise to difficulties in importing ArTara’s products or product candidates or their components into the United States or other countries.

 

 47 

 

 

The manufacture of biologics is complex and ArTara’s third-party manufacturers may encounter difficulties in production. If ArTara’s CMO encounter such difficulties, the ability to provide supply of TARA-002 for clinical trials, ArTara’s ability to obtain marketing approval, or its ability to obtain commercial supply of TARA-002, if approved, could be delayed or stopped.

 

ArTara’s has no experience in biologic manufacturing and does not own or operate, and it does not expect to own or operate, facilities for product manufacturing, storage and distribution, or testing. ArTara is completely dependent on CMOs to fulfill its clinical and commercial supply of TARA-002. The process of manufacturing biologics is complex, highly regulated and subject to multiple risks. Manufacturing biologics is highly susceptible to product loss due to contamination, equipment failure, improper installation or operation of equipment, vendor or operator error, inconsistency in yields, variability in product characteristics and difficulties in scaling the production process. Even minor deviations from normal manufacturing processes could result in reduced production yields, product defects and other supply disruptions and higher costs. If microbial, viral or other contaminations are discovered at the facilities of ArTara’s manufacturer, such facilities may need to be closed for an extended period of time to investigate and remedy the contamination, which could delay clinical trials, result in higher costs of drug product and adversely harm its business. Moreover, if the FDA determines that ArTara’s manufacturer is not in compliance with FDA laws and regulations, including those governing cGMPs, the FDA may deny BLA approval until the deficiencies are corrected or it replaces the manufacturer in its BLA with a manufacturer that is in compliance.

 

In addition, there are risks associated with large scale manufacturing for clinical trials or commercial scale including, among others, cost overruns, potential problems with process scale-up, process reproducibility, stability issues, compliance with cGMPs, lot consistency and timely availability of raw materials. Even if ArTara obtains regulatory approval for TARA-002 or any future product candidates, there is no assurance that its manufacturers will be able to manufacture the approved product to specifications acceptable to the FDA or other regulatory authorities, to produce it in sufficient quantities to meet the requirements for the potential launch of the product or to meet potential future demand. If ArTara’s manufacturers are unable to produce sufficient quantities for clinical trials or for commercialization, commercialization efforts would be impaired, which would have an adverse effect on ArTara’s business, financial condition, results of operations and growth prospects. Scaling up a biologic manufacturing process is a difficult and uncertain task, and any CMO ArTara contracts may not have the necessary capabilities to complete the implementation and development process of further scaling up production, transferring production to other sites, or managing its production capacity to timely meet product demand.

 

ArTara expects its stock price to be highly volatile.

 

The market price of ArTara’s shares could be subject to significant fluctuations. Market prices for securities of biotechnology and other life sciences companies historically have been particularly volatile subject even to large daily price swings. Some of the factors that may cause the market price of ArTara’s shares to fluctuate include, but are not limited to:

 

·the ability of ArTara to obtain timely regulatory approvals for TARA-002, IV Choline Chloride or future product candidates, and delays or failures to obtain such approvals;

 

·failure of TARA-002 or IV Choline Chloride, if approved, to achieve commercial success;

 

·issues in manufacturing TARA-002, IV Choline Chloride or future product candidates;

 

·the results of current and any future clinical trials of TARA-002 or IV Choline Chloride;

 

·failure of other ArTara product candidates, if approved, to achieve commercial success;

 

·the entry into, or termination of, or breach by partners of key agreements, including key commercial partner agreements;

 

·the initiation of, material developments in, or conclusion of any litigation to enforce or defend any intellectual property rights or defend against the intellectual property rights of others;

 

·announcements of any dilutive equity financings;

 

 48 

 

 

·announcements by commercial partners or competitors of new commercial products, clinical progress or the lack thereof, significant contracts, commercial relationships or capital commitments;

 

·failure to elicit meaningful stock analyst coverage and downgrades of the company’s stock by analysts; and

 

·the loss of key employees.

 

Moreover, the stock markets in general have experienced substantial volatility in our industry that has often been unrelated to the operating performance of individual companies or a certain industry segment. These broad market fluctuations may also adversely affect the trading price of ArTara’s shares.

 

In the past, following periods of volatility in the market price of a company’s securities, shareholders have often instituted class action securities litigation against those companies. Such litigation, if instituted, could result in substantial costs and diversion of management attention and resources, which could significantly harm ArTara’s profitability and reputation. In addition, such securities litigation often has ensued after a reverse merger or other merger and acquisition activity. Such litigation if brought could impact negatively ArTara’s business.

 

ArTara incurs costs and demands upon management as a result of complying with the laws and regulations affecting public companies.

 

ArTara incurs significant legal, accounting and other expenses that ArTara Subsidiary Inc. did not incur as a private company, including costs associated with public company reporting and other SEC requirements. ArTara also will incur costs associated with corporate governance requirements, including requirements under the Sarbanes-Oxley Act, as well as new rules implemented by the SEC and Nasdaq.

 

 

These rules and regulations are expected to increase ArTara’s legal and financial compliance costs and to make some activities more time-consuming and costly. ArTara’s executive officers and other personnel will need to devote substantial time to gaining expertise regarding operations as a public company and compliance with applicable laws and regulations. These rules and regulations may also make it expensive for ArTara to operate its business.

 

ArTara is expected to take advantage of reduced disclosure and governance requirements applicable to smaller reporting companies, which could result in its common stock being less attractive to investors.

 

ArTara expects to have a public float of less than $250 million and therefore will qualify as a smaller reporting company under the rules of the SEC. As a smaller reporting company, ArTara will be able to take advantage of reduced disclosure requirements, such as simplified executive compensation disclosures and reduced financial statement disclosure requirements in its SEC filings. Decreased disclosures in ArTara’s SEC filings due to its status as a smaller reporting company may make it harder for investors to analyze its results of operations and financial prospects. We cannot predict if investors will find ArTara’s common stock less attractive if it relies on these exemptions. If some investors find its common stock less attractive as a result, there may be a less active trading market for its common stock and its stock price may be more volatile. ArTara may take advantage of the reporting exemptions applicable to a smaller reporting company until it is no longer a smaller reporting company, which status would end once it has a public float greater than $250 million. In that event, ArTara could still be a smaller reporting company if its annual revenues were below $100 million and it has a public float of less than $700 million.

 

ArTara does not anticipate paying any dividends in the foreseeable future.

 

The current expectation is that ArTara will retain its future earnings to fund the development and growth of the Company’s business. As a result, capital appreciation, if any, of the shares of ArTara will be your sole source of gain, if any, for the foreseeable future.

 

If ArTara fails to attract and retain management and other key personnel, it may be unable to continue to successfully develop or commercialize its product candidates or otherwise implement its business plan.

 

ArTara’s ability to compete in the highly competitive pharmaceuticals industry depends on its ability to attract and retain highly qualified managerial, scientific, medical, legal, sales and marketing and other personnel. ArTara is highly dependent on its management and scientific personnel. The loss of the services of any of these individuals could impede, delay or prevent the successful development of ArTara’s product pipeline, completion of its planned clinical trials, commercialization of its product candidates or in-licensing or acquisition of new assets and could impact negatively its ability to implement successfully its business plan. If ArTara loses the services of any of these individuals, it might not be able to find suitable replacements on a timely basis or at all, and its business could be harmed as a result. ArTara might not be able to attract or retain qualified management and other key personnel in the future due to the intense competition for qualified personnel among biotechnology, pharmaceutical and other businesses.

 

 49 

 

 

ArTara’s ability to use its net operating loss carry-forwards to offset future taxable income may be subject to certain limitations.

 

As of December 31, 2019, for U.S. federal and state income tax reporting purposes, ArTara has approximately $11.4 million of unused net operating losses (“NOLs”) available for carry forward to future years. The 2019 and 2018 federal and New York City NOLs may be carried forward indefinitely, but utilization will be subject to an annual deduction limitation of 80% of taxable income. These 2019 and 2018 losses will not be allowed to be carried back. The 2019 state NOLs may be carried forward through the year 2039 and may be applied against future taxable income.  The 2017 federal and New York City NOLs will begin to expire during the year ended December 31, 2037.  Because United States tax laws limit the time during which NOL carry forwards may be applied against future taxable income, ArTara may be unable to take full advantage of its NOLs for federal income tax purposes when ArTara does generate taxable income. Further, net operating loss carryforwards of both ArTara and Private ArTara will be limited since there was a more than 50% ownership change for each entity.

 

ArTara may be adversely affected by natural disasters, pandemics and other catastrophic events and by man-made problems such as terrorism that could disrupt its business operations, and its business continuity and disaster recovery plans may not adequately protect it from a serious disaster.

 

ArTara’s corporate office is located in New York, New York. If a disaster, power outage, computer hacking, or other event occurred that prevented ArTara from using all or a significant portion of an office, that damaged critical infrastructure, such as enterprise financial systems, IT systems, manufacturing resource planning or enterprise quality systems, or that otherwise disrupted operations, it may be difficult or, in certain cases, impossible for it to continue its business for a substantial period of time. ArTara’s contract manufacturer’s and suppliers’ facilities are located in multiple locations where other natural disasters or similar events, such as tornadoes, fires, explosions or large-scale accidents or power outages, or IT threats, could severely disrupt ArTara’s operations and have a material adverse effect on its business, financial condition, operating results and prospects. In addition, pandemic, acts of terrorism and other geo-political unrest could cause disruptions in ArTara’s business or the businesses of its partners, manufacturers or the economy as a whole. All of the aforementioned risks may be further increased if ArTara does not implement a disaster recovery plan or its partners’ or manufacturers’ disaster recovery plans prove to be inadequate. To the extent that any of the above should result in delays in the regulatory approval, manufacture, distribution or commercialization of TARA-002 or IV Choline Chloride, its business, financial condition, operating results and prospects would suffer.

 

ArTara’s business and operations would suffer in the event of system failures, cyber-attacks or a deficiency in its cyber-security.

 

Despite the implementation of security measures, ArTara’s internal computer systems and those of its current and future CROs and other contractors and consultants are vulnerable to damage from computer viruses, unauthorized access, natural disasters, terrorism, war and telecommunication and electrical failures. The risk of a security breach or disruption, particularly through cyber-attacks or cyber-intrusion, including by computer hackers, foreign governments, and cyber-terrorists, has generally increased as the number, intensity and sophistication of attempted attacks and intrusions from around the world have increased. If such an event were to occur and cause interruptions in ArTara’s operations, it could result in a material disruption of its development programs and its business operations. In the first quarter of 2020, our email server was compromised in a cyber-attack. We quickly isolated the incident and have, since, implemented additional risk prevention measures. In addition, since ArTara sponsors clinical trials, any breach that compromises patient data and identities causing a breach of privacy could generate significant reputational damage and legal liabilities and costs to recover and repair, including affecting trust in the company to recruit for future clinical trials. For example, the loss of clinical trial data from completed or future clinical trials could result in delays in ArTara’s regulatory approval efforts and significantly increase its costs to recover or reproduce the data. To the extent that any disruption or security breach were to result in a loss of, or damage to, ArTara’s data or applications or inappropriate disclosure of confidential or proprietary information, ArTara could incur liability and the further development and commercialization of its products and product candidates could be delayed.

 

 50 

 

 

The COVID-19 coronavirus could adversely impact our business, including our clinical development plans.

 

In December 2019, a novel strain of coronavirus, COVID-19, was reported to have surfaced in Wuhan, China. Since then, the COVID-19 coronavirus has spread to multiple countries, including the United States. As the COVID-19 coronavirus continues to spread in the United States and around the world, we may experience disruptions that could severely impact our business, including:

 

·interruption of key manufacturing, research and clinical development activities, due to limitations on work and travel imposed or recommended by federal or state governments, employers and others;

 

·delays or difficulties in clinical trial site operations, including difficulties in recruiting clinical site investigators and clinical site staff and difficulties in enrolling patients;

 

·interruption of key business activities, due to illness and/or quarantine of key individuals and delays associated with recruiting, hiring and training new temporary or permanent replacements for such key individuals, both internally and at our third party service providers; and

 

·delays in research and clinical trial sites receiving the supplies and materials needed to conduct preclinical studies and clinical trials, due to work stoppages, travel and shipping interruptions or restrictions or other reasons;

 

·difficulties in raising additional capital needed to pursue the development of our programs due to the slowing of our economy and near term and/or long term negative effects of the pandemic on the financial, banking and capital markets;

 

·changes in local regulations as part of a response to the COVID-19 coronavirus outbreak which may require us to change the ways in which research, including clinical development, is conducted, which may result in unexpected costs; and

 

·delays in necessary interactions with regulators, ethics committees and other important agencies and contractors due to limitations in employee resources, travel restrictions or forced furlough of government employees.

 

The global outbreak of the COVID-19 coronavirus continues to rapidly evolve. The extent to which the COVID-19 coronavirus may impact our business will depend on future developments, which are highly uncertain and cannot be predicted with confidence, such as the ultimate geographic spread of the disease, the duration of the outbreak, travel restrictions and social distancing in the United States and other countries, business closures or business disruptions and the effectiveness of actions taken in the United States and other countries to contain and treat the virus.

 

Anti-takeover provisions in ArTara’s charter documents and under Delaware law could make an acquisition of ArTara more difficult and may prevent attempts by ArTara stockholders to replace or remove ArTara’s management.

 

Provisions in ArTara’s certificate of incorporation and bylaws may delay or prevent an acquisition or a change in management. In addition, because ArTara’s is incorporated in Delaware, it is governed by the provisions of Section 203 of the DGCL, which prohibits stockholders owning in excess of 15% of the outstanding ArTara voting stock from merging or combining with ArTara. These provisions may frustrate or prevent any attempts by ArTara’s stockholders to replace or remove then current management by making it more difficult for stockholders to replace members of the board of directors, which is responsible for appointing the members of management.

 

The certificate of incorporation of ArTara provides that the Court of Chancery of the State of Delaware is the exclusive forum for substantially all disputes between ArTara and its stockholders, which could limit its stockholders’ ability to obtain a favorable judicial forum for disputes with ArTara or its directors, officers or other employees.

 

The certificate of incorporation of ArTara provides that the Court of Chancery of the State of Delaware is the sole and exclusive forum for any derivative action or proceeding brought on ArTara’s behalf, any action asserting a breach of fiduciary duty owed by any of its directors, officers or other employees to the ArTara or its stockholders, any action asserting a claim against it arising pursuant to any provisions of the DGCL, its certificate of incorporation or its bylaws, or any action asserting a claim against it that is governed by the internal affairs doctrine. The choice of forum provision may limit a stockholder’s ability to bring a claim in a judicial forum that it finds favorable for disputes with ArTara or its directors, officers or other employees, which may discourage such lawsuits against ArTara and its directors, officers and other employees. If a court were to find the choice of forum provision contained in the certificate of incorporation to be inapplicable or unenforceable in an action, ArTara may incur additional costs associated with resolving such action in other jurisdictions.

 

 51 

 

 

Certain stockholders have the ability to control or significantly influence certain matters submitted to ArTara’s stockholders for approval.

 

Certain stockholders have consent rights over certain significant matters of ArTara’s business. These include decisions to effect a merger or other similar transaction, changes to the principal business of ArTara, and the sale or other transfer of TARA-002 or other assets with an aggregate value of more than $2,500,000. As a result, these stockholders, have significant influence over certain matters that require approval by ArTara’s stockholders.

 

If equity research analysts do not publish research or reports, or publish unfavorable research or reports, about ArTara, its business or its market, its stock price and trading volume could decline.

 

The trading market for ArTara’s common stock is influenced by the research and reports that equity research analysts publish about it and its business. Equity research analysts may elect not to provide research coverage of ArTara’s common stock after the completion of the Merger, and such lack of research coverage may adversely affect the market price of its common stock. In the event it does have equity research analyst coverage, ArTara will not have any control over the analysts or the content and opinions included in their reports. The price of ArTara’s common stock could decline if one or more equity research analysts downgrade its stock or issue other unfavorable commentary or research. If one or more equity research analysts ceases coverage of ArTara or fails to publish reports on it regularly, demand for its common stock could decrease, which in turn could cause its stock price or trading volume to decline.

 

If ArTara fails to maintain proper and effective internal controls, its ability to produce accurate financial statements on a timely basis could be impaired.

 

ArTara is subject to the reporting requirements of the Exchange Act, the Sarbanes-Oxley Act and the rules and regulations of Nasdaq. The Sarbanes-Oxley Act requires, among other things, that ArTara maintain effective disclosure controls and procedures and internal control over financial reporting. ArTara must perform system and process evaluation and testing of its internal control over financial reporting to allow management to report on the effectiveness of its internal controls over financial reporting in its Annual Report on Form 10-K filing for that year, as required by Section 404 of the Sarbanes-Oxley Act. As a private company, ArTara was not required to test its internal controls within a specified period. This will require that it incur substantial professional fees and internal costs to expand its accounting and finance functions and that it expend significant management efforts. ArTara may experience difficulty in meeting these reporting requirements in a timely manner.

 

ArTara may discover weaknesses in its system of internal financial and accounting controls and procedures that could result in a material misstatement of its financial statements. ArTara’s internal control over financial reporting will not prevent or detect all errors and all fraud. A control system, no matter how well designed and operated, can provide only reasonable, not absolute, assurance that the control system’s objectives will be met. Because of the inherent limitations in all control systems, no evaluation of controls can provide absolute assurance that misstatements due to error or fraud will not occur or that all control issues and instances of fraud will be detected.

 

If ArTara is not able to comply with the requirements of Section 404 of the Sarbanes-Oxley Act, or if it is unable to maintain proper and effective internal controls, ArTara may not be able to produce timely and accurate financial statements. If that were to happen, the market price of its common stock could decline and it could be subject to sanctions or investigations by Nasdaq, the SEC or other regulatory authorities.

 

 52 

 

 

Risks Related to Intellectual Property Rights

 

ArTara may not be able to obtain, maintain or enforce global patent rights or other intellectual property rights that cover its product candidates and technologies that are of sufficient breadth to prevent third parties from competing against ArTara.

 

ArTara’s success with respect to its product candidates will depend, in part, on its ability to obtain and maintain patent protection in both the United States and other countries, to preserve its trade secrets and to prevent third parties from infringing on its proprietary rights. ArTara’s ability to protect its product candidates from unauthorized or infringing use by third parties depends in substantial part on its ability to obtain and maintain valid and enforceable patents around the world.

 

The patent application process, also known as patent prosecution, is expensive and time-consuming, and ArTara and its current or future licensors and licensees may not be able to prepare, file and prosecute all necessary or desirable patent applications at a reasonable cost or in a timely manner in all the countries that are desirable. It is also possible that ArTara or its current licensors, or any future licensors or licensees, will fail to identify patentable aspects of inventions made in the course of development and commercialization activities before it is too late to obtain patent protection on them. Therefore, these and any of ArTara’s patents and applications may not be prosecuted and enforced in a manner consistent with the best interests of its business. Moreover, ArTara’s competitors independently may develop equivalent knowledge, methods and know-how or discover workarounds to ArTara patents that would not constitute infringement. Any of these outcomes could impair ArTara’s ability to enforce the exclusivity of its patents effectively, which may have an adverse impact on its business, financial condition and operating results.

 

Due to legal standards relating to patentability, validity, enforceability and claim scope of patents covering pharmaceutical inventions, ArTara’s ability to obtain, maintain and enforce patents is uncertain and involves complex legal and factual questions especially across countries. Accordingly, rights under any existing patents or any patents ArTara might obtain or license may not cover its product candidates or may not provide ArTara with sufficient protection for its product candidates to afford a sustainable commercial advantage against competitive products or processes, including those from branded, generic and over-the-counter pharmaceutical companies. In addition, ArTara cannot guarantee that any patents or other intellectual property rights will issue from any pending or future patent or other similar applications owned by or licensed to ArTara. Even if patents or other intellectual property rights have issued or will issue, ArTara cannot guarantee that the claims of these patents and other rights are or will be held valid or enforceable by the courts, through injunction or otherwise, or will provide ArTara with any significant protection against competitive products or otherwise be commercially valuable to ArTara in every country of commercial significance that ArTara may target.

 

Competitors in the field of immunology and oncology therapeutics have created a substantial amount of prior art, including scientific publications, posters, presentations, patents and patent applications and other public disclosures including on the Internet. ArTara’s ability to obtain and maintain valid and enforceable patents depends on whether the differences between its technology and the prior art allow its technology to be patentable over the prior art. ArTara does not have outstanding issued patents covering all of the recent developments in its technology and is unsure of the patent protection that it will be successful in obtaining, if any. Even if the patents do successfully issue, third parties may design around or challenge the validity, enforceability or scope of such issued patents or any other issued patents ArTara owns or licenses, which may result in such patents being narrowed, invalidated or held unenforceable. If the breadth or strength of protection provided by the patents ArTara holds or pursues with respect to its product candidates is challenged, it could dissuade companies from collaborating with ArTara to develop or threaten its ability to commercialize or finance its product candidates.

 

The laws of some foreign jurisdictions do not provide intellectual property rights to the same extent or duration as in the United States, and many companies have encountered significant difficulties in acquiring, maintaining, protecting, defending and especially enforcing such rights in foreign jurisdictions. If ArTara encounters such difficulties in protecting or are otherwise precluded from effectively protecting its intellectual property in foreign jurisdictions, its business prospects could be substantially harmed, especially internationally.

 

Proprietary trade secrets and unpatented know-how are also very important to ArTara’s business. Although ArTara has taken steps to protect its trade secrets and unpatented know-how by entering into confidentiality agreements with third parties, and intellectual property protection agreements with officers, directors, employees, and certain consultants and advisors, there can be no assurance that binding agreements will not be breached or enforced by courts, that ArTara would have adequate remedies for any breach, including injunctive and other equitable relief, or that its trade secrets and unpatented know-how will not otherwise become known, inadvertently disclosed by ArTara or its agents and representatives, or be independently discovered by its competitors. If trade secrets are independently discovered, ArTara would not be able to prevent their use and if ArTara and its agents or representatives inadvertently disclose trade secrets and/or unpatented know-how, ArTara may not be allowed to retrieve this and maintain the exclusivity it previously enjoyed.

 

 53 

 

 

ArTara may not be able to protect its intellectual property rights throughout the world.

 

Filing, prosecuting and defending patents on ArTara’s product candidates does not guarantee exclusivity. The requirements for patentability differ in certain countries, particularly developing countries. In addition, the laws of some foreign countries do not protect intellectual property rights to the same extent as laws in the United States, especially when it comes to granting use and other kinds of patents and what kind of enforcement rights will be allowed, especially injunctive relief in a civil infringement proceeding. Consequently, ArTara may not be able to prevent third parties from practicing its inventions in all countries outside the United States and even in launching an identical version of ArTara’s product notwithstanding ArTara has a valid patent in that country. Competitors may use ArTara’s technologies in jurisdictions where it has not obtained patent protection to develop their own products, or produce copy products, and, further, may export otherwise infringing products to territories where ArTara has patent protection but enforcement on infringing activities is inadequate or where ArTara has no patents. These products may compete with ArTara’s products, and ArTara’s patents or other intellectual property rights may not be effective or sufficient to prevent them from competing.

 

Many companies have encountered significant problems in protecting and defending intellectual property rights in foreign jurisdictions. The legal systems of certain countries, particularly certain developing countries, do not favor the enforcement of patents and other intellectual property protection, particularly those relating to pharmaceuticals, and the judicial and government systems are often corrupt, which could make it difficult for ArTara to stop the infringement of its patents or marketing of competing products in violation of its proprietary rights generally. Proceedings to enforce its patent rights in foreign jurisdictions could result in substantial costs and divert its efforts and attention from other aspects of its business, could put its global patents at risk of being invalidated or interpreted narrowly and its global patent applications at risk of not issuing, and could provoke third parties to assert claims against it. ArTara may not prevail in any lawsuits that ArTara initiates or infringement actions brought against ArTara, and the damages or other remedies awarded, if any, may not be commercially meaningful when ArTara is the plaintiff. When ArTara is the defendant it may be required to post large bonds to stay in the market while it defends itself from an infringement action.

 

In addition, certain countries in Europe and certain developing countries have compulsory licensing laws under which a patent owner may be compelled to grant licenses to third parties, especially if the patent owner does not enforce or use its patents over a protracted period of time. In some cases, the courts will force compulsory licenses on the patent holder even when finding the patent holder’s patents are valid if the court believes it is in the best interests of the country to have widespread access to an essential product covered by the patent. In these situations, the royalty the court requires to be paid by the license holder receiving the compulsory license is not calculated at fair market value and can be inconsequential, thereby disaffecting the patentholder’s business. In these countries, ArTara may have limited remedies if its patents are infringed or if ArTara is compelled to grant a license to its patents to a third party, which could also materially diminish the value of those patents. This would limit its potential revenue opportunities. Accordingly, ArTara’s efforts to enforce its intellectual property rights around the world may be inadequate to obtain a significant commercial advantage from the intellectual property that ArTara owns or licenses, especially in comparison to what it enjoys from enforcing its intellectual property rights in the Unites States. Finally, the company’s ability to protect and enforce its intellectual property rights may be adversely affected by unforeseen changes in both U.S. and foreign intellectual property laws, or changes to the policies in various government agencies in these countries, including but not limited to the patent office issuing patents and the health agency issuing pharmaceutical product approvals For example, in Brazil, pharmaceutical patents require initial approval of the Brazilian health agency (ANVISA). Finally, many countries have large backlogs in patent prosecution, and in some countries in Latin America it can take years, even decades, just to get a pharmaceutical patent application reviewed notwithstanding the merits of the application.

 

Obtaining and maintaining ArTara’s patent protection depends on compliance with various procedural, document submission, fee payment, and other requirements imposed by governmental patent agencies, and its patent protection could be reduced or eliminated for non-compliance with these requirements.

 

Periodic maintenance and annuity fees on any issued patent are due to be paid to the USPTO and foreign patent agencies in several stages over the lifetime of the patent. The USPTO and various foreign governmental patent agencies require compliance with a number of procedural, documentary, fee payment and other similar provisions during the patent application process. While an inadvertent lapse can, in many cases, be cured by payment of a late fee or by other means in accordance with the applicable rules, there are situations in which noncompliance can result in abandonment or lapse of the patent or patent application, resulting in partial or complete loss of patent rights in the relevant jurisdiction just for failure to know about and/or timely pay a prosecution fee. Non-compliance events that could result in abandonment or lapse of a patent or patent application include failure to respond to official actions within prescribed time limits, non-payment of fees in prescribed time periods, and failure to properly legalize and submit formal documents in the format and style the country requires. If ArTara or its licensors fail to maintain the patents and patent applications covering its product candidates for any reason, the Company’s competitors might be able to enter the market, which would have an adverse effect on ArTara’s business.

 

 54 

 

 

If ArTara fails to comply with its obligations under its intellectual property license agreements, it could lose license rights that are important to its business. Additionally, these agreements may be subject to disagreement over contract interpretation, which could narrow the scope of its rights to the relevant intellectual property or technology or increase its financial or other obligations to its licensors.

 

ArTara has entered into in-license arrangements with respect to certain of its product candidates. These license agreements impose various diligence, milestone, royalty, insurance and other obligations on ArTara. If ArTara fails to comply with these obligations, the respective licensors may have the right to terminate the license, in which event ArTara may not be able to develop or market the affected product candidate. The loss of such rights could materially adversely affect its business, financial condition, operating results and prospects. For more information about these license arrangements, see “Description of ArTara’s Business—Collaborations and License Agreements.

 

If ArTara is sued for infringing intellectual property rights of third parties, such litigation could be costly and time consuming and could prevent or delay it from developing or commercializing its product candidates.

 

ArTara’s commercial success depends on its ability to develop, manufacture, market and sell its product candidates and use its proprietary technologies without infringing the proprietary rights of third parties. ArTara cannot assure that marketing and selling such candidates and using such technologies will not infringe existing or future patents. Numerous U.S.- and foreign-issued patents and pending patent applications owned by third parties exist in the fields relating to its product candidates. As the biotechnology and pharmaceutical industries expand and more patents are issued, the risk increases that others may assert that its product candidates, technologies or methods of delivery or use infringe their patent rights. Moreover, it is not always clear to industry participants, including us, which patents and other intellectual property rights cover various drugs, biologics, drug delivery systems or their methods of use, and which of these patents may be valid and enforceable. Thus, because of the large number of patents issued and patent applications filed in ArTara’s fields across many countries, there may be a risk that third parties may allege they have patent rights encompassing ArTara’s product candidates, technologies or methods.

 

In addition, there may be issued patents of third parties that are infringed or are alleged to be infringed by ArTara’s product candidates or proprietary technologies notwithstanding patents ArTara may possess. Because some patent applications in the United States may be maintained in secrecy until the patents are issued, because patent applications in the United States and many foreign jurisdictions are typically not published until 18 months after filing and because publications in the scientific literature often lag behind actual discoveries, ArTara cannot be certain that others have not filed patent applications for technology covered by its own and in-licensed issued patents or its pending applications. ArTara’s competitors may have filed, and may in the future file, patent applications covering ArTara’s own product candidates or technology similar to ArTara’s technology. Any such patent application may have priority over ArTara’s own and in-licensed patent applications or patents, which could further require ArTara to obtain rights to issued patents covering such technologies, which may mean paying significant licensing fees or the like. If another party has filed a U.S. patent application on inventions similar to those owned or in-licensed to us, ArTara or, in the case of in-licensed technology, the licensor may have to participate, in the United States, in an interference proceeding to determine priority of invention.

 

ArTara may be exposed to, or threatened with, future litigation by third parties having patent or other intellectual property rights alleging that its product candidates or proprietary technologies infringe such third parties’ intellectual property rights, including litigation resulting from filing under Paragraph IV of the Hatch-Waxman Act or other countries’ laws similar to the Hatch-Waxman Act. These lawsuits could claim that there are existing patent rights for such drug, and this type of litigation can be costly and could adversely affect its operating results and divert the attention of managerial and technical personnel, even if ArTara does not infringe such patents or the patents asserted against ArTara is ultimately established as invalid. There is a risk that a court would decide that ArTara is infringing the third party’s patents and would order ArTara to stop the activities covered by the patents. In addition, there is a risk that a court will order ArTara to pay the other party significant damages for having violated the other party’s patents.

 

Because ArTara relies on certain third-party licensors and partners and will continue to do so in the future, if one of its licensors or partners is sued for infringing a third party’s intellectual property rights, ArTara’s business, financial condition, operating results and prospects could suffer in the same manner as if ArTara were sued directly. In addition to facing litigation risks, ArTara has agreed to indemnify certain third-party licensors and partners against claims of infringement caused by ArTara’s proprietary technologies, and ArTara has entered or may enter into cost-sharing agreements with some its licensors and partners that could require ArTara to pay some of the costs of patent litigation brought against those third parties whether or not the alleged infringement is caused by its proprietary technologies. In certain instances, these cost-sharing agreements could also require ArTara to assume greater responsibility for infringement damages than would be assumed just on the basis of its technology.

 

The occurrence of any of the foregoing could adversely affect ArTara’s business, financial condition or operating results.

 

 55 

 

 

ArTara may be subject to claims that its officers, directors, employees, consultants or independent contractors have wrongfully used or disclosed to ArTara alleged trade secrets of their former employers or their former or current customers.

 

As is common in the biotechnology and pharmaceutical industries, certain of ArTara’s employees were formerly employed by other biotechnology or pharmaceutical companies, including its competitors or potential competitors. Moreover, ArTara engages the services of consultants to assist ArTara in the development of ArTara’s products and product candidates, many of whom were previously employed at, or may have previously been or are currently providing consulting services to, other biotechnology or pharmaceutical companies, including its competitors or potential competitors. ArTara may be subject to claims that these employees and consultants or ArTara has inadvertently or otherwise used or disclosed trade secrets or other proprietary information of their former employers or their former or current customers. Although ArTara has no knowledge of any such claims being alleged to date, if such claims were to arise, litigation may be necessary to defend against any such claims. Even if ArTara is successful in defending against any such claims, any such litigation could be protracted, expensive, a distraction to its management team, not viewed favorably by investors and other third parties, and may potentially result in an unfavorable outcome.

 

Item 1B.Unresolved Staff Comments.

 

This item is not applicable.

 

Item 2.Properties.

 

As of December 31, 2019, we lease approximately 700 square feet of space for our headquarters in New York, New York under an agreement that expires in March 2020, with monthly rent of $15,300. We intend to and are able to lease additional space on a month to month basis from our existing landlord to fill our near term business requirements. In addition, the Company entered into a quarter-to-quarter lease agreement for a development lab and a manufacturing space, both in North Carolina for quarterly rent of $1,309 and $19,173, respectively. The development lab space has been occupied as of May 2019 and the manufacturing space will be occupied as of March 2020.  We believe that our existing facilities are adequate to meet our current needs, and that suitable additional alternative spaces will be available in the future on commercially reasonable terms.

 

Item 3.Legal Proceedings.

 

From time to time, ArTara may be subject to various legal proceedings and claims that arise in the ordinary course of its business activities. Between November 15 and December 23, 2019, four lawsuits were filed in federal court against Proteon, ArTara, Merger Sub and the individual members of the Proteon Board (captioned Patrick Plumley v. Proteon Therapeutics, Inc., et al., Case No. 1:19-cv-02143-UNA (D. Del. filed 11/15/19)); Jeffrey Teow v. Proteon Therapeutics, Inc., et al., Case No. 1:19-cv-06745 (E.D.N.Y., filed 11/30/19);Neil Lanteigne v. Proteon Therapeutics, et al., Case No. 1:19-cv-12436 (D. Mass., filed 12/03/19); Stephen Wagner v. Proteon Therapeutics, Inc., et al., Case No. 1:19-cv-02343 (D. Del., filed 12/23/19). The Plumley complaint is brought as a purported class action lawsuit. All four lawsuits alleged that the definitive proxy statement in the preliminary registration statement on Form S-4 filed by Proteon on November 7, 2019 with the SEC in connection with the proposed Merger (the “Proxy Statement”) omitted material information with respect to the transactions contemplated by the Merger Agreement, rendering it false and misleading in violation of Sections 14(a) (and Rule 14a-9 promulgated thereunder) and 20(a) of the Exchange Act. The plaintiffs in each of the four lawsuits sought, among other things, injunctive relief, rescission, declaratory relief and unspecified monetary damages. On December 31, 2019, Proteon filed an amendment to the Proxy Statement on Form 8-K, which contained certain supplemental disclosures intended to moot the plaintiffs’ disclosure claims. On January 9, 2019, Proteon held a special meeting of its stockholders, at which the Company’s stockholders approved the Merger. On January 27, 2020, plaintiff in the Lanteigneaction voluntarily dismissed his case. On February 3, 2020, plaintiff in the Plumley action voluntarily dismissed his case. On February 7, 2020, plaintiff in the Teow action voluntarily dismissed his case. On February 10, 2020, plaintiff in theWagner action dismissed his case.

 

Item 4.Mine Safety Disclosures.

 

This item is not applicable.

 

 

 56 

 

 

PART II 

 

Item 5.Market for Registrant’s Common Equity, Related Stockholder Matters and Issuer Purchases of Equity Securities.

 

Our common stock is traded on the Nasdaq Capital Market under the symbol “TARA”.

 

Holders of Our Common Stock

 

As of March 10, 2020, there were 5,843,203 shares of common stock outstanding held by approximately 39 stockholders of record. The actual number of stockholders is greater than this number of record holders, and includes stockholders who are beneficial owners, but whose shares are held in street name by brokers and other nominees.

 

Dividend Policy

 

We have never declared or paid cash dividends on our Common Stock, and we do not expect to pay any cash dividends on our Common Stock in the foreseeable future. Payment of future dividends, if any, on our Common Stock will be at the discretion of our Board of Directors after taking into account various factors, including our financial condition, operating results, anticipated cash needs, and plans for expansion.

 

Securities Authorized for Issuance under Equity Compensation Plans

 

See Item 12 of Part III of this Annual Report on Form 10-K regarding information about securities authorized for issuance under our equity compensation plans.

 

Recent Sales of Unregistered Securities

 

Other than as previously disclosed in our past Quarterly Reports on Form 10-Q and Current Reports on Form 8-K, the Company did not have any sales of unregistered securities for the period covered by this Annual Report on Form 10-K.

 

Item 6.Selected Financial Data.

 

No disclosure required.

 

 

 57 

 

 

Item 7.Management’s Discussion and Analysis of Financial Condition and Results of Operations.

 

You should read the following discussion and analysis of our financial condition and results of operations together with our financial statements and related notes appearing elsewhere in this report. Some of the information contained in this discussion and analysis or set forth elsewhere in this report, including information with respect to our plans and strategy for our business and related financing, includes forward-looking statements that involve risks and uncertainties. As a result of many factors, including those factors set forth in the “Risk Factors” section of this document, our actual results could differ materially from the results described in, or implied by, the forward-looking statements contained in the following discussion and analysis.

 

Recent Developments

 

On January 9, 2020, ArTara Therapeutics, Inc., formerly Proteon Therapeutics, Inc. (the “Company”), completed its previously announced merger transaction with ArTara Subsidiary, Inc. (formerly ArTara Therapeutics, Inc., “Private ArTara”) in accordance with the terms of the Agreement and Plan of Merger and Reorganization, dated as of September 23, 2019, by and among the Company, REM 1 Acquisition, Inc. (“Merger Sub”), and Private ArTara (as amended on November, 19, 2019, the “Merger Agreement”), pursuant to which Merger Sub merged with and into Private ArTara, with Private ArTara surviving as a wholly owned subsidiary of the Company (the “Merger”). Following the completion of the Merger, the Company is focused on advancing Private ArTara’s drug development programs.

 

On January 9, 2020, in connection with, and prior to the completion of, the Merger, the Company effected a 1-for-40 reverse stock split of its common stock (the “Reverse Stock Split”), Private ArTara changed its name from “ArTara Therapeutics, Inc.” to “ArTara Subsidiary, Inc.”, and the Company changed its name from “Proteon Therapeutics, Inc.” to “ArTara Therapeutics, Inc.” In addition, immediately following the closing of the Private Placement (defined below), all of the outstanding shares of the Company’s Series A Preferred Stock were converted into shares of the Company’s common stock.

 

Under the terms of the Merger Agreement, the Company issued shares of its common stock (“Common Stock”) to Private ArTara’s stockholders, at an exchange ratio of 0.190756 shares of Common Stock, after taking into account the Reverse Stock Split, for each share of Private ArTara common stock outstanding immediately prior to the Merger. The Company assumed all of the outstanding and unexercised stock options of Private ArTara, with such stock options now representing the right to purchase a number of shares of Common Stock equal to 0.190756 multiplied by the number of shares of Private ArTara common stock previously represented by such Private ArTara stock options. The Company also assumed all of the unvested Private ArTara restricted stock awards, which were exchanged for a number of shares of Common Stock equal to 0.190756 multiplied by the number of shares of Private ArTara common stock previously represented by such Private ArTara restricted stock awards and unvested to the same extent as such Private ArTara restricted stock awards and subject to the same restrictions as such Private ArTara restricted stock awards.

 

The shares of Common Stock issued to the former stockholders of Private ArTara were registered with the U.S. Securities and Exchange Commission (the “SEC”) on a Registration Statement on Form S-4 (Reg. No. 333-234549) (the “Registration Statement”).

 

The shares of Common Stock listed on The Nasdaq Capital Market, previously trading through the close of business on Thursday, January 9, 2020 under the ticker symbol “PRTO,” commenced trading on The Nasdaq Capital Market, on a post-Reverse Stock Split adjusted basis, under the ticker symbol “TARA,” on Friday, January 10, 2020.

 

The financial information included in this Management’s Discussion and Analysis of Financial Condition and Results of Operations is that of the Company (referred to in this Management’s Discussion and Analysis of Financial Condition and Results of Operations as “Proteon” in order to avoid confusion) prior to the Merger because the Merger was consummated after the period covered by the financial statements included in this Annual Report. Accordingly, the historical financial information included in this Annual Report, unless otherwise indicated or as the context otherwise requires, is that of Proteon prior to the Merger.

 

Proteon Overview

 

As a result of the Merger, our historic business operations ceased and our going forward operations will be those of Private ArTara. Accordingly, the results of operations reported for the years ended December 31, 2019 and 2018, in this Management’s Discussion and Analysis are not indicative of the results of operations expected in 2020 and future years due to the termination of our historic business operations.

 

 58 

 

 

Prior to the Merger, we were a late-stage biopharmaceutical company focused on the development of novel, first-in-class pharmaceuticals to address the needs of patients with renal and vascular disease.

 

We have never been profitable and, as of December 31, 2019, we had an accumulated deficit of $225.5 million. We incurred net losses of $15.0 million and $20.7 million for the years ended December 31, 2019 and 2018, respectively.

 

Prior to the Merger, Proteon was a biopharmaceutical company that has historically focused on the development of novel, first-in-class pharmaceuticals to address the medical needs of patients with kidney and vascular disease. Proteon’s product candidate, vonapanitase, is a recombinant human elastase that Proteon developed to improve vascular access outcomes in patients with chronic kidney disease, or CKD, undergoing or preparing for hemodialysis, a lifesaving treatment that cannot be conducted without a functioning vascular access.

 

Prior to the Merger, on March 28, 2019, Proteon announced that its second Phase 3 trial, PATENCY-2, for vonapanitase in radiocephalic fistulas did not meet its co-primary endpoints of fistula use for hemodialysis (p=0.328) and secondary patency (p=0.932). The PATENCY-2 clinical trial was the second of two randomized, double-blind Phase 3 trials, comparing a 30 microgram dose of investigational vonapanitase to placebo. Proteon reported top-line results for the first Phase 3 clinical trial, PATENCY-1, in December 2016 and published these results in the Journal of Vascular Surgery in January 2019. As in PATENCY-1, the PATENCY-2 clinical trial enrolled patients with chronic kidney disease undergoing surgical creation of a radiocephalic fistula for hemodialysis. Patients were randomized 2:1, vonapanitase to placebo, and were followed for a period of twelve months. In March 2018, Proteon completed enrollment of a total of 603 treated patients at 39 centers in the U.S. and Canada. Based on the top-line results of the PATENCY-2 clinical trial, Proteon is no longer planning to submit a Biologics License Application, or BLA, to the U.S. Food and Drug Administration, or FDA, or a Marketing Authorization Application, or MAA, to the European Medicines Agency, or EMA, for investigational vonapanitase.

 

Due to the results of the PATENCY-2 clinical trial, Proteon started taking steps beginning in April 2019 to reduce operating expenses while it evaluates its strategic alternatives with a goal to enhance stockholder value. To assist with this process, the Proteon Board engaged H.C. Wainwright & Co., LLC, to assist the Proteon Board to explore its strategic alternatives, including a possible merger or sale of Proteon, a sale of part or all of its assets, and collaboration and licensing arrangements as further discussed in the section titled “The Merger—Background of the Merger.” On September 23, 2019, Proteon and ArTara announced the signing of the Merger Agreement.

 

As of December 31, 2019, Proteon had discontinued substantially all of our research and development activities, including a reduction in workforce. As of December 31, 2019, we had terminated all of our employees. We have recorded severance costs of $2.9 million.

 

Proteon commenced business operations in June 2001 and incorporated in March 2006. Proteon’s operations to date, prior to the Merger, were limited to organizing and staffing the company, business planning, raising capital, undertaking preclinical studies and clinical trials of vonapanitase, protecting Proteon’s intellectual property and providing general and administrative support for these operations. Prior to the Merger, Proteon did not generated any product revenue and has primarily financed its operations through the private placement of its equity securities, business development activities, convertible note financings, and its initial public offering, or IPO, completed in October 2014.

 

Prior to the Merger, Proteon had received an aggregate of $200.1 million in net proceeds comprised of $115.5 million from the issuance of private equity securities, $7.7 million from the issuance of convertible notes, $10.0 million from business development activities, $0.2 million from government grants, $62.5 million from its IPO and $4.2 million from the sale of Proteon’s common stock under its now-terminated at-the-market offering, or ATM, program with Cowen and Company, LLC.

 

Proteon has never been profitable and has incurred net losses in each year since inception. Prior to the Merger, Proteon had an accumulated deficit of $225.5 million and Proteon’s net loss for the year ended December 31, 2019 was $15.0 million. As of December 31, 2019, Proteon had approximately $6.2 million in existing cash and cash equivalents.

 

Prior to the Merger, Proteon did not expect to generate revenue from product sales. Proteon had no manufacturing facilities and all of Proteon’s manufacturing activities were contracted out to third parties. Additionally, Proteon has used third-party clinical research organizations, or CROs, to carry out its clinical development activities and Proteon does not yet have a sales organization.

 

 59 

 

 

Financial Overview

 

Research and Development Expenses

 

Prior to the Merger, research and development expenses consisted primarily of costs incurred for the development of vonapanitase and costs associated with the discontinuation of Proteon’s research and development activities, which include:

 

·employee-related expenses, including salaries, benefits, travel, stock-based compensation expense and severance payments;

 

·expenses incurred under agreements with clinical research organizations, or CROs and investigative sites that conducted Proteon’s clinical trials;

 

·the cost of acquiring, developing and manufacturing clinical trial materials;

 

·costs associated with regulatory operations; and

 

·facilities, depreciation and other expenses, which include direct and allocated expenses for rent and maintenance of facilities, insurance and other supplies.

 

In April 2019, Proteon initiated plans to discontinue research and development activities to reduce operating expenses. Proteon will continue to expense the remaining research and development costs to operations as incurred. Proteon recognizes costs for certain development activities, such as clinical trials, based on an evaluation of the progress to completion of specific tasks using data such as patient enrollment, clinical site activations or information provided to Proteon by Proteon’s vendors.

 

Proteon’s efforts to discontinue development activities included the following:

 

·Proteon closed the 39 clinical sites that participated in Proteon’s second Phase 3 trial, PATENCY-2, and terminated the long-term follow-up patient registry;

 

·Proteon had planned to enroll up to an additional 16 patients in a Phase 1 clinical trial of vonapanitase in patients with PAD before the end of 2019 and to follow each of these patients for period of up to seven months. However, based on Proteon’s current operating plan, Proteon decided not to continue patient enrollment in the Phase 1 trial evaluating vonapanitase in PAD; and

 

·Proteon discontinued all activities relating to the manufacture of clinical trial materials in support of Proteon’s clinical trials and process validation activities that were undertaken in anticipation of a potential BLA submission.

 

General and Administrative Expenses

 

General and administrative expenses consist principally of salaries and related costs for personnel, including stock-based compensation and travel expenses, in executive and other administrative functions. Other general and administrative expenses also include professional fees for legal, patent review, consulting and accounting services as well as facility related costs, as well as expenses related to audit, legal, regulatory and tax-related services associated with maintaining compliance with Proteon’s Nasdaq listing and SEC requirements, director and officer liability insurance premiums and investor relations costs associated with being a public company.

 

Investment Income

 

Investment income consists of interest income earned on Proteon’s cash, cash equivalents and marketable securities.

 

Other Income (Expense), Net

 

Other income (expense), net consists of the gain realized from non-cash gains and losses from currency exchange rate fluctuations on transactions or balances denominated in a foreign currency.

 

 60 

 

 

Critical Accounting Policies and Significant Judgments and Estimates

 

Management’s discussion and analysis of Proteon’s financial position and results of operations is based on its financial statements, which have been prepared in accordance with accounting principles generally accepted in the United States of America, or GAAP. The preparation of financial statements in conformity with GAAP requires Proteon to make estimates and assumptions that affect the amounts reported in the financial statements and accompanying notes. On an ongoing basis, Proteon evaluates estimates, which include estimates related to clinical trial accruals, stock-based compensation expense, and reported amounts of revenues and expenses during the reported period. Proteon bases its estimates on historical experience and other market-specific or other relevant assumptions that Proteon believes to be reasonable under the circumstances. Actual results may differ materially from those estimates or assumptions.

 

While our significant accounting policies are described in more detail in the notes to our consolidated financial statements and related notes appearing elsewhere in this Annual Report, we believe the following accounting policies to be most critical to the judgments and estimates used in the preparation of our financial statements.

 

Stock-Based Compensation

 

We issue stock-based awards to employees and non-employees. We account for our stock-based awards in accordance with FASB ASC Topic 718, Compensation—Stock Compensation, (“ASC 718”). ASC 718 requires all stock-based payments to employees, including grants of employee stock options and modifications to existing stock options, to be recognized in the consolidated statements of operations and comprehensive loss based on their fair values. We account for stock-based awards to non-employees in accordance with ASC 718, which requires the fair value of the award to be remeasured at fair value as the award vests.

 

Our stock-based awards are subject to service-based vesting conditions. Compensation expense related to awards to employees and directors with service-based vesting conditions is recognized on a straight-line basis based on the grant date fair value over the associated service period of the award, which is generally the vesting term. Compensation expense related to awards to non-employees with service-based vesting conditions is recognized on the then-current fair value at each financial reporting date prior to the measurement date over the associated service period of the award, which is generally the vesting term, using the accelerated attribution method.

 

Described below is the methodology we have utilized in measuring stock-based compensation expense. Following the consummation of our IPO, stock option values have been determined based on the quoted market price of our common stock.

 

We estimate the fair value of our stock-based awards to employees and non-employees using the Black-Scholes option pricing model, which requires the input of highly subjective assumptions, including (i) the expected volatility of our stock, (ii) the expected term of the award, (iii) the risk-free interest rate and (iv) expected dividends. During 2018 we began to estimate our volatility by using a blend of our stock price history, for the length of time we have market data for our stock and the historical volatility of similar public companies for the expected term of each grant. For these analyses, we select companies with comparable characteristics to ours including enterprise value, risk profiles, position within the industry, and with historical share price information sufficient to meet the expected life of the stock-based awards. We compute the historical volatility data using the daily closing prices for the selected companies’ shares during the equivalent period of the calculated expected term of our stock-based awards. We account for forfeitures as they occur. We estimate the expected life of our employee stock options using the “simplified” method, whereby, the expected life equals the average of the vesting term and the original contractual term of the option. The risk-free interest rates for periods within the expected life of the option were based on the U.S. Treasury yield curve in effect during the period the options were granted.

 

 61 

 

 

Results of Operations

 

Comparison of the Years Ended December 31, 2019 and 2018

 

The following table summarizes Proteon’s results of operations for the years ended December 31, 2019 and 2018 (in thousands):

 

  Year Ended December 31, Period-to-Period
  2019 2018 Change
       
Operating expenses:            
Research and development $6,438  $11,848  $(5,410)
General and administrative  8,816   9,524   (708)
Total operating expenses  15,254   21,372   (6,118)
Loss from operations  (15,254)  (21,372)  6,118 
Other income:            
Investment income  262   436   (174)
Other income, net     207   (207)
Total other income  262   643   (381)
Net Loss $(14,992) $(20,729) $5,737 

 

Research and Development Expenses. The following table identifies research and development expenses on both an external and internal basis for the years ended December 31, 2019 and 2018 (in thousands):

 

  Year Ended December 31, Period-to-Period
  2019 2018 Change
       
External vonapanitase research and development expenses $3,809  $7,401  $(3,592)
Internal research and development expenses  2,629   4,447   (1,818)
Total research and development expenses $6,438  $11,848  $(5,410)

 

During the year ended December 31, 2019, our total research and development expense decreased by $5.4 million compared to the year ended December 31, 2018 primarily due to $3.6 million in decreased external expenses. The decrease of $3.6 million in external expenses was primarily driven by $2.5 million in decreased expenses for our completed clinical trials and $1.1 million in decreased expenses for our manufacturing expenses. Our internal research and development expenses decreased by $1.8 million in the year ended December 31, 2019 as compared to the year ended December 31, 2018 was primarily due to our reduction in force.

 

General and Administrative Expenses. During the year ended December 31, 2019, our total general and administrative expenses decreased by $0.7 million as compared to the year ended December 31, 2018 primarily due to the decrease of $1.1 million in personnel related costs due to our reduction in force and offset by an increase of $0.4 million related to general corporate efforts.

 

Investment Income.During the year ended December 31, 2019, investment income decreased by $0.2 million primarily due to an increase in interest income on our cash, cash equivalents, and marketable securities.

 

Other Income (Expense), Net. During the year ended December 31, 2019, other expense decreased by $0.2 million as compared to the year ended December 31, 2018 primarily due to foreign currency remeasurement gain for cash denominated in Swiss Francs.

 

Liquidity and Capital Resources

 

Overview

 

Since our inception and through the year ended December 31, 2019, we had received $200.1 million in net proceeds comprised of $115.5 million from the issuance of private equity securities, $7.7 million from the issuance of convertible notes, $10.0 million from business development activities, $0.2 million from government grants, $62.5 million from our IPO and $4.2 million from the sale of Common Stock under our now-terminated ATM program with Cowen and Company, LLC.

 

 62 

 

 

Liquidity

 

As of December 31, 2019, the Company had cash and cash equivalents of $6.2 million. The Company had an accumulated deficit of $225.5 million as of December 31, 2019.

 

In connection with the Merger, the Company consummated the Private Placements, raising gross proceeds of $42.5 million. Upon the consummation of the Merger and the Private Placements, the post-merger combined company is expected to have cash of approximately $40.7 million.

 

The Company expects there will be no further material near term cash expenditures to fund the Company’s vonapanitase clinical trials. From the date of the Merger, the activities of the Company will become those of Private ArTara.

 

The Company is in the business of developing biopharmaceuticals, has no current or near term revenues. The Company is incurring substantial clinical and other costs in its drug development efforts. The Company expects it will need to raise additional capital in order to fully realize management’s plans.

 

The Company believes that its current financial resources, as of the date of the issuance of these consolidated financial statements, are sufficient to fund its current twelve month operating budget, alleviating any substantial doubt raised by our historical operating results and satisfying our estimated liquidity needs for at least twelve months from the issuance of these consolidated financial statements.

 

The accompanying financial statements have been prepared on a going concern basis, which contemplates the realization of assets and satisfaction of liabilities in the ordinary course of business. The financial statements do not include any adjustments relating to the recoverability and classification of recorded asset amounts or the amounts and classification of liabilities that might result from the outcome of the uncertainties described above.

 

At-The-Market Equity Offering Program

 

On November 12, 2015, we entered into a Sales Agreement with Cowen to establish an ATM program, pursuant to which Cowen was able, with the Company’s authorization, to offer and sell up to $40 million in aggregate amount of our Common Stock from time to time under our registration statement on Form S-3, File No. 333-207965, which was declared effective January 12, 2016. Our ATM program was terminated effective as of February 7, 2019, when our new shelf registration statement on Form S-3, File No. 333-228865, was declared effective by the SEC.

 

Cash Flows

 

The following table summarizes our sources and uses of cash for the years ended December 31, 2019 and 2018 (in thousands):

 

  Years Ended December 31,
  2019 2018
     
Net cash used in operating activities $(15,646) $(23,233)
Net cash provided by investing activities  2,484   18,427 
Net cash provided by financing activities     2,985 
Effect of exchange rate changes on cash     22 
Net decrease in cash, cash equivalents, and restricted cash $(13,162) $(1,799)

 

Comparison of the Years Ended December 31, 2019 and 2018

 

Net cash used in operating activities was $15.6 million for the year ended December 31, 2019 compared to $23.2 million for the year ended December 31, 2018. The decrease of $7.6 million in cash used in operating activities was primarily driven by a $4.1 million decrease in cash outflows related to changes in the components of working capital combined with a decrease in our net loss of $5.7 million, as compared to the year ended December 31, 2018.

 

 63 

 

 

Net cash provided by investing activities was $2.5 million for the year ended December 31, 2019 compared to $18.4 million used in the year ended December 31, 2018. The change of $15.9 million in cash provided by investing activities was primarily driven a decrease in cash inflows of $31.5 million due to lower proceeds from maturities and sales of available-for-sale investments offset by $15.5 million decrease in cash outflows for purchases of available-for-sale investments and purchases of property plant and equipment in the year ended December 31, 2019 as compared to the year ended December 31, 2018.

 

Off-Balance Sheet Arrangements

 

We did not have, during the periods presented, and we do not currently have, any off-balance sheet arrangements, as defined under the applicable regulations of the SEC.

 

Contractual Obligations

 

As of December 31, 2019, there are no outstanding contractual obligations.

 

Item 7A.Quantitative and Qualitative Disclosures About Market Risk

 

Interest Rate Risk

 

No disclosure required.

 

Item 8.Financial Statements and Supplementary Data.

 

The consolidated financial statements required pursuant to this item are included in Item 15 of this report and are presented beginning on page F-1.

 

Item 9.Changes in and Disagreements With Accountants on Accounting and Financial Disclosure.

 

None.

 

Item 9A.Controls and Procedures.

 

Disclosure Controls and Procedures

 

We maintain disclosure controls and procedures (as defined in Rules 13a-15(e) or 15d-15(e) under the Exchange Act) that are designed to ensure that information required to be disclosed in the reports that we file or submit under the Exchange Act is (1) recorded, processed, summarized, and reported within the time periods specified in the SEC’s rules and forms and (2) accumulated and communicated to our management, including our principal executive officer and principal financial officer, as appropriate, to allow timely decisions regarding required disclosure.

 

As of December 31, 2019, our management, with the participation of our principal executive officer and principal financial officer, evaluated the effectiveness of our disclosure controls and procedures as of the end of the period covered by this Annual Report on Form 10-K. Our management recognizes that any controls and procedures, no matter how well designed and operated, can provide only reasonable assurance of achieving their objectives, and management necessarily applies its judgment in evaluating the cost-benefit relationship of possible controls and procedures. Our principal executive officer and principal financial officer have concluded based upon the evaluation described above that, as of December 31, 2019, our disclosure controls and procedures were effective at the reasonable assurance level.

 

We continue to review and document our disclosure controls and procedures, including our internal controls and procedures for financial reporting, and may from time to time make changes aimed at enhancing their effectiveness and to ensure that our systems evolve with our business.

 

 64 

 

 

Management’s Report on Internal Control Over Financial Reporting

 

Our management is responsible for establishing and maintaining adequate internal control over financial reporting. Internal control over financial reporting is a process designed under the supervision and with the participation of our management, including our Chief Executive Officer and Chief Financial Officer, to provide reasonable assurance regarding the reliability of financial reporting and the preparation of financial statements for external purposes in accordance with accounting principles generally accepted in the United States of America.

 

As of December 31, 2019, our management assessed the effectiveness of our internal control over financial reporting using the criteria set forth by the Committee of Sponsoring Organizations of the Treadway Commission (COSO) in Internal Control-Integrated Framework (2013). Based on this assessment, management, under the supervision and with the participation of our Chief Executive Officer and Chief Financial Officer, concluded that, as of December 31, 2019, our internal control over financial reporting was effective based on those criteria.

 

Changes in Internal Control Over Financial Reporting

 

An evaluation was also performed under the supervision and with the participation of our management, including our Chief Executive Officer and Chief Financial Officer, of any changes in our internal control over financial reporting that occurred during our last fiscal quarter and that has materially affected, or is reasonably likely to materially affect, our internal control over financial reporting. That evaluation did not identify any change in our internal control over financial reporting that occurred during our latest fiscal quarter and that has materially affected, or is reasonably likely to materially affect, our internal control over financial reporting.

 

Item 9B.Other Information

 

None.

 

 

 

 

 65 

 

 

PART III 

 

Item 10.Directors, Executive Officers and Corporate Governance.

 

The information required by this Item and not set forth below will be set forth in the section headed “—Election of Directors” and “Information Regarding the Board of Directors and Corporate Governance” in our definitive Proxy Statement for our 2020 Annual Meeting of Stockholders to be filed with the SEC on or before April 29, 2020 (our “Proxy Statement”) and is incorporated in this report by reference.

 

We have adopted a code of ethics for directors, officers (including our principal executive officer, principal financial officer and principal accounting officer) and employees, known as the Code of Business Conduct and Ethics. The Code of Business Conduct and Ethics is available on our website at http://www.artaratx.com under the Corporate Governance section of our Investors page. We will promptly disclose on our website (i) the nature of any amendment to the policy that applies to our principal executive officer, principal financial officer, principal accounting officer or controller, or persons performing similar functions and (ii) the nature of any waiver, including an implicit waiver, from a provision of the policy that is granted to one of these specified individuals, the name of such person who is granted the waiver and the date of the waiver. Stockholders may request a free copy of the Code of Business Conduct and Ethics by emailing the Company at inquiries@artaratx.com.

 

Item 11.Executive Compensation.

 

The information required by this Item will be set forth in the section headed “Executive Compensation” in our Proxy Statement and is incorporated in this report by reference.

 

Item 12.Security Ownership of Certain Beneficial Owners and Management and Related Stockholder Matters.

 

The information required by this Item will be set forth in the section headed “Security Ownership of Certain Beneficial Owners and Management” in our Proxy Statement and is incorporated in this report by reference.

 

Information regarding our equity compensation plans will be set forth in the section headed “Executive Compensation” in our Proxy Statement and is incorporated in this report by reference.

 

Item 13.Certain Relationships and Related Transactions, and Director Independence.

 

The information required by this Item will be set forth in the section headed “Transactions With Related Persons” in our Proxy Statement and is incorporated in this report by reference.

 

Item 14.Principal Accountant Fees and Services.

 

The information required by this Item will be set forth in the section headed “—Ratification of Selection of Independent Registered Public Accounting Firm” in our Proxy Statement and is incorporated in this report by reference.

 

 

 

 

 66 

 

 

PART IV 

 

Item 15.Exhibits and Financial Statement Schedules.

 

(a) Documents filed as part of this report.

 

1. The following financial statements of ArTara Therapeutics, Inc. and Report of Ernst & Young LLP, Independent Registered Public Accounting Firm, are included in this report:

 

 

Page Number

Report of Independent Registered Public Accounting FirmF-1
Consolidated Balance SheetsF-2
Consolidated Statements of Operations and Comprehensive LossF-3
Consolidated Statements of Stockholders’ EquityF-4
Consolidated Statements of Cash FlowsF-5
Notes to Consolidated Financial StatementsF-6

 

2. List of financial statement schedules:

 

All schedules have been omitted because they are not applicable or the required information is shown in the financial statements or notes thereto.

 

3. List of Exhibits required by Item 601 of Regulation S-K. See part (b) below.

 

(b) Exhibits.

 

Exhibit No.

 

Description

2.1 Agreement and Plan of Merger and Reorganization, dated September 23, 2019, by and among the Registrant, ArTara Therapeutics, Inc. and REM 1 Acquisition, Inc. (filed as Exhibit 2.1 to the Registrant’s Current Report on Form 8-K as filed on September 24, 2019, and incorporated herein by reference).
2.2 Amendment No. 1 to Agreement and Plan of Merger and Reorganization, dated November 19, 2019, by and among the Registrant, ArTara Therapeutics, Inc. and REM 1 Acquisition, Inc. (filed as Exhibit 2.2 to the Registrant’s Registration Statement on Amendment No. 2 to Form S-4 as filed on December 4, 2019, and incorporated herein by reference).
2.3 Form of the ArTara Therapeutics, Inc.’s Support Agreement, dated September 23, 2019, by and between the Registrant, ArTara Therapeutics, Inc. and each of the parties named in each agreement therein (filed as Exhibit 10.1 to the Registrant’s Current Report on Form 8-K as filed on September 24, 2019, and incorporated herein by reference).
2.4 Form of Registrant’s Support Agreement, dated September 23, 2019, by and between the Registrant, ArTara Therapeutics, Inc. and each of the parties named in each agreement therein (filed as Exhibit 10.2 to the Registrant’s Current Report on Form 8-K as filed on September 24, 2019, and incorporated herein by reference).
2.5 Form of Lock-Up Agreement, dated September 23, 2019, by each of the parties named in each agreement therein (filed as Exhibit 10.3 to the Registrant’s Current Report on Form 8-K as filed on September 24, 2019, and incorporated herein by reference).
3.1 Sixth Amended and Restated Certificate of Incorporation of the Company (incorporated by reference to Exhibit 3.1 to the Company’s Current Report on Form 8-K filed on October 27, 2014).
3.2 Certificate of Amendment to the Sixth Amended and Restated Certificate of Incorporation (incorporated by reference to Exhibit 3.1 to the Registrant’s Current Report on Form 8-K, filed with the SEC on January 10, 2020).
3.3 Certificate of Designation of Preferences, Rights and Limitations of Series A Convertible Preferred Stock, dated August 1, 2017 (incorporated by reference to Exhibit 3.1 of Current Report on Form 8-K, filed on August 3, 2017).
    

 

 67 

 

 

3.4 Certificate of Designation of Preferences, Rights and Limitations of Series 1 Convertible Preferred Stock (incorporated by reference to Exhibit 3.2 to the Registrant’s Current Report on Form 8-K, filed with the SEC on January 10, 2020).
3.5 Second Amended and Restated By-laws of Proteon Therapeutics, Inc. (incorporated by reference to Exhibit 3.2 of Current Report on Form 8-K, filed on August 3, 2017).
4.1 Form of Common Stock Certificate (incorporated by reference to Exhibit 4.1 to Amendment No. 1 to the Company’s Registration Statement on Form S-1 filed on October 7, 2014).
4.2 Form of Common Stock Certificate (incorporated by reference to Exhibit 4.1 to the Registrant’s Current Report on Form 8-K, filed with the SEC on January 10, 2020).
4.3 +Description of securities registered under Section 12 of the Exchange Act of 1934.
4.4 Fifth Amended and Restated Investors’ Rights Agreement, dated June 22, 2017, by and among Proteon Therapeutics, Inc. and the stockholders party thereto (incorporated by reference to Exhibit 4.18 of Current Report on Form 8-K, filed on June 23, 2017).
4.5 Registration Rights Agreement, dated as of August 2, 2017 by and between Proteon Therapeutics, Inc. and the Investors party thereto (incorporated by reference to Exhibit 4.1 of Current Report on Form 8-K, filed on August 3, 2017).
4.6 Registration Rights Agreement, dated as of September 23, 2019, by and among the Registrant and the institutional investors named therein (incorporated by reference to Exhibit 10.5 to the Registrant’s Current Report on Form 8-K, filed with the SEC on September 24, 2019).
10.1 2006 Equity Incentive Plan, as amended and restated August 21, 2014 (incorporated by reference to Exhibit 10.1 to Amendment No. 1 to the Company’s Registration Statement on Form S-1 filed on October 7, 2014 (File No. 333-198777)).
10.2 Letter Agreement by and between the Company and F. Nicholas Franano, dated August 22, 2014 (incorporated by reference to Exhibit 10.8 to the Company’s Registration Statement on Form S-1 filed on September 16, 2014).
10.3 Lease Agreement by and between the Company and Boston Properties Limited Partnership, dated July 13, 2009, as amended by that Amendment No. 1 dated September 14, 2012, as amended by that Amendment No. 2 dated October 17, 2013, as amended by that Amendment No. 3 dated August 4, 2014 (incorporated by reference to Exhibit 10.10 to the Company’s Registration Statement on Form S-1 filed on September 16, 2014).
10.4 Assignment of Rights/License Agreement, effective as of February 4, 2002, by and between Johns Hopkins University and F. Nicholas Franano (incorporated by reference to Exhibit 10.11 to the Company’s Registration Statement on Form S-1 filed on September 16, 2014).
10.5 Assignment of Patent made and entered into as of December 30, 2002, by and between F. Nicholas Franano and Proteon Therapeutics, L.L.C. (incorporated by reference to Exhibit 10.12 to the Company’s Registration Statement on Form S-1 filed on September 16, 2014).
10.6 Letter Agreement, dated October 1, 2010, among the National Institutes of Health, F. Nicholas Franano and the Company (incorporated by reference to Exhibit 10.13 to the Company’s Registration Statement on Form S-1 filed on September 16, 2014).
10.7 Letter Agreement, dated January 12, 2009, by and between F. Nicholas Franano and the Company (as successor-in-interest to Proteon Therapeutics, L.L.C.) (incorporated by reference to Exhibit 10.14 to the Company’s Registration Statement on Form S-1 filed on September 16, 2014).
10.8 Quitclaim Deed, dated January 17, 2011, by F. Nicholas Franano to the Company (incorporated by reference to Exhibit 10.15 to the Company’s Registration Statement on Form S-1 filed on September 16, 2014).
10.9 Form of Stock Option Grant Notice and Stock Option Agreement under the Company’s 2006 Equity Incentive Plan, as amended (incorporated by reference to Exhibit 10.16 to the Company’s Registration Statement on Form S-1 filed on September 16, 2014).

 

 68 

 

 

10.10 2014 Employee Stock Purchase Plan (incorporated by reference to Exhibit 10.25 to Amendment No. 1 to the Company’s Registration Statement on Form S-1 filed on October 7, 2014).
10.11 Amended and Restated Employment Agreement by and between the Company and Timothy P. Noyes, dated October 1, 2014 (incorporated by reference to Exhibit 10.26 to Amendment No. 1 to the Company’s Registration Statement on Form S-1 filed on October 7, 2014).
10.12 Amended and Restated Employment Agreement by and between the Company and Steven Burke, dated October 1, 2014 (incorporated by reference to Exhibit 10.27 to Amendment No. 1 to the Company’s Registration Statement on Form S-1 filed on October 7, 2014).
10.13 Amended and Restated Employment Agreement by and between the Company and George Eldridge, dated October 1, 2014 (incorporated by reference to Exhibit 10.28 to Amendment No. 1 to the Company’s Registration Statement on Form S-1 filed on October 7, 2014).
10.14 Amended and Restated Employment Agreement by and between the Company and Daniel Gottlieb, dated October 1, 2014 (incorporated by reference to Exhibit 10.29 to Amendment No. 1 to the Company’s Registration Statement on Form S-1 filed on October 7, 2014).
10.15 Form of Amended and Restated Indemnification Agreement (incorporated by reference to Exhibit 10.30 to Amendment No. 1 to the Company’s Registration Statement on Form S-1/A filed on October 7, 2014).
10.16 Manufacturing Services Agreement by and between the Company and Lonza Ltd, dated as of June 30, 2015 and signed July 9, 2015 (incorporated by reference to Exhibit 10.1 to the Company’s Quarterly Report on Form 10-Q for the quarter ended September 30, 2015 filed on November 12, 2015).
10.17 ††Amendment to Manufacturing Services Agreement by and between the Company and Lonza LTD entered into on January 21, 2016 (incorporated by reference to Exhibit 10.1 to the Company’s Quarterly Report on Form 10-Q for the quarter ended March 31, 2016 filed on May 9, 2016).
10.18 Amendment No. 1 to Employment Agreement by and between the Company and George Eldridge dated as of March 15, 2017 (incorporated by reference to Exhibit 10.19 to the Company’s Annual Report on Form 10-K for the fiscal year ended December 31, 2016 filed on March 16, 2017).
10.19 Securities Purchase Agreement, dated as of June 23, 2017, by and among the Company and the purchasers party thereto (incorporated by reference to Exhibit 10.20 of Current Report on Form 8-K, filed on June 23, 2017).
10.20 Fourth Amendment to Lease by and between Proteon Therapeutics, Inc. and Boston Properties Limited Partnership, dated August 17, 2009 (incorporated by reference to Exhibit 10.2 to the Company’s Quarterly Report on Form 10-Q for the quarter ended September 30, 2017 filed on November 7, 2017).
10.21 ††Amendment No. 3 to Manufacturing Services Agreement by and between the Company and Lonza LTD dated as of May 4, 2018 (incorporated by reference to Exhibit 10.1 to the Company’s Quarterly Report on Form 10-Q for the quarter ended June 30, 2018 filed on August 7, 2018).
10.22 **Subscription Agreement, dated September 23, 2019, by and among the Registrant and the institutional investors named therein (incorporated by reference to Exhibit 10.4 to the Registrant’s Current Report on Form 8-K, filed with the SEC on September 24, 2019).
10.23 **First Amendment to Subscription Agreement, dated November 19, 2019, by and among the Registrant and the institutional investors named therein (incorporated by reference to Exhibit 99.12 to the Registrant’s Registration Statement on Form S-4).
10.24 Amended and Restated 2014 Equity Incentive Plan of Proteon Therapeutics, Inc. (incorporated by reference to Exhibit 10.1 to the Registrant’s Current Report on Form 8-K, filed on August 3, 2017).
10.25 +†Forms of Stock Option Agreement, Option Exercise, Restricted Stock Unit Grant and Restricted Stock Unit Agreement under the Amended and Restated 2014 Equity Incentive Plan of the Registrant, as amended.

 

 69 

 

 

10.26 2017 Equity Incentive Plan of ArTara Subsidiary, Inc. (incorporated by reference to Exhibit 10.11 to the Registrant’s Current Report on Form 8-K, filed with the SEC on January 10, 2020).
10.27 Executive Employment Agreement, dated as of November 5, 2019, as amended on December 4, 2019, by and between ArTara Subsidiary, Inc. and Jesse Shefferman. (incorporated by reference to Exhibit 10.2 to the Registrant’s Current Report on Form 8-K, filed with the SEC on January 10, 2020).
10.28 Executive Employment Agreement, dated as of December 17, 2019, by and between ArTara Subsidiary, Inc. and Jacqueline Zummo, Ph.D., MPH, MBA. (incorporated by reference to Exhibit 10.3 to the Registrant’s Current Report on Form 8-K, filed with the SEC on January 10, 2020).
10.29 +†Executive Employment Agreement, dated as of February 6, 2020, by and between the Registrant and Julio Casoy, M.D.
10.30 +†Executive Employment Agreement, effective as of February 11, 2020 by and between the Registrant and Blaine Davis.
10.31 ††Choline License Agreement, by and between ArTara Subsidiary, Inc. and Alan L. Buchman, M.D. dated as of September 27, 2017. (incorporated by reference to Exhibit 10.4 to the Registrant’s Current Report on Form 8-K, filed with the SEC on January 10, 2020).
10.32 ††Sponsored Research and License Agreement, by and between ArTara Subsidiary, Inc. and The University of Iowa dated as of November 28, 2018. (incorporated by reference to Exhibit 10.5 to the Registrant’s Current Report on Form 8-K, filed with the SEC on January 10, 2020).
10.33 ††License Agreement, by and between ArTara Subsidiary, Inc. and The Feinstein Institute for Medical Research dated as of December 22, 2017. (incorporated by reference to Exhibit 10.6 to the Registrant’s Current Report on Form 8-K, filed with the SEC on January 10, 2020).
10.34 ††Agreement, by and between ArTara Subsidiary, Inc. and Chugai Pharmaceutical Co., Ltd. dated as of June 17, 2019. (incorporated by reference to Exhibit 10.7 to the Registrant’s Current Report on Form 8-K, filed with the SEC on January 10, 2020).
10.35 Form of Indemnity Agreement between the Registrant and each of its directors and officers. (incorporated by reference to Exhibit 10.8 to the Registrant’s Current Report on Form 8-K, filed with the SEC on January 10, 2020).
10.36 +†Restated Non-Employee Director Compensation Policy.
21.1 +List of Subsidiaries.
23.1 +Consent of Ernst & Young LLP, independent registered public accounting firm.
31.1 +Certification of Principal Executive Officer Required Under Rule 13a-14(a) and 15d-14(a) of the Securities Exchange Act of 1934, as amended.
31.2 +Certification of Principal Financial Officer Required Under Rule 13a-14(a) and 15d-14(a) of the Securities Exchange Act of 1934, as amended.
32.1 +Principal Executive Officer Certification and Principal Financial Officer Certification Pursuant to 18 U.S.C. Section 1350, as Adopted Pursuant to Section 906 of the Sarbanes-Oxley Act of 2002.
101 *Interactive Data Files Pursuant to Rule 405 of Regulation S-T: (i) the Consolidated Balance Sheets as of December 31, 2018 and 2017; (ii) the Consolidated Statements of Operations and Comprehensive Loss for the years ended December 31, 2018, 2017, and 2016; (iii) the Consolidated Statements of Convertible Preferred Stock and Stockholders’ Equity for the years ended December 31, 2018, 2017, and 2016; (iv) the Consolidated Statements of Cash Flows for the years ended December 31, 2018, 2017, and 2016; and (v) the notes to the Consolidated Financial Statements.

 

+ Filed herewith.

 

** Schedules have been omitted pursuant to Item 601(b)(2) of Regulation S-K. A copy of any omitted schedules will be furnished to the SEC upon request.

 

† Indicates management contract or compensatory plan or arrangement.

 

†† Certain portions of this exhibit (indicated by “[***]”) have been omitted as the Registrant has determined (i) the omitted information is not material and (ii) the omitted information would likely cause harm to the Registrant if publicly disclosed.

 

 70 

 

 

Item 16.Form 10-K Summary

 

None.

 

 

 

 

 

 

 

 

 

 

 

 

 

 

 

 

 

 

 71 

 

 

SIGNATURES

 

Pursuant to the requirements of Section 13 or 15(d) of the Securities and Exchange Act of 1934, the registrant has duly caused this report to be signed on its behalf by the undersigned thereunto duly authorized.

 

  ArTara Therapeutics, Inc.
   
Date: March 19, 2020 /s/    Jesse Shefferman     
  

Jesse Shefferman

President and Chief Executive Officer

(on behalf of the registrant and as the registrant’s

Principal Executive Officer)

 

 

KNOW ALL PERSONS BY THESE PRESENTS, that each individual whose signature appears below constitutes and appoints Stephen Davis, his true and lawful attorney-in-fact and agent with full power of substitution, for him and in his or her name, place and stead, in any and all capacities, to sign any and all amendments to this Annual Report on Form 10-K, and to file the same, with all exhibits thereto and all documents in connection therewith, with the Securities and Exchange Commission, granting unto said attorney-in-fact and agent, full power and authority to do and perform each and every act and thing requisite and necessary to be done in and about the premises, as fully to all intents and purposes as he or she might or could do in person, hereby ratifying and confirming all that said attorney-in-fact and agent, or his or her substitute or substitutes, may lawfully do or cause to be done by virtue hereof.

 

Pursuant to the requirements of the Securities and Exchange Act of 1934, this report has been signed below by the following persons on behalf of the registrant and in the capacities and on the dates indicated.

 

Signature

Title

Date

   

/s/ JESSE SHEFFERMAN

President and Chief Executive Officer and Director
(Principal Executive Officer)
March 19, 2020
Jesse Shefferman 
   

/s/ BLAINE DAVIS

Chief Financial Officer

(Principal Financial and Accounting Officer)

March 19, 2020
Blaine Davis 

 

/s/ LUKE BESHAR

 

Chairman of the Board of Directors

 

March 19, 2020

Luke Beshar 
   

/s/ SCOTT BRAUNSTEIN, M.D.

DirectorMarch 19, 2020
Scott Braunstein, M.D. 
   

/s/ ROGER GARCEAU, M.D.

DirectorMarch 19, 2020
Roger Garceau, M.D. 
   

/s/ RICHARD LEVY, M.D.

DirectorMarch 19, 2020
Richard Levy, M.D. 
   

/s/ GREGORY P. SARGEN

DirectorMarch 19, 2020
Gregory P. Sargen 
   

/s/ MICHAEL SOLOMON, PH.D.

DirectorMarch 19, 2020
Michael Solomon, Ph.D. 

 

 

 

 72 

 

 

Report of Independent Registered Public Accounting Firm

 

To the Shareholders and the Board of Directors of ArTara Therapeutics, Inc.

Opinion on the Financial Statements

We have audited the accompanying consolidated balance sheets of Proteon Therapeutics, Inc (the Company) as of December 31, 2019 and 2018, the related consolidated statements of operations and comprehensive loss, stockholders’ equity and cash flows for each of the years then ended, and the related notes (collectively referred to as the “consolidated financial statements”). In our opinion, the consolidated financial statements present fairly, in all material respects, the financial position of the Company at December 31, 2019 and 2018, and the results of its operations and its cash flows for the years then ended, in conformity with U.S. generally accepted accounting principles.

 

Basis for Opinion

These financial statements are the responsibility of the Company's management. Our responsibility is to express an opinion on the Company’s financial statements based on our audits. We are a public accounting firm registered with the Public Company Accounting Oversight Board (United States) (PCAOB) and are required to be independent with respect to the Company in accordance with the U.S. federal securities laws and the applicable rules and regulations of the Securities and Exchange Commission and the PCAOB.

We conducted our audits in accordance with the standards of the PCAOB. Those standards require that we plan and perform the audit to obtain reasonable assurance about whether the financial statements are free of material misstatement, whether due to error or fraud. The Company is not required to have, nor were we engaged to perform, an audit of its internal control over financial reporting. As part of our audits we are required to obtain an understanding of internal control over financial reporting but not for the purpose of expressing an opinion on the effectiveness of the Company's internal control over financial reporting. Accordingly, we express no such opinion.

Our audits included performing procedures to assess the risks of material misstatement of the financial statements, whether due to error or fraud, and performing procedures that respond to those risks. Such procedures included examining, on a test basis, evidence regarding the amounts and disclosures in the financial statements. Our audits also included evaluating the accounting principles used and significant estimates made by management, as well as evaluating the overall presentation of the financial statements. We believe that our audits provide a reasonable basis for our opinion.

/s/ Ernst & Young LLP

We have served as the Company’s auditor since 2008.

Boston, Massachusetts

March 19, 2020

 

 

 

 F-1 

 

Proteon Therapeutics, Inc.

Consolidated Balance Sheets

(in thousands, except share and per share data)

 

  December 31, December 31,
  2019 2018
Assets        
Current assets:        
Cash and cash equivalents $6,181  $19,371 
Restricted cash  50   - 
Available-for-sale investments  -   2,496 
Prepaid expenses and other current assets  744   1,369 
Total current assets  6,975   23,236 
Property and equipment, net  -   263 
Restricted cash  -   22 
Total assets $6,975  $23,521 
Liabilities and stockholders’ equity        
Current liabilities:        
Accounts payable $263  $441 
Accrued expenses  320   2,637 
Total current liabilities  583   3,078 
Total liabilities  583   3,078 
Commitments and contingencies (Note 6)        
Stockholders’ equity:        
Preferred stock, $0.001 par value per share; 10,000,000 shares authorized at December 31, 2019 and 2018:  -   - 
Series A convertible preferred stock 22,000 shares authorized at December 31, 2019 and December 31, 2018; 18,954 and 22,000 issued and outstanding at December 31, 2019 and at December 31, 2018, respectively  18,463   21,523 
Common stock, $0.001 par value, 100,000,000 shares authorized at December 31, 2019 and 2018; 557,631 and 481,091 shares issued and outstanding at December 31, 2019 and 2018, respectively  -   - 
Additional paid-in capital  213,388   209,385 
Accumulated deficit  (225,462)  (210,470)
Accumulated other comprehensive income  3   5 
Total stockholders’ equity  6,392   20,443 
Total liabilities and stockholders’ equity $6,975  $23,521 

 

See accompanying notes to these consolidated financial statements.

 

 

 F-2 

 

Proteon Therapeutics, Inc.

Consolidated Statements of Operations and Comprehensive Loss

(in thousands, except share and per share data)

 

  Year Ended December 31,
  2019 2018
Operating expenses:        
Research and development $6,438  $11,848 
General and administrative  8,816   9,524 
Total operating expenses  15,254   21,372 
Loss from operations  (15,254)  (21,372)
Other income:        
Investment income  262   436 
Other income, net  -   207 
Total other income  262   643 
Net loss and net loss attributable to common stockholders $(14,992) $(20,729)
Foreign currency translation adjustment $(2) $(1)
Unrealized gain on available-for-sale investments  -   20 
Comprehensive loss $(14,994) $(20,710)
Net loss per share attributable to common stockholders - basic and diluted $(30.15) $(45.80)
Weighted-average common shares outstanding used in net loss per share attributable to common stockholders - basic and diluted  497,275   452,555 

 

See accompanying notes to these consolidated financial statements.

 

 

 F-3 

 

Proteon Therapeutics, Inc.

Statements of Stockholders' Equity

(in thousands, except share and per share data)

 

  Series A Convertible
Preferred Stock
 Common Stock Additional   Accumulated
Other
 Total
  Shares Amount Shares $0.001
Par Value
 Paid-in
Capital
 Accumulated
Deficit
 Comprehensive
(Loss) Income
 Stockholders'
Equity
Balance at December 31, 2017  22,000  $21,523   441,868  $  $202,972  $(189,741) $(14) $34,740 
Issuance of common stock upon ESPP purchase        1,859      132         132 
Issuance of common stock, net of issuance costs        37,364      2,852         2,852 
Stock-based compensation expense              3,429         3,429 
Other comprehensive gain/(loss)                    19   19 
Net loss                 (20,729)     (20,729)
Balance at December 31, 2018  22,000  $21,523   481,091  $  $209,385  $(210,470) $5  $20,443 
Conversion of Series A convertible preferred stock into Common Stock  (3,046)  (3,060)  76,540      3,060          
Stock-based compensation expense              943         943 
Other comprehensive gain/(loss)                    (2)  (2)
Net loss                 (14,992)     (14,992)
Balance at December 31, 2019  18,954  $18,463   557,631  $  $213,388  $(225,462) $3  $6,392 

 

 

 

 

 

 

See accompanying notes to these consolidated financial statements.

 

 

 

 F-4 

 

Proteon Therapeutics, Inc.

Consolidated Statements of Cash Flows

(in thousands)

 

  Year Ended December 31,
  2019 2018
Operating activities        
Net loss $(14,992) $(20,729)
Reconciliation of net loss to net cash used in operating activities:        
Depreciation  279   115 
Amortization of premium/discount on available-for-sale securities  (4)  (51)
Foreign currency remeasurement (loss)  -   (25)
Stock-based compensation  943   3,429 
Changes in:        
Prepaid expenses and other assets  608   141 
Operating lease right-of-use asset  200   - 
Interest receivable  17   49 
Accounts payable and accrued expenses  (2,497)  (6,162)
Operating lease liability  (200)  - 
Net cash used in operating activities  (15,646)  (23,233)
Investing activities        
Purchases of available-for-sale investments  -   (15,443)
Proceeds from maturities of available-for-sale investments  2,500   31,990 
Proceeds from sale of available-for-sale investments  -   1,999 
Purchase of property and equipment  (16)  (119)
Net cash provided by (used in) investing activities  2,484   18,427 
Financing activities        
Proceeds from issuance of common stock, net of issuance costs  -   2,853 
Proceeds from issuance of common stock under ESPP  -   132 
Net cash provided by financing activities  -   2,985 
Effect of exchange rate changes on cash  -   22 
Decrease in cash, cash equivalents and restricted cash  (13,162)  (1,799)
Cash, cash equivalents and restricted cash, beginning of period  19,393   21,192 
Cash, cash equivalents and restricted cash, end of period $6,231  $19,393 

 

See accompanying notes to these consolidated financial statements.

 F-5 

 

ArTara Therapeutics, Inc. (formerly Proteon Therapeutics, Inc.)

Notes to Consolidated Financial Statements

(amounts in thousands, except share and per share data)

 

1. Organization and Operations

 

The Company

 

ArTara Therapeutics, Inc (formerly Proteon Therapeutics, Inc., the “Company”) is a biopharmaceutical company that has historically focused on the development of novel, first-in-class pharmaceuticals to address the medical needs of patients with kidney and vascular disease. The Company was formed in June 2001 and incorporated on March 24, 2006.

 

On March 28, 2019, the Company announced that its second Phase 3 trial, PATENCY-2, for vonapanitase did not meet its co-primary endpoints of fistula use for hemodialysis (p=0.328) and secondary patency (p=0.932). The PATENCY-2 clinical trial was the second of two randomized, double-blind Phase 3 trials, comparing a 30 microgram dose of investigational vonapanitase to placebo in patients with chronic kidney disease, or CKD, undergoing creation of a radiocephalic fistula for hemodialysis. Following the release of top-line data from the PATENCY-2 clinical trial of vonapanitase on March 28, 2019, the Company began to evaluate its strategic alternatives focusing on enhancing stockholder value. On September 23, 2019, the Company entered into a merger agreement with ArTara Subsidiary, Inc. (formerly ArTara Therapeutics, Inc. “Private ArTara”). As of December 31, 2019, the Company had discontinued substantially all its research and development activities, including a reduction in workforce. As of December 31, 2019, the Company had terminated all of its legacy Proteon Therapeutics, Inc. employees. The Company has recorded severance costs of $2.9 million for the year ended December 31, 2019. The Company remains subject to a number of risks similar to other companies in the biotechnology industry, including compliance with government regulations, protection of proprietary technology, dependence on third parties and product liability.

 

Reverse Merger with Private ArTara

 

On January 9, 2020, the Company and Private ArTara completed the merger and reorganization (the “Merger”) in accordance with the terms of the Agreement and Plan of Merger and Reorganization, dated September 23, 2019 (the “Merger Agreement”), by and among the Company, Private ArTara and REM 1 Acquisition, Inc., a wholly owned subsidiary of the Company (the “Merger Sub”), whereby Merger Sub merged with and into Private ArTara, with Private ArTara surviving as a wholly owned subsidiary of the Company.

 

On January 9, 2020, in connection with, and prior to the completion of, the Merger, the Company effected a 1-for-40 reverse stock split of its common stock, (the “Reverse Stock Split”), Private ArTara changed its name from “ArTara Therapeutics, Inc.” to “ArTara Subsidiary, Inc.”, and the Company changed its name from “Proteon Therapeutics, Inc.” to “ArTara Therapeutics, Inc.” All share and per share amounts presented in these financial statements have been adjusted to reflect the Reverse Stock Split. In addition, immediately following the closing of the Private Placements (defined below), all of the outstanding shares of the Company’s Series A Preferred Stock were converted into shares of the Company’s common stock. Shares of the Company’s common stock commenced trading on The Nasdaq Capital Market under the new name and ticker symbol “TARA” as of market open on January 10, 2020.

 

Under the terms of the Merger Agreement, the Company issued shares of its common stock (“Common Stock”) to Private ArTara’s stockholders, at an exchange ratio of 0.190756 shares of Common Stock, after taking into account the Reverse Stock Split, for each share of Private ArTara common stock outstanding immediately prior to the Merger. Proteon assumed all of the outstanding and unexercised stock options of Private ArTara, with such stock options now representing the right to purchase a number of shares of Common Stock equal to 0.190756 multiplied by the number of shares of Private ArTara common stock previously represented by such Private ArTara stock options. The Company also assumed all of the unvested Private ArTara restricted stock awards, which were exchanged for a number of shares of Common Stock equal to 0.190756 multiplied by the number of shares of Private ArTara common stock previously represented by such Private ArTara restricted stock awards and unvested to the same extent as such Private ArTara restricted stock awards and subject to the same restrictions as such Private ArTara restricted stock awards.

 

On January 9, 2020, the Company completed certain private placements pursuant to a subscription agreement entered into on September 23, 2019. On September 23, 2019, the Company and Private ArTara entered into a subscription agreement (as amended on November 19, 2019, the "Subscription Agreement") with certain institutional investors (the "Investors") pursuant to which, among other things, (i) the Company agreed to issue to certain Investors shares of Proteon Series 1 Convertible Non-Voting Preferred Stock and/or Proteon common stock immediately following the Merger in a private placement transaction for an aggregate purchase price of approximately $40.5 million (the "Proteon Private Placement") and (ii) Private ArTara agreed to issue to an Investor (that is an existing investor in ArTara) shares of ArTara common stock (the "ArTara Private Placement Shares") immediately prior to the Merger in a private placement transaction for an aggregate purchase price of approximately $2.0 million (together with the Proteon Private Placement, the "Private Placements"). Immediately after the Proteon Private Placement, the Company converted all outstanding shares of Proteon's Series A Convertible Preferred Stock into shares of Proteon common stock (the "Series A Preferred Automatic Conversion"). On January 9, 2020, the Company received approximately $39.6 million, net of offering costs related to the Private Placements.

 

The Merger was structured as a reverse merger and Private ArTara was determined to be the accounting acquirer based on the terms of the Merger Agreement. The Merger will be accounted for as a business combination as of the effective date of the Merger.

 

 F-6 

 

The financial information included in the financial statements is that of the Company prior to the Merger because the Merger was consummated after the period covered by these financial statements.

 

Liquidity

 

As of December 31, 2019, the Company had cash and cash equivalents of $6.2 million. The Company had an accumulated deficit of $225.5 million as of December 31, 2019.

 

In connection with the Merger, the Company consummated the Private Placements, raising gross proceeds of $42.5 million. The Company expects there will be no further material near term cash expenditures to fund the Company’s vonapanitase clinical trials. From the date of the Merger, the activities of the Company will become those of Private ArTara.

 

The Company is in the business of developing biopharmaceuticals, has no current or near term revenues. The Company is incurring substantial clinical and other costs in its drug development efforts. The Company expects it will need to raise additional capital in order to fully realize management’s plans.

 

The Company believes that its current financial resources, as of the date of the issuance of these consolidated financial statements, are sufficient to fund its current twelve month operating budget, alleviating any substantial doubt raised by our historical operating results and satisfying our estimated liquidity needs for at least twelve months from the issuance of these consolidated financial statements.

 

The accompanying financial statements have been prepared on a going concern basis, which contemplates the realization of assets and satisfaction of liabilities in the ordinary course of business. The financial statements do not include any adjustments relating to the recoverability and classification of recorded asset amounts or the amounts and classification of liabilities that might result from the outcome of the uncertainties described above. 

 

At-The-Market Equity Offering Program

 

On November 12, 2015, the Company filed a shelf registration statement on Form S-3 (the “Registration Statement”), and entered into a Sales Agreement with Cowen and Company, LLC (the “Sales Agreement”) to establish an at-the-market (“ATM”) equity offering program pursuant to which they are able, with the Company’s authorization, to offer and sell up to $40 million of the Company’s Common Stock at prevailing market prices from time to time. The Registration Statement became effective on January 12, 2016. The Company paid Cowen a commission equal to 3% of the gross proceeds of the sales price of all shares sold through it as sales agent under the Sales Agreement. The offering costs were offset against proceeds from the sale of common stock under this agreement. The Company filed a prospectus supplement on March 16, 2017 because the Company is currently subject to General Instruction I.B.6 of Form S-3, which limits the amounts that the Company may sell under the Registration Statement. The Company’s ATM program was terminated effective as of February 7, 2019, when its new shelf registration statement on Form S-3, File No. 333-228865, was declared effective by the SEC. For the year ended December 31, 2018, the Company sold 1,494,579 shares of Common Stock under the Sales Agreement for aggregate gross proceeds of $3.0 million. For the year ended December 31, 2018, total offering costs of $46,000, were offset against the proceeds from the sale of common stock. The 1,494,579 shares of Common Stock sold under the ATM program during the year ended December 31, 2018 were all sold on September 25, 2018 to New Leaf Venture Partners LLC.

 

2. Summary of Significant Accounting Policies

 

Basis of Presentation, Principles of Consolidation and Use of Estimates

 

The accompanying consolidated financial statements include the accounts of the Company and its wholly-owned subsidiaries. All intercompany balances and transactions have been eliminated in consolidation. These consolidated financial statements have been prepared in conformity with accounting principles generally accepted in the United States of America (“GAAP”). Any reference in these notes to applicable guidance is meant to refer to the authoritative United States generally accepted accounting principles as found in the Accounting Standards Codification (“ASC”) and Accounting Standards Update (“ASU”) of the Financial Accounting Standards Board (“FASB”).

 

The preparation of financial statements in conformity with GAAP requires management to make estimates and assumptions that affect the amounts reported in the financial statements and accompanying notes. On an ongoing basis, the Company’s management evaluates its estimates, which include, but are not limited to, estimates related to stock-based compensation expense, clinical trial accruals and reported amounts of expenses during the reported period. The Company bases its estimates on historical experience and other market-specific or other relevant assumptions that it believes to be reasonable under the circumstances. Actual results may differ from those estimates or assumptions.

 

Segment Information

 

Operating segments are defined as components of an enterprise about which separate discrete information is available for evaluation by the chief operating decision maker, or decision-making group, in deciding how to allocate resources and in assessing performance. The Company and the Company's chief operating decision maker view the Company's operations and manage its business in one operating segment, which is the business of developing and commercializing vonapanitase for the treatment of renal and vascular disease. Currently, the Company operates in only one geographic segment.

 

 F-7 

 

Fair Value of Financial Instruments

 

The Company’s financial instruments consist of cash and cash equivalents, available-for-sale investments, forward foreign currency contracts (see Note 3), accounts payable, and accrued liabilities. The Company is required to disclose information on all assets and liabilities reported at fair value that enables an assessment of the inputs used in determining the reported fair values. FASB ASC Topic 820,Fair Value Measurement and Disclosures, established a hierarchy of inputs used in measuring fair value that maximizes the use of observable inputs and minimizes the use of unobservable inputs by requiring that the observable inputs be used when available. Observable inputs are inputs that market participants would use in pricing the financial instrument based on market data obtained from sources independent of the Company. Unobservable inputs are inputs that reflect the Company’s assumptions about the inputs that market participants would use in pricing the financial instrument and are developed based on the best information available under the circumstances. The fair value hierarchy applies only to the valuation inputs used in determining the reported or disclosed fair value of the financial instruments and is not a measure of the investment credit quality. Fair value measurements are classified and disclosed in one of the following three categories:

 

  Level 1—Valuations based on unadjusted quoted prices in active markets for identical assets or liabilities that the Company has the ability to access at the measurement date.

 

  Level 2—Valuations based on quoted prices for similar assets or liabilities in markets that are not active or for which all significant inputs are observable, either directly or indirectly.

 

  Level 3—Valuations that require inputs that reflect the Company’s own assumptions that are both significant to the fair value measurement and unobservable.

 

To the extent that valuation is based on models or inputs that are less observable or unobservable in the market, the determination of fair value requires more judgment. Accordingly, the degree of judgment exercised by the Company in determining fair value is greatest for instruments categorized in Level 3. A financial instrument’s level within the fair value hierarchy is based on the lowest level of any input that is significant to the fair value measurement.

 

Financial instruments measured at fair value on a recurring basis include cash equivalents and available-for-sale investments (see Note 3). There have been no changes to the valuation methods utilized by the Company during the years ended December 31, 2019 and 2018. The Company evaluates transfers between levels at the end of each reporting period. There were no transfers of financial instruments between levels during the years ended December 31, 2019 and 2018.

 

Recent Accounting Pronouncements

 

In May 2014, the FASB issued ASU 2014-09, Revenue from Contracts with Customers (“ASU 2014-09”), a new standard on revenue recognition providing a single, comprehensive revenue recognition model for all contracts with customers. The new revenue standard is based on the principle that revenue should be recognized to depict the transfer of promised goods or services to customers in an amount that reflects the consideration to which the entity expects to be entitled in exchange for those goods or services. The new standard was effective beginning January 1, 2018, with early adoption permitted. The Company adopted ASU 2014-09 during the quarter ended March 31, 2018. The adoption did not have a material impact on the consolidated financial statements.

 

In February 2016, the FASB issued ASU 2016-02, Leases (Topic 842): Amendments to FASB Codification (“ASU 2016-02”), which increases transparency and comparability among organizations by recognizing lease assets and lease liabilities on the balance sheet and disclosing key information about leasing arrangements. At the lease commencement date, the lessee must recognize a lease liability and right-of-use asset, which is initially measured at the present value of future lease payments. The Company adopted ASU 2016-01 at January 1, 2019 using the optional transition method that allows for a cumulative-effect adjustment in the period of adoption and will not restate prior periods. It has have also elected to adopt the package of practical expedients permitted in Accounting Standards Codification Topic 842, or ASC 842. Accordingly, it is continuing to account for its existing operating lease as an operating lease under the new guidance, without reassessing whether the contract contains a lease under ASC 842 or whether classification of the operating leases would be different under ASC Topic 842, and to treat lease and non-lease components as a single lease component. The Company has also elected the short-term lease accounting policy under which the Company would not recognize a lease liability or ROU asset for any lease that at the commencement date has a lease term of twelve months or less and does not include a purchase option that the Company is more than reasonably certain to exercise. Also, the Company elected the expedient allowing an entity to use hindsight to determine the lease term and impairment of ROU assets and the expedient to allow the Company to not have to separate lease and non-lease components. The Company’s sole lease at the adoption date was an operating lease for facilities and did not include any non-lease components.

 

As a result of the adoption of ASU 2016-02, on January 1, 2019, the Company recognized (a) a lease liability of approximately $0.2 million, which represents the present value of its remaining lease payments using an estimated incremental borrowing rate of 8%, (b) a right-of-use asset of approximately $0.2 million that was expensed as operating lease expense over the term of the lease which ended on September 30, 2019. Due to the adoption of the standard using the modified retrospective cumulative-effect adjustment method, there are no changes to previously reported results prior to January 1, 2019. Lease expense did not change materially as a result of the adoption of ASU 2016-02.

 

 F-8 

 

In June 2018, the FASB issued ASU No. 2018-07, Compensation - Stock Compensation (Topic 718): Improvements to Nonemployee Share-Based Payment Accounting (“ASU 2018-07”). ASU 2018- 07 aims to simplify the accounting for share-based payments to nonemployees by aligning it to the accounting for share based payments to employees including determining the fair value of the award on the date of grant and recognizing the stock-based compensation expense as of the respective vesting date. The new standard also requires companies to elect to either measure the awards to nonemployees over an estimated expected term or contractual term as well as elect to estimate forfeitures or account for forfeitures as incurred. ASU 2018-07 is effective for fiscal years and interim periods within those fiscal years beginning after December 15, 2018. The guidance was effective for the Company on January 1, 2019. The Company adopted ASU 2018-07 during the quarter ended March 31, 2019. The adoption did not have an impact on the consolidated financial statements as all outstanding non-employee share-based awards had vested prior to March 31, 2018.

 

Cash and Cash Equivalents

 

The Company considers all highly liquid investments with maturities of 90 days or less from the purchase date to be cash equivalents. Cash and cash equivalents are held in depository and money market accounts and are reported at fair value.

 

Short-Term Investments

 

The Company classifies its investments as available-for-sale and records such assets at estimated fair value in the consolidated balance sheets, with unrealized gains and losses, if any, reported as a component of other comprehensive income (loss) within the consolidated statements of operations and comprehensive loss and as a separate component of stockholders' equity (deficit). The Company invests its excess cash balances primarily in government debt securities and money market funds with strong credit ratings and maturities of less than one year. There have been no realized gains and losses for the years ended December 31, 2019 and 2018. 

 

At each balance sheet date, the Company assesses available-for-sale securities in an unrealized loss position to determine whether the unrealized loss is other-than-temporary. The Company considers factors including: the significance of the decline in value compared to the cost basis, underlying factors contributing to a decline in the prices of securities in a single asset class, the length of time the market value of the security has been less than its cost basis, the security's relative performance versus its peers, sector or asset class, expected market volatility and the market and economy in general. When the Company determines that a decline in the fair value below its cost basis is other-than-temporary, the Company recognizes an impairment loss in the year in which the other-than-temporary decline occurred. There have been no other-than-temporary declines in value of short-term investments for the years ended December 31, 2019 and 2018, as it is more likely than not the Company will hold the securities until maturity or a recovery of the cost basis.

 

Concentrations of Credit Risk and Off-Balance Sheet Risk

 

Financial instruments that potentially subject the Company to concentrations of credit risk are primarily cash, cash equivalents and short-term investments. The Company's cash and cash equivalents are held in accounts with financial institutions that management believes are creditworthy. The Company's investment policy includes guidelines on the quality of the institutions and financial instruments and defines allowable investments that the Company believes minimizes the exposure to concentration of credit risk. These amounts at times may exceed federally insured limits. The Company has not experienced any credit losses in such accounts and does not believe it is exposed to any significant credit risk on these funds. The Company has no financial instruments with off-balance sheet risk of loss.

 

Property and Equipment

 

Property and equipment is stated at cost, less accumulated depreciation. Maintenance and repairs that do not improve or extend the lives of the respective assets are expensed to operations as incurred. When capitalizing assets for research and development purposes the Company evaluates whether an alternative future use of the asset exists; if not, such assets are expensed as research and development. Upon disposal, the related cost and accumulated depreciation is removed from the accounts and any resulting gain or loss is included in the results of operations. Depreciation is recorded using the straight-line method over the estimated useful lives of the respective assets, which are as follows:

 

Asset Estimated Useful Life (in years)
Computer equipment and software  3 
Furniture, fixtures and other  5 
Laboratory equipment  7 

 

Research and Development Costs

 

Research and development costs are charged to expense as incurred in performing research and development activities. The costs include employee compensation costs, facilities and overhead, clinical study and related clinical manufacturing costs, regulatory and other related costs. Nonrefundable advanced payments for goods or services to be received in the future for use in research and development activities are deferred and capitalized. The capitalized amounts are expensed as the related goods are delivered or the services are performed.

 

 F-9 

 

Stock-Based Compensation Expense

 

The Company accounts for its stock-based compensation awards to employees and directors in accordance with FASB ASC Topic 718, Compensation-Stock Compensation (“ASC 718”). ASC 718 requires all stock-based payments to employees, including grants of employee stock options and restricted stock, to be recognized in the consolidated statements of operations and comprehensive loss based on their grant date fair values. Compensation expense related to awards to employees is recognized on a straight-line basis based on the grant date fair value over the associated service period of the award, which is generally the vesting term. Share-based payments issued to non-employees are recorded at their fair values and are periodically revalued as the equity instruments vest and are recognized as expense over the related service period in accordance with the provisions of ASC 718 and are expensed using an accelerated attribution model.

 

The Company estimates the fair value of its stock options using the Black-Scholes option pricing model, which requires the input of subjective assumptions, including (a) the expected stock price volatility, (b) the expected term of the award, (c) the risk-free interest rate, (d) expected dividends and (e) the estimated fair value of its Common Stock on the measurement date. Due to the lack of company specific historical and implied volatility data of its Common Stock, the Company has based its estimate of expected volatility on the historical volatility of a group of similar companies that are publicly traded. When selecting these public companies on which it has based its expected stock price volatility, the Company selected companies with comparable characteristics to it, including enterprise value, risk profiles, position within the industry and with historical share price information sufficient to meet the expected term of the stock based awards. The Company computes historical volatility data using the daily closing prices for the selected companies' shares during the equivalent period of the calculated expected term of the stock-based awards. During 2018 the Company began to estimate volatility by using a blend of our stock price history, for the length of time we have market data for our stock and the historical volatility of similar public companies for the expected term of each grant. The Company accounts for forfeitures as they occur. Due to the lack of Company specific historical option activity, the Company has estimated the expected term of its employee stock options using the “simplified” method, whereby, the expected term equals the arithmetic average of the vesting term and the original contractual term of the option. The expected term for non-employee awards is the remaining contractual term of the option. The risk-free interest rates are based on the U.S. Treasury securities with a maturity date commensurate with the expected term of the associated award. The Company has never paid and does not expect to pay dividends in the foreseeable future. Refer to Note 2, “Use of Estimates,” for a discussion of the Company's estimated fair value of its Common Stock.

 

Income Taxes

 

Income taxes are recorded in accordance with FASB ASC Topic 740, “Income Taxes” (“ASC 740”), which provides for deferred taxes using an asset and liability approach. Under this method, deferred tax assets and liabilities are determined based on the difference between the financial reporting and tax reporting basis of assets and liabilities and are measured using enacted tax rates and laws that are expected to be in effect when the differences are expected to reverse. Valuation allowances are provided if based upon the weight of available evidence, it is more likely than not that some or all of the deferred tax assets will not be realized. The Company has evaluated all available evidence and concluded that it is not more likely than not that the Company will realize the benefit of its deferred tax assets, therefore, a valuation allowance has been established for the full amount of the deferred tax assets.

 

The Company accounts for uncertain tax positions in accordance with the provisions of ASC 740. When uncertain tax positions exist, the Company recognizes the tax benefit of tax positions to the extent that the benefit will more likely than not be realized. The determination as to whether the tax benefit will more likely than not be realized is based upon the technical merits of the tax position as well as consideration of the available facts and circumstances. As of December 31, 2019 and 2018, the Company did not have any significant uncertain tax positions. The Company's practice is to recognize interest and/or penalties related to income tax matters in income tax expense. See Note 10 for further details. 

 

Net Income (Loss) per Share Attributable to Common Stockholders

 

Basic net income (loss) per share is calculated by dividing net income (loss) attributable to common stockholders by the weighted-average number of common shares outstanding during the period. Diluted net income per share is calculated by dividing the net income attributable to common stockholders by the weighted-average number of common equivalent shares outstanding for the period, including any dilutive effect from outstanding stock options and warrants using the treasury stock method.

 

The Company follows the two-class method when computing net income (loss) per share in periods when issued shares that meet the definition of participating securities are outstanding. The two-class method determines net income (loss) per share for each class of common and participating securities according to dividends declared or accumulated and participation rights in undistributed earnings. The two-class method requires income available to common stockholders for the period to be allocated between common and participating securities based upon their respective rights to receive dividends as if all income for the period had been distributed. Accordingly, in periods in which the Company reports a net loss attributable to common stockholders when participating securities are outstanding, losses are not allocated to the participating securities. For purposes of calculating diluted net income per share attributable to common shareholders, preferred stock, stock options, warrants and convertible debt are considered common stock equivalents.

 

 F-10 

 

Comprehensive Loss

 

Comprehensive loss consists of net income or loss and changes in equity during a period from transactions and other events and circumstances generated from non-owner sources. The Company's net loss equals comprehensive loss, net of any changes in the unrealized gains and losses of the Company's short-term investments, held as available-for-sale, and foreign currency translation for all periods presented.

 

Subsequent Events

 

The Company evaluated subsequent events and transactions that occurred after the balance sheet date up to March 19, 2020, the date that the financial statements were available to be issued. Other than as described in Notes 1, 9 and 13, the Company did not identify any subsequent events that would have required adjustment or disclosure in the financial statements.

 

 

3. Fair Value Measurements

 

Below is a summary of assets and liabilities measured at fair value (in thousands):

 

  As of December 31, 2019
  Quoted Prices Significant Significant  
  in Active Observable Unobservable  
  Markets Inputs Inputs  
  (Level 1) (Level 2) (Level 3) Total
Assets        
Cash equivalents $5,841  $-  $-  $5,841 
Total $5,841  $-  $-  $5,841 

 

 

  As of December 31, 2018
  Quoted Prices Significant Significant  
  in Active Observable Unobservable  
  Markets Inputs Inputs  
  (Level 1) (Level 2) (Level 3) Total
Assets        
Cash equivalents $18,353  $-  $-  $18,353 
Government securities  2,496   -   -   2,496 
Total $20,849  $-  $-  $20,849 

 

As of December 31, 2019, and 2018, the Company’s cash equivalents consist principally of money market funds and government debt securities with original maturities of 90 days or less. Government securities consist principally of government debt securities and money market funds which are classified as available-for-sale.

 

Available-for-sale securities at December 31, 2019 and 2018 consist of the following (in thousands):

 

  Amortized Cost Unrealized Gains Unrealized Losses Fair Value
December 31, 2019                
Government securities                
(Due within 1 year) $-  $-  $-  $- 
  $-  $-  $-  $- 
                 
December 31, 2018                
Government securities                
(Due within 1 year) $2,496  $-  $-  $2,496 
  $2,496  $-  $-  $2,496 

 

 F-11 

 

4. Property and Equipment, net

 

Property and equipment, net consists of the following (in thousands):

 

  As of December 31,
  2019 2018
     
Computer equipment and software $-  $211 
Furniture, fixtures, and other  -   365 
Laboratory equipment  -   514 
   -   1,090 
Accumulated depreciation  -   (827)
Property and equipment, net $-  $263 

 

Depreciation expense for the years ended December 31, 2019 and 2018 was $0.3 million and $0.1 million, respectively.

 

During the three months ended March 31, 2019, the Company voluntarily discontinued substantially all research and development activities. As a result, as of March 31, 2019 the Company performed an impairment assessment of the laboratory equipment used in development of vonapanitase by comparing the equipment’s carrying value to its estimated fair value, which was determined based on the recoverability of the assets remaining value as of March 31, 2019. As of September 30, 2019, the Company performed an additional impairment assessment due to the expiration of its lease agreement. The fair value of the remaining assets including office furniture, computer hardware and software licenses were determined be impaired as the Company determined there to be no future use for the assets. The Company recorded impairment charges of $0.2 million and fully wrote off all property and equipment during the year ended December 31, 2019.

 

5. Accrued Expenses

 

Accrued expenses consist of the following (in thousands):

 

  As of December 31,
  2019 2018
     
Payroll and employee-related costs $4  $1,390 
Contracted service costs  9   968 
Professional fees and other  307   279 
Total $320  $2,637 

 

6. Commitments and Contingencies

 

Significant Contracts and Agreements

 

In February 2002, the Company entered into an agreement to license certain intellectual property with Johns Hopkins University. The agreement calls for payments to be made by the Company upon the commencement of product sales, in the form of a royalty of 2.5% on net sales of the product. As of December 31, 2019 the Company has not commenced product sales and therefore has recognized no royalties on product sales.

 

 

Operating Leases

 

The Company’s operating leases for facilities and office equipment all expired or were terminated during the year ended December 31, 2019. During the years ended December 31, 2019 and 2018 the company recognized operating lease expense of $0.2 million and $0.3 million, respectively including property taxes and routine maintenance expense, which approximated its cash payments for the period.

 

Restricted cash related to certificate of deposit

 

In November 2019 the Company took out a certificate of deposit in the amount of $50,000 related to a letter of credit that the Company posted with World Customs Brokers so that they could import materials from Lonza an international vendor into the US and cover future import fees that might be due. At December 31, 2019 and 2018 the Company had $50,000 and zero which is included in current assets.

 

 F-12 

 

Restricted cash related to facilities leases

 

At December 31, 2019 and 2018, the Company had zero and $22,000, respectively, in an outstanding letter of credit to be used as collateral for leased premises which is in non-current assets. At December 31, 2018 and 2017, the Company pledged an aggregate of $22,000, to the bank as collateral for the letter of credit, which is included in other non-current assets.

 

Litigation

 

From time to time, ArTara may be subject to various legal proceedings and claims that arise in the ordinary course of its business activities.

 

Between November 15 and December 23, 2019, four lawsuits were filed in federal court against Proteon, ArTara, Merger Sub and the individual members of the Proteon Board (captionedPatrick Plumley v. Proteon Therapeutics, Inc., et al., Case No. 1:19-cv-02143-UNA (D. Del. filed 11/15/19)); Jeffrey Teow v. Proteon Therapeutics, Inc., et al., Case No. 1:19-cv-06745 (E.D.N.Y., filed 11/30/19); Neil Lanteigne v. Proteon Therapeutics, et al., Case No. 1:19-cv-12436 (D. Mass., filed 12/03/19); Stephen Wagner v. Proteon Therapeutics, Inc., et al., Case No. 1:19-cv-02343 (D. Del., filed 12/23/19). The Plumley complaint is brought as a purported class action lawsuit. All four lawsuits alleged that the definitive proxy statement in the preliminary registration statement on Form S-4 filed by Proteon on November 7, 2019 with the SEC in connection with the proposed Merger (the “Proxy Statement”) omitted material information with respect to the transactions contemplated by the Merger Agreement, rendering it false and misleading in violation of Sections 14(a) (and Rule 14a-9 promulgated thereunder) and 20(a) of the Exchange Act. The plaintiffs in each of the four lawsuits sought, among other things, injunctive relief, rescission, declaratory relief and unspecified monetary damages. On December 31, 2019, Proteon filed an amendment to the Proxy Statement on Form 8-K, which contained certain supplemental disclosures intended to moot the plaintiffs’ disclosure claims. On January 9, 2019, Proteon held a special meeting of its stockholders, at which the Company’s stockholders approved the Merger. On January 27, 2020, plaintiff in the Lanteigne action voluntarily dismissed his case. On February 3, 2020, plaintiff in the Plumley action voluntarily dismissed his case. On February 7, 2020, plaintiff in the Teow action voluntarily dismissed his case. On February 10, 2020, plaintiff in the Wagneraction dismissed his case.

 

The Company believes that it is probable that it will incur a loss related to these matters.   However, the Company is unable to reasonably estimate the loss, and as such the Company has not recorded a loss contingency. 

 

7. Series A Preferred Financing

 

On August 2, 2017, the Company issued and sold 22,000 shares of the Company’s Series A Convertible Preferred Stock, par value of $0.001 per share (the “Series A Preferred”), for a purchase price of $1,000 per share, or aggregate purchase price and gross proceeds of $22.0 million, all upon the terms and conditions set forth in the Securities Purchase Agreement dated as of June 22, 2017. The Company incurred $0.5 million of issuance costs in connection with the transaction. Each share of Series A Preferred is convertible into approximately 25 shares of the Company’s Common Stock at a conversion price of $39.80 per share, in each case subject to adjustment for any stock splits, stock dividends and similar events, provided that any conversion of Series A Preferred by a holder into shares of Common Stock is prohibited if, as a result of such conversion, the holder, together with its affiliates and any other person or entity whose beneficial ownership of the Company’s Common Stock would be aggregated with such holder’s for purposes of Section 13(d) of the Exchange Act would beneficially own more than 9.985% of the total number of shares of Common Stock issued and outstanding after giving effect to such conversion. At December 31, 2019 and 2018, the Company had 22,000 shares of Series A Convertible Preferred Stock authorized.

  

The Company evaluated the Series A Preferred for liability or equity classification in accordance with the provisions of ASC 480, Distinguishing Liabilities from Equity, and determined that equity treatment was appropriate because the Series A Preferred did not meet the definition of the liability instruments defined thereunder for convertible instruments. Specifically, the Series A Preferred are not mandatorily redeemable and do not embody an obligation to buy back the shares outside of the Company’s control in a manner that could require the transfer of assets. Additionally, the Company determined that the Series A Preferred would be recorded as permanent equity, not temporary equity, based on the guidance of ASC 480 given that there is no scenario where the holders of equally and more subordinated equity of the entity would not be entitled to also receive the same form of consideration upon the occurrence of the event that gives rise to the redemption. During the year ended December 31, 2019, 3,046 shares of the Series A convertible preferred stock were converted into 76,540 shares of Common Stock. The Company had issued and outstanding 18,954 and 22,000 share of Series A Convertible Preferred Stock with a par value of $0.001 at December 31, 2019 and 2018, respectively. On January 9, 2020, 18,954 shares of Series A Convertible Preferred Stock were converted into 476,276 shares of Common Stock.

 

Dividends

 

Holders of the Series A Preferred Stock are entitled to receive dividends, if and when declared by the Board of Directors.

 

Liquidation Preference

 

Holders of the Series A Preferred Stock have preference in the event of a liquidation or dissolution of the Company equal to $0.001 per share, plus any declared dividends.

 

Thereafter, the Holders of the shares of Series A Preferred Stock shall share ratably in any distributions and payments of any remaining assets of the Company, on an as converted basis, with the holders of Common Stock.

 

Voting Rights

 

Except for matters with specific voting rights as provided in the Series A Preferred Stock Purchase Agreement, the Holders of shares of Series A Preferred Stock have no voting rights.

 

8. Common Stock

 

General

 

At December 31, 2019, the Company has 100,000,000 shares of Common Stock authorized for issuance, $0.001 par value per share, of which 557,631 shares were issued and outstanding.

 

 F-13 

 

Reserved for Future Issuance

 

The Company has the following shares of Common Stock reserved for future issuance:

 

  As of December 31,
  2019 2018
     
Conversion of Series A Preferred Stock  476,279   552,819 
Stock-based compensation awards  185,729   129,099 
Employee Stock Purchase Plan  2,953   2,953 
Total  664,961   684,871 

 

9. Stock-based Compensation

 

On August 21, 2014, the Company’s Board of Directors superseded the 2006 Equity Incentive Plan (the “2006 Plan”) with the 2014 Equity Incentive Plan (the “2014 Plan”), and the 2014 Employee Stock Purchase Plan (the “2014 ESPP”). On October 3, 2014, the stockholders approved these plans.

 

On June 20, 2017, the Company’s Board of Directors amended the 2014 Plan (the “Amended 2014 Plan”). On July 31, 2017, the stockholders approved this amendment.

 

The Plans provide for the grant of incentive and non-statutory stock options, stock appreciation rights, restricted stock and stock unit awards, performance units, stock grants and qualified performance-based awards. Under the 2006 Plan, no new stock compensation awards will be granted subsequent to the completion of the Company’s IPO. The Company initially reserved 17,600 shares of Common Stock for issuance under the 2014 Plan. The 2014 Plan provides that the number of shares reserved and available for issuance under the 2014 Plan will automatically increase each January 1, beginning January 1, 2015 by four percent of the outstanding shares of Common Stock on the immediately preceding December 31 or such lesser number of shares as determined by the Company’s Board of Directors prior to each such January 1st. The Amended 2014 Plan clarifies that the number of shares for purposes of calculating the evergreen feature includes the number of shares of Common Stock issuable upon conversion of any security that the Company may issue that is convertible into or exchangeable for Common Stock, including, but not limited to, preferred stock or warrants. Pursuant to the evergreen provision, the number of shares available for issuance under the Amended 2014 Plan will increase by 900,003 shares from 129,088 shares to 1,074,384 shares on January 1, 2020.

 

Terms of the stock awards, including vesting requirements, are determined by the Board of Directors, subject to the provisions of the Plans. Options granted by the Company typically vest over three to four years. Certain awards provide for accelerated vesting if there is a change in control as defined in the Plans. Stock options outstanding under the 2006 Plan are exercisable from the date of grant for a period of ten years. Stock options granted under the Amended 2014 Plan are exercisable only upon vesting. For options granted to date, the exercise price equaled the fair value of the Common Stock as determined by the Board of Directors on the date of grant. 

 

Stock-based compensation expense

 

Total stock-based compensation expense is recognized for stock options granted to employees and non-employees and has been reported in the Company’s consolidated statements of operations as follows (in thousands):

 

  Year Ended December 31,
  2019 2018
     
Research and development $233  $1,142 
General and administrative  710   2,287 
Total $943  $3,429 

 

 F-14 

 

The Company estimates the fair value of each employee stock award on the grant date using the Black-Scholes option-pricing model based on the following assumptions regarding the fair value of the underlying Common Stock on each measurement date:

 

  Year Ended December 31,
  2019 2018
Weighted average expected volatility  89.6%  93.5%
Expected term (in years)  6.10   6.07 
Risk free interest rate  2.60%  2.55%
Expected dividend yield  0%  0%

 

 

Stock Options

 

The following table summarizes stock option activity for employees and non-employees:

 

  Options Weighted-
Average
Exercise
Price
 Weighted-
Average
Remaining
Contractual
Term (years)
 Aggregate
Intrinsic
Value
         
Outstanding at December 31, 2018  114,931  $204.76   7.4  $404 
Granted  29,562  $106.32         
Exercised  -  $-         
Forfeited  (80,431) $124.40         
Expired  (63,951) $260.40         
Outstanding at December 31, 2019  111  $218.40   0.1  $- 
Exercisable at December 31, 2019  111  $218.40   0.1  $- 
Vested or expected to vest at December 31, 2019 (1)  111  $218.40   0.1  $- 

_____________

(1) Represents the number of vested options at December 31, 2019 plus the number of unvested options expected to vest based on the unvested options outstanding at December 31, 2019.

 

During the year ended December 31, 2019, the Company granted stock options to purchase an aggregate of 29,563 shares of its Common Stock with a weighted-average grant date fair value of $80.00. During the year ended December 31, 2018, the Company granted stock options to purchase an aggregate of 51,040 shares of its Common Stock with a weighted-average grant date fair value of $104.32.

 

The total intrinsic value of options exercised in the years ended December 31, 2019 and 2018 was $0 and $0 and respectively. As of December 31, 2019, and 2018 there was $0.0 million and $4.6 million, respectively of total unrecognized compensation cost related to employee non-vested stock options.

 

Employee Stock Purchase Plan

 

The 2014 Employee Stock Purchase Plan (“ESPP”) initially authorized the issuance of up to 3,513 shares of Common Stock. The number of shares increases each January 1, commencing on January 1, 2015 and ending on (and including) January 1, 2024, by an amount equal to the lesser of one percent of the outstanding shares as of the end of the immediately preceding fiscal year, 281,000 shares or any lower amount determined by the Company’s Board of Directors prior to each such January 1st. As of December 31, 2019, as a result of an increase on January 1, 2019 of one percent of the outstanding shares as of the end of the fiscal year ending December 31, 2018, the 2014 ESPP authorized the issuance of up to 4,811 shares of Common Stock. The tenth offering under the 2014 ESPP began on July 1, 2019 and ended on September 30, 2019. During the years ended December 31, 2019 and 2018, no shares and 1,859 shares, respectively, were issued under the 2014 ESPP. The Company incurred $0.1 million in stock-based compensation expense related to the 2014 ESPP for the years ended December 31, 2019, 2018, and 2017. On January 1, 2020, as a result of the increase of one percent of the outstanding shares as of the end of the fiscal year ending December 31, 2019, the 2014 ESPP increased the authorized shares available for issuance by 5,576 shares.

 

 F-15 

 

10. Income Taxes

 

The components of loss from operations before income taxes are as follows (in thousands):

 

  Year Ended December 31,
  2019 2018
Domestic $(14,965) $(17,855)
Foreign  (27)  (2,874)
Total $(14,992) $(20,729)

 

For the years ended December 31, 2019 and 2018, the Company has not recorded a provision for federal or state income taxes as it has had net operating losses since inception.

 

A reconciliation of income taxes computed using the U.S. federal statutory rate to that reflected in operations is as follows (in thousands):

 

  Year Ended December 31,
  2019 2018
Income tax benefit computed at federal statutory tax rate $(3,148) $(4,348)
Permanent differences  1   6 
Write-off of deferred tax asset  2,048   - 
Stock compensation - permanent items  -   325 
State income taxes, net of federal benefit  (930)  (958)
Tax credits  (465)  (1,466)
Change in valuation allowance  2,449   5,409 
Foreign rate differential  5   602 
Other  40   430 
Total $-  $- 

 

The significant components of the Company's deferred tax assets are as follows (in thousands):

 

  Year Ended December 31,
  2019 2018
Deferred tax assets:        
Net operating loss carryforwards $11,090  $6,742 
Federal and state tax credits  3,587   3,122 
Accrued expenses  -   411 
Patents  74   132 
Stock-based compensation  -   1,782 
Other  59   169 
Total deferred tax assets  14,810   12,358 
Valuation allowance  (14,810)  (12,358)
Net deferred assets $-  $- 

 

Management of the Company has evaluated the positive and negative evidence bearing upon the realizability of its deferred tax assets. Based on the Company's history of operating losses, management of the Company has concluded that it is more likely than not that the benefit of its deferred tax assets will not be realized. Accordingly, the Company has provided a full valuation allowance for deferred tax assets as of December 31, 2019 and 2018.

 

Net operating loss and tax credit carryforwards are subject to review and possible adjustment by the Internal Revenue Service (the "IRS") and may become subject to an annual limitation in the event of certain cumulative changes in the ownership interest of significant shareholders over a three-year period in excess of 50% as defined under Sections 382 and 383 in the Internal Revenue Code. This could substantially limit the amount of tax attributes that can be utilized annually to offset future taxable income or tax liabilities. The amount of the annual limitation is determined based on the Company's value immediately prior to the ownership change. Subsequent ownership changes may further affect the limitation in future years. The Company expects that there will be an ownership change in excess of 50% in connection with the consummation of the Merger on January 9, 2020. This will substantially limit the amount of tax attributes that can be utilized annually to offset future taxable income or tax liabilities, the amount of which has not yet been determined.

 

As a result of current year activity, the valuation allowance increased by approximately $2.4 million during the year ended December 31, 2019. This was due primarily to the generation of net operating losses. In the year ended December 31, 2018, the valuation allowance increased by approximately $5.4 million. This was due primarily to the addition of Orphan Drug Tax credits and the generation of net operating losses.

 

 F-16 

 

Subject to the limitations described below, as of December 31, 2019 and 2018 the Company has net operating loss carryforwards of approximately $41.7 million and $25.7 million, respectively, to offset future federal taxable income. The pre-2018 federal net operating loss carryforwards expire at various dates through 2037. Federal net operating loss carryforwards generated in 2018 and forward will have an unlimited carryforward period as part of the Tax Cuts and Jobs Act. The indefinite lived net operating loss carryforwards as of December 31, 2019 are approximately $30.6 million. As of December 31, 2019 and 2018, the Company has state net operating loss carryforwards of approximately $37.2 million and $21.5 million, respectively, to offset future state taxable income, which will expire at various dates through 2039. As of December 31, 2019 and 2018, the Company has tax credit carryforwards of approximately $3.6 million and $3.1 million, respectively, to offset future federal and state income taxes, which will expire at various dates through 2039.

 

The Company had no unrecognized tax benefits or related interest and penalties accrued during the years ended December 31, 2019 and 2018. The Company will recognize interest and penalties related to uncertain tax positions in income tax expense.

 

The Company is subject to U.S. federal income tax and primarily Massachusetts state income tax. The statute of limitations for assessment by the IRS and state tax authorities is open for tax years ending December 31, 2016 through 2019, although carryforward attributes that were generated prior to tax year 2016 may still be adjusted upon examination by the IRS or state tax authorities if they either have been or will be used in a future period. Currently, no federal or state income tax returns are under examination by the respective taxing authorities.

 

11. Net Loss per Share Attributable to Common Stockholders

 

As described in Note 2, Summary of Significant Accounting Policies, the Company computes basic and diluted loss per share using a methodology that gives effect to the impact of outstanding participating securities (the “two-class method”). As the years ended December 31, 2019 and 2018 resulted in net losses, there is no income allocation required under the two-class method or dilution attributed to weighted-average shares outstanding in the calculation of diluted loss per share.

 

The following Common Stock equivalents, presented on an as converted basis, were excluded from the calculation of net loss per share for the periods presented, due to their anti-dilutive effect:

 

  Year Ended December 31,
  2019 2018
Outstanding stock options  111   114,931 
Convertible preferred stock  476,279   552,819 
   476,390   667,750 

 

12.Restructuring Charges

 

In April 2019, the Board of Directors approved a plan (“2019 Restructuring Program”) to reduce operating expenses as the Company evaluates its strategic alternatives following the release of top-line data from the PATENCY-2 clinical trial of vonapanitase on March 28, 2019. The restructuring initiatives are company-wide. The remainder of the charges were incurred by the end of the fiscal year ended December 31, 2019 (“Fiscal Year 2019”) and were paid during the year ended December 31, 2019.

 

Changes in the restructuring accrual during the year ended December 31, 2019 are summarized below (in thousands):

 

  As of
December 31, 2018
 Charges/
(Benefits)
 Payment/Other As of
December 31, 2019
2019 Restructuring Program                
Employee Severance $-  $2,854  $(2,854) $- 
Total $-  $2,854  $(2,854) $- 

 

  

 F-17 

 

13.Subsequent Events

 

Per the discussion in Note 1 “Organization and Basis of Presentation”, the Company and Private ArTara completed the Merger in accordance with the terms of the Merger Agreement whereby Merger Sub merged with and into Private ArTara, with Private ArTara surviving as a wholly owned subsidiary of the Company.

 

 

 

 

 

 

 

 

 

 

 

 

 

 

 

F-18