Protara Therapeutics
TARA
#8147
Rank
C$0.39 B
Marketcap
C$7.39
Share price
1.69%
Change (1 day)
35.27%
Change (1 year)

Protara Therapeutics - 10-K annual report 2020


Text size:

 

 

UNITED STATES

SECURITIES AND EXCHANGE COMMISSION

WASHINGTON, D.C. 20549

 

Form 10-K

 

(Mark One)

ANNUAL REPORT PURSUANT TO SECTION 13 OR 15(d) OF THE SECURITIES EXCHANGE ACT OF 1934

 

For the fiscal year ended December 31, 2020

 

Or

 

TRANSITION REPORT PURSUANT TO SECTION 13 OR 15(d) OF THE SECURITIES EXCHANGE ACT OF 1934

 

For the transition period from         to            

 

Commission File Number: 001-36694

PROTARA THERAPEUTICS, INC.

(Exact Name of Registrant as Specified in Its Charter)

 

Delaware 20-4580525
 (State or Other Jurisdiction of
Incorporation or Organization)
 

(I.R.S. Employer

Identification Number) 

 

345 Park Avenue South

3rd Floor

New York, NY

(Address of Principal Executive Offices)

10010

(Zip Code)

(646) 844-0337

(Registrant’s telephone number, including area code)

 

Securities registered pursuant to Section 12(b) of the Act:

 

Title of each class Trading Symbol(s) Name of each exchange on which registered
Common Stock, par value $0.001 per share TARA The Nasdaq Capital Market

 

Securities registered pursuant to Section 12(g) of the Act: None

 

Indicate by check mark if the registrant is a well-known seasoned issuer, as defined in Rule 405 of the Securities Act. Yes o No x

 

Indicate by check mark if the registrant is not required to file reports pursuant to Section 13 or 15(d) of the Securities Exchange Act of 1934. Yes o No x

 

Indicate by check mark whether the registrant (1) has filed all reports required to be filed by Section 13 or 15(d) of the Securities Exchange Act of 1934 during the preceding 12 months (or for such shorter period that the registrant was required to file such reports), and (2) has been subject to such filing requirements for the past 90 days. Yes x No o

 

Indicate by check mark whether the registrant has submitted electronically every Interactive Data File required to be submitted pursuant to Rule 405 of Regulation S-T (§ 232.405 of this chapter) during the preceding 12 months (or for such shorter period that the registrant was required to submit such files). Yes x No o

 

Indicate by check mark whether the registrant is a large accelerated filer, an accelerated filer, a non-accelerated filer, a smaller reporting company, or an emerging growth company. See definitions of “large accelerated filer”, “accelerated filer”, “smaller reporting company” and “emerging growth company” in Rule 12b-2 of the Securities Exchange Act of 1934:

 

Large accelerated filer oAccelerated filer o
Non-accelerated filer xSmaller reporting company x
 Emerging growth company o

 

If an emerging growth company, indicate by check mark if the registrant has elected not to use the extended transition period for complying with any new or revised financial accounting standards provided pursuant to Section 13(a) of the Exchange Act. o

 

Indicate by check mark whether the registrant has filed a report on and attestation to its management’s assessment of the effectiveness of its internal control over financial reporting under Section 404(b) of the Sarbanes-Oxley Act (15 U.S.C. 7262(b)) by the registered public accounting firm that prepared or issued its audit report. o

 

Indicate by check mark whether the registrant is a shell company (as defined in Rule 12b-2 of the Securities Exchange Act of 1934). Yes o No x

 

As of June 30, 2020, the last business day of the registrant’s most recently completed second fiscal quarter, the aggregate market value of the registrant’s common stock held by non-affiliates of the registrant was approximately $76.9 million, based on the closing price of the registrant’s common stock on the Nasdaq Capital Market on June 30, 2020 of $29.32 per share.

 

As of March 9, 2021, 11,228,606 shares of the registrant’s common stock, $0.001 par value, were outstanding.

 

DOCUMENTS INCORPORATED BY REFERENCE

 

Portions of the registrant’s definitive Proxy Statement to be filed with the Securities and Exchange Commission by April 30, 2021 are incorporated by reference into Part III of this report.

 

 

 

 

 

PROTARA THERAPEUTICS, INC.

 

TABLE OF CONTENTS

FORM 10-K

For the Year Ended December 31, 2020

 

  Page
PART I  
Item 1.Business3
Item 1A.Risk Factors27
Item 1B.Unresolved Staff Comments48
Item 2.Properties48
Item 3.Legal Proceedings48
Item 4.Mine Safety Disclosures48
   
PART II   
Item 5.Market for Registrant’s Common Equity, Related Stockholder Matters and Issuer Purchases of Equity Securities49
Item 6.Selected Financial Data49
Item 7.Management’s Discussion and Analysis of Financial Condition and Results of Operations50
Item 7A.Quantitative and Qualitative Disclosures About Market Risk57
Item 8.Financial Statements and Supplementary Data58
Item 9.Changes in Disagreements With Accountants on Accounting and Financial Disclosure58
Item 9A.Controls and Procedures58
Item 9B.Other Information58
   
PART III  
Item 10.Directors, Executive Officers and Corporate Governance59
Item 11.Executive Compensation59
Item 12.Security Ownership of Certain Beneficial Owners and Management and Related Stockholder Matters59
Item 13.Certain Relationships and Related Transactions, and Director Independence59
Item 14.Principal Accountant Fees and Services59
   
PART IV  
Item 15.Exhibits and Financial Statement Schedules60
Item 16.Form 10-K Summary63

 

i

 

 

PART I

 

FORWARD-LOOKING STATEMENTS

 

This report and the information incorporated herein by reference contain forward-looking statements that involve a number of risks and uncertainties, as well as assumptions that, if they never materialize or prove incorrect, could cause our results to differ materially from those expressed or implied by such forward-looking statements. Although our forward-looking statements reflect the good faith judgment of our management, these statements can only be based on facts and factors currently known by us. Consequently, forward-looking statements are inherently subject to risks and uncertainties, and actual results and outcomes may differ materially from results and outcomes discussed in the forward-looking statements. In addition, statements that “we believe” and similar statements reflect our beliefs and opinions on the relevant subject. These statements are based upon information available to us as of the date of this report, and while we believe such information forms a reasonable basis for such statements, such information may be limited or incomplete, and our statements should not be read to indicate that we have conducted an exhaustive inquiry into, or review of, all potentially available relevant information. These statements are inherently uncertain and you are cautioned not to unduly rely upon these statements.

 

The forward-looking statements are contained principally in the sections entitled “Business,” “Risk Factors,” and “Management’s Discussion and Analysis of Financial Condition and Results of Operations.” All statements, other than statements of historical facts, contained in this document, including statements regarding our business, operations and financial performance and conditions, as well as our plans, objectives and expectations for our business operations and financial performance and condition, are forward-looking statements. These statements relate to future events or to our future financial performance and involve known and unknown risks, uncertainties and other factors which may cause our actual results, performance or achievements to be materially different from any future results, performance or achievements expressed or implied by the forward-looking statements. The words “anticipate,” “believe,” “continue,” “could,” “estimate,” “expect,” “intend,” “may,” “might,” “plan,” “predict,” “project,” “potential,” “should,” “target,” “will,” “would,” or the negative of those terms and similar expressions are intended to identify forward-looking statements, although not all forward-looking statements contain these identifying words.

 

These forward-looking statements include, but are not limited to, statements about:

 

 the impact of the novel coronavirus disease (“COVID-19”) pandemic on our business and operations as well as the business or operations of our manufacturers, research partners, and other third parties with whom we conduct business or regulatory agencies;
   
 estimates regarding our financial performance, including future revenue, expenses and capital requirements;
   
 our expected cash position and ability to obtain financing in the future on satisfactory terms or at all;
   
 expectations regarding our plans to research, develop and commercialize our current and future product candidates, including TARA-002, and Intravenous (IV) Choline Chloride;
   
 expectations regarding the safety and efficacy of our product candidates;
   
 expectations regarding the timing, costs and outcomes of our planned clinical trials;
   
 expectations regarding potential market size;
   
 expectations regarding the timing of the availability of data from our clinical trials;
   
 expectations regarding the clinical utility, potential benefits and market acceptance of our product candidates;
   
 expectations regarding our commercialization, marketing and manufacturing capabilities and strategy;
   
 the implementation of our business model, strategic plans for our business, product candidates and technology;
   
 expectations regarding our ability to identify additional products or product candidates with significant commercial potential;
   
 developments and projections relating to our competitors and industry;
   
 our ability to remain listed on the Nasdaq Capital Market;
   
 the impact of government laws and regulations;

 

1

 

 the timing or likelihood of regulatory filings and approvals; and
   
 our ability to protect our intellectual property position.

 

We may not actually achieve the plans, intentions or expectations disclosed in our forward-looking statements, and you should not place undue reliance on our forward-looking statements. Forward-looking statements should be regarded solely as our current plans, estimates and beliefs. Actual results or events could differ materially from the plans, intentions and expectations disclosed in the forward-looking statements we make. We have included important factors in the cautionary statements included in this document, particularly in the “Risk Factors” section, that we believe could cause actual results or events to differ materially from the forward-looking statements that we make. Moreover, we operate in a very competitive and rapidly changing environment. New risks emerge from time to time. It is not possible for our management to predict all risks, nor can we assess the impact of all factors on our business or the extent to which any factor, or combination of factors, may cause actual results to differ materially from those contained in any forward-looking statements we may make. Our forward-looking statements do not reflect the potential impact of any future acquisitions, mergers, dispositions, joint ventures or investments we may make.

 

We undertake no obligation to revise or publicly release the results of any revision to these forward-looking statements, except as required by law. Given these risks and uncertainties, readers are cautioned not to place undue reliance on such forward-looking statements. All forward-looking statements are qualified in their entirety by this cautionary statement.

 

SUMMARY OF RISKS AFFECTING OUR BUSINESS

 

Below is a summary of the principal factors that make an investment in our securities speculative or risky. This summary does not address all of the risks that we face. Additional discussion of the risks and uncertainties summarized in this risk factor summary, and other risks and uncertainties that we face, are set forth in Part I, Item 1A, Risk Factors, and should be carefully considered, together with other information in this Report on Form 10-K and our other filings with the SEC before making investment decisions regarding our securities.

 

 We have a very limited operating history and have never generated any revenues.
   
 We expect to incur significant losses for the foreseeable future and may never achieve or maintain profitability.
   
 The COVID-19 coronavirus could adversely impact our business, including our clinical development plans.
   
 We will need to raise additional financing in the future to fund our operations, which may not be available to us on favorable terms or at all.
   
 Our business depends on the successful clinical development, regulatory approval and commercialization of TARA-002 and IV Choline Chloride.
   
 We have never made an IND, BLA or NDA submission or conducted a clinical trial and may be unable to successfully do so for TARA-002 or IV Choline Chloride.
   
 TARA-002 is an immunopotentiator, and the indications for which we plan to pursue are the treatment of lymphatic malformations and non-muscle invasive bladder cancer. There are no FDA-approved therapies for the treatment of lymphatic malformations. It is difficult to predict the timing and costs of clinical development for TARA-002 with respect to lymphatic malformations as well as the corresponding regulatory approval path.
   
 Even if a product candidate obtains regulatory approval, it may fail to achieve the broad degree of physician and patient adoption and use necessary for commercial success.
   
 Our product candidates, if approved, will face significant competition, and may face competition sooner than anticipated, and their failure to compete effectively may prevent them from achieving significant market penetration.
   
 We currently have limited marketing capabilities and no sales organization. If we are unable to grow our sales and marketing capabilities on our own or through third parties, we will be unable to successfully commercialize our product candidates, if approved, or generate product revenue.
   
 We may not be able to obtain, maintain or enforce global patent rights or other intellectual property rights that cover our product candidates and technologies that are of sufficient breadth to prevent third parties from competing against us.
   
 Certain stockholders have the ability to control or significantly influence certain matters submitted to our stockholders for approval.

 

2

 

Item 1. Business.

 

Overview

 

We are a New York City based clinical-stage biopharmaceutical company committed to identifying and advancing transformative therapies for the treatment of cancer and rare diseases with significant unmet needs. We prioritize creativity, diverse perspectives, integrity and tenacity to expedite our goal of bringing life-changing therapies to people with limited treatment options.

 

Our portfolio includes two development programs utilizing TARA-002, an investigational cell therapy based on the broad immunopotentiator, OK-432, which was originally granted marketing approval by the Japanese Ministry of Health and Welfare as an immunopotentiating cancer therapeutic agent. This cell therapy is currently approved in Japan for lymphatic malformations, or LMs, and multiple oncologic indications. It has never been approved outside Japan and we have secured worldwide rights to the asset excluding Japan and Taiwan and have begun to explore its use in rare and oncology indications. We are developing TARA-002 in non-muscle invasive bladder cancer, or NMIBC, and in LMs.

 

TARA-002’s lead oncology program is in NMIBC, which is cancer found in the tissue that lines the inner surface of the bladder that has not spread into the bladder muscle. Bladder cancer is the sixth most common cancer in the United States, with NMIBC representing approximately 80% of bladder cancer diagnoses. Approximately 65,000 patients are diagnosed with NMIBC in the United States each year. Very few new therapeutics have been approved in NMIBC since the 1990s and the current standard of care for NMIBC includes intravesical Bacillus Calmette-Guerin, or BCG,. The mechanism of TARA-002 is similar to BCG. Both TARA-002 and BCG are intravesically administered and elicit a type Th1 type immune response and locally activated generally similar array of cytokines and immune cells.

 

In August of 2020, we announced constructive feedback following a pre-Investigational New Drug (pre-IND) interaction with the Office of Tissues and Advanced Therapies division of the Center for Biologics Evaluation and Research, or CBER, at the FDA on a development plan for TARA-002 in NMIBC. Building on existing data from OK-432, and subject to the completion of non-clinical studies as well as acceptance of the IND application, we plan to commence a Phase 1 clinical trial in late 2021 to assess the safety and tolerability of TARA-002 in patients with high grade NMIBC.

 

Our most advanced clinical program is for LMs, which are rare, non-malignant cysts of the lymphatic vascular system that primarily form in the head and neck region of children before the age of two. In July 2020, the U.S. Food and Drug Administration, or FDA, granted Rare Pediatric Disease designation for TARA-002 for the treatment of LMs. OK-432, the originator compound to TARA-002, has been the standard of care in LMs in Japan for over 20 years. In addition to the clinical experience in Japan, we have secured the rights to a dataset from one of the largest ever conducted Phase 2 studies in lymphatic malformations, in which OK-432 was administered via a compassionate use program led by the University of Iowa to over 400 pediatric and adult patients. We have updated the initial IND that was submitted by the University of Iowa and submitted the update and accompanying clarifying questions to the FDA Division of Vaccines and Related Products Applications, or the Division, in connection with the IND for TARA-002 in LMs. We plan to utilize the robust dataset for OK-432 in LMs to support the potential filing of a Biological License Application (BLA) for TARA-002 in lymphatic LMs. We are encouraged by the progress to date and, at the FDA’s request, have submitted the full Clinical Study Report (CSR) of the randomized Phase 2 study of OK-432 in LMs led by the University of Iowa. We continue to prepare for a potential BLA filing in the second half of 2021, or to initiate additional clinical work as required by FDA.

 

TARA-002 was developed from the same master cell bank of genetically distinct group A Streptococcus pyogenes as OK-432 (marketed as Picibanil® in Japan and Taiwan by Chugai Pharmaceutical Co., Ltd., or Chugai Pharmaceutical). Following a pre-IND interaction with the Office of Tissues and Advanced Therapies Division of the Center for Biologics Evaluation and Research, or CBER, the FDA agreed that we have successfully demonstrated initial manufacturing comparability between TARA-002 and OK-432. This initial comparability will be confirmed by GMP scale batches, which are currently underway using the same release tests that have already been approved by the FDA.

 

The third development program in our portfolio is intravenous, or IV, Choline Chloride, an investigational phospholipid substrate replacement therapy initially in development for patients receiving parenteral nutrition, or PN, who have intestinal failure associated liver disease, or IFALD. IV Choline Chloride has been granted Orphan Drug Designation by the FDA for this indication and has also been granted Fast Track Designation for the treatment of IFALD. Following a positive end of Phase 2 meeting with the FDA, we received feedback on the design of the studies necessary to complete the registration package for IV Choline Chloride for the treatment of IFALD, including a Phase 1 pharmacokinetic study followed by Phase 3 trial. Prior to initiating these clinical studies, we are currently undertaking a prevalence study in partnership with a large home health organization in the United States to enhance understanding of the PN patient population and we plan to use this information to determine the next steps for the development program. The goal of the study is to understand the presence/incidence of liver disease in this patient population.

 

Our fourth program, vonapanitase, is a recombinant human elastase. We are reviewing the research and preclinical and clinical data of vonapanitase and have not yet determined whether to pursue further development of this product candidate in the future.

 

3

 

We have devoted substantial efforts to the development of these programs and do not have any approved products and have not generated any revenue from product sales. TARA-002 is in later stage development for LMs and has not yet been approved for use for treatment of LMs, NMIBC or any other indications. We do not expect to generate revenues prior to 2022, if ever. To finance our current strategic plans, including the conduct of ongoing and future clinical trials and further research and development costs, we will need to raise additional capital.

 

Our Product Candidate Pipeline

 

The following chart summarizes the current status of our product candidate pipeline:

 

 

*TARA-002 Granted Rare Pediatric Disease Designation for the treatment of LMs. OK-432 Granted Orphan Drug Designation by the U.S. FDA for the treatment of LMs, which we believe is applicable under established comparability.
**Granted Orphan Drug and Fast Track Designations by the U.S. FDA
Phase 1 PK study to be conducted prior to commencing Phase 3

 

Our Corporate Strategy:

 

We are an oncology and rare disease company focused on identifying and acquiring or licensing de-risked assets and optimizing and/or accelerating their development. Leveraging the drug development and commercialization experience of our management team, our goal is to build a leading biopharmaceutical company focused on bringing life-saving therapies to patients with significant unmet needs.

 

1. Establish comparability of OK-432 and TARA-002

 

Utilizing the same genetically distinct Streptococcus pyogenes strain and proprietary manufacturing process used by Chugai Pharmaceutical to manufacture OK-432 (marketed as Picibanil® in Japan and Taiwan), we have produced development batches of TARA-002 and conducted comparability studies using commercial OK-432 manufactured in Japan as a reference. Following a pre-IND interaction with the Office of Tissues and Advanced Therapies division of the Center for Biologics Evaluation and Research, or CBER, the FDA agreed that we had successfully demonstrated initial manufacturing comparability between TARA-002 and OK-432. This initial comparability will be confirmed by GMP scale batches, which are currently underway using the same release tests that have already been accepted by the FDA.

 

2. Seek FDA approval for the use of TARA-002 in Lymphatic Malformations

 

We plan to utilize the robust dataset for OK-432 in LMs to support the potential filing of a Biological License Application (BLA) for TARA-002 in lymphatic LMs. We are encouraged by the progress to date and, at the FDA’s request, have submitted the full Clinical Study Report (CSR) of the randomized Phase 2 study of OK-432 in LMs led by the University of Iowa. We continue to prepare for a potential BLA filing in the second half of 2021, or to initiate additional clinical work as required by FDA.

 

3. Pursue development of TARA-002 for the treatment of non-muscle invasive bladder cancer (NMIBC). Complete toxicology and MOA characterization & immunogenicity studies in order to file an IND and initiate P1 study

 

We are developing TARA-002 for the treatment of non-muscle invasive bladder cancer, or NMIBC. Building on existing safety and efficacy data from OK-432, and subject to the completion of non-clinical studies, including toxicology and MOA characterization & immunogenicity studies, which are currently underway, as well as acceptance of an Investigational New Drug, or IND, application, we plan to commence a Phase 1 clinical trial in 2021 to assess the safety and tolerability of TARA-002 in patients with high grade NMIBC.

 

4

 

4. Further characterize the patient population of IFALD to determine the appropriate strategy/path for IV Choline Chloride as a potential treatment option

 

Following a positive end of Phase 2 meeting with the FDA, we received feedback on the design of the studies necessary to complete the registration package for IV Choline Chloride for the treatment of IFALD, including a Phase 1 pharmacokinetic study followed by Phase 3 trial. Prior to initiating these clinical studies, we are currently undertaking a prevalence study in partnership with a very large home health organization in the United States to enhance understanding of the PN patient population and plan to use this information to inform the next steps for the development program.

 

5. Explore opportunities to expand our pipeline

 

The immunological activity of TARA-002’s reference product, OK-432, has been effectively interrogated in patients in a long list of indications. We plan to carefully evaluate the case reports and the literature and perform initial in vitro characterization studies to better understand the mechanism of action of TARA-002 and its potential activity in indications beyond LMs and NMIBC. We also plan to engage with regulatory authorities outside of the US to explore the potential opportunities to bring TARA-002 to other geographies.

 

In addition, our leadership team has a strong track record of licensing, acquiring and optimizing product candidates and we intend to leverage this skill to identify opportunities for potential combination opportunities for TARA-002, particularly in NMIBC

 

Our Pipeline

 

TARA-002 / OK-432

 

TARA-002, our lead program, is an investigational cell therapy developed from the master cell line of the same genetically distinct Streptococcus pyogenes(group A, type 3) Su strain as OK-432, a the broad immunopotentiator (marketed as Picibanil® in Japan and Taiwan by Chugai Pharmaceutical Co., Ltd. (Chugai Pharmaceutical)). We expect to utilize the same regulatory starting materials as OK-432 and manufacture TARA-002 using an updated version of the same proprietary processes used to manufacture OK-432. Functionally, our lead product is OK-432. We have designated this product as TARA-002 in order to differentiate the regulatory path in the U.S. and other geographies from that of OK-432 in Japan.

 

We entered into an agreement with Chugai Pharmaceutical in June 2019 to support our development of TARA-002. The agreement provides us with exclusive access to certain materials and documents relating to OK-432 including the master cell bank of Streptococcus pyogenes used in the manufacture of OK-432. Additionally, the agreement provides technical support during a certain period. We have utilized the materials, proprietary manufacturing process and technical support provided by Chugai Pharmaceutical to produce TARA-002 at a GMP-compliant facility in the United States. Under the agreement with Chugai Pharmaceutical, we will have sole responsibility for the development and commercialization of TARA-002 worldwide, excluding Japan and Taiwan. On July 14, 2020, we entered into an amendment with Chugai to the Chugai Pharmaceutical agreement. This agreement is exclusive through June 17, 2030 or following any termination of the agreement by either party.

 

In Japan, OK-432 is indicated for: the treatment of lymphangiomas (lymphatic malformations); the prolongation of survival time in patients with gastric cancer (postoperative cases) or primary lung cancer in combination with chemotherapy; and the reduction of cancerous pleural effusion or ascites in patients with lung cancer or gastrointestinal cancer respectively, head and neck cancer (maxillary cancer, laryngeal cancer, pharyngeal cancer, and tongue cancer) and thyroid cancer that are resistant to other drugs.

 

We plan to pursue development of TARA-002 for the treatment of lymphatic malformations (LMs) and non-muscle invasive bladder cancer (NMIBC) initially in the U.S. and plan to also seek approval in Europe and other regions in the future, and may also explore additional indications where its utility as an immunostimulant has been hypothesized to be of therapeutic benefit.

 

TARA-002 in NMIBC 

 

Disease Overview:

 

Bladder cancer is the sixth most common cancer in the United States, with NMIBC representing approximately 80% of bladder cancer diagnoses. NMIBC is cancer found in the tissue that lines the inner surface of the bladder that has not spread into the bladder muscle. There are 3 subtypes of NMIBC: Ta (non-invasive papillary carcinoma), Tis (carcinoma in situ or CIS), and T1 (carcinoma invading the lamina propria). Among the types of NMIBC, Ta accounts for most NMIBC cases (70%), whereas T1 and CIS account for 20% and 10%, respectively.

 

5

 

Based on currently available treatment data, we believe that there are approximately 30,000 incident cases of High-Grade NMIBC per year that would be appropriate for treatment with TARA-002 in the U.S. There are 65,000 incident cases of NMIBC in the U.S. every year, of these, approximately 45% (~30,000) are made up of High-Grade tumor types that are considered higher risk, and therefore candidates for immunotherapies, such as TARA-002). In addition, NMIBC has one of the highest rates of recurrence with 3-year rate estimated at up to 80%.

 

Treatment:

 

Treatment for NMIBC is typically targeted to reduce unresectable persistence, recurrence after resection, and to prevent disease progression to muscle-invasive bladder cancer. The initial treatment for NMIBC includes cystoscopy and complete transurethral resection of the bladder tumor (TURBT) for papillary Ta or T1, or biopsy for CIS. A single postoperative instillation of intravesical chemotherapy is recommended in patients with low risk of progression, and for patients with intermediate and high-risk disease, a longer course of intravesical therapy is administered. The most efficacious intravesical agent is Bacillus Calmette-Guerin (BCG), a live attenuated form of Mycobacterium bovis. BCG has been the subject of multiple supply shortages in the past decade due to the inability to meet demand to treat the large population of patients with NMIBC resulting in strategies to conserve the use of the therapy. There has been a significant increase in bladder cancer recurrence and progression and an escalated number of patients who needed to be treated by cystectomy have been reported. As such, with the current BCG shortage and limited effective alternate therapies or dosing strategies, there continues to be a significant unmet need for treatment options for patients with NMIBC.

 

Manufacturing:

 

TARA-002 will be manufactured using an equivalent, but modernized, proprietary manufacturing process as is used to produce OK-432 by Chugai Pharmaceutical, starting with a master cell line propagated by us but utilizing the same genetically distinct strain of Streptococcus pyogenes (A group, type 3) Su strain as OK-432. We have contracted a contract development and manufacturing organization (CDMO), to manufacture TARA-002. TARA-002 has received initial comparability to OK-432 from the FDA. We are currently conducting confirmatory large scale GMP manufacturing comparability, which are scheduled to be completed in 2021.

 

TARA-002 for the Treatment of Lymphatic Malformations

 

Disease Overview:

 

We are pursuing regulatory approval for TARA-002 for the treatment of lymphatic malformations. Lymphatic malformations are rare, non-malignant cystic masses that primarily form in the head and neck region of children before the age of two. The International Society for the Study of Vascular Anomalies classifies LMs as either macrocystic, microcystic, or mixed. Macrocystic and microcystic LMs are differentiated by the size of the fluid-containing portion of the malformation. Macrocystic LMs are characteristically large, fluid-filled cysts with a thin endothelial lining. Macrocystic LMs are composed of cysts greater than 2 cm3 in size and present as a soft, fluid-filled swelling beneath normal or slightly discolored skin. Macrocystic LMs are usually located in the antero-lateral cervical region of the neck; however, it is possible for this type of LM to originate in other areas of the body. In contrast, microcystic LMs have very limited internal space with a thick irregular endothelial lining. Microcystic LMs are comprised of cysts less than 2 cm3 in size and are often composed of micro-lymphatic channels that integrate and infiltrate normal soft tissue. Microcystic LMs can involve both superficial and deep aspects including muscle and bone. Microcystic LMs can thicken or swell causing enlargement of surrounding soft tissue and bones and can be found on any area of the skin or mucous membrane. Mixed LMs are comprised of varying degrees of both macrocystic and microcystic LMs.

 

While the exact prevalence of LMs is not known, in the United States, the condition is thought to be present in approximately one in every 4,000 live births and we believe there are approximately 1,400-1,800 LM cases per year.

 

Treatment:

 

Outside of Japan and Taiwan, the standard of care is surgical excision, which is associated with high rates of recurrence and complications. There are no approved pharmacotherapies for LMs, except in Japan and Taiwan where OK-432 is approved. In these countries, OK-432 has been the standard of care for LMs for over 25 years.

 

Treatment of LMs varies depending on the symptoms and complications that present themselves. The standard of care outside Japan and Taiwan for the treatment of LMs is either a partial or complete surgical excision of the cysts. While surgery is the standard approach to the treatment of LMs in the head and neck, the region is a difficult area to operate in because of the large number of important anatomical structures in the area. Major venous and arterial trunks travel through the neck, as do important nerves. Surgery on such malformations frequently results in high rates of recurrence and complications including life-long chronic conditions, such as damage to nerves and other important structures of the head and neck.

 

6

 

Clinical Development

 

When OK-432 is administered locally for LMs, it is hypothesized that innate immune cells within the cyst are activated and produce a strong immune cascade. Neutrophils and monocytes infiltrate the cyst and various cytokines, including interleukins IL-6, IL-8, IL-12, interferon (IFN)-gamma, tumor necrosis factor (TNF)-alpha, and vascular endothelial growth factor (VEGF) are secreted by immune cells within the cyst in response to the presence of OK-432. In concert, these immune activities induce a strong local inflammatory reaction in the cyst wall, resulting in fluid drainage, shrinkage and fibrotic adhesion of the cyst.

 

A randomized, phase 2 clinical trial led by the University of Iowa studied the use of OK-432 in patients with LM from 1998 to 2005. Most eligible subjects were between 6 months and 18 years of age with macrocystic or mixed macrocystic-microcystic LMs (with ≥ 50% macrocytic disease) of the head and/or neck. There were three treatment groups: immediate treatment (ITG), delayed treatment (DTG), and open label treatment group. The immediate treatment group received treatment with OK-432 upon diagnosis. The delayed treatment group received OK-432 treatment following a six-month observation period; the cross-over design was intended to investigate spontaneous resolution. The open-label treatment group included infants younger than six months of age, adults older than 18 years of age, patients with LMs involving sites other than the head and neck (such as the axilla, thorax, and extremities), and patients treated on an emergent basis. The open label treatment group were treated immediately with OK-432. Response to therapy was measured by quantitating change in lesion size. Clinical success was defined as a complete (90% to 100%) or substantial (60% to 89%) response to treatment based on radiographically confirmed shrinkage in lesions.

 

Results presented in this report were based on a retrospective analysis of source verified data that included the full dataset of subjects enrolled in the P2 randomized study between January 1998 and August 2005, including data in the published study (Smith et al. 2009) which included subjects enrolled between January 1998 and November 2004. 

 

Overall, 310 subjects were enrolled with intent to treat: 246 subjects were randomized to the immediate (ITG, N=171) and delayed (DTG, N=75) treatment groups; 64 subjects were nonrandomized and assigned to the open-label group. Analysis of the primary efficacy endpoint (N=150) demonstrated clinical success (complete and/or substantial response) in 69% of patients in the ITG 6 months after enrollment, while 7.5% of patients in the DTG experienced spontaneous regression of a LM during this time interval (p < 0.0001)). When the results were analyzed by lesion type across all treatment groups, a successful outcome was observed in 84% and 60% of patients with macrocystic and mixed macrocystic-microcystic LM, respectively. None of the patients with microcystic LM demonstrated clinical success to OK-432 therapy. The results of the retrospective analysis were consistent with the results observed in the original analysis (Smith et al. 2009).

 

Figure 1: demonstrates that the primary endpoint was met showing that 69% of patients in the immediate treatment group had a complete or substantial response to OK-432 while 7.5% of patients in the delayed treatment group had a complete or substantial response after six months of observation and before treatment.

 

 

ǂClinical Success was defined as complete or substantial response
**Results were analyzed by lesion type across all treatment groups

7

 

Figure 2: illustrates that patients with radiographically confirmed macrocystic lesions had the greatest likelihood of clinical success and in those patients with mixed legions, clinical success was also achieved.

 

 

ǂClinical Success was defined as complete or substantial response
*Reflects data prior to dosing with OK-432. After dosing, the clinical success rate was 66%, which was not statistically different from the Immediate Treatment Group
**Results were analyzed by lesion type across all treatment groups

 

Safety Profile

 

The most common adverse events with treatment were local injection site reactions, fever, fatigue, decreased appetite, with resolution within a few days. Treatment emergent serious adverse events (defined as any SAE occurring or worsening on or after the first dose of study drug and within 35 days after the last dose of study drug) associated with OK-432 treatment were reported in 4.1% of patients, with the most severe events being airway obstruction and facial paralysis due to massive swelling post-injection that required tracheostomy and hospitalization. Both of these events were reported as resolved

 

The safety findings from the Sponsor-conducted retrospective analysis are consistent with the original analysis reported in Smith et al. 2009, and with safety data in published studies in approximately 865 patients with LMs after treatment with OK-432.

 

Preclinical Development:

 

A comprehensive preclinical development program for OK-432, including in vitro and in vivo pharmacology and toxicology studies, was conducted by Chugai Pharmaceutical to support the filing of a new drug application with the Japan Pharmaceuticals and Medical Devices Agency. We plan to discuss with the FDA the ability to rely on these studies for the submission of a BLA for TARA-002.

 

Regulatory Interactions:

 

In July 2020, the U.S. Food and Drug Administration, or FDA, granted Rare Pediatric Disease designation for TARA-002 for the treatment of LMs. The FDA grants Rare Pediatric Disease designation for serious diseases that primarily affect children ages 18 years or younger and fewer than 200,000 persons in the United States. Under the FDA’s Rare Pediatric Disease Priority Review Voucher program, a sponsor who receives an approval of a new drug application or biologics license application for a product for the prevention or treatment of a rare pediatric disease may be eligible for a voucher, which can be redeemed to obtain priority review for any subsequent marketing application or may be sold or transferred.

 

We plan to utilize the robust dataset for OK-432 in LMs to support the potential filing of a Biological License Application (BLA) for TARA-002 in lymphatic LMs. We are encouraged by the progress to date and, at the FDA’s request, have submitted the full Clinical Study Report (CSR) of the randomized Phase 2 study of OK-432 in LMs led by the University of Iowa. We continue to prepare for a potential BLA filing in the second half of 2021, or to initiate additional clinical work as required by FDA. 

 

Manufacturing Plans:

 

TARA-002 will be manufactured using an equivalent, but modernized, proprietary manufacturing process as is used to produce OK-432 by Chugai Pharmaceutical. Starting with a master cell line propagated by us but utilizing the same genetically distinct strain of Streptococcus pyogenes(A group, type 3) Su strain as OK-432. We have contracted a contract development and manufacturing organization (CDMO), to manufacture TARA-002. TARA-002 has received initial comparability to OK-432 from the FDA. We are currently conducting confirmatory large scale GMP manufacturing comparability, which are scheduled to be completed in 2021.

8

 

IV Choline Chloride for the treatment of Intestinal Failure Associated Liver Disease

 

Background:

 

IV Choline Chloride is an intravenous (IV) substrate replacement therapy initially in development for patients receiving parenteral (typically intravenous) nutrition (PN) who have intestinal failure associated liver disease (IFALD).

 

Choline is a known important substrate for phospholipids that are critical for healthy liver function. Because patients receiving PN cannot sufficiently absorb adequate levels of choline and no available PN components contain sufficient amounts of choline to correct this deficit, they often experience a prolonged progression to hepatic failure and death, with the only known intervention being a dual small bowel / liver transplant. If approved, IV Choline Chloride would be the first approved therapy for IFALD. It has been granted Orphan Drug Designations (ODDs) by the FDA for the treatment of IFALD and the prevention of choline deficiency in PN patients. We are currently undertaking a prevalence study in partnership with a very large home health organization in the United States to enhance understanding of the PN patient population.

 

We have entered into a license agreement with Dr. Alan Buchman for exclusive rights to the IND, ODDs and other regulatory assets related to IV Choline Chloride, as well as exclusive rights to the data from previously conducted phase 1 and phase 2 clinical trials led by Dr. Buchman.

 

The results of a randomized, controlled, phase 2 clinical trial demonstrated that treatment with IV Choline Chloride resulted in normalization of plasma-free choline concentrations, improvement of hepatic steatosis, and a clinically meaningful and statistically significant improvement in cholestasis in patients dependent on PN.

 

We had an end of phase 2 meeting with the FDA in November 2018 and received the FDA’s support for the design of studies necessary to complete the registration package for IV Choline Chloride for the treatment of IFALD, including a Phase 1 pharmacokinetic study followed by Phase 3 trial.

 

Disease Overview:

 

Intestinal Failure Associated Liver Disease or IFALD is a rare hepatic/metabolic disease. IFALD, which occurs in patients dependent upon PN, is characterized by choline deficiency, hepatic steatosis, cholestasis, and rapid progression of liver disease through to hepatic failure and death, in the absence of intestine-liver transplant. IFALD carries a relatively poor prognosis, with a 15-34% death rate within one to four years. When IFALD presents in children, mortality is even higher, with studies reporting death rates of 23-40% within 18 months. A patient is considered to have IFALD if she/he:

 

 is dependent on PN for more than six months (e.g., has chronic intestinal failure);
   
 has evidence of steatosis, determined by imaging techniques or histologic assessments;
   
 has evidence of cholestasis (e.g., elevated alkaline phosphatase (ALP), elevated bilirubin and/or histology); and
   
 may have evidence of ongoing, progressive liver injury on the basis of multiple abnormal liver function tests, in conjunction with findings of fibrosis, cirrhosis, and/or end-stage liver disease (ESLD).

 

According to recent Medicare diagnosis data, we estimate that there are about 5,000 IFALD patients in the U.S.

 

Many patients receiving PN are entirely dependent on PN for their nutritional needs. PN delivers nearly all the macro and micro-nutrients necessary for survival in their patients, with the notable exception of choline. Consequently, patients dependent on PN support have been shown to be choline deficient. Patients dependent upon PN are unable to synthesize sufficient levels of choline and malabsorption limits the bioavailability of choline chloride from the PN diet. The American Society for Parenteral and Enteral Nutrition and the Academy of Nutrition and Dietetics’ Dietitians in Nutrition Support both recommend that choline be required in PN products; however, there are currently no FDA-approved choline chloride PN products.

 

Dependence on PN and resulting choline deficiency often leads to IFALD, which is the most common adverse outcome in chronic PN adult patients that is associated with death. Low free choline plasma concentrations are associated with alanine aminotransferase (“ALT”), aspartate aminotransferase (“AST”), and alkaline phosphatase (“ALP”) elevations as well as steatosis (fatty liver) and Cholestasis (when bile from the liver stops or slows), all indicators of ongoing liver damage.

 

9

 

Clinical History:

 

In a Phase 2 randomized, double-blind, controlled 24-week clinical trial, patients (n=15) receiving nightly PN for > 85% of their nutritional needs (for at least 12 weeks prior to entry) were randomized to receive via IV infusion (10-12 hours) their usual PN with placebo (n = 8), or PN to which 2g IV Choline Chloride was added (n = 7).

 

In the IV Choline Chloride group, mean choline levels were within or greater than the estimated normal range (i.e., 6.7 to 26.9 nmol/mL) throughout the 24-week trial and quickly returned to baseline levels when treatment was discontinued.

 

Steatosis:

 

Upon conversion of the quantification of computed tomography (CT) values to magnetic resonance imaging proton density fat fraction (MRI-PDFF), significant differences in the least square (LS) mean change from baseline in estimated MRI-PDFF were observed in the IV Choline Chloride group in comparison to placebo group at Week 4 through Week 24, demonstrating a clinically meaningful and statistically significant reduction in steatosis. When LS mean percent changes from baseline in MRI-PDFF were compared between treatment groups, significant differences in LS mean changes (range, 31.7% to 53.6%) were observed from Weeks 4 to 24 with p-values of 0.0009 to 0.0297 favoring the IV Choline Chloride group.

 

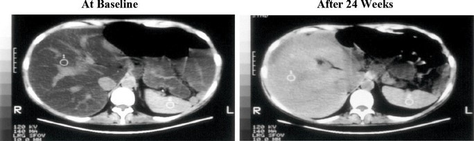
Figure 3. Liver CT Images: Before and After Treatment with IV Choline Chloride

 

 

Alkaline Phosphatase:

 

At baseline, LS mean ALP concentration was 239.3 ± 118.93 in the IV Choline Chloride group and 148.1 ± 100.2 in the placebo group. The MMRM analyses demonstrated statistically significant decreases in ALP concentrations at Week 12 (p = 0.008), Week 16 (p = 0.005), Week 20 (p = 0.007), and Week 24 (p = 0.005) for the IV Choline Chloride group, demonstrating a reduction in cholestasis. A trend towards significance was observed at Week 4 (p = 0.076) and Week 6 (p = 0.056). At Week 34, 10 weeks after discontinuation of IV Choline Chloride treatment, LS mean change from baseline in ALP concentrations still demonstrated statistically significant decreases (p = 0.002), demonstrating a significant improvement in cholestasis with treatment with IV Choline Chloride (Figure 4).

 

In the subgroup of subjects with ALP concentration > 1.5x upper limit of normal (ULN) at baseline, (n=7), mean values at baseline were comparable between the IV Choline Chloride and placebo groups (294.20 ± 87.947 versus 277.00 ± 128.693, respectively). In the sub-group analysis, improvement in ALP was consistent and substantial, with 20-30% improvement over 12-24 weeks of treatment.

 

10

 

Figure 4. Improvement in Cholestasis1: All Patients

 

 

 

1Protara Therapeutics re-analysis of patient CRF’s, data on file
*mixed model for repeated measurement (“MMRM”) method used for imputation

ǂA placebo subject was excluded from all analyses due to likely IV contrast-induced imaging abnormalities, confirmed by independent radiologist in subsequent re-analysis.

 

Preclinical Development:

 

Table 1. Preclinical Studies Conducted by us for IV Choline Chloride

 

Study Type  Brief Description
In vitro protein binding Evaluation of Protein Binding by Choline Chloride in Plasma Using Rapid Equilibrium Dialysis
In vitro cardiac ion channel study In Vitro Assessment of the Effect of Choline on Currents Mediated by hERG, Cav1.2, and Peak and Late Nav1.5 Channels Expressed in Human Embryonic Kidney (HEK) Cells
In vitro drug-drug interaction Evaluation of Transporter Inhibition by Choline Chloride in Transporter-Transfected HEK293 Cells
  Evaluation of OCT2, MATE1 and MATE2-K Inhibition by Choline Chloride in Transporter-Transfected HEK293 Cells
  Evaluation of Transporter Inhibition by Choline Chloride in Caco-2 Cells
  Evaluation of Time Dependent Cytochrome P450 Inhibition (IC50 Shift) by Choline Chloride in Human Liver Microsomes
  Evaluation of Direct Cytochrome P450 Inhibition by Choline Chloride in Human Liver Microsomes
  Evaluation of Cytochrome P450 Induction by Choline Chloride in Human Hepatocytes
  Evaluation of Transporter Inhibition by Choline Chloride in Caco-2 Cells
  Evaluating of Cytochrome P450 2C8, 2C9, and 2C19 mRNA Induction by Choline Chloride in Human Hepatocytes
In vitro BSEP inhibition Assessment of Choline as an Inhibitor of Human BSEP Mediated Transport
  Assessment of Choline as a Substrate of Human BSEP Mediated Transport
Nonclinical pharmacology studies Non-GLP Pilot Single Dose, Escalating Dose Tolerance Study of Choline by Intravenous Infusion in Male Beagle Dogs
  GLP Single-dose IV Cardiovascular Study in Surgically Instrumented Male Dogs Monitored by Telemetry
  GLP Combined Single-dose IV Neurobehavioral and Respiratory Study

 

11

 

Clinical Development Plan:

 

We have reached agreement with FDA on a number of key aspects of the overall clinical program necessary for registration, including a Phase 1 pharmacokinetic study and a Phase 3 study. We are currently undertaking a prevalence study in partnership with a large home health organization in the United States to enhance understanding of the PN patient population, and plans to use this information to determine the appropriate next steps for the development program.

 

Manufacturing Plans:

 

We have manufactured sufficient amounts of GMP drug substance and drug product to initiate the planned clinical trials. Scale up for commercial demand is ready and will commence when appropriate. Our end-to-end manufacturing of IV Choline Chloride is conducted in the United States by a GMP-compliant CDMO.

 

Vonapanitase

 

As a result of the Merger, we acquired the product candidate, vonapanitase, a recombinant human elastase that we previously pursued development for the improvement of vascular access outcomes in patients with chronic kidney disease, undergoing or preparing for hemodialysis, and as a treatment for patients with symptomatic peripheral artery disease. We are reviewing the research, preclinical and clinical data of vonapanitase and has not yet determined whether to pursue any further development of this product candidate in the future.

 

Collaborations and License Agreements

 

Chugai Agreement

 

On June 17, 2019, we entered into an agreement (the “Chugai Agreement”) with Chugai Pharmaceutical, a company organized and existing under the laws of Japan. Chugai Pharmaceutical has developed and commercialized a therapeutic product, OK-432 (Existing Product), in Japan and Taiwan (the “Chugai Territory”), and owns and controls certain materials and documents related to the Existing Product (the “Chugai Materials”). Pursuant to the Chugai Agreement, Chugai Pharmaceutical will provide us with certain materials and documents relating to the Existing Product and will provide certain technical services to us for our development and commercialization in territories other than the Chugai Territory (the “Protara Territory”) of a new therapeutic product (the “New Product” or “TARA-002”) comparable to the Existing Product beginning on the effective date of the Chugai Agreement and ending on June 30, 2020, or any other date to be agreed to by the parties (the “Chugai Service Period”), Chugai Pharmaceutical will exclusively provide the Existing Product and Chugai Materials to us and will not provide the Existing Product or Chugai Materials to any third parties during the Chugai Service Period, other than for medical, compassionate use and/or non-commercial research purposes. Additionally, beginning on the effective date of the Chugai Agreement and ending on the fifth anniversary of such date or upon the termination of the Chugai Agreement, whichever comes earlier, Chugai Pharmaceutical shall not provide Chugai Materials or technical support to any third party for the purpose of development and commercialization in the Protara Territory of a therapeutic product comparable to the Existing Product. We are responsible, at our sole cost and expense, for the development and commercialization of the New Product in the Protara Territory.

 

On July 14, 2020, we entered into an amended agreement with Chugai Pharmaceutical (the “Amended Chugai Agreement”) with an effective date as of June 30, 2020. The Chugai Amendment extended the date through which Chugai will exclusively provide the Existing Product and materials to us from June 30, 2020 to June 30, 2021, extended the date through which Chugai will not provide materials or technical support to any third party for the purpose of development and commercialization in a given area from the fifth anniversary to the eleventh anniversary of the original effective date (extended to June 17, 2030) and provides that, in addition to the designated fee provided upon the initial indication approval in the Chugai Pharmaceutical Agreement, we will pay Chugai a designated fee for each additional indication approval.

 

As consideration for Chugai Pharmaceutical’s performance under the Chugai Agreement, we agreed to pay Chugai Pharmaceutical a payment in the low, single-digit millions, which payments shall be made in two installments with an initial payment in July 2020, and the remaining majority of the payment payable upon FDA approval of the New Product.

 

We granted Chugai Pharmaceutical a right of first refusal on terms to be negotiated between the parties for a license related to the New Product-relevant information, data and documentation and inventions to develop and commercialize the New Product in the Chugai Territory. We will be responsible for manufacturing and supplying or causing our CDMO to manufacture and supply the New Product to Chugai Pharmaceutical.

 

The Chugai Agreement shall remain in full force and effect until the first anniversary of the date of FDA approval of the New Product, unless terminated sooner (the “Chugai Term”). Following the Chugai Service Period and during the Chugai Term, Chugai Pharmaceutical may terminate the Chugai Agreement, in whole or in part, without cause, by providing us 90 days prior written notice. Following such termination, we would maintain exclusive access to Chugai Materials, subject to the termination clauses outlined below. We may terminate the Chugai Agreement, in whole only, by providing Chugai Pharmaceutical 90 days prior written notice if (i) we decide to discontinue the New Product development; (ii) we decide that the FDA’s requirements for the New Product are not likely to be met; or (iii) the FDA identifies a safety issue regarding the New Product.

 

12

 

In addition, either party may terminate the Chugai Agreement, in whole or in part, in the event that the other party materially breaches the Chugai Agreement and fails to cure the breach within 30 days of written notice. Either party may terminate the Chugai Agreement in its entirety immediately upon notice to the other party if such other party: (i) is dissolved or liquidated or takes any corporate action for such purpose; (ii) becomes insolvent or is generally unable to pay, or fails to pay, its debts as they become due; (iii) files or has filed against it a petition for voluntary or involuntary bankruptcy or otherwise becomes subject to any proceeding under any domestic or foreign bankruptcy or insolvency laws; (iv) makes or seeks to make a general assignment for the benefit of creditors; or (v) applies for or has a receiver, trustee, custodian or similar agent appointed by order of any court to take charge of or sell any material portion of its property or business.

 

In the event that we undergo a change of control, Chugai Pharmaceutical may terminate the Chugai Agreement upon 90 days written notice to us, absent a written pledge by the new controlling party of its agreement to fulfill and undertake all obligations of ours and to be bound by the Chugai Agreement.

 

Sponsored Research and License Agreement

 

On November 28, 2018, we entered into a sponsored research and license agreement (the “Research Agreement”) with The University of Iowa (the “University”), pursuant to which the University will provide access to certain program data related to Chugai Pharmaceutical’s OK-432 and will assist us in conducting certain clinical studies. As consideration for the University’s performance under the Research Agreement, we will pay the University $30,000 per year in funding for the project, taking into consideration the time spent by University employees required for the Project. The parties also agree to discuss in good faith potential additional funding required for completion of the project pursuant to the Research Agreement as applicable and necessary. In addition, within 45 days of approval of the TARA-002 BLA by the FDA, we will pay a one-time approval milestone to the University, the amount of which depends on the usefulness of the program data in TARA-002’s BLA filing, and the milestone amount will range from $0 to $1 million. We will also be responsible for certain tiered royalties on annual net sales of products for the indication, which royalty rates are in the low single digit percentages. These royalty rates are also subject to a reduction in the event that regulatory authorities determine that the program data is not sufficient for regulatory approval on its own and additional pediatric efficacy and safety clinical studies are required. In the event that the annual net sales surpass certain dollar amount thresholds, we will need to make certain additional milestone payments following the close of the calendar quarter in which each milestone is reached, with the payments ranging from $62,500 to $125,000.

 

We may terminate the Research Agreement upon 30 days prior written notice to the University. Either party may terminate the project under the Research Agreement and all commitments and obligations with respect thereto upon 30 days prior written notice to the other party. In the event of any termination of the project under the Research Agreement by the University, (a) the University agrees to complete certain phases of the project and (b) we will continue to provide annual funding until the completion of the second phase of the project. Upon termination of the project by us, the Agreement will terminate and we will reassign to the University the IND.

 

Choline License Agreement

 

On September 27, 2017, we entered into a choline license agreement (the “Choline Agreement”) with Alan L. Buchman, M.D., pursuant to which Dr. Buchman granted us an exclusive, worldwide, non-transferable license in and to certain licensed orphan designations, certain licensed IND, certain existing study data and to certain licensed know-how to develop, make, use, sell, offer for sale and import the licensed product during the term of the Choline Agreement. We are solely responsible for all fees and expenses related to the undertaking of the Choline Agreement, including all due diligence obligations, regulatory authority fees, attorney fees and consulting fees. During the term of the Choline Agreement, Dr. Buchman may not work with any third parties on any product competing with the licensed product. In consideration for the rights and licenses granted under the Agreement, we made an initial upfront payment of $50,000 payable to Dr. Buchman.

 

We will also owe Dr. Buchman certain milestone and royalty payments. Pursuant to the Choline Agreement, we paid Dr. Buchman $50,000 in October 2019 because we had not received at least $5 million in working capital from any source or in any manner as of October 15, 2019. Also, we paid Dr. Buchman an additional $550,000 upon the closing of the Private Placements following the consummation of the Merger because we received at least $5 million in working capital.

 

Regardless of whether development or commercialization is undertaken by us under the Choline Agreement, commencing on November 21, 2022 and during the term of the Choline Agreement, we shall pay Dr. Buchman a minimum annual royalty that ranges between $25,000 and $75,000.

 

13

 

We owe Dr. Buchman sales royalties based on aggregate net sales of IV Choline Chloride in each calendar quarter, with the royalty rates ranging from 5.0% to 10.5% based on the amount of net sales. In the event of development or commercialization activity by any sublicensees, we also agreed to pay Dr. Buchman a royalty in the mid-single digit percentage of (i) net cash receipts after payment of taxes received by us from sublicensees for their sales of licensed products and (ii) any other consideration received by us from such sublicensees; in each case, including a fair monetary value for any transaction that is not a bona fide arms-length transaction or that is for consideration other than monetary. Further, in the event of a sale or transfer of a priority review voucher regarding the license product, regardless of whether any development or commercialization activity is undertaken by us or our sublicensees, we agreed to pay Dr. Buchman a milestone payment representing the mid-single digit percentage of (i) net cash receipts after payment of taxes and (ii) any other consideration; in each case, received by us, our affiliates, or our sublicensees, including a fair monetary value for any transaction that is not a bona fide arms-length transaction or that is for consideration other than monetary.

 

We shall also pay Dr. Buchman up to an aggregate of up to $775,000 in additional milestone payments upon the achievement of various regulatory approval milestones.

 

The Choline Agreement will remain in full force and effect until the last sale of the licensed product under the Choline Agreement. After we received the FDA’s written minutes regarding its initial FDA meeting concerning the development of the first licensed product for one or more of the licensed indications, we paid an additional payment of $100,000 to Dr. Buchman and elected not terminate the Choline Agreement. The Choline Agreement may be terminated by Dr. Buchman if, following regulatory approval of a licensed product, we have not made our first sale of a licensed product within such country within a specified time period. We may terminate the Choline Agreement for convenience upon 90 days prior written notice to Dr. Buchman. Dr. Buchman may terminate the Choline Agreement effective immediately for non-payment of any payment due that has not been cured. Either party may terminate the Choline Agreement effective immediately if the other party is in material breach and has not cured such breach within 60 days’ notice. In addition, Dr. Buchman may terminate the Choline Agreement effective immediately upon 60 days prior written notice if (a) we cease or threaten to cease to carry on its business; (b) a petition or resolution for the making of an administration order or for the bankruptcy, winding-up or dissolution of us is presented or passed; (c) we file a voluntary petition in bankruptcy or insolvency; (d) a receiver or administrator takes possession of our assets or (e) any similar procedure is commenced against us in the United States.

License Agreement

 

On December 22, 2017, we entered into a license agreement (the “License Agreement”) with The Feinstein Institute for Medical Research, a not-for-profit corporation organized and existing under the laws of New York (the “Institute”). The Institute owns, by assignment, a U.S. patent related to the treatment of fatty liver disease in humans. Pursuant to the License Agreement, the Institute granted us an exclusive, worldwide license, with the right to grant sublicenses to non-affiliate third parties, to develop, make, have made, use, sell, offer for sale and import certain products for use in the field of fatty liver disease in humans receiving total parenteral nutrition, by administering, as monotherapy, a pharmaceutical composition comprising intravenous choline, wherein the fatty liver disease is selected from IFALD, non-alcoholic fatty liver, non-alcoholic steatohepatitis (“NASH”), NASH-associated liver fibrosis, or non-alcoholic cirrhosis. Notwithstanding the exclusive rights granted to us, the Institute shall retain the right to make, use and practice such patents in its own laboratories solely for non-commercial scientific purposes and for continued non-commercial research.

 

As consideration for the license grant, we agreed to pay the Institute tiered royalties of between 1.0% and 1.5% of all net sales. In addition, we agreed to pay the Institute a low double digit percentage of net proceeds resulting from agreements entered into within two years from the effective date of the License Agreement and a mid-single digit percentage of net proceeds resulting from agreements entered into thereafter. We also agreed to make certain license maintenance payments of $15,000 beginning on the second anniversary of the effective date of the License Agreement and continuing upon every anniversary thereafter until the first commercial sale of a licensed product. Beginning on the first anniversary of the effective date of the License Agreement after the first commercial sale of a licensed product and every anniversary of the effective date of the License Agreement thereafter, we shall pay the Institute $30,000 as a license maintenance fee. Such license maintenance fees are non-refundable but are creditable against future royalty payments due to the Institute during the 12-month period following each such anniversary.

 

We agreed to make certain one-time milestone payments in the aggregate amount of $375,000 upon the achievement of certain regulatory approval milestones, of which $100,000 was paid on January 28, 2020 upon us having consummated the Private Placements.

 

Unless terminated earlier, the License Agreement will expire upon the expiration of the last to expire patent under the License Agreement. We may terminate the License Agreement by giving the Institute 60 days prior notice. Either party may terminate the License Agreement in the event of a default or breach by the other party that has not been cured within 60 days of such notice. If we (i) make an assignment for the benefit of creditors or if proceedings for a voluntary bankruptcy are instituted on behalf of us; (ii) is declared bankrupt or insolvent or (iii) is convicted of a felony relating to the manufacture, use or sale of the licensed products or a felony relating to moral turpitude, the Institute may terminate the License Agreement.

 

14

 

Intellectual Property

 

Our intellectual property is critical to our business and we strive to protect it, including by obtaining and maintaining patent protection in the U.S. and internationally for our product candidates, novel biological discoveries, epitopes, new therapeutic approaches and potential indications, and other inventions that are important to our business. Throughout the development of our product candidates, we will seek to identify additional means of obtaining patent protection that would potentially enhance commercial success.

 

The patent positions of biotechnology companies like us are generally uncertain and involve complex legal, scientific and factual questions. We recognize that the ability to obtain patent protection and the degree of such protection depends on a number of factors, including the extent of the prior art, the novelty and non-obviousness of the invention, and the ability to satisfy the enablement requirement of the patent laws. In addition, the coverage claimed in a patent application can be significantly reduced before the patent is issued, and its scope can be reinterpreted after issuance. Consequently, we may not obtain or maintain adequate patent protection for any of our product candidates. Any patents that we hold may be challenged, circumvented or invalidated by third parties.

 

Our commercial success will also depend in part on not infringing the proprietary rights of third parties. In addition, we have licensed rights under proprietary technologies of third parties to develop, manufacture and commercialize specific aspects of our products and services. It is uncertain whether the issuance of any third-party patent would require us to alter our development or commercial strategies, alter our processes, obtain licenses or cease certain activities. The expiration of patents or patent applications licensed from third parties or our breach of any license agreements or failure to obtain a license to proprietary rights that it may require to develop or commercialize our future technology may have a material adverse impact on it. If third parties prepare and file patent applications in the United States that also claim technology to which we have rights, we may have to participate in interference proceedings in the United States Patent and Trademark Office (the “USPTO”) to determine priority of invention. For a more comprehensive discussion of the risks related to our intellectual property, please see “Risk Factors—Risks Related to Our Intellectual Property.

 

TARA-002:

 

TARA-002 is a genetically distinct Su strain of Streptococcus pyogenes (group A, type 3). TARA-002 is produced through a proprietary manufacturing process. We believe a significant barrier to entry exists, as it believes only Chugai Pharmaceutical and us have the specific strain and possess the know-how to manufacture the product. We anticipate that, if approved by the FDA, TARA-002 will be protected by 12 years of biologic exclusivity.

 

IV Choline Chloride:

 

With respect to IV Choline Chloride, we have acquired an exclusive, worldwide license to U.S. Patent 8,865,641 B2 from the Feinstein Institute for Medical Research providing protection in the United States until 2035. The patent applies to a method of treating a fatty liver disease in a subject. In particular, the method comprises administering to the subject an effective amount of a cholinergic pathway stimulating agent, wherein the fatty liver disease is selected from non-alcoholic fatty liver (NAFL), alcoholic fatty liver (AFL), non-alcoholic steatohepatitis (NASH), alcoholic steatohepatitis (ASH), NASH-associated liver fibrosis, ASH-associated liver fibrosis, non-alcoholic cirrhosis and alcoholic cirrhosis.

 

The term of individual patents depends upon the legal term of the patents in the countries in which they are obtained. In most countries in which we may file, the patent term is 20 years from the earliest date of filing a non-provisional patent application related to the patent. A U.S. patent also may be accorded a patent term adjustment under certain circumstances to compensate for delays in obtaining the patent from the USPTO. In some instances, such a patent term adjustment may result in a U.S. patent term extending beyond 20 years from the earliest date of filing a non-provisional patent application related to the U.S. patent. In addition, in the United States, the term of a U.S. patent that covers an FDA-approved drug may also be eligible for patent term extension, which permits patent term restoration as compensation for the patent term lost during the FDA regulatory review process. The Hatch-Waxman Act permits a patent term extension of up to five years beyond the expiration of the patent. The length of the patent term extension is related to the length of time the drug is under regulatory review. Patent term extension cannot extend the remaining term of a patent beyond a total of 14 years from the date of product approval and only one patent applicable to an approved drug may be extended. Similar provisions are available in Europe and other foreign jurisdictions to extend the term of a patent that covers an approved drug. In the future, if and when our products receive FDA approval, we expect to apply for patent term extensions on patents covering certain of those products, when applicable.

 

We also rely on trade secrets relating to product candidates and seek to protect and maintain the confidentiality of proprietary information to protect aspects of our business that are not amenable to, or that we do not consider appropriate for, patent protection. Although we take steps to protect our proprietary information and trade secrets, including through contractual means with our employees and consultants, third parties may independently develop substantially equivalent proprietary information and techniques or otherwise gain access to our trade secrets, including through breaches of such agreements with our employees and consultants. Thus, we may not be able to meaningfully protect our trade secrets. It is our policy to require our employees, consultants, outside scientific partners, sponsored researchers and other advisors to execute confidentiality agreements upon the commencement of employment or consulting relationships with us. These agreements provide that all confidential information concerning our business or financial affairs developed or made known to the individual during the course of the individual’s relationship with us is to be kept confidential and not disclosed to third parties except in specific circumstances. Our agreements with employees also provide that all inventions conceived by the employee in the course of employment with us or from the employee’s use of our confidential information are our exclusive property.

 

15

 

Manufacturing

 

We rely on contract development and manufacturing organizations (“CDMOs”) to produce our drug candidates in accordance with current Good Manufacturing Practices (“cGMP”), regulations for use in clinical trials and commercial product. The manufacture of pharmaceuticals is subject to extensive cGMP regulations, which impose various procedural and documentation requirements and govern all areas of record keeping, production processes and controls, personnel and quality control.

 

The CDMOs that we partner with have the capability to produce clinical supply required for clinical trials, as well as support commercial scale up activities for both products.

 

Both TARA-002 and Choline Chloride will be produced in the United States. The starting materials for TARA-002 were provided to us pursuant to an agreement with Chugai Pharmaceutical. The regulatory starting materials for Choline Chloride are available commercially.

 

Sales and Marketing

 

We plan to become a fully integrated biopharmaceutical company pursuing our mission of supporting and improving the lives of patients suffering from cancer and rare diseases.

 

If approved by the FDA, we plan to commercialize both of our current product candidates in the U.S. first and then move to other geographies. As we advance TARA-002 and IV Choline Chloride through our respective clinical development programs, we plan to grow our commercial organization in support of anticipated product launches.

 

Competition

 

The process for commercialization of new drugs is very competitive, and we could potentially face worldwide competition from other pharmaceutical companies, biotechnology companies and ultimately generic products. Our potential competitors may develop or market therapies that are more clinically effective, safer or less expensive than any therapeutic products we develop.

 

Government Regulation and Product Approval

 

The FDA and other regulatory authorities at federal, state, and local levels, as well as in foreign countries, extensively regulate, among other things, the research, development, testing, manufacture, quality control, import, export, safety, effectiveness, labeling, packaging, storage, distribution, record keeping, approval, advertising, promotion, marketing, post-approval monitoring, and post-approval reporting of drugs and biologics such as those we are developing. We, along with third-party contractors, will be required to navigate the various preclinical, clinical and commercial approval requirements of the governing regulatory agencies of the countries in which we wish to conduct studies or seek approval or licensure of our product candidates.

 

In the United States, the FDA regulates drugs under the Federal Food, Drug and Cosmetic Act (“FDCA”) and biologics additionally under the Public Health Services Act (“PHSA”) as well as their respective implementing regulations. The process required by the FDA before biopharmaceutical product candidates may be marketed in the United States generally involves the following:

 

 completion of preclinical laboratory tests and animal studies performed in accordance with the FDA’s current Good Laboratory Practices (“GLP”) regulations;

 

 submission to the FDA of an IND, which must become effective before clinical trials may begin and must be updated annually or when significant changes are made;

 

 approval by an independent Institutional Review Board (“IRB”) or ethics committee at each clinical site before the trial is commenced;

 

 performance of adequate and well-controlled human clinical trials to establish the safety and efficacy of a drug product candidate and the safety, purity and potency of the proposed biologic product candidate for its intended purpose;

 

 preparation of and submission to the FDA of an NDA or BLA after completion of all pivotal clinical trials that includes substantial evidence of safety, purity and potency or efficacy from results of nonclinical testing and clinical trials;

 

 a determination by the FDA within 60 days of its receipt of an NDA or BLA to file the application for review;

 

 satisfactory completion of an FDA Advisory Committee review, if applicable;

 

 satisfactory completion of an FDA pre-approval inspection of the manufacturing facility or facilities at which the proposed product is produced to assess compliance with cGMP, and of selected clinical investigation sites to assess compliance with Good Clinical Practices (“GCP”); and

 

 FDA review and approval, or licensure, of the NDA or BLA to permit commercial marketing of the product for particular indications for use in the United States.

 

16

 

Preclinical and Clinical Development

 

Prior to beginning the first clinical trial with a product candidate, we must submit an IND to the FDA. An IND is a request for authorization from the FDA to administer an investigational new drug product to humans. The central focus of an IND submission is on the general investigational plan and the protocol(s) for clinical trials. The IND also includes results of animal and in vitro studies assessing the toxicology, pharmacokinetics, pharmacology, and pharmacodynamic characteristics of the product candidate; chemistry, manufacturing, and controls information; and any available human data or literature to support the use of the investigational product. An IND must become effective before human clinical trials may begin. The IND automatically becomes effective 30 days after receipt by the FDA, unless the FDA, within the 30-day time period, raises safety concerns or questions about the proposed clinical trial. In such a case, the IND may be placed on clinical hold and the IND sponsor and the FDA must resolve any outstanding concerns or questions before the clinical trial can begin. Submission of an IND therefore may or may not result in FDA authorization to begin a clinical trial.

 

Clinical trials involve the administration of the investigational product to human subjects under the supervision of qualified investigators in accordance with GCPs, which include the requirement that all research subjects provide their informed consent for their participation in any clinical trial. Clinical trials are conducted under protocols detailing, among other things, the objectives of the trial, the parameters to be used in monitoring safety and the effectiveness criteria to be evaluated. A separate submission to the existing IND must be made for each successive clinical trial conducted during product development and for any subsequent protocol amendments. Furthermore, an independent IRB for each site proposing to conduct the clinical trial must review and approve the plan for any clinical trial and its informed consent form before the clinical trial begins at that site, and must monitor the trial until completed. Regulatory authorities, the IRB or the sponsor may suspend a clinical trial at any time on various grounds, including a finding that the subjects are being exposed to an unacceptable health risk or that the trial is unlikely to meet its stated objectives. Some studies also include oversight by an independent group of qualified experts organized by the clinical trial sponsor, known as a data safety monitoring board, which provides authorization for whether or not a trial may move forward at designated check points based on access to certain data from the trial and may halt the clinical trial if it determines that there is an unacceptable safety risk for subjects or other grounds, such as no demonstration of efficacy. There are also requirements governing the reporting of ongoing clinical trials and clinical trial results to public registries.

 

Human clinical trials are typically conducted in three sequential phases that may overlap.

 

 Phase 1—The investigational product is initially introduced into healthy human subjects or patients with the target disease or condition. These trials are designed to test the safety, dosage tolerance, absorption, metabolism, distribution and elimination of the investigational product in humans, the side effects associated with increasing doses, and, if possible, to gain early evidence on effectiveness.

 

 Phase 2—The investigational product is administered to a limited patient population with a specified disease or condition to evaluate the preliminary efficacy, optimal dosages and dosing schedule and to identify possible adverse side effects and safety risks. Multiple Phase 2 clinical trials may be conducted to obtain information prior to beginning larger and more expensive Phase 3 clinical trials.

 

 Phase 3—The investigational product is administered to an expanded patient population to further evaluate dosage, to provide statistically significant evidence of clinical efficacy and to further test for safety, generally at multiple geographically dispersed clinical trial sites. These clinical trials are intended to establish the overall risk/benefit ratio of the investigational product and to provide an adequate basis for product approval.

 

In some cases, the FDA may require, or companies may voluntarily pursue, additional clinical trials after a product is approved to gain more information about the product. These so- called Phase 4 trials may be made a condition to approval of the NDA or BLA. Concurrent with clinical trials, companies may complete additional animal studies and develop additional information about the biological characteristics of the product candidate, and must finalize a process for manufacturing the product in commercial quantities in accordance with cGMP requirements. The manufacturing process must be capable of consistently producing quality batches of the product candidate and, among other things, must develop methods for testing the identity, strength, quality and purity of the final product, or for biologics, the safety, purity and potency. Additionally, appropriate packaging must be selected and tested and stability studies must be conducted to demonstrate that the product candidate does not undergo unacceptable deterioration over its shelf life.

 

17

 

Application Submission, Review and Approval

 

Assuming successful completion of all required testing in accordance with all applicable regulatory requirements, the results of product development, nonclinical studies and clinical trials are submitted to the FDA as part of an NDA or BLA requesting approval to market the product for one or more indications. The NDA or BLA must include all relevant data available from pertinent preclinical and clinical trials, including negative or ambiguous results as well as positive findings, together with detailed information relating to the product’s chemistry, manufacturing, controls, and proposed labeling, among other things. The submission of an NDA or BLA requires payment of a substantial application user fee to FDA, unless a waiver or exemption applies.

 

Once an NDA or BLA has been submitted, the FDA’s goal is to review standard applications within ten months after it accepts the application for filing, or, if the application qualifies for priority review, six months after the FDA accepts the application for filing. In both standard and priority reviews, the review process is often significantly extended by FDA requests for additional information or clarification. The FDA reviews the application to determine, among other things, whether a product is safe, pure and potent and the facility in which it is manufactured, processed, packed, or held meets standards designed to assure the product’s continued safety, purity and potency. The FDA may convene an advisory committee to provide clinical insight on application review questions. Before approving an NDA or BLA, the FDA will typically inspect the facility or facilities where the product is manufactured. The FDA will not approve an application unless it determines that the manufacturing processes and facilities are in compliance with cGMP requirements and adequate to assure consistent production of the product within required specifications. Additionally, before approving an NDA or BLA, the FDA will typically inspect one or more clinical sites to assure compliance with GCP. If the FDA determines that the application, manufacturing process or manufacturing facilities are not acceptable, it will outline the deficiencies in the submission and often will request additional testing or information. Notwithstanding the submission of any requested additional information, the FDA ultimately may decide that the application does not satisfy the regulatory criteria for approval.

 

The FDA may issue an approval letter or a Complete Response letter. An approval letter authorizes commercial marketing of the product with specific prescribing information for specific indications. A Complete Response letter will describe all of the deficiencies that the FDA has identified in the NDA or BLA. In issuing the Complete Response letter, the FDA may recommend actions that the applicant might take to place the application in condition for approval, including requests for additional information or clarification. The FDA may delay or refuse approval of an application if applicable regulatory criteria are not satisfied, require additional testing or information and/or require post-marketing testing and surveillance to monitor safety or efficacy of a product.

 

If regulatory approval of a product is granted, such approval will be granted for particular indications and may entail limitations on the indicated uses for which such product may be marketed. For example, the FDA may impose a Risk Evaluation and Mitigation Strategy (REMS), to ensure the benefits of the product outweigh its risks. A REMS is a safety strategy to manage a known or potential serious risk associated with a product and to enable patients to have continued access to such medicines by managing their safe use, and could include medication guides, physician communication plans, or elements to assure safe use, such as restricted distribution methods, patient registries and other risk minimization tools. The FDA also may condition approval on, among other things, changes to proposed labeling or the development of adequate controls and specifications. Once approved, the FDA may withdraw the product approval if compliance with pre- and post-marketing requirements is not maintained or if problems occur after the product reaches the marketplace. The FDA may require one or more Phase 4 post-market trials and surveillance to further assess and monitor the product’s safety and effectiveness after commercialization, and may limit further marketing of the product based on the results of these post-marketing trials.

 

Orphan Drug Designation

 

Under the Orphan Drug Act, the FDA may grant orphan designation to a drug or biologic intended to treat a rare disease or condition, which is a disease or condition that affects fewer than 200,000 individuals in the United States, or more than 200,000 individuals in the United States for which there is no reasonable expectation that the cost of developing and making available in the United States a drug or biologic for this type of disease or condition will be recovered from sales in the United States for that drug or biologic. Orphan designation must be requested before submitting an NDA or BLA. After the FDA grants orphan designation, the generic identity of the therapeutic agent and its potential orphan use are disclosed publicly by the FDA. The orphan drug designation does not convey any advantage in, or shorten the duration of, the regulatory review or approval process.

 

18

 

If a product that has orphan designation subsequently receives the first FDA approval for the disease for which it has such designation, the product is entitled to orphan exclusivity, which means that the FDA may not approve any other applications, including a full NDA or BLA, to market the same product for the same indication for seven years, except in limited circumstances, such as a showing of clinical superiority to the product with orphan drug exclusivity. Orphan exclusivity does not prevent FDA from approving a different drug or biologic for the same disease or condition, or the same drug or biologic for a different disease or condition. Among the other benefits of orphan drug designation are tax credits for certain research and a waiver of the BLA application fee.

 

A designated orphan product may not receive orphan exclusivity if it is approved for a use that is broader than the indication for which it received orphan designation. In addition, exclusive marketing rights in the United States may be lost if the FDA later determines that the request for designation was materially defective or if the manufacturer is unable to assure sufficient quantities of the product to meet the needs of patients with the rare disease or condition.

 

The FDA incentivizes the development of drugs and biologics that meet the definition of a “rare pediatric disease,” defined to mean a serious or life-threatening disease in which the serious of life-threatening manifestations primarily affect individuals aged from birth to 18 years and the disease affects fewer than 200,000 individuals in the United States or affects 200,000 or more in the United States and for which there is no reasonable expectation that the cost of developing and making in the United States a drug for such disease or condition will be received from sales in the United States of such drug. The sponsor of a product candidate for a rare pediatric disease may be eligible for a voucher that can be used to obtain a priority review for a subsequent human drug or biologic application after the date of approval of the rare pediatric disease drug product, referred to as a priority review voucher, or PRV. A rare pediatric disease designation does not guarantee that a sponsor will receive a PRV upon approval of its NDA or BLA. If a PRV is received, it may be sold or transferred an unlimited number of times. Congress has extended the PRV program until September 30, 2024, with the potential for PRVs to be granted until September 30, 2026.

 

Post-Approval Requirements

 

Any products manufactured or distributed pursuant to FDA approvals are subject to pervasive and continuing regulation by the FDA, including, among other things, requirements relating to quality control and quality assurance, record-keeping, reporting of adverse experiences, periodic reporting, product sampling and distribution, and advertising and promotion of the product. After approval, most changes to the approved product, such as adding new indications or other labeling claims, are subject to prior FDA review and approval. There also are continuing user fee requirements, under which FDA assesses an annual program fee for each product identified in an approved NDA or BLA. Biopharmaceutical manufacturers and their subcontractors are required to register their establishments with the FDA and certain state agencies, and are subject to periodic unannounced inspections by the FDA and certain state agencies for compliance with cGMP, which impose certain procedural and documentation requirements upon sponsors and their third-party manufacturers. Changes to the manufacturing process are strictly regulated, and, depending on the significance of the change, may require prior FDA approval before being implemented. FDA regulations also require investigation and correction of any deviations from cGMP and impose reporting requirements upon sponsor and third-party manufacturers. Accordingly, manufacturers must continue to expend time, money and effort in the area of production and quality control to maintain compliance with cGMP and other aspects of regulatory compliance.

 

The FDA may withdraw approval if compliance with regulatory requirements and standards is not maintained or if problems occur after the product reaches the market. Later discovery of previously unknown problems with a product, including adverse events of unanticipated severity or frequency, or with manufacturing processes, or failure to comply with regulatory requirements, may result in revisions to the approved labeling to add new safety information; imposition of post-market studies or clinical trials to assess new safety risks; or imposition of distribution restrictions or other restrictions under a REMS program. Other potential consequences include, among other things:

 

 restrictions on the marketing or manufacturing of a product, mandated modification of promotional materials or issuance of corrective information, issuance by FDA or other regulatory authorities of safety alerts, Dear Healthcare Provider letters, press releases or other communications containing warnings or other safety information about the product, or complete withdrawal of the product from the market or product recalls;

 

 fines, warning or untitled letters or holds on post-approval clinical trials;

 

 refusal of the FDA to approve pending applications or supplements to approved applications, or suspension or revocation of existing product approvals;

 

 product seizure or detention, or refusal of the FDA to permit the import or export of products; or

 

 injunctions, consent decrees or the imposition of civil or criminal penalties.

 

19

 

The FDA closely regulates the marketing, labeling, advertising and promotion of biopharmaceuticals. A company can make only those claims relating to safety and efficacy, purity and potency of a biopharmaceutical that are approved by the FDA and in accordance with the provisions of the approved label. The FDA and other agencies actively enforce the laws and regulations prohibiting the promotion of off-label uses. Failure to comply with these requirements can result in, among other things, adverse publicity, warning letters, corrective advertising and potential civil and criminal penalties. Physicians may prescribe legally available products for uses that are not described in the product’s labeling and that differ from those approved by the FDA. Such off-label uses are common across medical specialties. Physicians may believe that such off-label uses are the best treatment for many patients in varied circumstances. The FDA does not regulate the behavior of physicians in their choice of treatments. The FDA does, however, restrict manufacturer’s communications on the subject of off-label use of their products.

 

Biosimilars and Reference Product Exclusivity

 

The Patient Protection and Affordable Care Act, as amended by the Health Care and Education Reconciliation Act (ACA), signed into law in 2010, includes a subtitle called the Biologics Price Competition and Innovation Act of 2009 (BPCIA), which created an abbreviated approval pathway for biological products that are biosimilar to or interchangeable with an FDA-approved reference biological product. To date, a number of biosimilars have been licensed under the BPCIA, and numerous biosimilars have been approved in Europe. The FDA has issued several guidance documents outlining its approach to the review and approval of biosimilars.

 

Biosimilarity, which requires that there be no clinically meaningful differences between the biological product and the reference product in terms of safety, purity, and potency, can be shown through analytical studies, animal studies, and a clinical trial or trials. Interchangeability requires that a product is biosimilar to the reference product and the product must demonstrate that it can be expected to produce the same clinical results as the reference product in any given patient and, for products that are administered multiple times to an individual, the biologic and the reference biologic may be alternated or switched after one has been previously administered without increasing safety risks or risks of diminished efficacy relative to exclusive use of the reference biologic. Complexities associated with the larger, and often more complex, structures of biological products, as well as the processes by which such products are manufactured, pose significant hurdles to implementation of the abbreviated approval pathway that are still being worked out by the FDA.

 

Under the BPCIA, an application for a biosimilar product may not be submitted to the FDA until four years following the date that the reference product was first licensed by the FDA. In addition, the approval of a biosimilar product may not be made effective by the FDA until 12 years from the date on which the reference product was first licensed. During this 12-year period of exclusivity, another company may still market a competing version of the reference product if the FDA approves a full BLA for the competing product containing that applicant’s own preclinical data and data from adequate and well-controlled clinical trials to demonstrate the safety, purity and potency of its product. The BPCIA also created certain exclusivity periods for biosimilars approved as interchangeable products. At this juncture, it is unclear whether products deemed “interchangeable” by the FDA will, in fact, be readily substituted by pharmacies, which are governed by state pharmacy law.

 

The BPCIA is complex and continues to be interpreted and implemented by the FDA. In addition, recent government proposals have sought to reduce the 12-year reference product exclusivity period. Other aspects of the BPCIA, some of which may impact the BPCIA exclusivity provisions, have also been the subject of recent litigation. As a result, the ultimate impact, implementation, and impact of the BPCIA is subject to significant uncertainty.

 

Other U.S. Healthcare Laws and Compliance Requirements

 

In the United States, our current and future operations are subject to regulation by various federal, state and local authorities in addition to the FDA, including but not limited to, the Centers for Medicare &Medicaid Services (“CMS”), other divisions of the U.S. Department of Health and Human Services (“HHS”) (such as the Office of Inspector General, Office for Civil Rights and the Health Resources and Service Administration), the U.S. Department of Justice (“DOJ”) and individual U.S. Attorney offices within the DOJ, and state and local governments. For example, our clinical research, sales, marketing and scientific/educational grant programs will need to comply with the anti-fraud and abuse provisions of the Social Security Act, the false claims laws, the privacy and security provisions of the Health Insurance Portability and Accountability Act (“HIPAA”), and similar state laws, each as amended, as applicable.

 

The federal Anti-Kickback Statute prohibits, among other things, any person or entity, from knowingly and willfully offering, paying, soliciting or receiving any remuneration, directly or indirectly, overtly or covertly, in cash or in kind, to induce or in return for purchasing, leasing, ordering or arranging for the purchase, lease or order of any item or service reimbursable, in whole or in part, under Medicare, Medicaid or other federal healthcare programs. The term remuneration has been interpreted broadly to include anything of value. The Anti-Kickback Statute has been interpreted to apply to arrangements between therapeutic product manufacturers on one hand and prescribers, purchasers, and formulary managers on the other. There are a number of statutory exceptions and regulatory safe harbors protecting some common activities from prosecution. The exceptions and safe harbors are drawn narrowly and practices that involve remuneration that may be alleged to be intended to induce prescribing, purchasing or recommending may be subject to scrutiny if they do not qualify for an exception or safe harbor. Failure to meet all of the requirements of a particular applicable statutory exception or regulatory safe harbor does not make the conduct per se illegal under the Anti-Kickback Statute. Instead, the legality of the arrangement will be evaluated on a case-by-case basis based on a cumulative review of all of its facts and circumstances. Our practices may not in all cases meet all of the criteria for protection under a statutory exception or regulatory safe harbor.

 

20

 

Additionally, the intent standard under the Anti-Kickback Statute was amended by the Patient Protection and Affordable Care Act, as amended by the Health Care and Education Reconciliation Act of 2010 (the “Affordable Care Act”) to a stricter standard such that a person or entity no longer needs to have actual knowledge of the statute or specific intent to violate it in order to have committed a violation. In addition, the Affordable Care Act codified case law that a claim including items or services resulting from a violation of the federal Anti-Kickback Statute constitutes a false or fraudulent claim for purposes of the federal False Claims Act (the “FCA”) (discussed below).

 

The federal false claims, including the FCA, and civil monetary penalty laws, which imposes significant penalties and can be enforced by private citizens through civil qui tam actions, prohibit any person or entity from, among other things, knowingly presenting, or causing to be presented, a false or fraudulent claim for payment to, or approval by, the federal government, including federal healthcare programs, such as Medicare and Medicaid, knowingly making, using, or causing to be made or used a false record or statement material to a false or fraudulent claim to the federal government, or knowingly making a false statement to improperly avoid, decrease or conceal an obligation to pay money to the federal government. A claim includes “any request or demand” for money or property presented to the U.S. government. For instance, historically, pharmaceutical and other healthcare companies have been prosecuted under these laws for allegedly providing free product to customers with the expectation that the customers would bill federal programs for the product. Other companies have been prosecuted for causing false claims to be submitted because of the companies’ marketing of the product for unapproved, off-label, and thus generally non-reimbursable, uses.

 

HIPAA created additional federal criminal statutes that prohibit, among other things, knowingly and willfully executing, or attempting to execute, a scheme to defraud or to obtain, by means of false or fraudulent pretenses, representations or promises, any money or property owned by, or under the control or custody of, any healthcare benefit program, including private third-party payors, willfully obstructing a criminal investigation of a healthcare offense, and knowingly and willfully falsifying, concealing or covering up by trick, scheme or device, a material fact or making any materially false, fictitious or fraudulent statement in connection with the delivery of or payment for healthcare benefits, items or services. Like the Anti-Kickback Statute, the Affordable Care Act amended the intent standard for certain healthcare fraud statutes under HIPAA such that a person or entity no longer needs to have actual knowledge of the statute or specific intent to violate it in order to have committed a violation.

 

Also, many states have similar, and typically more prohibitive, fraud and abuse statutes or regulations that apply to items and services reimbursed under Medicaid and other state programs, or, in several states, apply regardless of the payor.

 

We may be subject to data privacy and security regulations by both the federal government and the states in which it conducts business. HIPAA, as amended by the Health Information Technology for Economic and Clinical Health Act (HITECH) and its implementing regulations, imposes requirements on “covered entities,” including certain healthcare providers, health plans, and healthcare clearinghouses, as well as their respective “business associates” that create, receive, maintain or transmit individually identifiable health information for or on behalf of a covered entity as well as their covered subcontractors relating to the privacy, security and transmission of individually identifiable health information. Among other things, HITECH makes HIPAA’s privacy and security standards directly applicable to business associates, independent contractors, or agents of covered entities that receive or obtain protected health information in connection with providing a service on behalf of a covered entity. HITECH also created four new tiers of civil monetary penalties, amended HIPAA to make civil and criminal penalties directly applicable to business associates, and gave state attorneys general new authority to file civil actions for damages or injunctions in federal courts to enforce HIPAA and seek attorneys’ fees and costs associated with pursuing federal civil actions. In addition, many state laws govern the privacy and security of health information in specified circumstances, many of which differ from each other in significant ways, are often not pre-empted by HIPAA, and may have a more prohibitive effect than HIPAA, thus complicating compliance efforts.

We may develop products that, once approved, may be administered by a physician. Under currently applicable U.S. law, certain products not usually self-administered (including injectable drugs) may be eligible for coverage under Medicare through Medicare Part B. Medicare Part B is part of original Medicare, the federal health care program that provides health care benefits to the aged and disabled, and covers outpatient services and supplies, including certain biopharmaceutical products, that are medically necessary to treat a beneficiary’s health condition. As a condition of receiving Medicare Part B reimbursement for a manufacturer’s eligible drugs, the manufacturer is required to participate in other government healthcare programs, including the Medicaid Drug Rebate Program and the 340B Drug Pricing Program. The Medicaid Drug Rebate Program requires pharmaceutical manufacturers to enter into and have in effect a national rebate agreement with the Secretary of HHS as a condition for states to receive federal matching funds for the manufacturer’s outpatient drugs furnished to Medicaid patients. Under the 340B Drug Pricing Program, the manufacturer must extend discounts to entities that participate in the program.

 

In addition, many pharmaceutical manufacturers must calculate and report certain price reporting metrics to the government, such as average sales price (“ASP”) and best price. Penalties may apply in some cases when such metrics are not submitted accurately and timely. Further, these prices for drugs may be reduced by mandatory discounts or rebates required by government healthcare programs or private payors and by any future relaxation of laws that presently restrict imports of drugs from countries where they may be sold at lower prices than in the United States. It is difficult to predict how Medicare coverage and reimbursement policies will be applied to our products in the future and coverage and reimbursement under different federal healthcare programs are not always consistent. Medicare reimbursement rates may also reflect budgetary constraints placed on the Medicare program.

 

21

 

Additionally, the federal Physician Payments Sunshine Act (the “Sunshine Act”), within the Affordable Care Act, and its implementing regulations, require that certain manufacturers of drugs, devices, biological and medical supplies for which payment is available under Medicare, Medicaid or the Children’s Health Insurance Program (with certain exceptions) report annually to CMS information related to certain payments or other transfers of value made or distributed to physicians (defined to include doctors, dentists, optometrists, podiatrists and chiropractors) and teaching hospitals, or to entities or individuals at the request of, or designated on behalf of, the physicians and teaching hospitals and to report annually certain ownership and investment interests held by physicians and their immediate family members. Beginning in 2022, applicable manufacturers also will be required to report such information regarding its relationships with physician assistants, nurse practitioners, clinical nurse specialists, anesthesiologist assistants, certified registered nurse anesthetists and certified nurse midwives during the previous year. Failure to report accurately could result in penalties. In addition, many states also govern the reporting of payments or other transfers of value, many of which differ from each other in significant ways, are often not pre-empted, and may have a more prohibitive effect than the Sunshine Act, thus further complicating compliance efforts.

 

In order to distribute products commercially, we must comply with state laws that require the registration of manufacturers and wholesale distributors of drug and biological products in a state, including, in certain states, manufacturers and distributors who ship products into the state even if such manufacturers or distributors have no place of business within the state. Some states also impose requirements on manufacturers and distributors to establish the pedigree of product in the chain of distribution, including some states that require manufacturers and others to adopt new technology capable of tracking and tracing product as it moves through the distribution chain. Several states and/or localities have enacted legislation requiring pharmaceutical and biotechnology companies to establish marketing compliance programs, file periodic reports with the state, make periodic public disclosures on sales, marketing, pricing, clinical trials and other activities, and/or register their sales representatives, as well as to prohibit pharmacies and other healthcare entities from providing certain physician prescribing data to pharmaceutical and biotechnology companies for use in sales and marketing, and to prohibit certain other sales and marketing practices. All of our activities are potentially subject to federal and state consumer protection and unfair competition laws.

 

Ensuring business arrangements with third parties comply with applicable healthcare laws and regulations is a costly endeavor. If our operations are found to be in violation of any of the federal and state healthcare laws described above or any other current or future governmental regulations that apply to it, it may be subject to penalties, including without limitation, significant civil, criminal and/or administrative penalties, damages, fines, disgorgement, imprisonment, exclusion from participation in government programs, such as Medicare and Medicaid, injunctions, private “qui tam” actions brought by individual whistleblowers in the name of the government, or refusal to allow it to enter into government contracts, contractual damages, reputational harm, administrative burdens, diminished profits and future earnings, additional reporting obligations and oversight if we become subject to a corporate integrity agreement or other agreement to resolve allegations of non-compliance with these laws, and the curtailment or restructuring of its operations, any of which could adversely affect our ability to operate our business and our results of operations.

 

Coverage, Pricing and Reimbursement

 

Significant uncertainty exists as to the coverage and reimbursement status of any product candidates for which we may obtain regulatory approval. In the United States and in foreign markets, sales of any products for which we receive regulatory approval for commercial sale will depend, in part, on the extent to which third-party payors provide coverage and establish adequate reimbursement levels for such products. In the United States, third-party payors include federal and state healthcare programs, private managed care providers, health insurers and other organizations. Adequate coverage and reimbursement from governmental healthcare programs, such as Medicare and Medicaid in the United States, and commercial payors are critical to new product acceptance.

 

Our ability to commercialize any products successfully also will depend in part on the extent to which coverage and reimbursement for these products and related treatments will be available from government health administration authorities, private health insurers and other organizations. Government authorities and other third-party payors, such as private health insurers and health maintenance organizations, decide which therapeutics they will pay for and establish reimbursement levels. Coverage and reimbursement by a third-party payor may depend upon a number of factors, including the third-party payor’s determination that use of a therapeutic is:

 

 a covered benefit under its health plan;

 

 safe, effective and medically necessary;

 

 appropriate for the specific patient;

 

 cost-effective; and

 

 neither experimental nor investigational.

 

22

 

We cannot be sure that reimbursement will be available for any product that it commercializes and, if coverage and reimbursement are available, what the level of reimbursement will be. Coverage may also be more limited than the purposes for which the product is approved by the FDA or comparable foreign regulatory authorities. Reimbursement may impact the demand for, or the price of, any product for which we obtain regulatory approval.

 

Third-party payors are increasingly challenging the price, examining the medical necessity, and reviewing the cost-effectiveness of medical products, therapies and services, in addition to questioning their safety and efficacy. Obtaining reimbursement for our products may be particularly difficult because of the higher prices often associated with branded drugs and drugs administered under the supervision of a physician. We may need to conduct expensive pharmacoeconomic studies in order to demonstrate the medical necessity and cost-effectiveness of our products, in addition to the costs required to obtain FDA approvals. Our product candidates may not be considered medically necessary or cost-effective. Obtaining coverage and reimbursement approval of a product from a government or other third-party payor is a time-consuming and costly process that could require us to provide to each payor supporting scientific, clinical and cost-effectiveness data for the use of our product on a payor-by-payor basis, with no assurance that coverage and adequate reimbursement will be obtained. A payor’s decision to provide coverage for a product does not imply that an adequate reimbursement rate will be approved. Further, one payor’s determination to provide coverage for a product does not assure that other payors will also provide coverage for the product. Adequate third-party reimbursement may not be available to enable us to maintain price levels sufficient to realize an appropriate return on our investment in product development. If reimbursement is not available or is available only at limited levels, we may not be able to successfully commercialize any product candidate that it successfully develops.

 

Different pricing and reimbursement schemes exist in other countries. In the European Union, governments influence the price of biopharmaceutical products through their pricing and reimbursement rules and control of national health care systems that fund a large part of the cost of those products to consumers. Some jurisdictions operate positive and negative list systems under which products may only be marketed once a reimbursement price has been agreed. To obtain reimbursement or pricing approval, some of these countries may require the completion of clinical trials that compare the cost effectiveness of a particular product candidate to currently available therapies. Other member states allow companies to fix their own prices for medicines but monitor and control company profits. The downward pressure on health care costs has become intense. As a result, increasingly high barriers are being erected to the entry of new products. In addition, in some countries, cross-border imports from low-priced markets exert a commercial pressure on pricing within a country.

 

The marketability of any product candidates for which we receive regulatory approval for commercial sale may suffer if the government and third-party payors fail to provide adequate coverage and reimbursement. In addition, emphasis on managed care, the increasing influence of health maintenance organizations, and additional legislative changes in the United States has increased, and we expect will continue to increase, the pressure on healthcare pricing. The downward pressure on the rise in healthcare costs in general, particularly prescription medicines, medical devices and surgical procedures and other treatments, has become very intense. Coverage policies and third-party reimbursement rates may change at any time. Even if favorable coverage and reimbursement status is attained for one or more products for which we receive regulatory approval, less favorable coverage policies and reimbursement rates may be implemented in the future.

 

Healthcare Reform

 

In the United States and some foreign jurisdictions, there have been, and continue to be, several legislative and regulatory changes and proposed changes regarding the healthcare system that could prevent or delay marketing approval of product candidates, restrict or regulate post-approval activities, and affect the ability to profitably sell product candidates for which marketing approval is obtained. Among policy makers and payors in the United States and elsewhere, there is significant interest in promoting changes in healthcare systems with the stated goals of containing healthcare costs, improving quality and/or expanding access. In the United States, the pharmaceutical industry has been a particular focus of these efforts and has been significantly affected by major legislative initiatives.

 

23

 

For example, the Affordable Care Act has substantially changed healthcare financing and delivery by both governmental and private insurers. Among the Affordable Care Act provisions of importance to the pharmaceutical and biotechnology industries, in addition to those otherwise described above, are the following:

 

 an annual, nondeductible fee on any entity that manufactures or imports certain specified branded prescription drugs and biologic agents apportioned among these entities according to their market share in some government healthcare programs;

 

 an increase in the statutory minimum rebates a manufacturer must pay under the Medicaid Drug Rebate Program to 23.1% and 13% of the average manufacturer price for most branded and generic drugs, respectively, and capped the total rebate amount for innovator drugs at 100% of the Average Manufacturer Price (the “AMP”);

 

 a new Medicare Part D coverage gap discount program, in which manufacturers must now agree to offer 70% point-of-sale discounts off negotiated prices of applicable brand drugs to eligible beneficiaries during their coverage gap period, as a condition for the manufacturers’ outpatient drugs to be covered under Medicare Part D;

 

 extension of manufacturers’ Medicaid rebate liability to covered drugs dispensed to individuals who are enrolled in Medicaid managed care organizations;

 

 expansion of eligibility criteria for Medicaid programs by, among other things, allowing states to offer Medicaid coverage to additional individuals and by adding new mandatory eligibility categories for individuals with income at or below 133% of the federal poverty level, thereby potentially increasing manufacturers’ Medicaid rebate liability;

 

 expansion of the entities eligible for discounts under the 340B Drug Discount Program;

 

 a new Patient-Centered Outcomes Research Institute to oversee, identify priorities in, and conduct comparative clinical effectiveness research, along with funding for such research;

 

 expansion of healthcare fraud and abuse laws, including the FCA and the Anti-Kickback Statute, new government investigative powers, and enhanced penalties for noncompliance;

 

 a new methodology by which rebates owed by manufacturers under the Medicaid Drug Rebate Program are calculated for drugs that are inhaled, infused, instilled, implanted, or injected;

 

 requirements to report certain financial arrangements with physicians and teaching hospitals;

 

 a requirement to annually report certain information regarding drug samples that manufacturers and distributors provide to physicians;

 

 establishment of a Center for Medicare and Medicaid Innovation at CMS to test innovative payment and service delivery models to lower Medicare and Medicaid spending; and

 

 a licensure framework for follow on biologic products.

 

There remain legal and political challenges to certain aspects of the Affordable Care Act. Since January 2017, the Trump administration signed several executive orders and other directives designed to delay, circumvent, or loosen certain requirements mandated by the Affordable Care Act. In December 2017, Congress repealed the tax penalty for an individual’s failure to maintain Affordable Care Act-mandated health insurance as part of a tax reform bill. Further, the 2020 federal spending package permanently eliminated, effective January 1, 2020, the Affordable Care Act-mandated “Cadillac” tax on high-cost employer-sponsored health coverage and medical device tax and, effective January 1, 2021, also eliminated the health insurer tax. On December 14, 2018, a U.S. District Court Judge in the Northern District of Texas ruled that the individual mandate is a critical and inseverable feature of the Affordable Care Act, and therefore, because it was repealed as part of the tax reform bill, the remaining provisions of the Affordable Care Act are invalid as well. Additionally, on December 18, 2019, the U.S. Court of Appeals for the 5th Circuit upheld the District Court ruling that the individual mandate was unconstitutional and remanded the case back to the District Court to determine whether the remaining provisions of the Affordable Care Act are invalid as well. The U.S. Supreme Court is currently reviewing this case, although it is unclear when a decision will be made. Although the U.S. Supreme Court has yet ruled on the constitutionality of the ACA, on January 28, 2021, President Biden issued an executive order to initiate a special enrollment period from February 15, 2021 through May 15, 2021 for purposes of obtaining health insurance coverage through the Affordable Care Act marketplace. The executive order also instructs certain governmental agencies to review and reconsider their existing policies and rules that limit access to healthcare, including among others, reexamining Medicaid demonstration projects and waiver programs that include work requirements, and policies that create unnecessary barriers to obtaining access to health insurance coverage through Medicaid or the Affordable Care Act. It is unclear how the Supreme Court ruling, other such litigation, and the healthcare reform measures of the Biden administration will impact the ACA and our business.

 

24

 

We anticipate that the Affordable Care Act, if substantially maintained in its current form, will continue to result in additional downward pressure on coverage and the price that we receive for any approved product, and could seriously harm our business. Any reduction in reimbursement from Medicare and other government programs may result in a similar reduction in payments from private payors. The implementation of cost containment measures or other healthcare reforms may prevent us from being able to generate revenue, attain profitability, or commercialize our products. Such reforms could have an adverse effect on anticipated revenue from product candidates that we may successfully develop and for which we may obtain regulatory approval and may affect our overall financial condition and ability to develop product candidates.

 

Further legislation or regulation could be passed that could harm our business, financial condition and results of operations. Other legislative changes have been proposed and adopted since the Affordable Care Act was enacted. For example, in August 2011, President Obama signed into law the Budget Control Act of 2011, which, among other things, created the Joint Select Committee on Deficit Reduction to recommend to Congress proposals in spending reductions. The Joint Select Committee on Deficit Reduction did not achieve a targeted deficit reduction of at least $1.2 trillion for fiscal years 2012 through 2021, triggering the legislation’s automatic reduction to several government programs. This includes aggregate reductions to Medicare payments to providers of up to 2% per fiscal year, which went into effect beginning on April 1, 2013 and will stay in effect through 2030 unless additional Congressional action is taken. However, COVID-19 pandemic relief legislation has suspended the 2% Medicare sequester from May 1, 2020 through March 31, 2021. In January 2013, the American Taxpayer Relief Act of 2012 was signed into law, which, among other things, further reduced Medicare payments to several types of providers, including hospitals, imaging centers and cancer treatment centers, and increased the statute of limitations period for the government to recover overpayments to providers from three to five years.

 

Additionally, there has been increasing legislative and enforcement interest in the United States with respect to specialty drug pricing practices. Specifically, there have been several recent U.S. Congressional inquiries and proposed federal legislation designed to, among other things, bring more transparency to drug pricing, reduce the cost of prescription drugs under Medicare, review the relationship between pricing and manufacturer patient programs, and reform government program reimbursement methodologies for drugs. At the federal level, the Trump administration’s budget proposal for fiscal year 2021 includes a $135 billion allowance to support legislative proposals seeking to reduce drug prices, increase competition, lower out-of-pocket drug costs for patients, and increase patient access to lower-cost generic and biosimilar drugs. Further, the Trump administration previously released a “Blueprint,” or plan, to lower drug prices and reduce out of pocket costs of drugs that contains additional proposals to increase drug manufacturer competition, increase the negotiating power of certain federal healthcare programs, incentivize manufacturers to lower the list price of their products, and reduce the out of pocket costs of drug products paid by consumers. Several final rules have been recently promulgated that seek to implement several of the Trump administration’s proposals. However, it is unclear whether the Biden administration will work to reverse these measures or pursue similar policy initiatives. Individual states in the United States have also become increasingly active in passing legislation and implementing regulations designed to control biopharmaceutical product pricing, including price or patient reimbursement constraints, discounts, restrictions on certain product access and marketing cost disclosure and transparency measures, and, in some cases, designed to encourage importation from other countries and bulk purchasing. Further, it is possible that additional government action is taken in response to the COVID-19 pandemic.

 

The Foreign Corrupt Practices Act

 

The Foreign Corrupt Practices Act (the “FCPA”), prohibits any U.S. individual or business from paying, offering, or authorizing payment or offering of anything of value, directly or indirectly, to any foreign official, political party or candidate for the purpose of influencing any act or decision of the foreign entity in order to assist the individual or business in obtaining or retaining business. The FCPA also obligates companies whose securities are listed in the United States to comply with accounting provisions requiring us to maintain books and records that accurately and fairly reflect all transactions of the corporation, including international subsidiaries, and to devise and maintain an adequate system of internal accounting controls for international operations.

 

Additional Regulation

 

In addition to the foregoing, state and federal laws regarding environmental protection and hazardous substances, including the Occupational Safety and Health Act, the Resource Conservancy and Recovery Act and the Toxic Substances Control Act, affect our business. These and other laws govern our use, handling and disposal of various biological, chemical and radioactive substances used in, and wastes generated by, our operations. If our operations result in contamination of the environment or expose individuals to hazardous substances, we could be liable for damages and governmental fines. We believe that we are in material compliance with applicable environmental laws and that continued compliance therewith will not have a material adverse effect on our business. We cannot predict, however, how changes in these laws may affect our future operations.

 

25

 

Other Regulations

 

We are also subject to numerous federal, state and local laws relating to such matters as safe working conditions, manufacturing practices, environmental protection, fire hazard control, and disposal of hazardous or potentially hazardous substances. We may incur significant costs to comply with such laws and regulations now or in the future.

 

Employees

 

As of March 11, 2021, we had twenty-nine employees, twenty-seven of whom were full-time employees and two of whom were contract employees. As of March 11, 2021, twelve of our employees were engaged in research and development activities and seventeen of our employees were engaged in business development, finance, commercial, information systems, facilities, human resources or administrative support. As of March 11, 2021, all of our employees were located in the U.S. None of our U.S. employees are represented by any collective bargaining agreements. We believe that we maintain good relations with our employees.

 

COVID-19

 

The ultimate impact of the current COVID-19 pandemic or a similar health epidemic is highly uncertain and subject to change. We have experienced delays, but may experience additional future delays that impact our business, our research and development activities, healthcare systems and the global economy as a whole. However, we will continue to monitor the COVID-19 situation closely should the effects have a material impact on our operations, liquidity and capital resources.

 

In response to public health directives and orders, we have implemented work-from-home policies for our employees and temporarily modified our operations to comply with applicable social distancing recommendations. Similar health directives and orders are affecting third parties with whom we do business, including the third parties that we have contracted with to conduct studies for TARA-002. The effects of the orders and our related adjustments in our business are likely to negatively impact productivity, disrupt our business and delay our timelines, the magnitude of which will depend, in part, on the length and severity of the restrictions and other limitations on our ability to conduct our business in the ordinary course.

 

Severe and/or long-term disruptions in our operations will negatively impact our business, operating results and financial condition in other ways, as well. Specifically, we anticipate that the stress of COVID-19 on healthcare systems around the globe will negatively impact our ability to conduct clinical trials in the near term due primarily to the lack of resources at clinical trial sites and the resulting inability to enroll patients in the trials. We also anticipate that the global impact of COVID-19 will negatively impact our ability to conduct nonclinical studies due primarily to laboratory closures and limited availability of personnel. In addition, while the potential economic impact brought by, and the duration of, COVID-19 may be difficult to assess or predict, it has significantly disrupted global financial markets, and may limit our ability to access capital, which could in the future negatively affect our liquidity. A recession or market correction resulting from the spread of COVID-19 could materially affect our business and the value of our common stock.

 

Corporate Information

 

On January 9, 2020, Protara Therapeutics, Inc. (formerly ArTara Therapeutics, Inc., formerly Proteon Therapeutics, Inc. the “Company” or “Protara”), and privately-held ArTara Subsidiary, Inc. (“Private ArTara”), completed the merger and reorganization, or the Merger, in accordance with the terms of the Agreement and Plan of Merger and Reorganization, dated September 23, 2019, or the Merger Agreement, by and among the Company, Private ArTara and REM 1 Acquisition, Inc., a wholly owned subsidiary of the Company (“Merger Sub”), whereby Merger Sub merged with and into Private ArTara, with Private ArTara surviving as a wholly owned subsidiary of the Company. The Merger was structured as a reverse merger and Private ArTara was determined to be the accounting acquirer based on the terms of the Merger and other factors.

 

Refer to Note 3, Reverse Merger with Protara and Recapitalization, to our financial statements appearing elsewhere in this Annual Report on Form 10-K for additional information.

 

We were originally incorporated in Delaware in March 2006, and at that time, acquired Proteon Therapeutics, LLC, the predecessor of Protara, which was formed in June 2001.

 

Our principal executive offices are located at 345 Park Avenue South, 3rd Floor, New York, New York 10010, our telephone number is (646) 844-0337 and our website address is www.protaratx.com.

 

Unless the context requires otherwise, references in this Annual Report to “Protara”, “TARA”, “we”, “us”, the “Company” and “our” refer to Protara Therapeutics, Inc. (formerly ArTara Therapeutics, Inc., formerly Proteon Therapeutics, Inc.) and our subsidiaries.

 

Available Information

 

Annual Reports on Form 10-K, Quarterly Reports on Form 10-Q, Current Reports on Form 8-K, and amendments to reports filed pursuant to Sections 13(a) and 15(d) of the Securities Exchange Act of 1934, as amended, or the Exchange Act, will be made available free of charge on our website as soon as reasonably practicable after we electronically file such material with, or furnish it to, the Securities and Exchange Commission, or SEC. The contents of our website are not incorporated into this Annual Report and our reference to the URL for our website is intended to be an inactive textual reference only. The information contained on, or that can be accessed through, our website is not a part of this document.

 

26

 

Item 1A. Risk Factors.

 

You should consider carefully the following information about the risks described below, together with the other information contained in this Annual Report and in our other public filings, in evaluating our business. If any of the following risks actually occurs, our business, financial condition, results of operations, and future growth prospects would likely be materially and adversely affected. In these circumstances, the market price of our common stock would likely decline.

 

Risks Related to Our Financial Condition

 

We have a very limited operating history and have never generated any revenues.

 

We are an early-stage biopharmaceutical company with a very limited operating history that may make it difficult to evaluate the success of our business to date and to assess our future viability. Our operations, with respect to the entity that operationally survived the Merger, have been limited to organizing and staffing the company, business planning, raising capital, developing our pipeline assets (TARA-002 and IV Choline Chloride), identifying product candidates, and other research and development. Although our employees have made regulatory submissions and conducted successful clinical trials in the past across many therapeutic areas while employed at other companies, we have not yet demonstrated an ability to successfully complete any clinical trials and have never completed the development of any product candidate, nor have we ever generated any revenue from product sales or otherwise. Consequently, we have no meaningful operations upon which to evaluate our business, and predictions about our future success or viability may not be as accurate as they could be if we had a longer operating history or a history of successfully developing and commercializing biopharmaceutical products.

 

 We expect to incur significant losses for the foreseeable future and may never achieve or maintain profitability.

 

Investment in biopharmaceutical product development is highly speculative because it entails substantial upfront capital and significant risk that a product candidate will fail to gain regulatory approval or become commercially viable. We have never generated any revenues, and cannot estimate with precision the extent of our future losses. We expect to incur increasing levels of operating losses for the foreseeable future as we execute on the plan to continue research and development activities, including the ongoing and planned clinical development of our product candidates, potentially acquire new products and/or product candidates, seek regulatory approvals of and potentially commercialize any approved product candidates, hire additional personnel, protect our intellectual property, and incur the additional costs of operating as a public company. We expect to continue to incur significant and increasing operating losses and negative cash flows for the foreseeable future. These losses have had and will continue to have an adverse effect on our financial position and working capital.

 

To become and remain profitable, we must develop or acquire and eventually commercialize a product with significant market potential. This will require us to be successful in a range of challenging activities, including completing preclinical studies and clinical trials, obtaining marketing approval, manufacturing, marketing and selling any product candidate for which we obtain marketing approval, and satisfying post-marketing requirements, if any. We may never succeed in these activities and, even if we succeed in obtaining approval for and commercializing one or more products, we may never generate revenues that are significant enough to achieve profitability. In addition, as a young business, we may encounter unforeseen expenses, difficulties, complications, delays and other known and unknown challenges. Furthermore, because of the numerous risks and uncertainties associated with biopharmaceutical product development, we are unable to accurately predict the timing or amount of increased expenses or when, or if, we will be able to achieve profitability. If we achieve profitability, we may not be able to sustain or increase profitability on a quarterly or annual basis and may continue to incur substantial research and development and other expenditures to develop and market additional product candidates. Our failure to become and remain profitable would decrease the value of us and could impair our ability to raise capital, maintain our research and development efforts, expand the business or continue operations. A decline in the value of us could also cause you to lose all or part of your investment.

 

The COVID-19 coronavirus could adversely impact our business, including our clinical development plans.

 

In December 2019, a novel coronavirus disease (“COVID-19”) was reported and in January 2020, the World Health Organization (the “WHO”) declared it a Public Health Emergency of International Concern. On February 28, 2020, the WHO raised its assessment of the COVID-19 threat from high to very high at a global level due to the continued increase in the number of cases and affected countries, and on March 11, 2020, the WHO characterized COVID-19 as a pandemic. As COVID-19 continues to spread in the United States and around the world, we may experience disruptions that could severely impact our business, including:

 

 interruption of key manufacturing, research and clinical development activities, due to limitations on work and travel imposed or recommended by federal or state governments, employers and others;

 

 delays or difficulties in clinical trial site operations, including difficulties in recruiting clinical site investigators and clinical site staff and difficulties in enrolling patients;

 

27

 

 interruption of key business activities, due to illness and/or quarantine of key individuals and delays associated with recruiting, hiring and training new temporary or permanent replacements for such key individuals, both internally and at our third party service providers;

 

 delays in research and clinical trial sites receiving the supplies and materials needed to conduct preclinical studies and clinical trials, due to work stoppages, travel and shipping interruptions or restrictions or other reasons;

 

 delays or difficulties conducting nonclinical studies due to limitations in employee resources or laboratory closures;

 

 difficulties in raising additional capital needed to pursue the development of our programs due to the slowing of our economy and near term and/or long term negative effects of the pandemic on the financial, banking and capital markets;

 

 changes in local regulations as part of a response to the COVID-19 coronavirus outbreak which may require us to change the ways in which research, including clinical development, is conducted, which may result in unexpected costs; and

 

 delays in necessary interactions with regulators, ethics committees and other important agencies and contractors due to limitations in employee resources, travel restrictions or forced furlough of government employees.

 

The global outbreak of COVID- continues to evolve. The extent to which the COVID-19 coronavirus may impact our business will depend on future developments, which are highly uncertain and cannot be predicted with confidence, such as the ultimate geographic spread of the disease, the duration of the outbreak, travel restrictions and social distancing in the United States and other countries, business closures or business disruptions and the effectiveness of actions taken in the United States and other countries to contain and treat the virus. The duration and extent of the impact from the COVID-19 pandemic depend on future developments that cannot be accurately predicted at this time, such as the severity and transmission rate of the virus, the extent and effectiveness of containment actions and the impact of these and other factors on our operations, employees, partners and vendors. If we are not able to respond to and manage the impact of such events effectively, our business will be harmed.

 

In addition, while the potential economic impact brought by, and the duration of, COVID-19 may be difficult to assess or predict, it has significantly disrupted global financial markets, and may limit our ability to access additional capital, which could in the future negatively affect our liquidity. A recession or market correction resulting from the spread of COVID-19 could materially affect our business and the value of our common stock.

 

To the extent the COVID-19 pandemic adversely affects our business and results of operations, it may also have the effect of heightening many of the other risks and uncertainties described elsewhere in this “Risk Factors” section.

 

We will need to raise additional financing in the future to fund our operations, which may not be available to us on favorable terms or at all.

 

We will require substantial additional funds to conduct the costly and time-consuming clinical efficacy trials necessary to pursue regulatory approval of each potential product candidate and to continue the development of TARA-002 and IV Choline Chloride in new indications or uses. Our future capital requirements will depend upon a number of factors, including: the number and timing of future product candidates in the pipeline; progress with and results from preclinical testing and clinical trials; the ability to manufacture sufficient drug supplies to complete preclinical and clinical trials; the costs involved in preparing, filing, acquiring, prosecuting, maintaining and enforcing patent and other intellectual property claims; and the time and costs involved in obtaining regulatory approvals and favorable reimbursement or formulary acceptance. Raising additional capital may be costly or difficult to obtain and could significantly dilute stockholders’ ownership interests or inhibit our ability to achieve our business objectives. As a result of economic conditions, general global economic uncertainty, political change, and other factors, including uncertainty associated with the COVID-19 pandemic, we do not know whether additional capital will be available when needed, or that, if available, we will be able to obtain additional capital on reasonable terms. Specifically, the COVID-19 pandemic has significantly disrupted global financial markets, and may limit our ability to access capital, which could in the future negatively affect our liquidity.

 

28

 

If we raise additional funds through public or private equity offerings, the terms of these securities may include liquidation or other preferences that adversely affect the rights of our common stockholders. Further, to the extent that we raise additional capital through the sale of common stock or securities convertible or exchangeable into common stock, the ownership interests of our common stockholders will be diluted. In addition, any debt financing may subject us to fixed payment obligations and covenants limiting or restricting our ability to take specific actions, such as incurring additional debt, making capital expenditures or declaring dividends. If we raise additional capital through marketing and distribution arrangements or other collaborations, strategic alliances or licensing arrangements with third parties, we may have to relinquish certain valuable intellectual property or other rights to our product candidates, technologies, future revenue streams or research programs or grant licenses on terms that may not be favorable to us. Even if we were to obtain sufficient funding, there can be no assurance that it will be available on terms acceptable to us or our stockholders.

 

Clinical drug development is very expensive, time-consuming and uncertain.

 

Clinical development for our product candidates is very expensive, time-consuming, difficult to design and implement, and the outcomes are inherently uncertain. Most product candidates that commence clinical trials are never approved by regulatory authorities for commercialization and of those that are approved many do not cover their costs of development. In addition, we, any partner with which we may in the future collaborate, the FDA, an institutional review board (IRB), or other regulatory authorities, including state and local agencies and counterpart agencies in foreign countries, may suspend, delay, require modifications to or terminate our clinical trials at any time.

 

Risks Related to Drug/Biologics Development

 

Our business depends on the successful clinical development, regulatory approval and commercialization of TARA-002 and IV Choline Chloride.

 

The success of our business, including our ability to finance our self and generate revenue in the future, primarily depends on the successful development, regulatory approval and commercialization of TARA-002 and IV Choline Chloride. The clinical and commercial success of TARA-002 and IV Choline Chloride depends on a number of factors, including the following:

 

 timely and successful completion of required clinical trials not yet initiated, which may be significantly slower or costlier than we currently anticipate and/or produce results that do not achieve the endpoints of the trials;

 

 whether we are required by the FDA or similar foreign regulatory agencies to conduct additional studies beyond those planned to support the approval and commercialization of TARA-002 and IV Choline Chloride;

 

 achieving and maintaining, and, where applicable, ensuring that our third-party contractors achieve and maintain compliance with their contractual obligations and with all regulatory requirements applicable to TARA-002 and IV Choline Chloride;
   
 ability to confirm the comparability of TARA-002 and OK-432;

 

 ability of third parties with whom we contract to manufacture adequate clinical trial and commercial supplies of TARA-002 and IV Choline Chloride, to remain in good standing with regulatory agencies and to develop, validate and maintain commercially viable manufacturing processes that are compliant with current good manufacturing practices (“cGMP”);

 

 a continued acceptable safety profile during clinical development and following approval of TARA-002 and IV Choline Chloride;

 

 ability to obtain favorable labeling for TARA-002 and IV Choline Chloride through regulators that allows for successful commercialization, given the drugs may be marketed only to the extent approved by these regulatory authorities (unlike with most other industries);

 

 ability to successfully commercialize TARA-002 and IV Choline Chloride in the United States and internationally, if approved for marketing, sale and distribution in such countries and territories, whether alone or in collaboration with others;

 

 acceptance by physicians, insurers and payors, and patients of the quality, benefits, safety and efficacy of TARA-002 and IV Choline Chloride, if either is approved, including relative to alternative and competing treatments;

 

 existence of a regulatory environment conducive to the success of TARA-002 and IV Choline Chloride;

 

 ability to price TARA-002 and IV Choline Chloride to recover our development costs and generate a satisfactory profit margin; and

 

 our ability and our partners’ ability to establish and enforce intellectual property rights in and to TARA-002 and IV Choline Chloride.

 

If we do not achieve one or more of these factors, many of which are beyond our control, in a timely manner or at all, we could experience significant delays or an inability to obtain regulatory approvals or commercialize TARA-002 and IV Choline Chloride. Even if regulatory approvals are obtained, we may never be able to successfully commercialize TARA-002 and IV Choline Chloride. Accordingly, we cannot assure you that we will be able to generate sufficient revenue through the sale of TARA-002 and IV Choline Chloride to continue our business.

 

29

 

The COVID-19 pandemic is impacting our business and the business of the third-parties with which we contract for key services related to our clinical development plans. If the crisis persists, it is likely to have a significant delay in our development timelines and result in additional and unexpected costs. Presently, we anticipate that the stress of COVID-19 on healthcare systems around the globe will negatively impact our ability to conduct clinical trials in the near term due primarily to the lack of resources at clinical trial sites and the resulting inability to enroll patients in these trials. In addition, it is possible that the stress of the COVID-19 pandemic on regulatory agencies may make it more difficult to collaborate with, and receive guidance from, such agencies, which could delay our development timelines and negatively impact our business.

We have never made an IND, BLA or NDA submission or conducted a clinical trial and may be unable to successfully do so for TARA-002 or IV Choline Chloride.

 

The conduct of a clinical trials is a long, expensive, complicated and highly regulated process. Although our employees have made regulatory submissions and conducted successful clinical trials in the past across many therapeutic areas while employed at other companies, we, as a company, have not submitted an investigational new drug application (IND), conducted any clinical trials, or submitted a BLA or new drug application (NDA), and as a result may require more time and incur greater costs than we anticipate. Failure to commence or complete, or delays in, our planned regulatory submissions or clinical trials would prevent us from, or delay us, in obtaining regulatory approval of and commercializing TARA-002 and IV Choline Chloride, which would adversely impact our financial performance, as well as subject us to significant contract liabilities.

 

TARA-002 is an immunopotentiator, and one indication for which we plan to pursue is the treatment of lymphatic malformations. There are no FDA-approved therapies for the treatment of lymphatic malformations. It is difficult to predict the timing and costs of clinical development for TARA-002 with respect to lymphatic malformations as well as the corresponding regulatory approval path.

 

To date, there are no FDA-approved therapies for the treatment of lymphatic malformations. The regulatory approval process for novel product candidates such as TARA-002 can be more expensive and take longer than for other, better known or extensively studied therapeutic approaches. In addition, the previous clinical trials conducted on OK-432 for LMs in the United States included a control arm in which treatment was initially delayed. It is unclear whether this trial design could support FDA approval or whether a placebo-control or other randomization will be required by the FDA. Delay or failure to obtain, or unexpected costs in obtaining, the regulatory approval necessary to bring TARA-002 to market could decrease our ability to generate sufficient revenue to maintain our business.

 

The regulatory path to approval of TARA-002 is dependent on FDA acceptance of prior clinical data from OK-432.

 

The proposed regulatory strategy for the TARA-002 program is a combination of demonstrating comparability to a product that is not FDA approved and relying upon existing data. By demonstrating that TARA-002 is, in fact, OK-432, we believe that the large volume of data published on OK-432 including the data generated by the University of Iowa led study in LMs will then apply to TARA-002. We have been granted initial comparability by FDA and if comparability is fully demonstrated and accepted by regulatory authorities, we will attempt to rely on existing OK-432 safety and efficacy data to submit the BLA. There is no example to date of a biologic product that was approved utilizing this regulatory approach that we are aware of.

 

Our product candidates may cause undesirable side effects or have other unexpected properties that could delay or prevent their regulatory approval, limit the commercial profile of an approved label, or result in post-approval regulatory action.

 

Unforeseen side effects from TARA-002 or IV Choline Chloride could arise either during clinical development or, if approved, after it has been marketed. Undesirable side effects could cause us, any partners with which we may collaborate, or regulatory authorities to interrupt, extend, modify, delay or halt clinical trials and could result in a more restrictive or narrower label or the delay or denial of regulatory approval by the FDA or comparable foreign authorities.

 

Results of clinical trials could reveal a high and unacceptable severity and prevalence of side effects. In such an event, trials could be suspended or terminated, and the FDA or comparable foreign regulatory authorities could order us to cease further development of or deny approval of a product candidate for any or all targeted indications. The drug-related side effects could affect patient recruitment or the ability of enrolled patients to complete the trial or result in product liability claims. Any of these occurrences may harm our business, financial condition, operating results and prospects.

 

Additionally, if we or others identify undesirable side effects, or other previously unknown problems, caused by a product after obtaining U.S. or foreign regulatory approval, a number of potentially negative consequences could result, which could prevent us or our potential partners from achieving or maintaining market acceptance of the product and could substantially increase the costs of commercializing such product.

 

30

 

A fast track designation by the FDA may not actually lead to a faster development or regulatory review or approval process for IV Choline Chloride for the treatment of IFALD.

 

The FDA has granted fast track designation to IV Choline Chloride for the treatment of IFALD. If a drug is intended for the treatment of a serious or life-threatening condition and the drug demonstrates the potential to address unmet medical needs for this condition, the drug sponsor may apply for fast track designation. Even though we have received fast track designation for IV Choline Chloride for the treatment of IFALD, we may not experience a faster development process, review or approval. The FDA may withdraw fast track designation if it believes that the designation is no longer supported by data from our clinical development program.

 

Although the FDA has granted Rare Pediatric Disease Designation for TARA-002 for the treatment of LMs, a BLA for TARA-002, if approved, may not meet the eligibility criteria for a priority review voucher.

 

Rare Pediatric Disease Designation has been granted for TARA-002 for the treatment of LMs. In 2012, Congress authorized the FDA to award priority review vouchers to sponsors of certain rare pediatric disease product applications. This provision is designed to encourage development of new drug and biological products for prevention and treatment of certain rare pediatric diseases. Specifically, under this program, a sponsor who receives an approval for a drug or biologic for a “rare pediatric disease” may qualify for a voucher that can be redeemed to receive a priority review of a subsequent marketing application for a different product. The sponsor of a rare pediatric disease drug product receiving a priority review voucher may transfer (including by sale) the voucher to another sponsor. The voucher may be further transferred any number of times before the voucher is used, as long as the sponsor making the transfer has not yet submitted the application. The FDA may also revoke any priority review voucher if the rare pediatric disease drug for which the voucher was awarded is not marketed in the U.S. within one year following the date of approval.

 

For the purposes of this program, a “rare pediatric disease” is a (a) serious or life-threatening disease in which the serious or life-threatening manifestations primarily affect individuals aged from birth to 18 years, including age groups often called neonates, infants, children, and adolescents; and (b) rare disease or conditions within the meaning of the Orphan Drug Act. Congress has only authorized the Rare Pediatric Disease Priority Review Voucher program until September 30,2024. However, if a drug candidate received Rare Pediatric Disease Designation before September 30,2024, it is eligible to receive a voucher if it is approved before September 30, 2026.

 

However, TARA-002 for the treatment of LMs may not be approved by that date, or at all, and, therefore, we may not be in a position to obtain a priority review voucher prior to expiration of the program, unless Congress further reauthorizes the program. Additionally, designation of a drug for a rare pediatric disease does not guarantee that a BLA will meet the eligibility criteria for a rare pediatric disease priority review voucher at the time the application is approved. Finally, a Rare Pediatric Disease Designation does not lead to faster development or regulatory review of the product, or increase the likelihood that it will receive marketing approval. We may or may not realize any benefit from receiving a voucher.

 

 Even if a product candidate obtains regulatory approval, it may fail to achieve the broad degree of physician and patient adoption and use necessary for commercial success.

 

The commercial success of both TARA-002 and IV Choline Chloride, if approved, will depend significantly on the broad adoption and use of them by physicians and patients for approved indications, and neither may be commercially successful even though the product is shown to be safe and effective. The degree and rate of physician and patient adoption of a product, if approved, will depend on a number of factors, including but not limited to:

 

 patient demand for approved products that treat the indication for which a product is approved;

 

 the effectiveness of the product compared to other available therapies;

 

 the availability of coverage and adequate reimbursement from managed care plans and other healthcare payors;

 

 the cost of treatment in relation to alternative treatments and willingness to pay on the part of patients;

 

 in the case of TARA-002, overcoming physician or patient biases toward surgery for the treatment of lymphatic malformations;

 

 insurers’ willingness to see the applicable indication as a disease worth treating;

 

 proper administration;

 

 patient satisfaction with the results, administration and overall treatment experience;

 

31

 

 limitations or contraindications, warnings, precautions or approved indications for use different than those sought by us that are contained in the final FDA-approved labeling for the applicable product;

 

 any FDA requirement to undertake a risk evaluation and mitigation strategy;

 

 the effectiveness of our sales, marketing, pricing, reimbursement and access, government affairs, and distribution efforts;

 

 adverse publicity about a product or favorable publicity about competitive products;

 

 new government regulations and programs, including price controls and/or limits or prohibitions on ways to commercialize drugs, such as increased scrutiny on direct-to-consumer advertising of pharmaceuticals; and

 

 potential product liability claims or other product-related litigation.

 

If either TARA-002 or IV Choline Chloride is approved for use but fails to achieve the broad degree of physician and patient adoption necessary for commercial success, our operating results and financial condition will be adversely affected, which may delay, prevent or limit our ability to generate revenue and continue our business.

 

Any adverse developments that occur in patients undergoing treatment with OK-432 / Picibanil or in patients participating in clinical trials conducted by third parties may affect our ability to obtain regulatory approval or commercialize TARA-002.

 

Chugai Pharmaceutical Co., Ltd., over which we have no control, has the rights to commercialize TARA-002 and it is currently marketed in Japan and Taiwan, under the name Picibanil, for various indications. In addition, clinical trials using Picibanil are currently ongoing in various countries around the world. If serious adverse events occur with patients using Picibanil or during any clinical trials of Picibanil conducted by third parties, the FDA may delay, limit or deny approval of TARA-002 or require us to conduct additional clinical trials as a condition to marketing approval, which would increase our costs. If we receive FDA approval for TARA-002 and a new and serious safety issue is identified in connection with use of Picibanil or in clinical trials of Picibanil conducted by third parties, the FDA may withdraw the approval of the product or otherwise restrict our ability to market and sell TARA-002. In addition, treating physicians may be less willing to administer TARA-002 due to concerns over such adverse events, which would limit our ability to commercialize TARA-002.

 

We may in the future conduct clinical trials for our product candidates outside the United States, and the FDA and applicable foreign regulatory authorities may not accept data from such trials.

 

We may in the future choose to conduct one or more of our clinical trials outside of the United States. Although the FDA or applicable foreign regulatory authority may accept data from clinical trials conducted outside the United States or the applicable jurisdiction, acceptance of such study data by the FDA or applicable foreign regulatory authority may be subject to certain conditions or exclusion. Where data from foreign clinical trials are intended to serve as the basis for marketing approval in the United States, the FDA will not approve the application on the basis of foreign data alone unless such data are applicable to the U.S. population and U.S. medical practice; the studies were performed by clinical investigators of recognized competence; and the data are considered valid without the need for an on-site inspection by the FDA or, if the FDA considers such an inspection to be necessary, the FDA is able to validate the data through an on-site inspection or other appropriate means. Many foreign regulatory bodies have similar requirements. In addition, such foreign studies would be subject to the applicable local laws of the foreign jurisdictions where the studies are conducted. There can be no assurance the FDA or applicable foreign regulatory authority will accept data from trials conducted outside of the United States or the applicable home country. If the FDA or applicable foreign regulatory authority does not accept such data, it would likely result in the need for additional trials, which would be costly and time-consuming and delay aspects of our business plan.

 

We may choose not to continue developing or commercializing any of our product candidates at any time during development or after approval, which would reduce or eliminate the potential return on investment for those product candidates.

 

At any time, we may decide to discontinue the development of any of our product candidates for a variety of reasons, including the appearance of new technologies that make our product obsolete, competition from a competing product or changes in or failure to comply with applicable regulatory requirements. For example, we are reviewing the research and preclinical and clinical data of vonapanitase and have not yet determined whether to pursue further development of this product candidate in the future.

 

If we terminate a program in which we have invested significant resources, we will not receive any return on our investment and we will have missed the opportunity to have allocated those resources to potentially more productive uses.

 

32

 

Our or our third party’s clinical trials may fail to demonstrate the safety and efficacy of our product candidates, or serious adverse or unacceptable side effects may be identified during their development, which could prevent or delay marketing approval and commercialization, increase our costs or necessitate the abandonment or limitation of the development of the product candidate.

 

Before obtaining marketing approvals for the commercial sale of any product candidate, we must demonstrate through lengthy, complex and expensive preclinical testing and clinical trials that such product candidate is both safe and effective for use in the applicable indication, and failures can occur at any stage of testing. Clinical trials often fail to demonstrate safety and are associated with side effects or have characteristics that are unexpected. Based on the safety profile seen in clinical testing, we may need to abandon development or limit development to more narrow uses in which the side effects or other characteristics are less prevalent, less severe or more tolerable from a risk-benefit perspective. The FDA or an IRB may also require that we suspend, discontinue, or limit clinical trials based on safety information. Such findings could further result in regulatory authorities failing to provide marketing authorization for the product candidate. Many pharmaceutical candidates that initially showed promise in early stage testing and which were efficacious have later been found to cause side effects that prevented further development of the drug candidate and, in extreme cases, the side effects were not seen until after the drug was marketed, causing regulators to remove the drug from the market post-approval.

 

Our regulatory strategy for TARA-002 requires that we demonstrate that TARA-002 is the same biologic substance as OK-432, which is currently manufactured in Japan and marketed in Japan and Taiwan by Chugai. The FDA has agreed that we have successfully demonstrated initial manufacturing comparability between TARA-002 and OK-432; we are on track to conduct three large-scale batch runs to confirm comparability. Good Manufacturing Practice (GMP) scale up is currently in process and we have initiated GMP comparability runs. There can be no assurances that our contract manufacturer will be able to produce a sufficiently comparable product or that the FDA will find such substances comparable or permit us to use any of the data from prior clinical trials as part of the BLA filing for TARA-002.

 

Other Risks Related to Our Business

 

Our product candidates, if approved, will face significant competition and their failure to compete effectively may prevent them from achieving significant market penetration.

 

The pharmaceutical industry is characterized by rapidly advancing technologies, intense competition, less effective patent terms, and a strong emphasis on developing newer, fast-to-market proprietary therapeutics. Numerous companies are engaged in the development, patenting, manufacturing and marketing of healthcare products competitive with those that we are developing, including TARA-002 and IV Choline Chloride. We will face competition from a number of sources, such as pharmaceutical companies, generic drug companies, biotechnology companies and academic and research institutions, many of which have greater financial resources, marketing capabilities, sales forces, manufacturing capabilities, research and development capabilities, regulatory expertise, clinical trial expertise, intellectual property portfolios, more international reach, experience in obtaining patents and regulatory approvals for product candidates and other resources than we have. Some of the companies that offer competing products also have a broad range of other product offerings, large direct sales forces and long-term customer relationships with our target physicians, which could inhibit our market penetration efforts.

 

With respect to our lead product candidate, TARA-002, for the treatment of LMs and NMIBC, the active ingredient in TARA-002 is a genetically distinct strain of Streptococcus pyogenes (group A, type 3) Su strain. TARA-002 is produced through a proprietary manufacturing process. We anticipate that, if approved by the FDA, TARA-002 will be protected by 12 years of biologic exclusivity. In addition, TARA-002 is likely to have seven years of concurrent Orphan Drug Designation exclusivity for the treatment of LMs if deemed comparable to OK-432 by the FDA based on the prevalence of the disease. There are no approved pharmacotherapies currently available for the treatment of LMs and the current standard of care is a high-risk surgical procedure. There are a number of drug development companies and academic researchers exploring oral formulations of various agents including macrolides, phosphodiesterase inhibitors, and calcineurin/ mTOR inhibitors. These are in early development. TARA-002, if approved for the treatment of NMIBC, would be subject to competition from existing treatment methods of surgery, chemotherapy and immunomodulatory therapy.

 

There are no treatments currently available for IFALD. With respect to IV Choline Chloride for the treatment of IFALD, IV Choline Chloride is the only sterile injectable form of choline chloride that can be combined with parenteral nutrition. Further, if approved, IV Choline Chloride will be protected by Orphan Drug Designation exclusivity for seven years.

 

33

 

TARA-002 and any future product candidates for which we intend to seek approval as biologic products may face competition sooner than anticipated.

 

The Patient Protection and Affordable Care Act, or Affordable Care Act, signed into law on March 23, 2010, includes a subtitle called the Biologics Price Competition and Innovation Act of 2009, or BPCIA, which created an abbreviated approval pathway for biological products that are biosimilar to or interchangeable with an FDA-licensed reference biological product. Under the BPCIA, an application for a biosimilar product may not be submitted to the FDA until four years following the date that the reference product was first licensed by the FDA. In addition, the approval of a biosimilar product may not be made effective by the FDA until 12 years from the date on which the reference product was first licensed. During this 12-year period of exclusivity, another company may still market a competing version of the reference product if the FDA approves a full BLA for the competing product containing the sponsor’s own preclinical data and data from adequate and well-controlled clinical trials to demonstrate the safety, purity and potency of their product. The law is complex and is still being interpreted and implemented by the FDA. As a result, its ultimate impact, implementation and meaning are subject to uncertainty. While it is uncertain when such processes are intended to implement BPCIA may be fully adopted by the FDA, any such processes could have a material adverse effect on the future commercial prospects for our biological products.

 

We believe that any of our product candidates approved as a biological product under a BLA should qualify for the 12-year period of exclusivity. However, there is a risk that this exclusivity could be shortened due to congressional action or otherwise, or that the FDA will not consider our product candidates to be reference products for competing products, potentially creating the opportunity for biosimilar competition sooner than anticipated. Other aspects of the BPCIA, some of which may impact the BPCIA exclusivity provisions, have also been the subject of recent litigation. Moreover, the extent to which a biosimilar, once approved, will be substituted for any one of our reference products in a way that is similar to traditional generic substitution for non-biological products is not yet clear, and will depend on a number of marketplace and regulatory factors that are still developing.

 

We rely on third-party CROs and other third parties to conduct and oversee our clinical trials. If these third parties do not meet our requirements or otherwise conduct the trials as required, we may not be able to satisfy our contractual obligations or obtain regulatory approval for, or commercialize, our product candidates.

 

We rely on third-party contract research organizations (CROs) to conduct and oversee our TARA-002 and IV Choline Chloride clinical trials and other aspects of product development. We also rely on various medical institutions, clinical investigators and contract laboratories to conduct our trials in accordance with our clinical protocols and all applicable regulatory requirements, including the FDA’s regulations and good clinical practice (GCP) requirements, which are an international standard meant to protect the rights and health of patients and to define the roles of clinical trial sponsors, administrators and monitors, and state regulations governing the handling, storage, security and recordkeeping for drug and biologic products. These CROs and other third parties will play a significant role in the conduct of these trials and the subsequent collection and analysis of data from the clinical trials. We will rely heavily on these parties for the execution of our clinical trials and preclinical studies and will control only certain aspects of their activities. We and our CROs and other third-party contractors will be required to comply with GCP and good laboratory practice (GLP) requirements, which are regulations and guidelines enforced by the FDA and comparable foreign regulatory authorities. Regulatory authorities enforce these GCP and GLP requirements through periodic inspections of trial sponsors, principal investigators and trial sites. If we or any of these third parties fail to comply with applicable GCP and GLP requirements, or reveal noncompliance from an audit or inspection, the clinical data generated in our clinical trials may be deemed unreliable and the FDA or other regulatory authorities may require us to perform additional clinical trials before approving our or our partners’ marketing applications. We cannot assure that upon inspection by a given regulatory authority, such regulatory authority will determine that any of our clinical or preclinical trials comply with applicable GCP and GLP requirements. In addition, our clinical trials generally must be conducted with product produced under cGMP regulations. Our failure to comply with these regulations and policies may require us to repeat clinical trials, which would delay the regulatory approval process.

 

If any of our CROs or clinical trial sites terminate their involvement in one of our clinical trials for any reason, we may not be able to enter into arrangements with alternative CROs or clinical trial sites or do so on commercially reasonable terms. In addition, if our relationship with clinical trial sites is terminated, we may experience the loss of follow-up information on patients enrolled in our clinical trials unless we are able to transfer the care of those patients to another qualified clinical trial site. In addition, principal investigators for our clinical trials may serve as scientific advisors or consultants to us from time to time and could receive cash or equity compensation in connection with such services. If these relationships and any related compensation result in perceived or actual conflicts of interest, the integrity of the data generated at the applicable clinical trial site may be questioned by the FDA.

 

We currently have limited marketing capabilities and no sales organization. If we are unable to grow our sales and marketing capabilities on our own or through third parties, we will be unable to successfully commercialize our product candidates, if approved, or generate product revenue.

 

We currently have limited marketing capabilities and no sales organization. To commercialize our product candidates, if approved, in the United States, Canada, the European Union, Latin America and other jurisdictions we seek to enter, we must build our marketing, sales, distribution, managerial and other non-technical capabilities or make arrangements with third parties to perform these services, and we may not be successful in doing so. Although our employees have experience in the marketing, sale and distribution of pharmaceutical products, and business development activities involving external alliances, from prior employment at other companies, we, as a company, have no prior experience in the marketing, sale and distribution of pharmaceutical products, and there are significant risks involved in building and managing a sales organization, including our ability to hire, retain and incentivize qualified individuals, generate sufficient sales leads, provide adequate training to sales and marketing personnel, and effectively manage a geographically dispersed sales and marketing team. Any failure or delay in the development of our internal sales, marketing, distribution and pricing/reimbursement/access capabilities would impact adversely the commercialization of these products.

 

34

 

We have only received the exclusive rights to the materials required to commercialize TARA-002 in territories other than Japan and Taiwan until June 17, 2030, or an earlier date if Chugai terminates the agreement with us for any number of reasons, following which such rights become nonexclusive.

 

Pursuant to an agreement with Chugai Pharmaceutical Co., Ltd. dated June 17, 2019, as amended on July 14, 2020 (effective June 30, 2020), Chugai agreed to provide us with exclusive access to the starting material necessary to manufacture TARA-002 as well as technical support necessary for us to develop and commercialize TARA-002 anywhere in the world other than Japan and Taiwan. However, this agreement does not prevent Chugai from providing such materials and support to any third party for medical, compassionate use and/or non-commercial research purposes and this agreement is exclusive through June 17, 2030 or following any termination of the agreement by either party. Once our rights to the materials and technology necessary to manufacture, develop and commercialize TARA-002 are not exclusive, third parties, including those with greater expertise and greater resources, could obtain such materials and technology and develop a competing therapy, which would adversely affect our ability to generate revenue and achieve or maintain profitability.

 

We currently have no products approved for sale, and we may never obtain regulatory approval to commercialize any of our product candidates.

 

The research, testing, manufacturing, safety surveillance, efficacy, quality control, recordkeeping, labeling, packaging, storage, approval, sale, marketing, distribution, import, export and reporting of safety and other post-market information related to our biopharmaceutical products are subject to extensive regulation by the FDA and other regulatory authorities in the United States and in foreign countries, and such regulations differ from country to country and frequently are revised.

 

Even after we achieve U.S. regulatory approval for a product candidate, if any, we will be subject to continued regulatory review and compliance obligations. For example, with respect to our product candidates, the FDA may impose significant restrictions on the approved indicated uses for which the product may be marketed or on the conditions of approval. A product candidate’s approval may contain requirements for potentially costly post-approval studies and surveillance, including Phase 4 clinical trials, to monitor the safety and efficacy of the product. We also will be subject to ongoing FDA obligations and continued regulatory review with respect to, among other things, the manufacturing, processing, labeling, packaging, distribution, pharmacovigilance and adverse event reporting, storage, advertising, promotion and recordkeeping for our product candidates.

 

These requirements include submissions of safety and other post-marketing information and reports, registration, continued compliance with cGMP requirements and with the FDA’s GCP requirements and GLP requirements, which are regulations and guidelines enforced by the FDA for all of our product candidates in clinical and preclinical development, and for any clinical trials that it conducts post-approval, as well as continued compliance with the FDA’s laws governing commercialization of the approved product, including but not limited to the FDA’s Office of Prescription Drug Promotion (OPDP) regulation of promotional activities, fraud and abuse, product sampling, scientific speaker engagements and activities, formulary interactions as well as interactions with healthcare practitioners. To the extent that a product candidate is approved for sale in other countries, we may be subject to similar or more onerous (i.e., prohibition on direct-to-consumer advertising that does not exist in the United States) restrictions and requirements imposed by laws and government regulators in those countries.

 

In addition, manufacturers of drug and biologic products and their facilities are subject to continual review and periodic inspections by the FDA and other regulatory authorities for compliance with cGMP regulations. If we or a regulatory agency discovers previously unknown problems with a product, such as adverse events of unanticipated severity or frequency, or problems with the manufacturing, processing, distribution or storage facility where, or processes by which, the product is made, a regulatory agency may impose restrictions on that product or us, including requesting that we initiate a product recall, or requiring notice to physicians or the public, withdrawal of the product from the market, or suspension of manufacturing.

 

If we, our product candidates or the manufacturing facilities for our product candidates fail to comply with applicable regulatory requirements, a regulatory agency may:

 

 impose restrictions on the sale, marketing or manufacturing of the product, amend, suspend or withdraw product approvals or revoke necessary licenses;

 

 mandate modifications to promotional and other product-specific materials or require us to provide corrective information to healthcare practitioners or in our advertising;

 

35

 

 require us or our partners to enter into a consent decree, which can include imposition of various fines, reimbursements for inspection costs, required due dates for specific actions, penalties for noncompliance and, in extreme cases, require an independent compliance monitor to oversee our activities;

 

 issue warning letters, bring enforcement actions, initiate surprise inspections, issue show cause notices or untitled letters describing alleged violations, which may be publicly available;

 

 commence criminal investigations and prosecutions;

 

 impose injunctions, suspensions or revocations of necessary approvals or other licenses;

 

 impose other civil or criminal penalties;

 

 suspend any ongoing clinical trials;

 

 place restrictions on the kind of promotional activities that can be done;

 

 delay or refuse to approve pending applications or supplements to approved applications filed by us or our potential partners;

 

 refuse to permit drugs or precursor chemicals to be imported or exported to or from the United States;

 

 suspend or impose restrictions on operations, including costly new manufacturing requirements; or

 

 seize or detain products or require us or our partners to initiate a product recall.

 

The regulations, policies or guidance of the FDA and other applicable government agencies may change, and new or additional statutes or government regulations may be enacted, including at the state and local levels, which can differ by geography and could prevent or delay regulatory approval of our product candidates or further restrict or regulate post-approval activities. We cannot predict the likelihood, nature or extent of adverse government regulations that may arise from future legislation or administrative action, either in the United States or abroad. If we are not able to achieve and maintain regulatory compliance, we may not be permitted to commercialize our product candidates, which would adversely affect our ability to generate revenue and achieve or maintain profitability.

 

We may face product liability exposure, and if successful claims are brought against us, we may incur substantial liability if our insurance coverage for those claims is inadequate.

 

We face an inherent risk of product liability or similar causes of action as a result of the clinical testing of our product candidates and will face an even greater risk if we commercialize any products. This risk exists even if a product is approved for commercial sale by the FDA and manufactured in facilities licensed and regulated by the FDA or an applicable foreign regulatory authority and notwithstanding that we comply with applicable laws on promotional activity. Our products and product candidates are designed to affect important bodily functions and processes. Any side effects, manufacturing defects, misuse or abuse associated with our product candidates could result in injury to a patient or potentially even death. We cannot offer any assurance that we will not face product liability suits in the future, nor can we assure you that our insurance coverage will be sufficient to cover our liability under any such cases.

 

In addition, a liability claim may be brought against us even if our product candidates merely appear to have caused an injury. Product liability claims may be brought against us by consumers, healthcare providers, pharmaceutical companies or others selling or otherwise coming into contact with our product candidates, among others, and under some circumstances even government agencies. If we cannot successfully defend our self against product liability or similar claims, we will incur substantial liabilities, reputational harm and possibly injunctions and punitive actions. In addition, regardless of merit or eventual outcome, product liability claims may result in:

 

 withdrawal or delay of recruitment or decreased enrollment rates of clinical trial participants;

 

 termination or increased government regulation of clinical trial sites or entire trial programs;

 

 the inability to commercialize our product candidates;

 

 decreased demand for our product candidates;

 

 impairment of our business reputation;

 

36

 

 product recall or withdrawal from the market or labeling, marketing or promotional restrictions;

 

 substantial costs of any related litigation or similar disputes;

 

 distraction of management’s attention and other resources from our primary business;

 

 significant delay in product launch;

 

 substantial monetary awards to patients or other claimants against us that may not be covered by insurance;

 

 withdrawal of reimbursement or formulary inclusion; or

 

 loss of revenue.

 

We intend to obtain product liability insurance coverage for our clinical trials. Large judgments have been awarded in class action or individual lawsuits based on drugs that had unanticipated side effects. Our insurance coverage may not be sufficient to cover all of our product liability-related expenses or losses and may not cover us for any expenses or losses we may suffer. Moreover, insurance coverage is becoming increasingly expensive, restrictive and narrow, and, in the future, we may not be able to maintain adequate insurance coverage at a reasonable cost, in sufficient amounts or upon adequate terms to protect us against losses due to product liability or other similar legal actions. We will need to increase our product liability coverage if any of our product candidates receive regulatory approval, which will be costly, and we may be unable to obtain this increased product liability insurance on commercially reasonable terms or at all and for all geographies in which we wish to launch. A successful product liability claim or series of claims brought against us, if judgments exceed our insurance coverage, could decrease our cash and harm our business, financial condition, operating results and future prospects.

 

Our employees, independent contractors, principal investigators, other clinical trial staff, consultants, vendors, CROs and any partners with whom we may collaborate may engage in misconduct or other improper activities, including noncompliance with regulatory standards and requirements.

 

We are exposed to the risk that our employees, independent contractors, principal investigators, other clinical trial staff, consultants, vendors, CROs and any partners with which we may collaborate may engage in fraudulent or other illegal activity. Misconduct by these persons could include intentional, reckless, gross or negligent misconduct or unauthorized activity that violates: laws or regulations, including those laws requiring the reporting of true, complete and accurate information to the FDA or foreign regulatory authorities; manufacturing standards; federal, state and foreign healthcare fraud and abuse laws and data privacy; anticorruption laws, anti-kickback and Medicare/Medicaid rules, or laws that require the true, complete and accurate reporting of financial information or data, books and records. If any such or similar actions are instituted against us and we are not successful in defending our self or asserting our rights, those actions could have a significant impact on our business, including the imposition of significant civil, criminal and administrative and punitive penalties, damages, monetary fines, possible exclusion from participation in Medicare, Medicaid and other federal healthcare programs, debarments, contractual damages, imprisonment, reputational harm, diminished profits and future earnings, injunctions, and curtailment or cessation of our operations, any of which could adversely affect our ability to operate our business and our operating results.

 

We may be subject to risks related to off-label use of our product candidates.

 

The FDA strictly regulates the advertising and promotion of drug products, and drug products may only be marketed or promoted for their FDA approved uses, consistent with the product’s approved labeling. Advertising and promotion of any product candidate that obtains approval in the United States will be heavily scrutinized by the FDA, the Department of Justice, the Office of Inspector General of the Department of Health and Human Services, state attorneys general, members of Congress and the public. Violations, including promotion of our products for unapproved or off-label uses, are subject to enforcement letters, inquiries and investigations, and civil, criminal and/or administrative sanctions by the FDA. Additionally, advertising and promotion of any product candidate that obtains approval outside of the United States will be heavily scrutinized by relevant foreign regulatory authorities.

 

Even if we obtain regulatory approval for our product candidates, the FDA or comparable foreign regulatory authorities may require labeling changes or impose significant restrictions on a product’s indicated uses or marketing or impose ongoing requirements for potentially costly post-approval studies or post-market surveillance.

 

In the United States, engaging in impermissible promotion of our product candidates for off-label uses can also subject us to false claims litigation under federal and state statutes, which can lead to significant civil, criminal and/or administrative penalties and fines and agreements, such as a corporate integrity agreement, that materially restrict the manner in which we promote or distribute our product candidates. If we do not lawfully promote our products once they have received regulatory approval, we may become subject to such litigation and, if we are not successful in defending against such actions, those actions could have a material adverse effect on our business, financial condition and operating results and even result in having an independent compliance monitor assigned to audit our ongoing operations for a lengthy period of time.

 

37

 

If we or any partners with which we may collaborate are unable to achieve and maintain coverage and adequate levels of reimbursement for TARA-002 or IV Choline Chloride following regulatory approval, their commercial success may be hindered severely.

 

If TARA-002 and IV Choline Chloride only becomes available by prescription, successful sales by us or by any partners with which we may collaborate depend on the availability of coverage and adequate reimbursement from third-party payors. Patients who are prescribed medicine for the treatment of their conditions generally rely on third-party payors to reimburse most or part of the costs associated with their prescription drugs. The availability of coverage and adequate reimbursement from governmental healthcare programs, such as Medicare and Medicaid in the United States, and private third-party payors is often critical to new product acceptance. Coverage decisions may depend on clinical and economic standards that disfavor new drug products when more established or lower-cost therapeutic alternatives are already available or subsequently become available, or may be affected by the budgets and demands on the various entities responsible for providing health insurance to patients who will use TARA-002 and IV Choline Chloride. Even if we obtain coverage for our products, the resulting reimbursement payment rates might not be adequate or may require co-payments that patients find unacceptably high. Patients are unlikely to use a product unless coverage is provided, and reimbursement is adequate to cover a significant portion of the cost.

 

In addition, the market for our products will depend significantly on access to third-party payors’ drug formularies or lists of medications for which third-party payors provide coverage and reimbursement. The industry competition to be included in such formularies often leads to downward pricing pressures on pharmaceutical companies and there may be time limitations on when a new drug may even apply for formulary inclusion. Also, third-party payors may refuse to include products in their formularies or otherwise restrict patient access to such products when a less costly generic equivalent or other treatment alternative is available in the discretion of the formulary.

 

Third-party payors, whether foreign or domestic, or governmental or commercial, are developing increasingly sophisticated methods of controlling healthcare costs. In addition, in the United States, although private third-party payors tend to follow Medicare practices, no uniform or consistent policy of coverage and reimbursement for drug products exists among third-party payors. Therefore, coverage and reimbursement for drug products can differ significantly from payor to payor as well as state to state. Consequently, the coverage determination process is often a time-consuming and costly process that must be played out across many jurisdictions and different entities and which will require us to provide scientific, clinical and health economics support for the use of our products compared to current alternatives and do so to each payor separately, with no assurance that coverage and adequate reimbursement will be obtained and in what time frame.

 

Further, we believe that future coverage and reimbursement likely will be subject to increased restrictions both in the United States and in international markets. Third-party coverage and reimbursement for our products may not be available or adequate in either the United States or international markets, which could harm our business, financial condition, operating results and prospects.

 

Healthcare reform measures could hinder or prevent the commercial success of our product candidates.

 

The Trump administration and certain members of the U.S. Congress sought to repeal all or part of the Patient Protection and Affordable Care Act, as amended by the Health Care and Education Reconciliation Act (collectively, “Affordable Care Act”), and implement a replacement program. For example, the so-called “individual mandate” was repealed as part of tax reform legislation adopted in December 2017, informally titled the Tax Cuts and Jobs Act (the “Tax Act”), such that the shared responsibility payment for individuals who fail to maintain minimum essential coverage under section 5000A of the Code was eliminated beginning in 2019. In addition, litigation may result in the repeal or replacement of prevent some or all of the Affordable Care Act legislation from taking effect. For example, on December 14, 2018, the U.S. District Court for the Northern District of Texas held that the individual mandate is a critical and inseverable feature of the Affordable Care Act, and therefore, because it was repealed as part of the Tax Act, the remaining provisions of the Affordable Care Act are invalid as well. On December 18, 2019, the U.S. Court of Appeals for the Fifth Circuit upheld the District Court ruling that the individual mandate was unconstitutional and remanded the case back to the District Court to determine whether the remaining provisions of the ACA are invalid as well. The United States Supreme Court is currently reviewing this case, although it is unclear when a decision will be made. Although the United States Supreme Court has yet ruled on the constitutionality of the Affordable Care Act on January 28, 2021, President Biden issued an executive order to initiate a special enrollment period from February 15, 2021 through May 15, 2021 for purposes of obtaining health insurance coverage through the Affordable Care Act marketplace. The executive order also instructs certain governmental agencies to review and reconsider their existing policies and rules that limit access to healthcare, including among others, reexamining Medicaid demonstration projects and waiver programs that include work requirements, and policies that create unnecessary barriers to obtaining access to health insurance coverage through Medicaid or the Affordable Care Act. It is unclear how the Supreme Court ruling, other such litigation and the healthcare reform efforts of the Biden administration will impact the Affordable Care Act and our business.

 

38

 

Additionally, there has been increasing legislative and enforcement interest in the United States with respect to drug pricing practices. For example, the Trump administration previously released a “Blueprint,” or plan, to lower drug prices and reduce out of pocket costs of drugs that contained proposals to increase drug manufacturer competition, increase the negotiating power of certain federal healthcare programs, incentivize manufacturers to lower the list price of their products, and reduce the out of pocket costs of drug products paid by consumers, and the Trump administration’s budget proposal for fiscal year 2021 includes a $135 billion allowance to support legislative proposals seeking to reduce drug prices, increase competition, lower out-of-pocket drug costs for patients, and increase patient access to lower-cost generic and biosimilar drugs. On March 10, 2020, the Trump administration sent “principles” for drug pricing to Congress, calling for legislation that would, among other things, cap Medicare Part D beneficiary out-of-pocket pharmacy expenses, provide an option to cap Medicare Part D beneficiary monthly out-of-pocket expenses, and place limits on pharmaceutical price increases. Several final rules have been recently promulgated that seek to implement several of the Trump administration’s proposals. However, it is unclear whether the Biden administration will work to reverse these measures or pursue similar policy initiatives. We expect that additional state and federal healthcare reform measures will be adopted in the future, particularly in light of the new Presidential administration, any of which could limit the amounts that federal and state governments will pay for healthcare products and services, which could result in reduced demand for our product candidates if approved or additional pricing pressures.

 

There are also calls to place additional restrictions on or to ban all direct-to-consumer advertising of pharmaceuticals, which would limit our ability to market our product candidates. The United States is in a minority of jurisdictions that allow this kind of advertising and its removal could limit the potential reach of a marketing campaign. Further, it is possible that additional government action is taken in response to the COVID-19 pandemic.

 

We may also be subject to stricter healthcare laws, regulation and enforcement, and our failure to comply with those laws could adversely affect our business, operations and financial condition.

 

Certain federal and state healthcare laws and regulations pertaining to fraud and abuse and patients’ rights are and will be applicable to our business. We are subject to regulation by both the federal government and the states in which we or our partners conduct business. The healthcare laws and regulations that may affect our ability to operate include but are not limited to: the federal Anti-Kickback Statute; federal civil and criminal false claims laws and civil monetary penalty laws; the federal Health Insurance Portability and Accountability Act of 1996, as amended by the Health Information Technology for Economic and Clinical Health Act; the Prescription Drug Marketing Act (for sampling of drug product among other things); the federal physician sunshine requirements under the Affordable Care Act; the Foreign Corrupt Practices Act as it applies to activities outside of the United States; the new federal Right-to-Try legislation; and state law equivalents of many of the above federal laws.

 

Because of the breadth of these laws and the narrowness of the statutory exceptions and safe harbors available, it is possible that some of our business activities could be subject to challenge under one or more of such laws. In addition, recent healthcare reform legislation has strengthened these laws. For example, the recently enacted Affordable Care Act, among other things, amended the intent requirement of the federal Anti-Kickback Statute and certain criminal healthcare fraud statutes. A person or entity no longer needs to have actual knowledge of the statute or specific intent to violate it. In addition, the Affordable Care Act provided that the government may assert that a claim including items or services resulting from a violation of the federal Anti-Kickback Statute constitutes a false or fraudulent claim for purposes of the federal civil False Claims Act.

 

Achieving and sustaining compliance with these laws may prove costly. In addition, any action against us for violation of these laws, even if we successfully defend against it, could cause us to incur significant legal expenses and divert management’s attention from the operation of our business and result in reputational damage. If our operations are found to be in violation of any of the laws described above or any other governmental laws or regulations that apply to us, we may be subject to significant penalties, including administrative, civil and criminal penalties, damages, including punitive damages, fines, disgorgement, the exclusion from participation in federal and state healthcare programs, imprisonment, additional oversight and reporting obligations, or the curtailment or restructuring of our operations, and injunctions, any of which could adversely affect our ability to operate our business and financial results.

 

We intend to in-license and acquire product candidates and may engage in other strategic transactions, which could impact our liquidity, increase our expenses and present significant distractions to our management.

 

Our strategy is to in-license and acquire product candidates and we may engage in other strategic transactions. Additional potential transactions that we may consider include a variety of different business arrangements, including spin-offs, strategic partnerships, joint ventures, restructurings, divestitures, business combinations and investments. Any such transaction may require us to incur non-recurring or other charges, may increase our near- and long-term expenditures and may pose significant integration challenges or disrupt our management or business, which could adversely affect our operations and financial results. Accordingly, there can be no assurance that we will undertake or successfully complete any transactions of the nature described above, and any transaction that we do complete could harm our business, financial condition, operating results and prospects. We have no current plan, commitment or obligation to enter into any transaction described above, and we are not engaged in discussions related to additional partnerships.

 

39

 

Our failure to successfully in-license, acquire, develop and market additional product candidates or approved products would impair our ability to grow our business.

 

We intend to in-license, acquire, develop and market additional products and product candidates. Because our internal research and development capabilities are limited, we may be dependent on pharmaceutical companies, academic or government scientists and other researchers to sell or license products or technology to us. The success of this strategy depends partly on our ability to identify and select promising pharmaceutical product candidates and products, negotiate licensing or acquisition agreements with their current owners, and finance these arrangements.

 

The process of proposing, negotiating and implementing a license or acquisition of a product candidate or approved product is lengthy and complex. Other companies, including some with substantially greater financial, marketing, sales and other resources, may compete with us for the license or acquisition of product candidates and approved products. We have limited resources to identify and execute the acquisition or in-licensing of third-party products, businesses and technologies and integrate them into our current infrastructure. Moreover, we may devote resources to potential acquisitions or licensing opportunities that are never completed, or we may fail to realize the anticipated benefits of such efforts. We may not be able to acquire the rights to additional product candidates on terms that we find acceptable or at all.

 

Further, any product candidate that we acquire may require additional development efforts prior to commercial sale, including preclinical or clinical testing and approval by the FDA and applicable foreign regulatory authorities. All product candidates are prone to risks of failure typical of pharmaceutical product development, including the possibility that a product candidate will not be shown to be sufficiently safe and effective for approval by regulatory authorities. In addition, we cannot provide assurance that any approved products that we acquire will be manufactured or sold profitably or achieve market acceptance.

 

We expect to rely on collaborations with third parties for the successful development and commercialization of our product candidates.

 

We expect to rely upon the efforts of third parties for the successful development and commercialization of our current and future product candidates. The clinical and commercial success of our product candidates may depend upon maintaining successful relationships with third-party partners which are subject to a number of significant risks, including the following:

 

 our partners’ ability to execute their responsibilities in a timely, cost-efficient and compliant manner;

 

 reduced control over delivery and manufacturing schedules;

 

 price increases and product reliability;

 

 manufacturing deviations from internal or regulatory specifications;

 

 quality incidents;

 

 the failure of partners to perform their obligations for technical, market or other reasons;

 

 misappropriation of our current or future product candidates; and

 

 other risks in potentially meeting our current and future product commercialization schedule or satisfying the requirements of our end-users.

 

We cannot assure you that we will be able to establish or maintain third-party relationships in order to successfully develop and commercialize our product candidates.

 

40

 

We rely completely on third-party contractors to supply, manufacture and distribute clinical drug supplies for our product candidates, which may include sole-source suppliers and manufacturers; we intend to rely on third parties for commercial supply, manufacturing and distribution if any of our product candidates receive regulatory approval; and we expect to rely on third parties for supply, manufacturing and distribution of preclinical, clinical and commercial supplies of any future product candidates.

 

We do not currently have, nor do we plan to acquire, the infrastructure or capability to supply, store, manufacture or distribute preclinical, clinical or commercial quantities of drug substances or products. Additionally, we have not entered into a long-term commercial supply agreement to provide us with such drug substances or products. As a result, our ability to develop our product candidates is dependent, and our ability to supply our products commercially will depend, in part, on our ability to obtain the APIs and other substances and materials used in our product candidates successfully from third parties and to have finished products manufactured by third parties in accordance with regulatory requirements and in sufficient quantities for preclinical and clinical testing and commercialization. If we fail to develop and maintain supply and other technical relationships with these third parties, we may be unable to continue to develop or commercialize our products and product candidates.

 

We do not have direct control over whether our contract suppliers and manufacturers will maintain current pricing terms, be willing to continue supplying us with API and finished products or maintain adequate capacity and capabilities to serve our needs, including quality control, quality assurance and qualified personnel. We are dependent on our contract suppliers and manufacturers for day-to-day compliance with applicable laws and cGMPs for production of both APIs and finished products. If the safety or quality of any product or product candidate or component is compromised due to a failure to adhere to applicable laws or for other reasons, we may not be able to commercialize or obtain regulatory approval for the affected product or product candidate successfully, and we may be held liable for injuries sustained as a result.

 

In order to conduct larger or late-stage clinical trials for our product candidates and supply sufficient commercial quantities of the resulting drug product and its components, if that product candidate is approved for sale, our contract manufacturers and suppliers will need to produce our drug substances and product candidates in larger quantities, more cost-effectively and, in certain cases, at higher yields than they currently achieve. If our third-party contractors are unable to scale up the manufacture of any of our product candidates successfully in sufficient quality and quantity and at commercially reasonable prices, or are shut down or put on clinical hold by government regulators, and we are unable to find one or more replacement suppliers or manufacturers capable of production at a substantially equivalent cost in substantially equivalent volumes and quality, and we are unable to transfer the processes successfully on a timely basis, the development of that product candidate and regulatory approval or commercial launch for any resulting products may be delayed, or there may be a shortage in supply, either of which could significantly harm our business, financial condition, operating results and prospects.

 

We expect to continue to depend on third-party contract suppliers and manufacturers for the foreseeable future. Our supply and manufacturing agreements, if any, do not guarantee that a contract supplier or manufacturer will provide services adequate for our needs. Additionally, any damage to or destruction of our third-party manufacturer’s or suppliers’ facilities or equipment, even by force majeure, may significantly impair our ability to have our products and product candidates manufactured on a timely basis. Our reliance on contract manufacturers and suppliers further exposes us to the possibility that they, or third parties with access to their facilities, will have access to and may misappropriate our trade secrets or other proprietary information. In addition, the manufacturing facilities of certain of our suppliers may be located outside of the United States. This may give rise to difficulties in importing our products or product candidates or their components into the United States or other countries.

 

In addition, we cannot be certain that any prolonged, intensified or worsened effect from the COVID-19 pandemic would not impact our supply chain.

 

The manufacture of biologics is complex and our third-party manufacturers may encounter difficulties in production. If our CDMO encounters such difficulties, the ability to provide supply of TARA-002 for clinical trials, our ability to obtain marketing approval, or our ability to obtain commercial supply of TARA-002, if approved, could be delayed or stopped.

 

We have no experience in biologic manufacturing and do not own or operate, and we do not expect to own or operate, facilities for product manufacturing, storage and distribution, or testing. We are completely dependent on CDMOs to fulfill our clinical and commercial supply of TARA-002. The process of manufacturing biologics is complex, highly regulated and subject to multiple risks. Manufacturing biologics is highly susceptible to product loss due to contamination, equipment failure, improper installation or operation of equipment, vendor or operator error, inconsistency in yields, variability in product characteristics and difficulties in scaling the production process. Even minor deviations from normal manufacturing processes could result in reduced production yields, product defects and other supply disruptions and higher costs. If microbial, viral or other contaminations are discovered at the facilities of our manufacturer, such facilities may need to be closed for an extended period of time to investigate and remedy the contamination, which could delay clinical trials, result in higher costs of drug product and adversely harm our business. Moreover, if the FDA determines that our manufacturer is not in compliance with FDA laws and regulations, including those governing cGMPs, the FDA may deny BLA approval until the deficiencies are corrected or we replace the manufacturer in our BLA with a manufacturer that is in compliance.

 

41

 

In addition, there are risks associated with large scale manufacturing for clinical trials or commercial scale including, among others, cost overruns, potential problems with process scale-up, process reproducibility, stability issues, compliance with cGMPs, lot consistency and timely availability of raw materials. Even if we obtain regulatory approval for TARA-002 or any future product candidates, there is no assurance that our manufacturers will be able to manufacture the approved product to specifications acceptable to the FDA or other regulatory authorities, to produce it in sufficient quantities to meet the requirements for the potential launch of the product or to meet potential future demand. If our manufacturers are unable to produce sufficient quantities for clinical trials or for commercialization, commercialization efforts would be impaired, which would have an adverse effect on our business, financial condition, results of operations and growth prospects. Scaling up a biologic manufacturing process is a difficult and uncertain task, and any CDMO we contract may not have the necessary capabilities to complete the implementation and development process of further scaling up production, transferring production to other sites, or managing its production capacity to timely meet product demand.

 

We expect our stock price to be highly volatile.

 

The market price of our shares could be subject to significant fluctuations. Market prices for securities of biotechnology and other life sciences companies historically have been particularly volatile subject even to large daily price swings. Some of the factors that may cause the market price of our shares to fluctuate include, but are not limited to:

 

 our ability to obtain timely regulatory approvals for TARA-002, IV Choline Chloride or future product candidates, and delays or failures to obtain such approvals;

 

 failure of TARA-002 or IV Choline Chloride, if approved, to achieve commercial success;

 

 issues in manufacturing TARA-002, IV Choline Chloride or future product candidates;

 

 the results of current and any future clinical trials of TARA-002 or IV Choline Chloride;

 

 failure of other of our product candidates, if approved, to achieve commercial success;

 

 the entry into, or termination of, or breach by partners of key agreements, including key commercial partner agreements;

 

 the initiation of, material developments in, or conclusion of any litigation to enforce or defend any intellectual property rights or defend against the intellectual property rights of others;

 

 announcements of any dilutive equity financings;

 

 announcements by commercial partners or competitors of new commercial products, clinical progress or the lack thereof, significant contracts, commercial relationships or capital commitments;

 

 failure to elicit meaningful stock analyst coverage and downgrades of our stock by analysts; and

 

 the loss of key employees.

 

Moreover, the stock markets in general have experienced substantial volatility in our industry that has often been unrelated to the operating performance of individual companies or a certain industry segment. These broad market fluctuations may also adversely affect the trading price of our shares.

 

In the past, following periods of volatility in the market price of a company’s securities, shareholders have often instituted class action securities litigation against those companies. Such litigation, if instituted, could result in substantial costs and diversion of management attention and resources, which could significantly harm our profitability and reputation. In addition, such securities litigation often has ensued after a reverse merger or other merger and acquisition activity. Such litigation if brought could impact negatively our business.

 

We incur costs and demands upon management as a result of complying with the laws and regulations affecting public companies.

 

As a public company, we have incurred, and will continue to incur, significant legal, accounting and other expenses that ArTara Subsidiary Inc. did not incur as a private company, including costs associated with public company reporting and other SEC requirements. We have also incurred, and will continue to incur, costs associated with corporate governance requirements, including requirements under the Sarbanes-Oxley Act, as well as rules implemented by the SEC and Nasdaq.

 

We expect the rules and regulations applicable to public companies will continue to substantially increase our legal and financial compliance costs and to make some activities more time-consuming and costly. Our executive officers and other personnel will need to continue to devote substantial time to gaining expertise regarding operations as a public company and compliance with applicable laws and regulations. These rules and regulations may also make it expensive for us to operate our business.

 

42

 

We are able to take advantage of reduced disclosure and governance requirements applicable to smaller reporting companies, which could result in our common stock being less attractive to investors.

 

We have a public float of less than $250 million and therefore qualify as a smaller reporting company under the rules of the SEC. As a smaller reporting company, we are able to take advantage of reduced disclosure requirements, such as simplified executive compensation disclosures and reduced financial statement disclosure requirements in our SEC filings. Decreased disclosures in our SEC filings due to our status as a smaller reporting company may make it harder for our investors to analyze our results of operations and financial prospects. We cannot predict if investors will find our common stock less attractive due to our reliance on these exemptions. If some investors find our common stock less attractive as a result, there may be a less active trading market for our common stock and our stock price may be more volatile. We may take advantage of the reporting exemptions applicable to a smaller reporting company until we are no longer a smaller reporting company, which status would end once we have a public float greater than $250 million. In that event, we could still be a smaller reporting company if our annual revenues were below $100 million and we have a public float of less than $700 million.

 

If we fail to attract and retain management and other key personnel, we may be unable to continue to successfully develop or commercialize our product candidates or otherwise implement our business plan.

 

Our ability to compete in the highly competitive pharmaceuticals industry depends on our ability to attract and retain highly qualified managerial, scientific, medical, legal, sales and marketing and other personnel. We are highly dependent on our management and scientific personnel. The loss of the services of any of these individuals could impede, delay or prevent the successful development of our product pipeline, completion of our planned clinical trials, commercialization of our product candidates or in-licensing or acquisition of new assets and could impact negatively our ability to implement successfully our business plan. If we lose the services of any of these individuals, we might not be able to find suitable replacements on a timely basis or at all, and our business could be harmed as a result. We might not be able to attract or retain qualified management and other key personnel in the future due to the intense competition for qualified personnel among biotechnology, pharmaceutical and other businesses.

 

Our ability to use our net operating loss carryforwards and certain other tax attributes to offset future taxable income or taxes may be limited.

 

Under the Tax Act, as modified by the CARES Act, federal net operating losses incurred in tax years beginning after December 31, 2017, may be carried forward indefinitely, but the deductibility of such federal net operating losses in tax years beginning after December 31, 2020. It is uncertain if and to what extent various states and localities will conform to the Tax Act or the CARES Act. In addition, under Sections 382 and 383 of the Internal Revenue Code of 1986, as amended, and corresponding provisions of state law, if a corporation undergoes an “ownership change,” which is generally defined as a greater than 50% change in its equity ownership value over a three-year period, the corporation’s ability to use its pre-change net operating loss carryforwards and other pre-change tax attributes to offset its post-change income or taxes may be limited. We have experienced an ownership change in the past and we may also experience additional ownership changes in the future as a result of subsequent shifts in our stock ownership, some of which may be outside of our control. If an ownership change occurs and our ability to use our net operating loss carryforwards is materially limited, it would harm our future operating results by effectively increasing our future tax obligations. In addition, at the state level, there may be periods during which the use of net operating loss carryforwards is suspended or otherwise limited, which could accelerate or permanently increase state taxes owed. As a result, if we earn net taxable income, we may be unable to use all or a material portion of our net operating loss carryforwards and other tax attributes, which could potentially result in increased future tax liability to us and adversely affect our future cash flows.

 

We may be adversely affected by natural disasters, pandemics and other catastrophic events and by man-made problems such as terrorism that could disrupt our business operations, and our business continuity and disaster recovery plans may not adequately protect us from a serious disaster.

 

Our corporate office is located in New York, New York. If a disaster, power outage, computer hacking, or other event occurred that prevented us from using all or a significant portion of an office, that damaged critical infrastructure, such as enterprise financial systems, IT systems, manufacturing resource planning or enterprise quality systems, or that otherwise disrupted operations, it may be difficult or, in certain cases, impossible for us to continue our business for a substantial period of time. As an example, New York City has been significantly impacted by the COVID-19 pandemic and, due to safety considerations for our employees and government restrictions, we do not know when we will be able to use our office facilities located there. Our contract manufacturer’s and suppliers’ facilities are located in multiple locations where there are similar stay-at-home orders in place for the current crisis and where other natural disasters or similar events, such as tornadoes, fires, explosions or large-scale accidents or power outages, or IT threats, pandemic, acts of terrorism and other geo-political unrest, could severely disrupt our operations and have a material adverse effect on our business, financial condition, operating results and prospects. All of the aforementioned risks may be further increased if we do not implement a disaster recovery plan or our partners’ or manufacturers’ disaster recovery plans prove to be inadequate. To the extent that any of the above should result in delays in the regulatory approval, manufacture, distribution or commercialization of TARA-002 or IV Choline Chloride, our business, financial condition, operating results and prospects would suffer.

 

43

 

Anti-takeover provisions in our charter documents and under Delaware law could make an acquisition of us more difficult and may prevent attempts by our stockholders to replace or remove management.

 

Provisions in our certificate of incorporation and bylaws may delay or prevent an acquisition or a change in management. In addition, because we are incorporated in Delaware, we are governed by the provisions of Section 203 of the DGCL, which prohibits stockholders owning in excess of 15% of the outstanding voting stock from merging or combining with us. These provisions may frustrate or prevent any attempts by our stockholders to replace or remove then current management by making it more difficult for stockholders to replace members of the board of directors, which is responsible for appointing the members of management.

 

The certificate of incorporation of ours provides that the Court of Chancery of the State of Delaware is the exclusive forum for substantially all disputes between us and our stockholders, which could limit our stockholders’ ability to obtain a favorable judicial forum for disputes with us or our directors, officers or other employees.

 

The certificate of incorporation of ours provides that the Court of Chancery of the State of Delaware is the sole and exclusive forum for any derivative action or proceeding brought on our behalf, any action asserting a breach of fiduciary duty owed by any of our directors, officers or other employees to us or our stockholders, any action asserting a claim against us arising pursuant to any provisions of the DGCL, our certificate of incorporation or our bylaws, or any action asserting a claim against us that is governed by the internal affairs doctrine. The choice of forum provision may limit a stockholder’s ability to bring a claim in a judicial forum that it finds favorable for disputes with us or our directors, officers or other employees, which may discourage such lawsuits against us and our directors, officers and other employees. If a court were to find the choice of forum provision contained in the certificate of incorporation to be inapplicable or unenforceable in an action, we may incur additional costs associated with resolving such action in other jurisdictions.

 

Certain stockholders have the ability to control or significantly influence certain matters submitted to our stockholders for approval.

 

Certain stockholders have consent rights over certain significant matters of our business. These include decisions to effect a merger or other similar transaction, changes to the principal business of ours, and the sale or other transfer of TARA-002 or other assets with an aggregate value of more than $2,500,000. As a result, these stockholders, have significant influence over certain matters that require approval by our stockholders.

 

If we fail to maintain proper and effective internal controls, our ability to produce accurate financial statements on a timely basis could be impaired.

 

We are subject to the reporting requirements of the Exchange Act, the Sarbanes-Oxley Act and the rules and regulations of Nasdaq. The Sarbanes-Oxley Act requires, among other things, that we maintain effective disclosure controls and procedures and internal control over financial reporting. We must perform system and process evaluation and testing of our internal control over financial reporting to allow management to report on the effectiveness of our internal controls over financial reporting in our Annual Report on Form 10-K filing for that year, as required by Section 404 of the Sarbanes-Oxley Act. This will require that we incur substantial professional fees and internal costs to expand our accounting and finance functions and that we expend significant management efforts. We may experience difficulty in meeting these reporting requirements in a timely manner.

 

We may discover weaknesses in our system of internal financial and accounting controls and procedures that could result in a material misstatement of our financial statements. Our internal control over financial reporting will not prevent or detect all errors and all fraud. A control system, no matter how well designed and operated, can provide only reasonable, not absolute, assurance that the control system’s objectives will be met. Because of the inherent limitations in all control systems, no evaluation of controls can provide absolute assurance that misstatements due to error or fraud will not occur or that all control issues and instances of fraud will be detected.

 

If we are not able to comply with the requirements of Section 404 of the Sarbanes-Oxley Act, or if we are unable to maintain proper and effective internal controls, we may not be able to produce timely and accurate financial statements. If that were to happen, the market price of our common stock could decline and we could be subject to sanctions or investigations by Nasdaq, the SEC or other regulatory authorities.

 

44

 

Risks Related to Intellectual Property Rights

 

We may not be able to obtain, maintain or enforce global patent rights or other intellectual property rights that cover our product candidates and technologies that are of sufficient breadth to prevent third parties from competing against us.

 

Our success with respect to our product candidates will depend, in part, on our ability to obtain and maintain patent protection in both the United States and other countries, to preserve our trade secrets and to prevent third parties from infringing on our proprietary rights. Our ability to protect our product candidates from unauthorized or infringing use by third parties depends in substantial part on our ability to obtain and maintain valid and enforceable patents around the world.

 

The patent application process, also known as patent prosecution, is expensive and time-consuming, and we and our current or future licensors and licensees may not be able to prepare, file and prosecute all necessary or desirable patent applications at a reasonable cost or in a timely manner in all the countries that are desirable. It is also possible that we or our current licensors, or any future licensors or licensees, will fail to identify patentable aspects of inventions made in the course of development and commercialization activities before it is too late to obtain patent protection on them. Therefore, these and any of our patents and applications may not be prosecuted and enforced in a manner consistent with the best interests of our business. Moreover, our competitors independently may develop equivalent knowledge, methods and know-how or discover workarounds to our patents that would not constitute infringement. Any of these outcomes could impair our ability to enforce the exclusivity of our patents effectively, which may have an adverse impact on our business, financial condition and operating results.

 

Due to legal standards relating to patentability, validity, enforceability and claim scope of patents covering pharmaceutical inventions, our ability to obtain, maintain and enforce patents is uncertain and involves complex legal and factual questions especially across countries. Accordingly, rights under any existing patents or any patents we might obtain or license may not cover our product candidates or may not provide us with sufficient protection for our product candidates to afford a sustainable commercial advantage against competitive products or processes, including those from branded, generic and over-the-counter pharmaceutical companies. In addition, we cannot guarantee that any patents or other intellectual property rights will issue from any pending or future patent or other similar applications owned by or licensed to us. Even if patents or other intellectual property rights have issued or will issue, we cannot guarantee that the claims of these patents and other rights are or will be held valid or enforceable by the courts, through injunction or otherwise, or will provide us with any significant protection against competitive products or otherwise be commercially valuable to us in every country of commercial significance that we may target.

 

Competitors in the field of immunology and oncology therapeutics have created a substantial amount of prior art, including scientific publications, posters, presentations, patents and patent applications and other public disclosures including on the Internet. Our ability to obtain and maintain valid and enforceable patents depends on whether the differences between our technology and the prior art allow our technology to be patentable over the prior art. We do not have outstanding issued patents covering all of the recent developments in our technology and are unsure of the patent protection that we will be successful in obtaining, if any. Even if the patents do successfully issue, third parties may design around or challenge the validity, enforceability or scope of such issued patents or any other issued patents we own or license, which may result in such patents being narrowed, invalidated or held unenforceable. If the breadth or strength of protection provided by the patents we hold or pursue with respect to our product candidates is challenged, it could dissuade companies from collaborating with us to develop or threaten our ability to commercialize or finance our product candidates.

 

The laws of some foreign jurisdictions do not provide intellectual property rights to the same extent or duration as in the United States, and many companies have encountered significant difficulties in acquiring, maintaining, protecting, defending and especially enforcing such rights in foreign jurisdictions. If we encounter such difficulties in protecting, or are otherwise precluded from effectively protecting, our intellectual property in foreign jurisdictions, our business prospects could be substantially harmed, especially internationally.

 

Proprietary trade secrets and unpatented know-how are also very important to our business. Although we have taken steps to protect our trade secrets and unpatented know-how by entering into confidentiality agreements with third parties, and intellectual property protection agreements with officers, directors, employees, and certain consultants and advisors, there can be no assurance that binding agreements will not be breached or enforced by courts, that we would have adequate remedies for any breach, including injunctive and other equitable relief, or that our trade secrets and unpatented know-how will not otherwise become known, inadvertently disclosed by us or our agents and representatives, or be independently discovered by our competitors. If trade secrets are independently discovered, we would not be able to prevent their use and if we and our agents or representatives inadvertently disclose trade secrets and/or unpatented know-how, we may not be allowed to retrieve this and maintain the exclusivity we previously enjoyed.

 

45

 

We may not be able to protect our intellectual property rights throughout the world.

 

Filing, prosecuting and defending patents on our product candidates does not guarantee exclusivity. The requirements for patentability differ in certain countries, particularly developing countries. In addition, the laws of some foreign countries do not protect intellectual property rights to the same extent as laws in the United States, especially when it comes to granting use and other kinds of patents and what kind of enforcement rights will be allowed, especially injunctive relief in a civil infringement proceeding. Consequently, we may not be able to prevent third parties from practicing our inventions in all countries outside the United States and even in launching an identical version of our product notwithstanding we have a valid patent in that country. Competitors may use our technologies in jurisdictions where we have not obtained patent protection to develop their own products, or produce copy products, and, further, may export otherwise infringing products to territories where we have patent protection but enforcement on infringing activities is inadequate or where we have no patents. These products may compete with our products, and our patents or other intellectual property rights may not be effective or sufficient to prevent them from competing.

 

Many companies have encountered significant problems in protecting and defending intellectual property rights in foreign jurisdictions. The legal systems of certain countries, particularly certain developing countries, do not favor the enforcement of patents and other intellectual property protection, particularly those relating to pharmaceuticals, and the judicial and government systems are often corrupt, which could make it difficult for us to stop the infringement of our patents or marketing of competing products in violation of our proprietary rights generally. Proceedings to enforce our patent rights in foreign jurisdictions could result in substantial costs and divert our efforts and attention from other aspects of our business, could put our global patents at risk of being invalidated or interpreted narrowly and our global patent applications at risk of not issuing, and could provoke third parties to assert claims against us. We may not prevail in any lawsuits that we initiate or infringement actions brought against us, and the damages or other remedies awarded, if any, may not be commercially meaningful when we are the plaintiff. When we are the defendant we may be required to post large bonds to stay in the market while we defend ourselves from an infringement action.

 

In addition, certain countries in Europe and certain developing countries have compulsory licensing laws under which a patent owner may be compelled to grant licenses to third parties, especially if the patent owner does not enforce or use its patents over a protracted period of time. In some cases, the courts will force compulsory licenses on the patent holder even when finding the patent holder’s patents are valid if the court believes it is in the best interests of the country to have widespread access to an essential product covered by the patent. In these situations, the royalty the court requires to be paid by the license holder receiving the compulsory license is not calculated at fair market value and can be inconsequential, thereby disaffecting the patent holder’s business. In these countries, we may have limited remedies if our patents are infringed or if we are compelled to grant a license to our patents to a third party, which could also materially diminish the value of those patents. This would limit our potential revenue opportunities. Accordingly, our efforts to enforce our intellectual property rights around the world may be inadequate to obtain a significant commercial advantage from the intellectual property that we own or license, especially in comparison to what we enjoy from enforcing our intellectual property rights in the Unites States. Finally, our ability to protect and enforce our intellectual property rights may be adversely affected by unforeseen changes in both U.S. and foreign intellectual property laws, or changes to the policies in various government agencies in these countries, including but not limited to the patent office issuing patents and the health agency issuing pharmaceutical product approvals For example, in Brazil, pharmaceutical patents require initial approval of the Brazilian health agency (ANVISA). Finally, many countries have large backlogs in patent prosecution, and in some countries in Latin America it can take years, even decades, just to get a pharmaceutical patent application reviewed notwithstanding the merits of the application.

 

Obtaining and maintaining patent protection depends on compliance with various procedural, document submission, fee payment, and other requirements imposed by governmental patent agencies, and our patent protection could be reduced or eliminated for non-compliance with these requirements.

 

Periodic maintenance and annuity fees on any issued patent are due to be paid to the USPTO and foreign patent agencies in several stages over the lifetime of the patent. The USPTO and various foreign governmental patent agencies require compliance with a number of procedural, documentary, fee payment and other similar provisions during the patent application process. While an inadvertent lapse can, in many cases, be cured by payment of a late fee or by other means in accordance with the applicable rules, there are situations in which noncompliance can result in abandonment or lapse of the patent or patent application, resulting in partial or complete loss of patent rights in the relevant jurisdiction just for failure to know about and/or timely pay a prosecution fee. Non-compliance events that could result in abandonment or lapse of a patent or patent application include failure to respond to official actions within prescribed time limits, non-payment of fees in prescribed time periods, and failure to properly legalize and submit formal documents in the format and style the country requires. If we or our licensors fail to maintain the patents and patent applications covering our product candidates for any reason, our competitors might be able to enter the market, which would have an adverse effect on our business.

 

46

 

If we fail to comply with our obligations under our intellectual property license agreements, we could lose license rights that are important to our business. Additionally, these agreements may be subject to disagreement over contract interpretation, which could narrow the scope of our rights to the relevant intellectual property or technology or increase our financial or other obligations to our licensors.

 

We have entered into in-license arrangements with respect to certain of our product candidates. These license agreements impose various diligence, milestone, royalty, insurance and other obligations on us. If we fail to comply with these obligations, the respective licensors may have the right to terminate the license, in which event we may not be able to develop or market the affected product candidate. The loss of such rights could materially adversely affect our business, financial condition, operating results and prospects.

 

If we are sued for infringing intellectual property rights of third parties, such litigation could be costly and time consuming and could prevent or delay us from developing or commercializing our product candidates.

 

Our commercial success depends on our ability to develop, manufacture, market and sell our product candidates and use our proprietary technologies without infringing the proprietary rights of third parties. We cannot assure that marketing and selling such candidates and using such technologies will not infringe existing or future patents. Numerous U.S.- and foreign-issued patents and pending patent applications owned by third parties exist in the fields relating to our product candidates. As the biotechnology and pharmaceutical industries expand and more patents are issued, the risk increases that others may assert that our product candidates, technologies or methods of delivery or use infringe their patent rights. Moreover, it is not always clear to industry participants, including us, which patents and other intellectual property rights cover various drugs, biologics, drug delivery systems or their methods of use, and which of these patents may be valid and enforceable. Thus, because of the large number of patents issued and patent applications filed in our fields across many countries, there may be a risk that third parties may allege they have patent rights encompassing our product candidates, technologies or methods.

 

In addition, there may be issued patents of third parties that are infringed or are alleged to be infringed by our product candidates or proprietary technologies notwithstanding patents we may possess. Because some patent applications in the United States may be maintained in secrecy until the patents are issued, because patent applications in the United States and many foreign jurisdictions are typically not published until 18 months after filing and because publications in the scientific literature often lag behind actual discoveries, we cannot be certain that others have not filed patent applications for technology covered by our own and in-licensed issued patents or our pending applications. Our competitors may have filed, and may in the future file, patent applications covering our product candidates or technology similar to our technology. Any such patent application may have priority over our own and in-licensed patent applications or patents, which could further require us to obtain rights to issued patents covering such technologies, which may mean paying significant licensing fees or the like. If another party has filed a U.S. patent application on inventions similar to those owned or in-licensed to us, or, in the case of in-licensed technology, the licensor may have to participate, in the United States, in an interference proceeding to determine priority of invention.

 

We may be exposed to, or threatened with, future litigation by third parties having patent or other intellectual property rights alleging that our product candidates or proprietary technologies infringe such third parties’ intellectual property rights, including litigation resulting from filing under Paragraph IV of the Hatch-Waxman Act or other countries’ laws similar to the Hatch-Waxman Act. These lawsuits could claim that there are existing patent rights for such drug, and this type of litigation can be costly and could adversely affect our operating results and divert the attention of managerial and technical personnel, even if we do not infringe such patents or the patents asserted against us is ultimately established as invalid. There is a risk that a court would decide that we are infringing the third party’s patents and would order us to stop the activities covered by the patents. In addition, there is a risk that a court will order us to pay the other party significant damages for having violated the other party’s patents.

 

Because we rely on certain third-party licensors and partners and will continue to do so in the future, if one of our licensors or partners is sued for infringing a third party’s intellectual property rights, our business, financial condition, operating results and prospects could suffer in the same manner as if we were sued directly. In addition to facing litigation risks, we have agreed to indemnify certain third-party licensors and partners against claims of infringement caused by our proprietary technologies, and we have entered or may enter into cost-sharing agreements with some our licensors and partners that could require us to pay some of the costs of patent litigation brought against those third parties whether or not the alleged infringement is caused by our proprietary technologies. In certain instances, these cost-sharing agreements could also require us to assume greater responsibility for infringement damages than would be assumed just on the basis of our technology.

 

The occurrence of any of the foregoing could adversely affect our business, financial condition or operating results.

 

We may be subject to claims that our officers, directors, employees, consultants or independent contractors have wrongfully used or disclosed to us alleged trade secrets of their former employers or their former or current customers.

 

As is common in the biotechnology and pharmaceutical industries, certain of our employees were formerly employed by other biotechnology or pharmaceutical companies, including our competitors or potential competitors. Moreover, we engage the services of consultants to assist us in the development of our products and product candidates, many of whom were previously employed at, or may have previously been or are currently providing consulting services to, other biotechnology or pharmaceutical companies, including our competitors or potential competitors. We may be subject to claims that these employees and consultants or we have inadvertently or otherwise used or disclosed trade secrets or other proprietary information of their former employers or their former or current customers. Although we have no knowledge of any such claims being alleged to date, if such claims were to arise, litigation may be necessary to defend against any such claims. Even if we are successful in defending against any such claims, any such litigation could be protracted, expensive, a distraction to our management team, not viewed favorably by investors and other third parties, and may potentially result in an unfavorable outcome.

 

47

 

General Risk Factors

 

We do not anticipate paying any dividends in the foreseeable future.

 

The current expectation is that we will retain our future earnings to fund the development and growth of our business. As a result, capital appreciation, if any, of your shares of us will be your sole source of gain, if any, for the foreseeable future.

 

Our business and operations would suffer in the event of system failures, cyber-attacks or a deficiency in our cyber-security.

 

Despite the implementation of security measures, our internal computer systems and those of our current and future CROs and other contractors and consultants are vulnerable to damage from computer viruses, unauthorized access, natural disasters, terrorism, war and telecommunication and electrical failures. The risk of a security breach or disruption, particularly through cyber-attacks or cyber-intrusion, including by computer hackers, foreign governments, and cyber-terrorists, has generally increased as the number, intensity and sophistication of attempted attacks and intrusions from around the world have increased. If such an event were to occur and cause interruptions in our operations, it could result in a material disruption of our development programs and our business operations. In the first quarter of 2020, our email server was compromised in a cyber-attack. We quickly isolated the incident and have, since, implemented additional risk prevention measures. In addition, since we sponsor clinical trials, any breach that compromises patient data and identities causing a breach of privacy could generate significant reputational damage and legal liabilities and costs to recover and repair, including affecting trust in us to recruit for future clinical trials. For example, the loss of clinical trial data from completed or future clinical trials could result in delays in our regulatory approval efforts and significantly increase our costs to recover or reproduce the data. To the extent that any disruption or security breach were to result in a loss of, or damage to, our data or applications or inappropriate disclosure of confidential or proprietary information, we could incur liability and the further development and commercialization of our products and product candidates could be delayed.

 

If equity research analysts do not publish research or reports, or publish unfavorable research or reports, about us, our business or our market, our stock price and trading volume could decline.

 

The trading market for our common stock is influenced by the research and reports that equity research analysts publish about us and our business. Equity research analysts may elect not to provide research coverage of our common stock, and such lack of research coverage may adversely affect the market price of our common stock. In the event we do have equity research analyst coverage, we will not have any control over the analysts or the content and opinions included in their reports. The price of our common stock could decline if one or more equity research analysts downgrade our stock or issue other unfavorable commentary or research. If one or more equity research analysts ceases coverage of us or fails to publish reports on us regularly, demand for our common stock could decrease, which in turn could cause our stock price or trading volume to decline.

 

Item 1B. Unresolved Staff Comments.

 

This item is not applicable.

 

Item 2. Properties.

 

As of December 31, 2020, we lease approximately 10,252 square feet of space for our headquarters in New York, New York under an agreement that expires in March 2028, with monthly rent of $93,122. This lease has been entered into but the Company will not have access to the premises until the second quarter of 2021. Our previous headquarters for approximately 700 square feet of space with monthly rent of $15,300 expires in March 2021 and we do not intend to extend this lease. In addition, we entered into a quarter-to-quarter lease agreement for a development lab, a manufacturing space and an additional manufacturing space, all located in North Carolina for quarterly rent of $1,309, $19,173 and $10,625, respectively. The development lab space has been occupied as of May 2019, the manufacturing space has been occupied as of March 2020 and the additional manufacturing space has been occupied as of December 2020. We believe that our existing facilities are adequate to meet our current needs, and that suitable additional alternative spaces will be available in the future on commercially reasonable terms.

 

Item 3. Legal Proceedings.

 

From time to time, we may be subject to various legal proceedings and claims that arise in the ordinary course of our business activities. We are not currently a party to any legal proceedings that, in the opinion of our management, are likely to have a material adverse effect on our business. Regardless of outcome, litigation can have an adverse impact on us because of defense and settlement costs, diversion of management resources and other factors.

Item 4. Mine Safety Disclosures.

 

This item is not applicable.

 

48

 

PART II

 

Item 5.Market for Registrant’s Common Equity, Related Stockholder Matters and Issuer Purchases of Equity Securities.

 

Our common stock is traded on the Nasdaq Capital Market under the symbol “TARA”.

 

Holders of Our Common Stock

 

As of March 11, 2021, there were 11,228,606 shares of common stock outstanding held by approximately 25 stockholders of record. The actual number of stockholders is greater than this number of record holders, and includes stockholders who are beneficial owners, whose shares are held in street name by brokers and other nominees.

 

Dividend Policy

 

We have never declared or paid cash dividends on our Common Stock, and we do not expect to pay any cash dividends on our Common Stock in the foreseeable future. Payment of future dividends, if any, on our Common Stock will be at the discretion of our Board of Directors after taking into account various factors, including our financial condition, operating results, anticipated cash needs, and plans for expansion.

 

Securities Authorized for Issuance under Equity Compensation Plans

 

See Item 12 of Part III of this Annual Report on Form 10-K regarding information about securities authorized for issuance under our equity compensation plans.

 

Recent Sales of Unregistered Securities

 

Other than as previously disclosed in our past Quarterly Reports on Form 10-Q and Current Reports on Form 8-K, we did not have any sales of unregistered securities for the period covered by this Annual Report on Form 10-K.

 

Item 6. Selected Financial Data.

 

Information requested by this Item is not applicable as we are electing scaled disclosure requirements available to Smaller Reporting Companies with respect to this Item. 

 

49

 

Item 7. Management’s Discussion and Analysis of Financial Condition and Results of Operations.

 

You should read the following discussion and analysis of our financial condition and results of operations together with our financial statements and related notes appearing elsewhere in this report. Some of the information contained in this discussion and analysis or set forth elsewhere in this report, including information with respect to our plans and strategy for our business and related financing, includes forward-looking statements that involve risks and uncertainties. As a result of many factors, including those factors set forth in the “Risk Factors” section of this document, our actual results could differ materially from the results described in, or implied by, the forward-looking statements contained in the following discussion and analysis.

 

Overview

 

We are a New York City based clinical-stage biopharmaceutical company committed to identifying and advancing transformative therapies for the treatment of cancer and rare diseases with significant unmet needs. We prioritize creativity, diverse perspectives, integrity and tenacity to expedite our goal of bringing life-changing therapies to people with limited treatment options.

 

Our portfolio includes two development programs utilizing TARA-002, an investigational cell therapy based on the broad immunopotentiator, OK-432, which was originally granted marketing approval by the Japanese Ministry of Health and Welfare as an immunopotentiating cancer therapeutic agent. This cell therapy is currently approved in Japan for lymphatic malformations, or LMs, and multiple oncologic indications. It has never been approved outside Japan and we have secured worldwide rights to the asset excluding Japan and Taiwan and have begun to explore its use in rare and oncology indications. We are developing TARA-002 in non-muscle invasive bladder cancer, or NMIBC, and in LMs.

 

TARA-002’s lead oncology program is in non-muscle invasive bladder cancer or NMIBC, which is cancer found in the tissue that lines the inner surface of the bladder that has not spread into the bladder muscle. Bladder cancer is the sixth most common cancer in the United States, with NMIBC representing approximately 80% of bladder cancer diagnoses. Approximately 65,000 patients are diagnosed with NMIBC in the United States each year. Very few new therapeutics have been approved in NMIBC since the 1990s and the current standard of care for NMIBC includes intravesical Bacillus Calmette-Guerin, or BCG. The mechanism of TARA-002 is similar to BCG. Both TARA-002 and BCG are intravesically administered and elicit a type Th1 type immune response and locally activated generally similar array of cytokines and immune cells.

 

In August of 2020, we announced constructive feedback following a pre-Investigational New Drug (pre-IND) interaction with the Office of Tissues and Advanced Therapies division of the Center for Biologics Evaluation and Research, or CBER, at the FDA on a development plan for TARA-002 in NMIBC. Building on existing data from OK-432, and subject to the completion of non-clinical studies as well as acceptance of the IND application, we plan to commence a Phase 1 clinical trial in late 2021 to assess the safety and tolerability of TARA-002 in patients with high grade NMIBC.

 

The most advanced clinical program is for LMs, which are rare, non-malignant cysts of the lymphatic vascular system that primarily form in the head and neck region of children before the age of two. In July 2020, the U.S. Food and Drug Administration, or FDA, granted Rare Pediatric Disease designation for TARA-002 for the treatment of LMs. OK-432, the originator compound to TARA-002, has been the standard of care in LMs in Japan for over 20 years. In addition to the clinical experience in Japan, we have secured the rights to a dataset from one of the largest ever conducted Phase 2 studies in lymphatic malformations, in which OK-432 was administered via a compassionate use program led by the University of Iowa to over 400 pediatric and adult patients. We have updated the initial IND that was submitted by the University of Iowa and submitted the update and accompanying clarifying questions to the FDA Division of Vaccines and Related Products Applications, or the Division, in connection with the IND for TARA-002 in LMs. We plan to utilize the robust dataset for OK-432 in LMs to support the potential filing of a Biological License Application (BLA) for TARA-002 in lymphatic LMs. We are encouraged by the progress to date and, at the FDA’s request, have submitted the full Clinical Study Report (CSR) of the randomized Phase 2 study of OK-432 in LMs led by the University of Iowa. We continue to prepare for a potential BLA filing in the second half of 2021, or to initiate additional clinical work as required by FDA.

 

TARA-002 was developed from the same master cell bank of genetically distinct group A Streptococcus pyogenes as OK-432 (marketed as Picibanil® in Japan and Taiwan by Chugai Pharmaceutical Co., Ltd., or Chugai Pharmaceutical). Following a pre-IND interaction with the Office of Tissues and Advanced Therapies Division of the Center for Biologics Evaluation and Research, or CBER, the FDA agreed that we have successfully demonstrated initial manufacturing comparability between TARA-002 and OK-432. This initial comparability will be confirmed by GMP scale batches, which are currently underway using the same release tests that have already been approved by the FDA.

 

50

 

The third development program in our portfolio is intravenous, or IV, Choline Chloride, an investigational phospholipid substrate replacement therapy initially in development for patients receiving parenteral nutrition, or PN, who have intestinal failure associated liver disease, or IFALD. IV Choline Chloride has been granted Orphan Drug Designation by the FDA for this indication and has also been granted Fast Track Designation for the treatment of IFALD. Following a positive end of Phase 2 meeting with the FDA, we received feedback on the design of the studies necessary to complete the registration package for IV Choline Chloride for the treatment of IFALD, including a Phase 1 pharmacokinetic study followed by Phase 3 trial. Prior to initiating these clinical studies, we are currently undertaking a prevalence study in partnership with a large home health organization in the United States to enhance understanding of the PN patient population and we plan to use this information to determine the next steps for the development program. The goal of the study is to understand the presence/incidence of liver disease in this patient population.

 

Our fourth program, vonapanitase, is a recombinant human elastase. We are reviewing the research and preclinical and clinical data of vonapanitase and have not yet determined whether to pursue further development of this product candidate in the future.

 

We have devoted substantial efforts to the development of these programs and do not have any approved products and have not generated any revenue from product sales. TARA-002 is in later stage development for LMs and has not yet been approved for use for treatment of LMs, NMIBC or any other indications. We do not expect to generate revenues prior to 2022, if ever. To finance our current strategic plans, including the conduct of ongoing and future clinical trials and further research and development costs, we will need to raise additional capital.

 

Since inception, we have incurred significant operating losses. As of December 31, 2020, we had an accumulated deficit of approximately $46.8 million. We expect to continue to incur significant expenses and increasing operating losses for at least the next few years as we continue our development of, and seek marketing approvals for, our product candidates, prepare for and begin the commercialization of any approved products, and add infrastructure and personnel to support our product development efforts and operations as a public company in the United States.

 

As a clinical-stage company, our expenses and results of operations are likely to fluctuate significantly from quarter to quarter and year to year. We believe that our period-to-period comparisons of our results of operations should not be relied upon as indicative of our future performance.

 

As of December 31, 2020, we had approximately $168.6 million in cash and cash equivalents.

 

Merger

 

On January 9, 2020, Protara Therapeutics, Inc. (formerly ArTara Therapeutics, Inc., formerly Proteon Therapeutics, Inc., the “Company”), completed its previously announced merger transaction with ArTara Subsidiary, Inc. (formerly ArTara Therapeutics, Inc., “Private ArTara”) in accordance with the terms of the Agreement and Plan of Merger and Reorganization, dated as of September 23, 2019, by and among the Company, REM 1 Acquisition, Inc. (“Merger Sub”), and Private ArTara (as amended on November, 19, 2019, the “Merger Agreement”), pursuant to which Merger Sub merged with and into Private ArTara, with Private ArTara surviving as a wholly owned subsidiary of the Company (the “Merger”).The Merger was structured as a reverse merger and Private ArTara was determined to be the accounting acquirer based on the terms of the Merger and other factors. Following the completion of the Merger, the Company is focused on advancing Private ArTara’s drug development programs.

 

On January 9, 2020, in connection with, and prior to the completion of, the Merger, the Company effected a 1-for-40 reverse stock split of its common stock (the “Reverse Stock Split”), Private ArTara changed its name from “ArTara Therapeutics, Inc.” to “ArTara Subsidiary, Inc.”, and the Company changed its name from “Proteon Therapeutics, Inc.” to “ArTara Therapeutics, Inc.”. On May 11, 2020, the Company changed its name to Protara Therapeutics, Inc. In addition, immediately following the closing of the Private Placement (defined below), all of the outstanding shares of the Company’s Series A Preferred Stock were converted into shares of the Company’s common stock.

 

Under the terms of the Merger Agreement, the Company issued shares of its common stock (“Common Stock”) to Private ArTara’s stockholders, at an exchange ratio of 0.190756 shares of Common Stock, after taking into account the Reverse Stock Split, for each share of Private ArTara common stock outstanding immediately prior to the Merger. The Company assumed all of the outstanding and unexercised stock options of Private ArTara, with such stock options now representing the right to purchase a number of shares of Common Stock equal to 0.190756 multiplied by the number of shares of Private ArTara common stock previously represented by such Private ArTara stock options. The Company also assumed all of the unvested Private ArTara restricted stock awards, which were exchanged for a number of shares of Common Stock equal to 0.190756 multiplied by the number of shares of Private ArTara common stock previously represented by such Private ArTara restricted stock awards and unvested to the same extent as such Private ArTara restricted stock awards and subject to the same restrictions as such Private ArTara restricted stock awards.

 

51

 

The shares of Common Stock issued to the former stockholders of Private ArTara were registered with the U.S. Securities and Exchange Commission (the “SEC”) on a Registration Statement on Form S-4 (Reg. No. 333-234549) (the “Registration Statement”).

 

The shares of Common Stock listed on The Nasdaq Capital Market, previously trading through the close of business on Thursday, January 9, 2020 under the ticker symbol “PRTO,” commenced trading on The Nasdaq Capital Market, on a post-Reverse Stock Split adjusted basis, under the ticker symbol “TARA,” on Friday, January 10, 2020.

 

COVID-19

 

The ultimate impact of the current COVID-19 pandemic or a similar health epidemic is highly uncertain and subject to change. We have experienced delays, but may experience additional future delays that impact our business, our research and development activities, healthcare systems and the global economy as a whole. However, we will continue to monitor the COVID-19 situation closely should the effects have a material impact on our operations, liquidity and capital resources.

 

In response to public health directives and orders, we have implemented work-from-home policies for our employees and temporarily modified our operations to comply with applicable social distancing recommendations. Similar health directives and orders are affecting third parties with whom we do business, including the third parties that we have contracted with to conduct studies for TARA-002. The effects of the orders and our related adjustments in our business are likely to negatively impact productivity, disrupt our business and delay our timelines, the magnitude of which will depend, in part, on the length and severity of the restrictions and other limitations on our ability to conduct our business in the ordinary course.

 

Severe and/or long-term disruptions in our operations will negatively impact our business, operating results and financial condition in other ways, as well. Specifically, we anticipate that the stress of COVID-19 on healthcare systems around the globe will negatively impact our ability to conduct clinical trials in the near term due primarily to the lack of resources at clinical trial sites and the resulting inability to enroll patients in the trials. We also anticipate that the global impact of COVID-19 will negatively impact our ability to conduct nonclinical studies due primarily to laboratory closures and limited availability of personnel. In addition, while the potential economic impact brought by, and the duration of, COVID-19 may be difficult to assess or predict, it has significantly disrupted global financial markets, and may limit our ability to access capital, which could in the future negatively affect our liquidity. A recession or market correction resulting from the spread of COVID-19 could materially affect our business and the value of our common stock.

 

52

 

Financial Overview

 

Research and Development Expenses

 

Research and development expenses consist primarily of costs incurred for the development of TARA-002 and IV Choline Chloride, which include employee-related expenses, including salaries, benefits, travel and stock-based compensation expense, expenses incurred under agreements with clinical research organizations (“CROs”), contract development and manufacturing organizations (“CDMOs”), the cost of acquiring, developing and manufacturing clinical trial materials, clinical and non-clinical related costs, costs associated with regulatory operations and facilities, depreciation and other expenses, which include expenses for rent and maintenance of facilities and other supplies.

 

General and Administrative Expenses

 

General and administrative expenses consist principally of employee-related expenses, including salaries, benefits, travel and stock-based compensation expense, in executive and other administrative functions. Other general and administrative expenses also include professional fees for legal, patent review, consulting and accounting services as well as facility related costs, as well as expenses related to audit, legal, regulatory and tax-related services associated with maintaining compliance with our NASDAQ listing and SEC requirements, director and officer liability insurance premiums and investor relations costs associated with being a public company.

 

Interest Income, Net

 

Interest income, net, consists of interest income earned on our cash, cash equivalents and restricted cash, net of interest expense related to our short-term debt. 

 

Critical Accounting Policies and Significant Judgments and Estimates

 

Management’s discussion and analysis of our financial position and results of operations is based on our consolidated financial statements, which have been prepared in accordance with accounting principles generally accepted in the United States of America, or GAAP. The preparation of financial statements in conformity with GAAP requires us to make estimates and assumptions that affect the amounts reported in the financial statements and accompanying notes. On an ongoing basis, we evaluate estimates, which include estimates related to clinical trial accruals, valuation of deferred tax assets, fair value of business combinations, fair value of goodwill and evaluation of impairment, stock stock-based compensation expense, and reported amounts of revenues and expenses during the reported period. We base our estimates on historical experience and other market-specific or other relevant assumptions that we believe to be reasonable under the circumstances. Actual results may differ materially from those estimates or assumptions.

 

While our significant accounting policies are described in more detail in the notes to our consolidated financial statements and related notes appearing elsewhere in this Annual Report, we believe the following accounting policies to be most critical to the judgments and estimates used in the preparation of our financial statements.

 

Goodwill

 

Goodwill represents the excess of purchase price over the fair value of identifiable net assets acquired in a business combination. Goodwill and other intangible assets acquired in a business combination and determined to have an indefinite useful life are not amortized, but instead tested for impairment at least annually. An entity has the option to first assess qualitative factors to determine whether events or circumstances lead to a conclusion that is more likely than not that the fair value of a reporting unit is greater than its carrying amount. If an entity determines that qualitative factors indicate that it is more likely than not that the fair value of the entity exceeds the carrying amount, the quantitative evaluation is not necessary. Under the quantitative impairment test, the evaluation of impairment involves comparing the current fair value of each reporting unit to its carrying value, including goodwill.

 

In the event the estimated fair value of our company is less than the carrying value, we would recognize a goodwill impairment equal to the difference between the carrying value and its fair value, not to exceed the carrying value of goodwill.

 

Income Taxes

 

Deferred tax assets and liabilities are recognized for the estimated future tax consequences attributable to differences between the financial statement carrying amounts of existing assets and liabilities and their respective tax basis, operating loss and tax credit carryforwards. Deferred tax assets and liabilities are measured using enacted tax rates in effect for the year in which those temporary differences are expected to be recovered or settled. The measurement of net deferred tax assets is reduced by the amount of any tax benefit that, based on available evidence, is not expected to be realized, and a corresponding valuation allowance is established.

 

53

 

Tax benefits are recognized only for tax positions that are more likely than not to be sustained upon examination by tax authorities. The amount recognized is measured as the largest amount of benefit that is greater than 50 percent likely to be realized upon settlement. A liability for “unrecognized tax benefits” is recorded for any tax benefits claimed in our tax returns that do not meet these recognition and measurement standards. As of December 31, 2020 and 2019, no liability for unrecognized tax benefits was required to be recorded. The guidance also discusses the classification of related interest and penalties on income taxes. Our policy is to record interest and penalties on uncertain tax positions as a component of income tax expense. No interest or penalties were recorded during the years ended December 31, 2020 and 2019.

 

Business Combinations

 

For a business combination, the assets acquired and the liabilities assumed are recognized at the acquisition date, measured at their fair values as of that date. In a business combination achieved in stages, the identifiable assets and liabilities are recognized at their fair values. In a bargain purchase in which the total acquisition-date fair value of the identifiable net assets acquired exceeds the fair value of the consideration transferred plus any non-controlling interest in the acquiree, that excess in fair value is recognized as a gain.

 

Deferred tax liabilities and assets are recognized for the deferred tax consequences of differences between the tax bases and the recognized values of assets acquired and liabilities assumed in a business combination in accordance with ASC Topic 740-10 “Income Taxes”.

 

Stock-Based Compensation

 

We issue stock-based awards to employees and non-employees. We account for our stock-based awards in accordance with FASB ASC Topic 718, Compensation—Stock Compensation, (“ASC 718”). ASC 718 requires all stock-based payments to employees, including grants of employee stock options and modifications to existing stock options, to be recognized in the consolidated statements of operations and comprehensive loss based on their fair values. We account for stock-based awards to non-employees in accordance with ASC 718, which requires the fair value of the award to be remeasured at fair value as the award vests.

 

Our stock-based awards are subject to service-based vesting conditions. Compensation expense related to awards to employees and directors with service-based vesting conditions is recognized on a straight-line basis based on the grant date fair value over the associated service period of the award, which is generally the vesting term. Compensation expense related to awards to non-employees with service-based vesting conditions is recognized on the then-current fair value at each financial reporting date prior to the measurement date over the associated service period of the award, which is generally the vesting term, using the accelerated attribution method.

 

Described below is the methodology we have utilized in measuring stock-based compensation expense. Following the consummation of the Merger, stock option values have been determined based on the quoted market price of our common stock.

 

We estimate the fair value of our stock-based awards to employees and non-employees using the Black-Scholes option pricing model, which requires the input of highly subjective assumptions, including (i) the expected volatility of our stock, (ii) the expected term of the award, (iii) the risk-free interest rate and (iv) expected dividends. We calculate the expected volatility using the historical volatility for a pool of peer companies over the most recent period equal to the expected term and evaluate the extent to which available information indicate that future volatility may differ from historical volatility. For these analyses, we select companies with comparable characteristics to ours including enterprise value, risk profiles, position within the industry, and with historical share price information sufficient to meet the expected life of the stock-based awards. We compute the historical volatility data using the daily closing prices for the selected companies’ shares during the equivalent period of the calculated expected term of our stock-based awards. We account for forfeitures as they occur. We estimate the expected life of our employee stock options using the “simplified” method, whereby, the expected life equals the average of the vesting term and the original contractual term of the option. The risk-free interest rates for periods within the expected life of the option were based on the U.S. Treasury yield curve in effect during the period the options were granted.

 

54

 

Results of Operations

 

Comparison of the Years Ended December 31, 2020 and 2019

 

The following table summarizes our results of operations for the years ended December 31, 2020 and 2019 (in thousands):

 

  Year Ended December 31,  Period-to-Period
Change
 
  2020  2019    
Operating expenses:            
Research and development $11,982  $3,878  $8,104 
General and administrative  22,462   3,952   18,510 
Total operating expenses  34,444   7,830   26,614 
Loss from operations  (34,444)  (7,830)  (26,614)
Other income, net:            
Interest income, net  (466)     (466)
Total other income, net  (466)     (466)
Net Loss $(33,978) $(7,830) $(26,148)

 

Research and Development Expenses. During the year ended December 31, 2020, our research and development expenses were approximately $12.0 million which represented an increase of approximately $8.1 million as compared to the year ended December 31, 2019. This increase was primarily due to an increase of approximately $3.2 million of non-clinical, clinical, regulatory expenses and outside services associated with TARA-002, an increase of approximately $2.5 million for manufacturing activities associated with TARA-002, an increase of approximately $1.5 million in headcount cost due to bonuses earned upon the merger and the hiring of additional employees and an increase of approximately $0.5 million in stock-based compensation.

 

General and Administrative Expenses. During the year ended December 31, 2020, our general and administrative expenses were approximately $22.5 million which represented an increase of approximately $18.5 million as compared to the year ended December 31, 2019. The increase, principally on account of becoming a public company on January 9, 2020, was primarily due to an increase of approximately $8.8 million in stock-based compensation, an increase of approximately $2.5 million in insurance, an increase of approximately $2.0 million in public company costs, an increase of approximately $2.8 million in headcount cost due to bonuses earned upon the merger and the hiring of additional employees, an increase of approximately $1.2 million in recruiting fees, an increase of approximately $0.3 million in board of director fees, and an increase of approximately $0.2 million in franchise and other taxes.

 

Interest Income, Net. During the year ended December 31, 2020, interest income, net was approximately $0.5 million higher as compared to the year ended December 31, 2019. The increase was primarily due to us earning interest on the funds received in the Private Placements and Underwritten Offerings.

 

Liquidity and Capital Resources

 

Overview

 

As of December 31, 2020 and 2019, our cash and cash equivalents was approximately $168.6 million and $0.6 million, respectively. We have not generated revenues since our inception and have incurred net losses of approximately $34.0 million and $7.8 million for the years ended December 31, 2020 and 2019, respectively. As of December 31, 2020, we had working capital of approximately $166.5 million and stockholder’s equity of approximately $199.2 million. During the year ended December 31, 2020, cash flows used in operating activities were approximately $23.4 million, consisting primarily of a net loss of approximately $34.0 million, which includes non-cash stock-based compensation charges of approximately $9.7 million. Since inception, we have met our liquidity requirements principally through the sale of our common stock and preferred stock in private placements and underwritten offerings.

 

55

 

Liquidity

 

In connection with the Merger, we consummated the Private Placements, raising gross proceeds of approximately $42.5 million. Upon the consummation of the Merger and the Private Placements, the post-merger combined company was expected to have cash of approximately $39.6 million.

 

Concurrently with the execution of the Merger Agreement, certain institutional investors (together, the “Investors”) entered into a subscription agreement (as amended on November 19, 2019, the “Subscription Agreement”) with Protara Therapeutics, Inc. and Private ArTara, pursuant to which (A) Protara Therapeutics, Inc. issued, in a private placement immediately after the Merger (the “Proteon Private Placement”), (i) 3,879.356 of shares of Protara Therapeutics, Inc.’s Series 1 Convertible Non-Voting Preferred Stock (“Series 1 Preferred Stock”) at a purchase price of approximately $7,011.47 per share for gross proceeds of $27.2 million and proceeds, net of issuance costs, of $25.3 million, (ii) 1,896,888 shares of Protara Therapeutics, Inc.’s Common Stock at a purchase price of approximately $7.01 per share for gross proceeds of $13.3 million and proceeds, net of issuance costs, of $12.4 million and (B) Private ArTara issued, in a private placement immediately prior to the Merger (the “ArTara Private Placement”), 284,875 shares of Private ArTara common stock (post-Exchange Ratio (as defined in the Merger Agreement) basis) at a purchase price of approximately $7.01 per share (post-Exchange Ratio basis) (together with the Proteon Private Placement, the “Private Placements”) for gross proceeds of $2.0 million and proceeds, net of issuance costs, of $1.9 million. The shares issued in the Proteon Private Placement were registered for resale on a registration statement on Form S-3 filed and declared effective by the U.S. Securities and Exchange Commission (the “SEC”) on February 10, 2020.

 

In connection with the Preferred Offering on September 22, 2020, we filed a Certificate of Amendment to the Certificate of Designation of Preferences, Rights and Limitations of Series 1 Convertible Non-Voting Preferred Stock of ours (the “Amendment”) with the Secretary of State of the State of Delaware to increase the authorized number of shares of our Series 1 Convertible Preferred Stock that may be issued from 3,880 to 8,028.

 

On September 24, 2020, pursuant to an underwriting agreement, dated September 22, 2020, we issued and sold in an underwritten public offering (the “Common Offering”) an aggregate of 4,600,000 shares of our common stock at an offering price of $16.87 per share, for gross and net proceeds of approximately $77.6 million and $73.6 million, respectively. The underwriters were granted an option to purchase up to 690,000 additional shares of common stock at the public offering price, less the underwriting discount. This option was exercisable for a period of 30 days. On October 6, 2020, the underwriters exercised their overallotment option in full, purchasing an additional 690,000 shares, resulting in the receipt of gross and net proceeds of approximately $11.6 million and $11.1 million, respectively.

 

On September 24, 2020, pursuant to an underwriting agreement, dated September 22, 2020, we issued and sold in an underwritten public offering (the “Preferred Offering”) an aggregate of 4,148 shares of our Series 1 Preferred Stock at an offering price of $16,873.54 per share, for gross and net proceeds of approximately $70.0 million and $66.3 million, respectively.

 

The Common Offering and the Preferred Offering were made pursuant to our registration statement on Form S-3, declared effective by the Securities and Exchange Commission on May 26, 2020 (Registration No. 333-238273).

 

In December 2020, we filed a shelf registration statement on Form S-3, or the Shelf Registration Statement, which became effective in December 2020. The Shelf Registration Statement permits: (i) the offering, issuance and sale by us of up to a maximum aggregate offering price of $300.0 million of common stock, preferred stock, debt securities and warrants in one or more offerings and in any combination. No securities have been sold to date under the Shelf Registration Statement.

 

We are in the business of developing biopharmaceuticals and have no current or near term revenues. We have incurred substantial clinical and other costs in our drug development efforts. We will need to raise additional capital in order to fully realize management’s plans.

 

We believe that our current financial resources, as of the date of the issuance of these condensed consolidated financial statements, are sufficient to satisfy our estimated liquidity needs for at least twelve months from the issuance of these condensed consolidated financial statements.

 

As a result of economic conditions, general global economic uncertainty, political change, global pandemics, and other factors, we do not know whether additional capital will be available when needed, or that, if available, we will be able to obtain additional capital on reasonable terms. If we are unable to raise additional capital due to the volatile global financial markets, general economic uncertainty or other factors, we may need to curtail planned development activities. Specifically, the COVID-19 pandemic has significantly disrupted global financial markets, and may limit our ability to access capital, which could in the future negatively affect our liquidity. A recession or market correction resulting from the spread of COVID-19 could materially affect our business and the value of our common stock.

 

56

 

Cash Flows

 

The following table summarizes our sources and uses of cash for the years ended December 31, 2020 and 2019 (in thousands):

 

  Years Ended December 31,  Period-to-Period
Change
 
  2020  2019   
             
Net cash used in operating activities $(23,407) $(5,011) $(18,396)
Net cash provided by/(used in) investing activities  2,835   (475)  3,310 
Net cash provided by financing activities  189,401   500   188,901 
Net increase/(decrease) in cash and cash equivalents, and restricted cash $168,829  $(4,986)  173,815 

 

Comparison of the Years Ended December 31, 2020 and 2019

 

Net cash used in operating activities was approximately $23.4 million for the year ended December 31, 2020 compared to approximately $5.0 million for the year ended December 31, 2019. The increase of approximately $18.4 million in cash used in operating activities was primarily driven by an increase net loss of approximately $26.1 million and a decrease in accrued expenses of approximately $3.0 million, off-set by increases of approximately $9.3 million of stock-based compensation and approximately $1.4 million in prepaid expenses and other current assets.

 

Net cash provided by investing activities was approximately $2.8 million for the year ended December 31, 2020 compared to net cash used in investing activities of approximately $0.5 million in the year ended December 31, 2019. The increase of approximately $3.3 million was primarily due to the cash and restricted cash acquired in connection with the Merger with Protara Therapeutics, Inc. of approximately $3.7 million, off-set by an increase in purchases of property and equipment of approximately $0.4 million.

 

Net cash provided by financing activities was approximately $189.4 million for the year ended December 31, 2020 compared to approximately $0.5 million for the year ended December 31, 2019. The increase of approximately $188.9 million was primarily due to proceeds, net of offering costs, from the Common Offering of approximately $73.6 million, the Preferred Offering of approximately $66.3 million, the issuance of Series 1 Preferred Stock of approximately $25.3 million, the Proteon Private Placement of approximately $12.4 million, the underwriters overallotment option of approximately $11.1 million, and the ArTara Private Placement of approximately $1.9 million, offset by repayments of short-term debt of approximately $1.7 million.

 

Off-Balance Sheet Arrangements

 

We did not have, during the periods presented, and we do not currently have, any off-balance sheet arrangements, as defined under the applicable regulations of the SEC.

 

Contractual Obligations

 

Our future contractual obligations as of December 31, 2020 are (in thousands):

 

   Payments due by period
   Total  Less than
1 year
  1-3 years  3-5 years  More than
5 years
Operating Lease Obligations  $9,824  $1,111  $2,671  $2,765  $3,277

 

Item 7A. Quantitative and Qualitative Disclosures About Market Risk

 

No disclosure required.

 

57

 

Item 8. Financial Statements and Supplementary Data.

 

The consolidated financial statements required pursuant to this item are included in Item 15 of this report and are presented beginning on page 60.

 

Item 9. Changes in and Disagreements With Accountants on Accounting and Financial Disclosure.

 

None.

 

Item 9A. Controls and Procedures.

 

Disclosure Controls and Procedures

 

We maintain disclosure controls and procedures (as defined in Rules 13a-15(e) or 15d-15(e) under the Exchange Act) that are designed to ensure that information required to be disclosed in the reports that we file or submit under the Exchange Act is (1) recorded, processed, summarized, and reported within the time periods specified in the SEC’s rules and forms and (2) accumulated and communicated to our management, including our principal executive officer and principal financial officer, as appropriate, to allow timely decisions regarding required disclosure.

 

As of December 31, 2020, our management, with the participation of our principal executive officer and principal financial officer, evaluated the effectiveness of our disclosure controls and procedures as of the end of the period covered by this Annual Report on Form 10-K. Our management recognizes that any controls and procedures, no matter how well designed and operated, can provide only reasonable assurance of achieving their objectives, and management necessarily applies its judgment in evaluating the cost-benefit relationship of possible controls and procedures. Our principal executive officer and principal financial officer have concluded based upon the evaluation described above that, as of December 31, 2020, our disclosure controls and procedures were effective at the reasonable assurance level.

 

We continue to review and document our disclosure controls and procedures, including our internal controls and procedures for financial reporting, and may from time to time make changes aimed at enhancing their effectiveness and to ensure that our systems evolve with our business.

 

Management’s Report on Internal Control Over Financial Reporting

 

Our management is responsible for establishing and maintaining adequate internal control over financial reporting. Internal control over financial reporting is a process designed under the supervision and with the participation of our management, including our Chief Executive Officer and Chief Financial Officer, to provide reasonable assurance regarding the reliability of financial reporting and the preparation of financial statements for external purposes in accordance with accounting principles generally accepted in the United States of America.

 

As of December 31, 2020, our management assessed the effectiveness of our internal control over financial reporting using the criteria set forth by the Committee of Sponsoring Organizations of the Treadway Commission (COSO) in Internal Control-Integrated Framework (2017). Based on this assessment, management, under the supervision and with the participation of our Chief Executive Officer and Chief Financial Officer, concluded that, as of December 31, 2020, our internal control over financial reporting was effective based on those criteria.

 

Changes in Internal Control Over Financial Reporting

 

An evaluation was performed under the supervision and with the participation of our management, including our Chief Executive Officer and Chief Financial Officer, of any changes in our internal control over financial reporting that occurred during our last fiscal quarter that has materially affected, or is reasonably likely to materially affect, our internal control over financial reporting. That evaluation did not identify any change in our internal control over financial reporting, as such term is defined in Rules 13a-15(f) and 15(d)-15(f) promulgated under the Securities Exchange Act of 1934, that occurred during our latest fiscal quarter and that has materially affected, or is reasonably likely to materially affect, our internal control over financial reporting.

 

Item 9B. Other Information

 

None. 

 

58

 

PART III

 

Item 10. Directors, Executive Officers and Corporate Governance.

 

The information required by this Item and not set forth below will be set forth in the section headed “—Election of Directors” and “Information Regarding the Board of Directors and Corporate Governance” in our definitive Proxy Statement for our 2021 Annual Meeting of Stockholders to be filed with the SEC on or before April 30, 2021 (our “Proxy Statement”) and is incorporated in this report by reference.

 

We have adopted a code of ethics for directors, officers (including our principal executive officer, principal financial officer and principal accounting officer) and employees, known as the Code of Business Conduct and Ethics. The Code of Business Conduct and Ethics is available on our website at http://www.protaratx.com under the Corporate Governance section of our Investors page. We will promptly disclose on our website (i) the nature of any amendment to the policy that applies to our principal executive officer, principal financial officer, principal accounting officer or controller, or persons performing similar functions and (ii) the nature of any waiver, including an implicit waiver, from a provision of the policy that is granted to one of these specified individuals, the name of such person who is granted the waiver and the date of the waiver. Stockholders may request a free copy of the Code of Business Conduct and Ethics by emailing the Company at info@protaratx.com.

 

Item 11. Executive Compensation.

 

The information required by this Item will be set forth in the section headed “Executive Compensation” in our Proxy Statement and is incorporated in this report by reference.

 

Item 12. Security Ownership of Certain Beneficial Owners and Management and Related Stockholder Matters.

 

The information required by this Item will be set forth in the section headed “Security Ownership of Certain Beneficial Owners and Management” in our Proxy Statement and is incorporated in this report by reference.

 

Information regarding our equity compensation plans will be set forth in the section headed “Executive Compensation” in our Proxy Statement and is incorporated in this report by reference.

 

Item 13. Certain Relationships and Related Transactions, and Director Independence.

 

The information required by this Item will be set forth in the section headed “Transactions With Related Persons” in our Proxy Statement and is incorporated in this report by reference.

 

Item 14. Principal Accountant Fees and Services.

 

The information required by this Item will be set forth in the section headed “—Ratification of Selection of Independent Registered Public Accounting Firm” in our Proxy Statement and is incorporated in this report by reference.

 

59

 

PART IV

 

Item 15. Exhibits and Financial Statement Schedules.

 

(a) Documents filed as part of this report.

 

1. The following financial statements of Protara Therapeutics, Inc. and Report of Marcum LLP, Independent Registered Public Accounting Firm, are included in this report:

 

 

Page Number

Report of Independent Registered Public Accounting FirmF-2
Consolidated Balance SheetsF-3
Consolidated Statements of OperationsF-4
Consolidated Statements of Changes in Stockholders’ Equity (Deficit)F-5
Consolidated Statements of Cash FlowsF-6
Notes to Consolidated Financial StatementsF-7

 

2. List of financial statement schedules:

 

All schedules have been omitted because they are not applicable or the required information is shown in the financial statements or notes thereto.

 

3. List of Exhibits required by Item 601 of Regulation S-K. See part (b) below.

 

(b) Exhibits.

 

Exhibit No.

   Description
2.1 Agreement and Plan of Merger and Reorganization, dated September 23, 2019, by and among the Registrant, ArTara Therapeutics, Inc. and REM 1 Acquisition, Inc. (filed as Exhibit 2.1 to the Registrant’s Current Report on Form 8-K as filed on September 24, 2019, and incorporated herein by reference).
2.2 Amendment No. 1 to Agreement and Plan of Merger and Reorganization, dated November 19, 2019, by and among the Registrant, ArTara Therapeutics, Inc. and REM 1 Acquisition, Inc. (filed as Exhibit 2.2 to the Registrant’s Registration Statement on Amendment No. 2 to Form S-4 as filed on December 4, 2019, and incorporated herein by reference).
3.1 Sixth Amended and Restated Certificate of Incorporation of the Company (incorporated by reference to Exhibit 3.1 to the Company’s Current Report on Form 8-K filed on October 27, 2014).
3.2 Certificate of Amendment to the Sixth Amended and Restated Certificate of Incorporation (incorporated by reference to Exhibit 3.1 to the Registrant’s Current Report on Form 8-K, filed with the SEC on January 10, 2020).
3.3 Second Certificate of Amendment to the Sixth Amended and Restated Certificate of Incorporation (incorporated by reference to Exhibit 3.3 to the Registrant’s Quarterly Report on Form 10-Q, filed with the SEC on May 13, 2020).
3.4 Certificate of Designation of Preferences, Rights and Limitations of Series 1 Convertible Preferred Stock (incorporated by reference to Exhibit 3.2 to the Registrant’s Current Report on Form 8-K, filed with the SEC on January 10, 2020).
3.5 Certificate of Amendment to the Certificate of Designation of Preferences, Rights and Limitations of Series 1 Convertible Non-Voting Preferred Stock (incorporated by reference to Exhibit 3.1 to the Registrant’s Current Report on Form 8-K, filed with the SEC on September 23, 2020).
3.6 Second Amended and Restated Bylaws (incorporated by reference to Exhibit 3.2 of Current Report on Form 8-K, filed on August 3, 2017).
4.1 Form of Common Stock Certificate (incorporated by reference to Exhibit 4.1 to the Registrant’s Current Report on Form 8-K, filed with the SEC on January 10, 2020).
4.2+ Description of securities registered under Section 12 of the Exchange Act of 1934
4.3 Registration Rights Agreement, dated as of September 23, 2019, by and among the Registrant and the institutional investors named therein (incorporated by reference to Exhibit 10.5 to the Registrant’s Current Report on Form 8-K, filed with the SEC on September 24, 2019).
10.1† 2006 Equity Incentive Plan, as amended and restated August 21, 2014 (incorporated by reference to Exhibit 10.1 to Amendment No. 1 to the Company’s Registration Statement on Form S-1 filed on October 7, 2014 (File No. 333-198777)).
10.2† Form of Stock Option Grant Notice and Stock Option Agreement under the Company’s 2006 Equity Incentive Plan, as amended (incorporated by reference to Exhibit 10.16 to the Company’s Registration Statement on Form S-1 filed on September 16, 2014).

 

60

 

10.3 Assignment of Rights/License Agreement, effective as of February 4, 2002, by and between Johns Hopkins University and F. Nicholas Franano (incorporated by reference to Exhibit 10.11 to the Company’s Registration Statement on Form S-1 filed on September 16, 2014).
10.4 Letter Agreement, dated January 12, 2009, by and between F. Nicholas Franano and the Company (as successor-in-interest to Proteon Therapeutics, L.L.C.) (incorporated by reference to Exhibit 10.14 to the Company’s Registration Statement on Form S-1 filed on September 16, 2014).
10.5† 2014 Employee Stock Purchase Plan (incorporated by reference to Exhibit 10.25 to Amendment No. 1 to the Company’s Registration Statement on Form S-1 filed on October 7, 2014).
10.6** Subscription Agreement, dated September 23, 2019, by and among the Registrant and the institutional investors named therein (incorporated by reference to Exhibit 10.4 to the Registrant’s Current Report on Form 8-K, filed with the SEC on September 24, 2019).
10.7** First Amendment to Subscription Agreement, dated November 19, 2019, by and among the Registrant and the institutional investors named therein (incorporated by reference to Exhibit 99.12 to the Registrant’s Registration Statement on Form S-4).
10.8† Amended and Restated 2014 Equity Incentive Plan of the Registrant (incorporated by reference to Exhibit 10.1 to the Registrant’s Current Report on Form 8-K, filed on January 10, 2020).
10.9† Forms of Stock Option Agreement, Option Exercise, Restricted Stock Unit Grant and Restricted Stock Unit Agreement under the Amended and Restated 2014 Equity Incentive Plan of the Registrant, as amended (incorporated by reference to Exhibit 10.25 to the Registrant’s Annual Report on form 10-K on form 10-K for the fiscal year ended December 31, 2019 filed on March 20, 2020).
10.10† 2017 Equity Incentive Plan of ArTara Subsidiary, Inc. (incorporated by reference to Exhibit 10.11 to the Registrant’s Current Report on Form 8-K, filed with the SEC on January 10, 2020).
10.11† Inducement Plan of the Registrant (incorporated by reference to Exhibit 10.1 to the Registrant’s Current Report on Form 8-K, filed with the SEC on March 30, 2020).
10.12† Form of Stock Option Grant Notice and Stock Option Agreement under the Inducement Plan of the Registrant (incorporated by reference to Exhibit 10.2 to the Registrant’s Current Report on Form 8-K, filed with the SEC on March 30, 2020).
10.13† Forms of Restricted Stock Unit Grant Notice and Restricted Stock Unit Agreement under the Inducement Plan of the Registrant (incorporated by reference to Exhibit 10.3 to the Registrant’s Current Report on Form 8-K, filed with the SEC on March 30, 2020).
10.14† Executive Employment Agreement, dated as of November 5, 2019, as amended on December 4, 2019, by and between ArTara Subsidiary, Inc. and Jesse Shefferman. (incorporated by reference to Exhibit 10.2 to the Registrant’s Current Report on Form 8-K, filed with the SEC on January 10, 2020).
10.15† Executive Employment Agreement, dated as of December 17, 2019, by and between ArTara Subsidiary, Inc. and Jacqueline Zummo, Ph.D., MPH, MBA. (incorporated by reference to Exhibit 10.3 to the Registrant’s Current Report on Form 8-K, filed with the SEC on January 10, 2020).
10.16†^ Separation Agreement and Release, dated as of July 23, 2020, by and between the Registrant and Julio Casoy (incorporated by reference to Exhibit 10.2 to the Registrant’s Quarterly Report on Form 10-Q, filed with the SEC on July 31, 2020).
10.17† Executive Employment Agreement, effective as of February 11, 2020 by and between the Registrant and Blaine Davis (incorporated by reference to Exhibit 10.30 to the Registrant’s Annual Report on Form 10-K, filed with the SEC on March 19, 2020).
10.18†† Choline License Agreement, by and between ArTara Subsidiary, Inc. and Alan L. Buchman, M.D. dated as of September 27, 2017. (incorporated by reference to Exhibit 10.4 to the Registrant’s Current Report on Form 8-K, filed with the SEC on January 10, 2020).
10.19†† Sponsored Research and License Agreement, by and between ArTara Subsidiary, Inc. and The University of Iowa dated as of November 28, 2018. (incorporated by reference to Exhibit 10.5 to the Registrant’s Current Report on Form 8-K, filed with the SEC on January 10, 2020).
10.20†† License Agreement, by and between ArTara Subsidiary, Inc. and The Feinstein Institute for Medical Research dated as of December 22, 2017. (incorporated by reference to Exhibit 10.6 to the Registrant’s Current Report on Form 8-K, filed with the SEC on January 10, 2020).
10.21†† Agreement, by and between ArTara Subsidiary, Inc. and Chugai Pharmaceutical Co., Ltd. dated as of June 17, 2019. (incorporated by reference to Exhibit 10.7 to the Registrant’s Current Report on Form 8-K, filed with the SEC on January 10, 2020).
10.22†† Amendment to Agreement, by and between Chugai Pharmaceutical Co., Ltd. and the Registrant, dated as of July 14, 2020 and effective as of June 30, 2020 (incorporated by reference to Exhibit 10.1 to the Registrant’s Quarterly Report on Form 10-Q, filed with the SEC on November 12, 2020).

 

61

 

10.23† Form of Indemnity Agreement between the Registrant and each of its directors and officers. (incorporated by reference to Exhibit 10.8 to the Registrant’s Current Report on Form 8-K, filed with the SEC on January 10, 2020).
10.24† Restated Non-Employee Director Compensation Policy (incorporated by reference to Exhibit 10.1 to the Registrant’s Quarterly Report on Form 10-Q, filed with the SEC on July 31, 2020).
10.25†† **+ Lease by and between 345 PAS HOLDING LLC, and the Registrant, dated as of December 7, 2020.
21.1+ List of Subsidiaries.
23.1+ Consent of Marcum LLP, independent registered public accounting firm.
31.1+ Certification of Principal Executive Officer Required Under Rule 13a-14(a) and 15d-14(a) of the Securities Exchange Act of 1934, as amended.
31.2+ Certification of Principal Financial Officer Required Under Rule 13a-14(a) and 15d-14(a) of the Securities Exchange Act of 1934, as amended.
32.1+ Principal Executive Officer Certification and Principal Financial Officer Certification Pursuant to 18 U.S.C. Section 1350, as Adopted Pursuant to Section 906 of the Sarbanes-Oxley Act of 2002.
101* Interactive Data Files Pursuant to Rule 405 of Regulation S-T: (i) the Consolidated Balance Sheets as of December 31, 2020 and 2019; (ii) the Consolidated Statements of Operations for the years ended December 31, 2020 and 2019; (iii) the Consolidated Statements of Changes in Stockholders’ Equity (Deficit) for the years ended December 31, 2020 and 2019; (iv) the Consolidated Statements of Cash Flows for the years ended December 31, 2020 and 2019; and (v) the notes to the Consolidated Financial Statements.

 

 

 

+Filed herewith.

 

**Schedules have been omitted pursuant to Item 601(b)(2) of Regulation S-K. A copy of any omitted schedules will be furnished to the SEC upon request.

 

Indicates management contract or compensatory plan or arrangement.

 

††Certain portions of this exhibit (indicated by “[***]”) have been omitted as the Registrant has determined (i) the omitted information is not material and (ii) the omitted information would likely cause harm to the Registrant if publicly disclosed.

 

^Certain exhibits and schedules have been omitted pursuant to Item 601(a)(5) of Regulation S-K. The Registrant hereby undertakes to furnish supplementally a copy of any omitted exhibit or schedule upon request by the SEC.

 

62

 

Item 16. Form 10-K Summary

 

None.

 

63

 

SIGNATURES

 

Pursuant to the requirements of Section 13 or 15(d) of the Securities and Exchange Act of 1934, the registrant has duly caused this report to be signed on its behalf by the undersigned thereunto duly authorized.

 

 Protara Therapeutics, Inc.
  
Date: March 11, 2021/s/Jesse Shefferman
 Jesse Shefferman
President and Chief Executive Officer
(on behalf of the registrant and as the registrant’s
Principal Executive Officer)

 

KNOW ALL PERSONS BY THESE PRESENTS, that each individual whose signature appears below constitutes and appoints Stephen Davis, his true and lawful attorney-in-fact and agent with full power of substitution, for him and in his or her name, place and stead, in any and all capacities, to sign any and all amendments to this Annual Report on Form 10-K, and to file the same, with all exhibits thereto and all documents in connection therewith, with the Securities and Exchange Commission, granting unto said attorney-in-fact and agent, full power and authority to do and perform each and every act and thing requisite and necessary to be done in and about the premises, as fully to all intents and purposes as he or she might or could do in person, hereby ratifying and confirming all that said attorney-in-fact and agent, or his or her substitute or substitutes, may lawfully do or cause to be done by virtue hereof.

 

Pursuant to the requirements of the Securities and Exchange Act of 1934, this report has been signed below by the following persons on behalf of the registrant and in the capacities and on the dates indicated.

 

Signature

Title

Date

   

/s/ JESSE SHEFFERMAN

President and Chief Executive Officer and DirectorMarch 11, 2021
Jesse Shefferman(Principal Executive Officer) 
   

/s/ BLAINE DAVIS

Chief Financial OfficerMarch 11, 2021
Blaine Davis(Principal Financial and Accounting Officer) 
   
/s/ LUKE BESHARChairman of the Board of DirectorsMarch 11, 2021
Luke Beshar  
   

/s/ BARRY FLANNELLY, PHARMD

DirectorMarch 11, 2021
Barry Flannelly, PharmD  
   

/s/ ROGER GARCEAU, M.D.

DirectorMarch 11, 2021
Roger Garceau, M.D.  
   

/s/ RICHARD LEVY, M.D.

DirectorMarch 11, 2021
Richard Levy, M.D.  
   

/s/ GREGORY P. SARGEN

DirectorMarch 11, 2021
Gregory P. Sargen  
   

/s/ MICHAEL SOLOMON, PH.D.

DirectorMarch 11, 2021
Michael Solomon, Ph.D.  
   
/s/ CYNTHIA SMITHDirectorMarch 11, 2021
Cynthia Smith  

 

64

 

Protara Therapeutics, Inc.
Index to Consolidated Financial Statements

 

Protara Therapeutics, Inc. for the Years Ended December 31, 2020 and 2019 Page No.
Report of Independent Registered Public Accounting Firm F-2
Consolidated Balance Sheets as of December 31, 2020 and 2019 F-3
Consolidated Statements of Operations for the Years Ended December 31, 2020 and 2019 F-4
Consolidated Statement of Changes in Stockholders’ (Deficit) Equity for the Years Ended December 31, 2020 and 2019 F-5
Consolidated Statements of Cash Flows for the Years Ended December 31, 2020 and 2019 F-6
Notes to Consolidated Financial Statements F-7

 

F-1

 

 

REPORT OF INDEPENDENT REGISTERED PUBLIC ACCOUNTING FIRM

 

To the Shareholders and Board of Directors of

Protara Therapeutics, Inc.
New York, New York

 

Opinion on the Financial Statements

 

We have audited the accompanying consolidated balance sheets of Protara Therapeutics, Inc. (the “Company”) as of December 31, 2020 and 2019, the related consolidated statements of operations, stockholders’ equity (deficit) and cash flows for each of the years in the period ended December 31, 2020, and the related notes (collectively referred to as the “financial statements”). In our opinion, the financial statements present fairly, in all material respects, the financial position of the Company as of December 31, 2020 and 2019, and the results of its operations and its cash flows for each of the years in the period ended December 31, 2020, in conformity with accounting principles generally accepted in the United States of America.

 

Basis for Opinion

 

These financial statements are the responsibility of the Company’s management. Our responsibility is to express an opinion on the Company’s financial statements based on our audits. We are a public accounting firm registered with the Public Company Accounting Oversight Board (United States) (“PCAOB”) and are required to be independent with respect to the Company in accordance with the U.S. federal securities laws and the applicable rules and regulations of the Securities and Exchange Commission and the PCAOB.

 

We conducted our audits in accordance with the standards of the PCAOB. Those standards require that we plan and perform the audits to obtain reasonable assurance about whether the financial statements are free of material misstatement, whether due to error or fraud. The Company is not required to have, nor were we engaged to perform, an audit of its internal control over financial reporting. As part of our audits we are required to obtain an understanding of internal control over financial reporting but not for the purpose of expressing an opinion on the effectiveness of the Company’s internal control over financial reporting. Accordingly, we express no such opinion.

 

Our audits included performing procedures to assess the risks of material misstatement of the financial statements, whether due to error or fraud, and performing procedures that respond to those risks. Such procedures included examining, on a test basis, evidence regarding the amounts and disclosures in the financial statements. Our audits also included evaluating the accounting principles used and significant estimates made by management, as well as evaluating the overall presentation of the financial statements. We believe that our audits provide a reasonable basis for our opinion.

 

Critical Audit Matters

 

Critical audit matters are matters arising from the current period audit of the financial statements that were communicated or required to be communicated to the audit committee and that: (1) relate to accounts or disclosures that are material to the financial statements and (2) involved our especially challenging, subjective, or complex judgments. We determined that there are no critical audit matters.

 

/s/ Marcum LLP

 

We have served as the Company’s auditor since 2019.


New York, New York

March 11, 2021

 

F-2

 

 

PROTARA THERAPEUTICS, INC.

CONSOLIDATED BALANCE SHEETS

(in thousands, except share and per share data)

 

  As of December 31, 
  2020  2019 
Assets        
Current assets:        
Cash and cash equivalents $168,598  $564 
Restricted cash  50   - 
Deferred offering costs  -   122 
Prepaid expenses and other current assets  787   78 
Total current assets  169,435   764 
         
Non-current assets:        
Restricted cash, long-term  745   - 
Property and equipment, net  1,240   459 
Goodwill  29,517   - 
Other assets  2,220   - 
Total assets $203,157  $1,223 
         
Liabilities and Stockholders’ Equity (Deficit)         
Current liabilities:        
Accounts payable $914  $716 
Accrued expenses  1,913   2,635 
Operating lease liability, current  88   - 
Total current liabilities  2,915   3,351 
         
Non-current liabilities:        
Operating lease liability, long-term  999   - 
Total liabilities  3,914   3,351 
         
Commitments and Contingencies (Note 7)        
         
Stockholders’ Equity (Deficit)        
Preferred Stock, $0.001 par value, authorized 10,000,000 shares: Series 1 Convertible Preferred Stock, 8,028 and 0 shares authorized at December 31, 2020  and 2019, respectively, 8,027 and 0 shares issued and outstanding as of December 31, 2020 and 2019, respectively.  -   - 
Common Stock, $0.001 par value, authorized 100,000,000 shares:        
Common Stock, 11,211,840 and 2,627,533 shares issued and outstanding as of December 31, 2020 and 2019, respectively.  11   3 
Additional Paid in Capital  245,992   10,651 
Accumulated Deficit  (46,760)  (12,782)
Total Stockholders’ Equity (Deficit)  199,243   (2,128)
Total Liabilities and Stockholders’ Equity (Deficit) $203,157  $1,223 

 

The accompanying notes are an integral part of these consolidated financial statements.

 

F-3

 

 

PROTARA THERAPEUTICS, INC.

CONSOLIDATED STATEMENTS OF OPERATIONS

(in thousands, except share and per share data)

 

  For the Years Ended
December 31,
 
  2020  2019 
Operating expense:      
Research & development $11,982  $3,878 
General & administrative  22,462   3,952 
Total operating expenses  34,444   7,830 
         
Operating loss  (34,444)  (7,830)
         
Other income, net        
Interest income, net  (466)  - 
Total other income, net  (466)  - 
         
Net Loss $(33,978) $(7,830)
         
Weighted Average Shares Outstanding, basic and diluted  7,233,913   2,577,493 
         
Net loss per share, basic and diluted $(4.70) $(3.04)

 

The accompanying notes are an integral part of these consolidated financial statements.

 

F-4

 

 

PROTARA THERAPEUTICS, INC.

CONSOLIDATED STATEMENTS OF CHANGES IN STOCKHOLDERS’ EQUITY (DEFICIT)

FOR THE YEARS ENDED DECEMBER 31, 2020 AND 2019

(in thousands, except share and per share data)

 

  Series 1 Convertible Preferred Stock  Common Stock  Additional     Total 
  Shares  Amount  Shares  Amount  Paid-in
Capital
  Accumulated
Deficit
  Stockholders’
Equity (Deficit)
 
                      
Balance at January 1, 2019  -  $-   2,558,419  $3  $9,727  $(4,952) $4,778 
                             
Stock-based compensation - stock options  -   -   -   -   313   -   313 
Stock-based compensation - restricted stock  -   -   -   -   75   -   75 
Stock-based compensation - restricted stock units  -   -   -   -   36   -   36 
Issuance of common stock in September capital raise  -   -   69,114   -   500   -   500 
Net loss  -   -   -   -   -   (7,830)  (7,830)
                             
Balance at December 31, 2019  -  $-   2,627,533  $3  $10,651  $(12,782) $(2,128)
                             
Issuance of Common Stock in ArTara Private Placement, net of offering costs  -   -   284,875   -   1,867   -   1,867 
Issuance of Common Stock in Proteon Private Placement, net of offering costs  -   -   1,896,888   2   12,411   -   12,413 
Issuance of Series 1 Convertible Preferred Stock in Proteon Private Placement, net of offering costs  3,879   -   -   -   25,319   -   25,319 
Reverse business combination  -   -   1,033,907   1   34,532   -   34,533 
Issuance of Common Stock in Common Offering, net of offering costs  -   -   4,600,000   4   73,566   -   73,570 
Issuance of Series 1 Convertible Preferred Stock in Preferred Offering, net of offering costs  4,148   -   -   -   66,284   -   66,284 
Issuance of Common Stock in Common Offering (Underwriters Overallotment Option), net of offering costs  -   -   690,000   1   11,086   -   11,087 
Settlement of restricted stock units  -   -   20,870   -   -   -   - 
Exercise of stock options  -   -   57,767   -   530   -   530 
Stock-based compensation - restricted stock units  -   -   -   -   6,357   -   6,357 
Stock-based compensation - stock options  -   -   -   -   3,389   -   3,389 
Net loss  -   -   -   -   -   (33,978)  (33,978)
                             
Balance at December 31, 2020  8,027  $-   11,211,840  $11  $245,992  $(46,760) $199,243 

 

The accompanying notes are an integral part of these consolidated financial statements.

 

F-5

 

 

PROTARA THERAPEUTICS, INC.

CONSOLIDATED STATEMENTS OF CASH FLOWS

(in thousands)

 

  For the Years Ended
December 31,
 
  2020  2019 
Cash flows from operating activities:      
Net loss $(33,978) $(7,830)
Adjustments to reconcile net loss to net cash used in operating activities:        
Stock based compensation  9,746   424 
Amortization of operating lease right-of-use asset  93   - 
Depreciation  103   16 
Changes in operating assets and liabilities:        
Prepaid expenses and other current assets  1,405   (37)
Other Assets  58   - 
Accounts payable  198   366 
Accrued expenses  (966)  2,050 
Right-of-use liability  (66)  - 
Net cash used in operating activities  (23,407)  (5,011)
         
Cash flows from investing activities:        
Cash and restricted cash acquired in connection with the reverse merger with ArTara Therapeutics, Inc.  3,719   - 
Purchase of property and equipment  (884)  (475)
Net cash provided by/(used in) investing activities  2,835   (475)
         
Cash flows from financing activities:        
Proceeds from - ArTara Private Placement, net of offering costs  1,867   - 
Proceeds from - Common Stock in Proteon Private Placement, net of offering costs  12,413   - 
Proceeds from - Series 1 Convertible Preferred Stock in Proteon Private Placement, net of offering costs  25,319   - 
Proceeds from Common Offering, net of offering costs  73,570   - 
Proceeds from Preferred Offering, net of offering costs  66,284   - 
Proceeds from Underwriters Overallotment Option  11,087   - 
Repayments under short-term debt  (1,669)  - 
Proceeds from the exercise of stock options  530   - 
Proceeds from private placements  -   500 
Net cash provided by financing activities  189,401   500 
         
Net increase/(decrease) in cash and cash equivalents and restricted cash  168,829   (4,986)
Cash and cash equivalents and restricted cash - beginning of year  564   5,550 
Cash and cash equivalents and restricted cash - end of year $169,393  $564 
         
Reconciliation of cash and cash equivalents and restricted cash to the consolidated balance sheets:        
Cash and cash equivalents $168,598  $564 
Restricted cash  50   - 
Restricted cash, long-term  745   - 
Cash and cash equivalents and restricted cash $169,393  $564 
         
Supplemental cash flow information        
Cash paid for:        
Interest $34  $- 
Income Taxes $-  $- 
         
Non-cash investing and financing activities:        
         
Deferred offering costs recorded in accrued expenses $-  $122 
Deferred offering costs recognized that were previously recorded in accrued expenses $122  $- 
Purchase of insurance agreement with notes payable $1,669  $- 
Common stock issued in connection with the reverse merger with ArTara Therapeutics, Inc. $34,533  $- 

 

The accompanying notes are an integral part of these consolidated financial statements.

 

F-6

 

 

Protara Therapeutics, Inc. and Consolidated Subsidiaries

Notes to Consolidated Financial Statements

(amounts in thousands, except share and per share data)

 

NOTE 1 – BUSINESS, LIQUIDITY AND CAPITAL RESOURCES

 

Overview

 

Protara Therapeutics, Inc. and its consolidated subsidiaries (“Protara” or the “Company”) is committed to identifying and advancing transformative therapies for the treatment of cancer and rare diseases with significant unmet needs. Protara’s portfolio includes two development programs utilizing TARA-002, an investigational cell therapy in development for the treatment of lymphatic malformations (LMs) and non-muscle invasive bladder cancer (NMIBC). The third program in the portfolio is Intravenous (IV) Choline Chloride, an investigational phospholipid substrate replacement therapy initially in development for patients receiving parenteral nutrition (PN) who have intestinal failure associated liver disease (IFALD). The fourth program in the portfolio is Vonapanitase, a recombinant human elastase.

 

On January 9, 2020, privately-held ArTara Subsidiary, Inc. (“Private ArTara”) and Protara Therapeutics, Inc. (formerly ArTara Therapeutics, Inc., formerly Proteon Therapeutics, Inc.) completed the merger and reorganization (the “Merger”), in accordance with the terms of the Agreement and Plan of Merger and Reorganization, dated September 23, 2019, (the “Merger Agreement”) by and among Protara Therapeutics, Inc., Private ArTara and REM 1 Acquisition, Inc., a wholly owned subsidiary of Protara Therapeutics, Inc (“Merger Sub”). Thereupon, Merger Sub merged with and into Private ArTara, with Private ArTara surviving as a wholly owned subsidiary of Protara Therapeutics, Inc. The Merger was structured as a reverse merger and Private ArTara was determined to be the accounting acquirer based on the terms of the Merger and other factors, and the post-merger company retained the name ArTara Therapeutics, Inc., which on May 11, 2020 was changed to Protara Therapeutics, Inc.

 

On January 9, 2020, in connection with and prior to the completion of the Merger, Protara Therapeutics, Inc. effected a 1-for-40 reverse stock split of its common stock (the “Protara Reverse Stock Split”), Private ArTara changed its name from “ArTara Therapeutics, Inc.” to “ArTara Subsidiary, Inc.”, and ArTara Therapeutics, Inc. changed its name from “Proteon Therapeutics, Inc.” to “ArTara Therapeutics, Inc” then subsequently changed its name from “ArTara Therapeutics, Inc” to “Protara Therapeutics, Inc.” All share and per share amounts presented in this annual report on Form 10-K have been adjusted to reflect the Protara Reverse Stock Split and the Exchange Ratio (defined below). In addition, immediately following the closing of the Private Placements (defined below), all of the outstanding shares of Protara Therapeutics, Inc.’s Series A Preferred Stock were converted into shares of Protara Therapeutics, Inc.’s Common Stock (defined below). Shares of the Company’s Common Stock commenced trading on The Nasdaq Capital Market under the new name and ticker symbol “TARA” as of market open on January 10, 2020. See Note 3 for the full discussion regarding the Merger, Exchange Ratio and recapitalization.

 

Liquidity, Capital Resources and Management Plans

 

As of December 31, 2020 and 2019, the Company’s cash and cash equivalents was $168,598 and $564, respectively. The Company has not generated revenues since its inception and has incurred net losses of $33,978 and $7,830 for the years ended December 31, 2020 and 2019, respectively. As of December 31, 2020, the Company had working capital of $166,520 and stockholder’s equity of $199,243. During the year ended December 31, 2020, cash flows used in operating activities were $23,407, consisting primarily of a net loss of $33,978, which includes non-cash stock-based compensation charges of $9,746. Since inception, the Company has met its liquidity requirements principally through the sale of its Common Stock and Series 1 Convertible Preferred Stock.

 

In connection with the Merger, the Company consummated the Private Placements, raising gross proceeds of $42.5 million and proceeds, net of offering costs, of $39.6 million.

 

On September 22, 2020, the Company entered into underwriting agreements with Cowen and Company, LLC and Guggenheim Securities, LLC, as representatives of several underwriters for separate, concurrent underwritten public offerings of the Company’s Common Stock and Series 1 Convertible Preferred Stock. On September 24, 2020, gross and net proceeds from this offering were $147.6 million and $139.9 million, respectively. On October 6, 2020, the underwriters exercised their overallotment option, resulting in the receipt of gross and net proceeds of $11.6 million and $11.1 million, respectively (See Note 8).

 

F-7

 

 

Protara Therapeutics, Inc. and Consolidated Subsidiaries

Notes to Consolidated Financial Statements

(amounts in thousands, except share and per share data)

 

NOTE 1 – BUSINESS, LIQUIDITY AND CAPITAL RESOURCES (Continued)

 

Liquidity, Capital Resources and Management Plans (Continued)

 

The Company is in the business of developing biopharmaceuticals and has no current or near term revenues. The Company has incurred substantial clinical and other costs in its drug development efforts. The Company will need to raise additional capital in order to fully realize management’s plans.

 

The Company believes that its current financial resources are sufficient to satisfy the Company’s estimated liquidity needs for at least twelve months from the date of issuance of these consolidated financial statements.

 

NOTE 2 - SUMMARY OF SIGNIFICANT ACCOUNTING POLICIES 

 

Basis of Presentation

 

The accompanying financial statements have been prepared in accordance with accounting principles generally accepted in the United States of America (“U.S. GAAP”) and pursuant to the rules and regulations of the Securities and Exchange Commission (“SEC”).

 

Principles of Consolidation

 

The consolidated financial statements include the accounts of the Company and its wholly-owned subsidiaries. All inter-company balances and transactions have been eliminated in the accompanying consolidated financial statements.

 

Use of Estimates

 

The preparation of financial statements in conformity with U.S. GAAP requires management to make estimates and assumptions that affect the reported amounts of assets and liabilities and the disclosure of contingent assets and liabilities as of the date of the financial statements, and also that affect the amount of expenses reported for each period. Actual results could differ from those which result from using such estimates. Management also utilizes various other estimates, including but not limited to income taxes, the valuation of deferred tax assets, determining the fair value of business combination considerations, determining the fair value and evaluation for impairment of goodwill, determining the fair value of the Company’s Common Stock, and the valuation of securities and assumptions underlying stock-based compensation. The results of any changes in accounting estimates are reflected in the financial statements of the period in which the change becomes evident. Estimates and assumptions are reviewed periodically and the effects of revisions are reflected in the period that they are determined to be necessary.

 

Cash and cash equivalents

 

The Company considers all highly liquid instruments with an original maturity of three months or less when acquired to be cash equivalents. Cash and cash equivalents are held in depository and money market accounts and are reported at fair value.

 

Restricted Cash

 

Restricted cash as of December 31, 2020 and 2019 was $795 and $0, respectively. As of December 31, 2020, restricted cash consists of cash deposits of $795 to collateralize letter of credit obligations.

 

F-8

 

 

Protara Therapeutics, Inc. and Consolidated Subsidiaries

Notes to Consolidated Financial Statements

(amounts in thousands, except share and per share data)

 

NOTE 2 - SUMMARY OF SIGNIFICANT ACCOUNTING POLICIES (Continued)

 

Property and Equipment

 

Property and equipment is recorded at cost. Major property additions, replacements, and betterments are capitalized, while maintenance and repairs that do not extend the useful lives of an asset or add new functionality are expensed as incurred. Property and equipment not placed into service is not depreciated until such time that it is placed into service. Depreciation is recorded using the straight-line method over the respective estimated useful lives of the Company’s assets.

 

Goodwill

 

Goodwill represents the excess of purchase price over the fair value of identifiable net assets acquired in a business combination. Goodwill and other intangible assets acquired in a business combination and determined to have an indefinite useful life are not amortized, but instead tested for impairment at least annually. An entity has the option to first assess qualitative factors to determine whether events or circumstances lead to a conclusion that is more likely than not that the fair value of a reporting unit is greater than its carrying amount. If an entity determines that qualitative factors indicate that it is more likely than not that the fair value of the entity exceeds the carrying amount, the quantitative evaluation is not necessary. Under the quantitative impairment test, the evaluation of impairment involves comparing the current fair value of each reporting unit to its carrying value, including goodwill.

 

In the event the estimated fair value of the Company is less than the carrying value, the Company would recognize a goodwill impairment equal to the difference between the carrying value and its fair value, not to exceed the carrying value of goodwill.

 

On January 9, 2020, in connection with the Merger, the Company separately valued the assets and liabilities acquired, and then determined goodwill as the residual of the purchase price less identified net assets. On December 31, 2020, in connection with the finalization of the purchase price allocation, the Company recorded an adjustment of $150 to goodwill related to prepaid expenses and accrued expenses (See Note 3).

 

F-9

 

 

Protara Therapeutics, Inc. and Consolidated Subsidiaries

Notes to Consolidated Financial Statements

(amounts in thousands, except share and per share data)

 

NOTE 2 - SUMMARY OF SIGNIFICANT ACCOUNTING POLICIES (Continued)

 

Net Loss per Common Share

 

Basic loss per common share is computed by dividing net loss by the weighted average number of common shares outstanding during the period. Diluted loss per common share is computed by dividing net loss by the weighted average number of common shares outstanding, plus the impact of common shares, if dilutive, resulting from the exercise of outstanding stock options.

 

The following securities are excluded from the calculation of weighted average dilutive common shares because their inclusion would have been anti-dilutive:

 

  For the Years Ended
December 31,
 
  2020  2019 
Stock options  674,039   219,592 
Restricted stock units  407,325   5,245 
Conversion of Series 1 Convertible Preferred Stock  8,029,039   - 
Total potentially dilutive shares  9,110,403   224,837 

 

Concentrations of Credit Risk

 

Financial instruments which potentially subject the Company to concentrations of credit risk consists principally of cash amounts on deposit with financial institutions. At times, the Company’s cash in banks is in excess of the Federal Deposit Insurance Corporation insurance limit. The Company has not experienced any loss as a result of these deposits.

 

Stock-Based Compensation

 

The Company accounts for stock-based compensation in accordance with the Financial Accounting Standards Board (“FASB”) Accounting Standards Codification, or (“ASC”), Topic 718, “Compensation - Stock Compensation” (“ASC 718”). ASC 718 establishes accounting for stock-based awards exchanged for employee and consultant services. Under the provisions of ASC 718, stock-based compensation cost is measured at the grant date, based on the fair value of the award, and is recognized as expense over the employee’s requisite service period (generally the vesting period of the equity grant). The fair value of the Company’s stock options are estimated using the Black Scholes option-pricing model with the following assumptions: fair value of the Company’s Common Stock, expected volatility, dividend rate, risk free interest rate and the expected life. The Company calculates the expected volatility using the historical volatility for a pool of peer companies over the most recent period equal to the expected term and evaluates the extent to which available information indicate that future volatility may differ from historical volatility. The expected dividend rate is zero as the Company does not expect to pay or declare any cash dividends on its Common Stock. The risk-free rates for the expected terms of the stock options are based on the U.S. Treasury yield curve in effect at the time of the grant. The Company has not experienced significant exercise activity on stock options. Due to the lack of historical information, the Company determined the expected term of its stock option awards issued using the simplified method. The simplified method assumes each vesting tranche of the award has a term equal to the midpoint between when the award vests and when the award expires. Restricted stock awards generally vest over the requisite service periods (vesting on a straight–line basis). The fair value of a stock award is equal to the fair market value of a share of the Company’s Common Stock on the grant date. The Company accounts for the forfeiture of equity awards as they occur.

 

F-10

 

 

Protara Therapeutics, Inc. and Consolidated Subsidiaries

Notes to Consolidated Financial Statements

(amounts in thousands, except share and per share data)

 

NOTE 2 - SUMMARY OF SIGNIFICANT ACCOUNTING POLICIES (Continued)

 

Fair Value Measurements

 

The carrying amounts of cash and cash equivalents, prepaid expenses and accounts payable approximate their fair values due to the short-term nature of these instruments.

 

ASC Topic 820 “Fair Value Measurements and Disclosures” provides the framework for measuring fair value. That framework provides a fair value hierarchy that prioritizes the inputs to valuation techniques used to measure fair value. The hierarchy gives the highest priority to unadjusted quoted prices in active markets for identical assets or liabilities (level 1 measurements) and the lowest priority to unobservable inputs (level 3 measurements).

 

Fair value is defined as an exit price, representing the amount that would be received upon the sale of an asset or payment to transfer a liability in an orderly transaction between market participants. Fair value is a market-based measurement that is determined based on assumptions that market participants would use in pricing an asset or liability. A three-tier fair value hierarchy is used to prioritize the inputs in measuring fair value as follows:

 

ØLevel 1 Quoted prices in active markets for identical assets or liabilities.
ØLevel 2 Quoted prices for similar assets or liabilities in active markets, quoted prices for identical or similar assets or liabilities in markets that are not active, or other inputs that are observable, either directly or indirectly.
ØLevel 3 Significant unobservable inputs that cannot be corroborated by market data.

 

Income Taxes

 

Deferred tax assets and liabilities are recognized for the estimated future tax consequences attributable to differences between the financial statement carrying amounts of existing assets and liabilities and their respective tax basis, operating loss and tax credit carryforwards. Deferred tax assets and liabilities are measured using enacted tax rates in effect for the year in which those temporary differences are expected to be recovered or settled. The measurement of net deferred tax assets is reduced by the amount of any tax benefit that, based on available evidence, is not expected to be realized, and a corresponding valuation allowance is established.

 

Tax benefits are recognized only for tax positions that are more likely than not to be sustained upon examination by tax authorities. The amount recognized is measured as the largest amount of benefit that is greater than 50 percent likely to be realized upon settlement. A liability for “unrecognized tax benefits” is recorded for any tax benefits claimed in the Company’s tax returns that do not meet these recognition and measurement standards. As of December 31, 2020 and 2019, no liability for unrecognized tax benefits was required to be recorded. The guidance also discusses the classification of related interest and penalties on income taxes. The Company’s policy is to record interest and penalties on uncertain tax positions as a component of income tax expense. No interest or penalties were recorded during the years ended December 31, 2020 and 2019.

 

Research and Development Costs

 

Research and development costs are expensed as incurred. These expenses include the costs of our proprietary research and development efforts, as well as costs incurred in connection with certain licensing arrangements. Before a compound receives regulatory approval, the Company records upfront and milestone payments made to third parties under licensing arrangements as expense. Upfront payments are recorded when incurred, and milestone payments are recorded when the specific milestone or progress has been achieved. Once a compound receives regulatory approval, the Company records any milestone payments in identifiable intangible assets, less accumulated amortization and, unless the asset is determined to have an indefinite life, the Company amortizes the payments on a straight-line basis over the remaining agreement term or the expected product life cycle, whichever is shorter.

 

Research and development expenses were $11,982 and $3,878 for the years ended December 31, 2020 and 2019, respectively.

 

F-11

 

 

Protara Therapeutics, Inc. and Consolidated Subsidiaries

Notes to Consolidated Financial Statements

(amounts in thousands, except share and per share data)

 

NOTE 2 - SUMMARY OF SIGNIFICANT ACCOUNTING POLICIES (Continued)

 

Business Combinations

 

For a business combination, the assets acquired and the liabilities assumed are recognized at the acquisition date, measured at their fair values as of that date. In a business combination achieved in stages, the identifiable assets and liabilities are recognized at their fair values. In a bargain purchase in which the total acquisition-date fair value of the identifiable net assets acquired exceeds the fair value of the consideration transferred plus any non-controlling interest in the acquiree, that excess in fair value is recognized as a gain.

 

Deferred tax liabilities and assets are recognized for the deferred tax consequences of differences between the tax bases and the recognized values of assets acquired and liabilities assumed in a business combination in accordance with ASC Topic 740-10 “Income Taxes”. See Note 3 for the Company’s accounting for the reverse merger.

 

Recent Accounting Pronouncements Adopted

 

In January 2017, the FASB issued Accounting Standards Update (“ASU”) 2017-04 (“ASU 2017-04”), Intangibles-Goodwill and Other (Topic 350): Simplifying the Test for Goodwill Impairment. ASU 2017-04 simplifies the subsequent measurement of goodwill by eliminating the second step of the goodwill impairment test. The second step measures a goodwill impairment loss by comparing the implied fair value of a reporting unit’s goodwill with the carrying amount of that goodwill. Under ASU 2017-04, a company will record an impairment charge based on the excess of a reporting unit’s carrying amount over its fair value. ASU 2017-04 will be applied prospectively and is effective for annual or interim goodwill impairment tests in fiscal years beginning after December 15, 2019. On January 1, 2020, the Company adopted ASU 2017-04. The adoption of this standard did not have a material effect on the Company’s financial position, results of operations, or cash flows.

 

In August 2018, the FASB issued ASU No. 2018-13, Fair Value Measurement (Topic 820): Disclosure Framework-Changes to the Disclosure Requirements for Fair Value Measurement (“ASU 2018-13”), which removes, adds and modifies certain disclosure requirements for fair value measurements in Topic 820. The Company will no longer be required to disclose the amount of and reasons for transfers between Level 1 and Level 2 of the fair value hierarchy as well as the valuation processes of Level 3 fair value measurements. The Company will be required to provide additional disclosure related to the changes in unrealized gains and losses included in other comprehensive loss for recurring Level 3 fair value measurements and the range and weighted average of assumptions used to develop significant unobservable inputs for Level 3 fair value measurements. On January 1, 2020, the Company adopted ASU 2018-13. The adoption of this standard did not have a material effect on the Company’s financial position, results of operations, or cash flows.

 

Subsequent Events

 

The Company evaluated subsequent events and transactions that occurred after the balance sheet date up to the date that the financial statements were available to be issued. The Company did not identify any subsequent events that would have required adjustment or disclosure in the financial statements.

 

F-12

 

 

Protara Therapeutics, Inc. and Consolidated Subsidiaries

Notes to Consolidated Financial Statements

(amounts in thousands, except share and per share data)

 

NOTE 3 – REVERSE MERGER WITH PROTARA AND RECAPITALIZATION

 

On January 9, 2020, in connection with, and prior to the completion of the Merger, Protara Therapeutics, Inc. effected the Protara Reverse Stock Split, which resulted in 557,631 pre-merger shares of Protara Therapeutics, Inc. outstanding.

 

Under the terms of the Merger Agreement, Protara Therapeutics, Inc. issued shares of its common stock (“Common Stock”) to the Company’s stockholders, at an exchange ratio of 0.190756 (the “Exchange Ratio”), after taking into account the Protara Reverse Stock Split, for each share of Private ArTara common stock outstanding immediately prior to the Merger. Protara Therapeutics, Inc. assumed all of the unvested Private ArTara restricted stock awards, which were exchanged for a number of shares of Common Stock equal to 0.190756 multiplied by the number of shares of Private ArTara common stock previously represented by such Private ArTara restricted stock awards and unvested to the same extent as such Private ArTara restricted stock awards and subject to the same restrictions as such Private ArTara restricted stock awards. On account of the adjustment required pursuant to the Exchange Ratio, there were 2,627,533 shares of Private ArTara common stock outstanding immediately prior to the Merger.

 

Protara Therapeutics, Inc. assumed all of the outstanding and unexercised stock options of Private ArTara, with such stock options representing the right to purchase a number of shares of Common Stock equal to 0.190756 multiplied by the number of shares of Private ArTara common stock previously represented by such Private ArTara stock options. As a result, 219,699 shares were assumed under Private ArTara’s 2017 Equity Incentive Plan. No additional awards will be made under the 2017 Equity Incentive Plan. On January 1, 2020, Protara Therapeutics, Inc. amended its Amended and Restated 2014 Equity Incentive Plan (the “2014 Equity Incentive Plan”) to increase the number of shares of stock available for issuance under the 2014 Equity Incentive Plan to 1,048,300 shares and made conforming changes and updates pursuant to Section 162(m) of the Code.

 

Concurrently with the execution of the Merger Agreement, certain institutional investors (together, the “Investors”) entered into a subscription agreement (as amended on November 19, 2019, the “Subscription Agreement”) with Protara Therapeutics, Inc. and Private ArTara, pursuant to which (A) Protara Therapeutics, Inc. issued in a private placement immediately after the Merger (the “Proteon Private Placement”) (i) 3,879.356 of shares of Protara Therapeutics, Inc.’s Series 1 Convertible Non-Voting Preferred Stock at a purchase price of approximately $7,011.47 per share for gross proceeds of $27,200 and proceeds, net of issuance costs, of $25,319, (ii) 1,896,888 shares of Protara Therapeutics, Inc.’s Common Stock at a purchase price of approximately $7.01 per share for gross proceeds of $13,300 and proceeds, net of issuance costs, of $12,413 and (B) Private ArTara issued in a private placement immediately prior to the Merger (the “ArTara Private Placement”) 284,875 shares of Private ArTara common stock (post-Exchange Ratio basis) at a purchase price of approximately $7.01 per share (post-Exchange Ratio basis) (together with the Proteon Private Placement, the “Private Placements”) for gross proceeds of $2,000 and proceeds, net of issuance costs, of $1,867. The shares issued in the Proteon Private Placement were registered for resale on a registration statement on Form S-3 filed and declared effective by the SEC on January 30, 2020.

 

Immediately following the closing of the Proteon Private Placement, 18,954 shares of Protara Therapeutics, Inc.’s Series A Convertible Preferred Stock outstanding were converted into 476,276 shares of Protara Therapeutics, Inc.’s Common Stock. These shares, combined with the 557,631 pre-merger shares of Protara Therapeutics, Inc. outstanding after the Protara Reverse Stock Split, resulted in an aggregate of 1,033,907 shares of Common Stock issued in connection with the Merger.

 

Immediately after the consummation of the Merger and prior to the consummation of the Proteon Private Placement, the former stockholders and option holders of Private ArTara owned, or held rights to acquire, approximately 75.2% of the fully-diluted Common Stock of Protara, with Protara Therapeutics, Inc.’s stockholders and option holders immediately prior to the Merger owning approximately 24.8% of the fully-diluted Common Stock of Protara.

 

F-13

 

 

Protara Therapeutics, Inc. and Consolidated Subsidiaries

Notes to Consolidated Financial Statements

(amounts in thousands, except share and per share data)

 

NOTE 3 – REVERSE MERGER WITH PROTARA AND RECAPITALIZATION (Continued)

 

Based on the terms of the Merger, the transaction was treated as a reverse merger of Protara Therapeutics, Inc. by Private ArTara.The Merger was accounted for using acquisition accounting under ASC Topic 805 “Business Combinations”. Under acquisition accounting, the assets and liabilities (including executory contracts, commitments and other obligations) of Protara Therapeutics, Inc. as of the effective time of the Merger were recorded at their respective fair values and added to those of Private ArTara. Any excess of purchase price consideration over the fair values of the identifiable net assets is recorded as goodwill. During the year ended December 31, 2020, the Company recorded an adjustment of $150 to goodwill. This adjustment was comprised of a decrease of $78 in prepaid expenses and other current assets, and an increase of $77 in accrued expenses, resulting in a final purchase price allocation as follows:

 

Cash $3,669 
Restricted cash  50 
Prepaid expenses and other current assets  1,662 
Goodwill  29,517 
Accrued expenses  (365)
Total purchase price consideration $34,533 

 

The total fair value of the net assets of Protara Therapeutics Inc. was determined by the Company to be $34,533 based on the consideration transferred. The total consideration was based on the enterprise value of Protara Therapeutics Inc. as of January 9, 2020, based upon the number of common shares deemed outstanding, multiplied by the closing stock price on January 9, 2020.

 

Of the amount of goodwill acquired in the reverse merger, no portion is deductible for tax purposes.

 

The primary reasons for the reverse merger: the increased access to sources of capital and a broader range of investors to support the clinical development of Private ArTara’s product candidates, the potential to provide current stockholders with greater liquidity by owning stock in a public company, the potential for a more cost-effective means to access capital and the registration of Protara Common Stock issued to Private ArTara’s stockholders. In addition, Protara assumed the existing 2014 Equity Incentive Plan (the “2014 Plan”), and all outstanding stock options thereunder.

 

F-14

 

 

Protara Therapeutics, Inc. and Consolidated Subsidiaries

Notes to Consolidated Financial Statements

(amounts in thousands, except share and per share data)

 

NOTE 3 – REVERSE MERGER WITH PROTARA AND RECAPITALIZATION (Continued)

 

The following presents the unaudited pro forma combined financial information as if the reverse merger had occurred as of January 1, 2019.

 

  For the Years Ended
December 31,
 
  2020  2019 
Net loss $(33,754) $(22,821)
Pro forma loss per common share, basic and diluted $(4.62) $(3.94)
Pro forma weighted average number of common shares outstanding, basic and diluted  7,304,201   5,793,024 

 

The pro forma combined results of operations are not necessarily indicative of the results of operations that actually would have occurred had the reverse merger been completed as of January 1, 2019, nor are they necessarily indicative of future consolidated results.

 

F-15

 

 

Protara Therapeutics, Inc. and Consolidated Subsidiaries

Notes to Consolidated Financial Statements

(amounts in thousands, except share and per share data)

 

NOTE 4 – PROPERTY AND EQUIPMENT

 

Property and equipment consists of the following:

 

    As of December 31, 
  Useful Life
(in years)
 2020 2019 
Computer equipment 5 $34  $- 
Furniture, fixtures and other 5  21   21 
Laboratory equipment 7  601   446 
Leasehold improvements Over the shorter of the useful life or the lease term  200   - 
Property and equipment not yet placed into service    503   8 
Total property and equipment, gross    1,359   475 
Less: Accumulated depreciation    (119)  (16)
Total property and equipment, net   $1,240  $459 

 

Depreciation expense was $103 and $16 for the years ended December 31, 2020 and 2019, respectively. During the year ended December 31, 2020, $99 and $4 was included in research and development expense and general and administrative expense, respectively, within the consolidated statements of operations. For the year ended December 31, 2019, $16 was included in research and development expense within the consolidated statements of operations.

 

NOTE 5 – ACCRUED EXPENSES

 

Included in the Company’s accrued expenses within the consolidated financial statements are:

 

  As of December 31, 
  2020 2019 
Employee bonus $1,530  $- 
Taxes  159   - 
Legal fees  156   1,573 
Research and development costs  37   1,050 
Other expenses  31   12 
Total $1,913  $2,635 

 

NOTE 6 – SHORT-TERM DEBT

 

Financing Agreement

 

On February 19, 2020, the Company entered into a nine month financing agreement with AFCO Credit Corporation for its directors and officers (“D&O”) liability insurance in the amount of $2,225. The Company made a down payment of $556, leaving a principal balance of $1,669. The financing bore interest at a rate of 4.25% per annum, and was repaid in monthly installments of $189, which included both principal and interest. As of December 31, 2020, the balance under this debt was $0. The Company recorded interest expense of $34 for the year ended December 31, 2020 under this financing agreement.

 

F-16

 

 

Protara Therapeutics, Inc. and Consolidated Subsidiaries

Notes to Consolidated Financial Statements

(amounts in thousands, except share and per share data)

 

NOTE 7 – COMMITMENTS AND CONTINGENCIES

 

Lease Agreements

 

The Company has entered into operating leases for office and laboratory space. On January 1, 2019 (“Effective Date”), the Company adopted ASC Topic 842, Leases (“ASC 842”), which increases transparency and comparability by recognizing a lessee’s rights and obligations resulting from leases. ASC 842 requires the recognition of the right-of-use (“ROU”) assets and related operating lease liabilities on the balance sheet. The Company adopted the new guidance using the modified retrospective approach on January 1, 2019.

 

The adoption of ASC 842 on January 1, 2019 did not immediately result in the recognition of ROU assets as the Company did not have any leases at that time with a term of twelve months or more. However, on January 9, 2020, subsequent to the Merger and Private Placements, it became reasonably certain that the Company would maintain its quarter-to-quarter lease with its contract development and manufacturing organization for its manufacturing space for an expected term of approximately eight years, therefore resulting in the recognition of an ROU asset and related operating lease liability.

 

The Company elected the package of practical expedients permitted within the standard, which allow an entity to forgo reassessing (i) whether a contract contains a lease, (ii) classification of leases, and (iii) whether capitalized costs associated with a lease meet the definition of initial direct costs. Also, the Company elected the expedient to allow the Company to not have to separate lease and non-lease components. The Company has also elected the short-term lease accounting policy under which the Company would not recognize a lease liability or ROU asset for any lease that at the commencement date has a lease term of twelve months or less and does not include a purchase option that the Company is more than reasonably certain to exercise.

 

On July 1, 2020 and December 1, 2020, the Company entered into additional quarter-to-quarter leases for additional contract development and manufacturing space for expected terms of approximately seven years, therefore resulting in the recognition of additional ROU assets and related operating lease liabilities.

 

On December 1, 2020, the Company entered into a long-term lease for office space for a term of seven years. This lease was entered into with a related party of the Company, and its terms were determined by management to be on an arms-length basis. The lease will not commence until the second quarter of 2021 when the Company is granted access to the premises. Accordingly, as of December 31, 2020, the Company did not recognize an additional ROU asset and related operating lease liability for this lease.

 

For contracts entered into on or after the Effective Date, at the inception of a contract, the Company will assess whether the contract is, or contains, a lease. The Company’s assessment is based on: (i) whether the contract involves the use of a distinct identified asset, (ii) whether the Company obtained the right to substantially all the economic benefit from the use of the asset throughout the period, and (iii) whether the Company has the right to direct the use of the asset. Leases entered into prior to January 1, 2019, which were accounted for under ASC 840, Leases, were not reassessed for classification.

 

F-17

 

 

Protara Therapeutics, Inc. and Consolidated Subsidiaries

Notes to Consolidated Financial Statements

(amounts in thousands, except share and per share data)

 

NOTE 7 – COMMITMENTS AND CONTINGENCIES (Continued)

 

Lease Agreements (Continued)

 

For operating leases, the lease liability is initially and subsequently measured at the present value of the unpaid lease payments. The Company generally uses its incremental borrowing rate as the discount rate for leases, unless an interest rate is implicitly stated in the lease. The present value of the lease payments is calculated using the incremental borrowing rate for operating leases, which was determined using a rate of interest that the Company would have to pay to borrow an amount equal to the lease payments on a collateralized basis over a similar term. The lease term for the Company’s lease includes the noncancellable period of the lease plus any additional periods covered by either a Company option to extend the lease that the Company is reasonably certain to exercise, or an option to extend the lease controlled by the lessor. ROU assets, once recorded, are reviewed for impairment.

 

Lease expense for operating leases consists of the lease payments plus any initial direct costs and is recognized on a straight-line basis over the lease term.

 

Balance sheet information related to our leases is presented below:

 

    As of 
Operating leases: Balance Sheet
Location
 December 31,
2020
  January 9, 2020  December 31,
2019
 
Right-of-use assets Other assets $1,060  $403  $- 
Operating lease liability, current Operating lease liability, current  88   9   - 
Operating lease liability, long-term Operating lease liability, long-term  999   394   - 

 

The following provides details of the Company’s lease expense:

 

Lease cost For the Year Ended
December 31, 2020
 
Operating lease cost $93 
Short-term lease cost  215 
Total $308 

 

F-18

 

 

Protara Therapeutics, Inc. and Consolidated Subsidiaries

Notes to Consolidated Financial Statements

(amounts in thousands, except share and per share data)

 

NOTE 7 – COMMITMENTS AND CONTINGENCIES (Continued)

 

Lease Agreements (Continued)

 

Other information related to leases is presented below:

 

  As of
December 31, 2020
 
Other information    
Weighted-average discount rate – operating lease  12.00%
Weighted-average remaining lease term – operating lease (in months)  87 

 

As of December 31, 2020, the expected annual minimum lease payments of our operating lease liabilities and other short-term leases were as follows (includes long-term lease entered into on December 1, 2020 that does not commence until the second quarter of 2021):

 

For Years Ending December 31, Operating lease 
2021 $1,111 
2022  1,333 
2023  1,338 
2024  1,342 
2025  1,423 
Thereafter  3,277 
Total future minimum lease payments, undiscounted  9,824 
Less: Imputed interest for leases in excess of one year  8,676 
Present value of future minimum lease payments $1,148 
Present value of future minimum lease payments for our operating lease liabilities $1,087 
Present value of future minimum lease payments, short-term leases $61 

 

Employment Agreements

 

Executive Employment Agreements

 

The Company’s executive officers have entered into at-will employment agreements.

 

F-19

 

 

Protara Therapeutics, Inc. and Consolidated Subsidiaries

Notes to Consolidated Financial Statements

(amounts in thousands, except share and per share data)

 

NOTE 7 – COMMITMENTS AND CONTINGENCIES (Continued)

 

Employment Agreements (Continued)

 

Temporary Employment Agreement

 

On December 6, 2018, the Company entered into a temporary employment agreement (the “Temporary Employment Agreement”) with an individual who assisted with certain corporate development activities. Pursuant to the Temporary Employment Agreement, the individual was entitled to receive an annual base salary of $90. In addition, the individual would be entitled to a performance-based success fee which would be adjusted based on amounts of funding achieved and timing of when such funding was received. On January 9, 2020, the Company’s capital raise triggered a performance-based compensation obligation and accordingly this individual was paid $462, which was included in general and administrative expenses within the Company’s consolidated statements of operations for the year ended December 31, 2020.

 

Collaborations and License Agreements

 

Choline License Agreement

 

On September 27, 2017, the Company entered into a license agreement (the “Choline License Agreement”) with Alan L. Buchman (“Dr. Buchman”). Pursuant to the Choline License Agreement, the Company received from Dr. Buchman the license rights in and to the “Licensed Orphan Designations”, the “Licensed IND”, “Existing Study Data” and the “Licensed Know-How” for one or more of the licensed indications. In consideration for the rights and licenses granted, Dr. Buchman received a payment of $50 on October 2, 2017, and license payments of $50 and $50 on December 12, 2018 and January 8, 2019, respectively, upon the Company meeting the criteria for certain meetings to be held with the Federal Drug Administration (the “FDA”). Pursuant to the Choline License Agreement, effective October 2017, the Company incurred a fixed obligation to Dr. Buchman of $400 (the “Choline License Fee”). Upon the Company receiving $5,000 in cumulative funding (as defined), Dr. Buchman would be entitled to receive payment of the Choline License Fee as a lump sum if the funds are received by April 15, 2019 and the Choline License Fee shall be increased to a one-time payment of $600 if the funds are received by October 15, 2019. On October 2, 2019, the Company made a payment of $50 to Dr. Buchman. On January 22, 2020, in connection with the closing of the Merger and concurrent financing, Dr. Buchman was paid $550 which was included in accrued expenses as of December 31, 2019.

 

During the years ended December 31, 2020 and 2019, the Company recorded research and development expense of $0 and $200 (representing the increase in the Choline License Fee obligation), respectively, for expenditures to Dr. Buchman in connection with obligations under the Choline License Agreement.

 

F-20

 

 

Protara Therapeutics, Inc. and Consolidated Subsidiaries

Notes to Consolidated Financial Statements

(amounts in thousands, except share and per share data)

 

NOTE 7 – COMMITMENTS AND CONTINGENCIES (Continued)

 

Collaborations and License Agreements (Continued)

 

License Agreement

 

On December 22, 2017, the Company entered into an agreement (the “Feinstein Agreement”) with The Feinstein Institute for Medical Research (the “Feinstein Institute”), a not-for-profit corporation with 50 research labs and 2,500 clinical research studies. Pursuant to the Feinstein Agreement, the Company acquired an exclusive license relating to treatment of fatty liver diseases in humans for which Choline may be an effective therapeutic. In consideration for the rights and license granted, the Feinstein Institute would receive a royalty of one percent (1%) of the first one hundred million dollars ($100,000) of net sales of IV Choline Chloride and a royalty of one and one-half percent (1.5%) of all net sales thereafter. In addition, the Company would pay the Feinstein Institute twelve and one-half percent (12.5%) of net proceeds resulting from agreements entered within 2 years from the effective date, and seven and one-half percent (7.5%) of net proceeds resulting from agreements entered into thereafter. Pursuant to the Feinstein Agreement additional payments would be due to the Feinstein Institute for license maintenance payments and for meeting milestone events. On January 9, 2020, the Company’s raising of over $5,000 triggered a financing milestone obligation and accordingly the Feinstein Institute was paid $100. Pursuant to the Feinstein Agreement, upon the achievement of certain future new drug application milestones, the Company would be obligated to remit an aggregate of $275.

 

During the years ended December 31, 2020 and 2019, the Company recorded research and development expense of $115 and $1, respectively, in connection with the Feinstein Agreement.

 

Sponsored Research and License Agreement

 

On November 28, 2018, the Company entered into a sponsored research and license agreement (the “Iowa Agreement”) with the University of Iowa. Pursuant to the Iowa Agreement, the University of Iowa, which is engaged in clinical research to improve the diagnosis and treatment of lymphangioma using a pharmaceutical product (OK-432), would assist the Company in collecting case reports, forms, source data, and safety data available to the University of Iowa in support of the development of the Company’s proprietary Streptococcus Pyogenes investigational product, TARA-002 for the LMs indication. During the term of the services, the Company would pay the University of Iowa thirty thousand dollars ($30) per year to fund the project, plus additional amounts upon the realization of certain milestones. More specifically, upon forty-five (45) days of an approval of TARA-002 by the FDA, the Company would pay up to $1,750 to the University of Iowa for meeting these milestones. Furthermore, the Company would pay the University of Iowa royalties of up to 1.75% for net sales ranging from $0 - $25,000, 2.25% for net sales ranging from $25,000 to $50,000, and 2.50% for net sales in excess of $50,000. Pursuant to the Iowa Agreement, the University of Iowa would be entitled to additional payments for the Company achieving annual net sales of product according to the milestones. For annual net sales of product up to $25,000; $62; for annual net sales of product of up to $50,000; $62; and for annual net sales of product of up to $100,000; $125.

 

During the years ended December 31, 2020 and 2019, the Company recorded research and development expense of $30 and $30 respectively, in connection with the Iowa Agreement.

 

F-21

 

 

Protara Therapeutics, Inc. and Consolidated Subsidiaries

Notes to Consolidated Financial Statements

(amounts in thousands, except share and per share data)

 

NOTE 7 – COMMITMENTS AND CONTINGENCIES (Continued)

 

Collaborations and License Agreements(Continued)

 

Chugai Agreement

 

On June 17, 2019, the Company entered into an agreement (the “Chugai Pharmaceutical Agreement”) with Chugai Pharmaceutical Co., LTD (“Chugai”), a drug manufacturing firm with offices and operations in Japan. Pursuant to the Chugai Pharmaceutical Agreement, Chugai would help the Company in its goals to develop and commercialize a therapeutic product (the “New Product”) which is comparable to the Chugai existing therapeutic product (the “Existing Product”). In addition, the Company would be entitled to the use of Chugai materials and technical support as necessary. On July 14, 2020, the Company and Chugai entered into an amendment (the “Chugai Amendment”) to the Chugai Pharmaceutical Agreement. The Chugai Amendment is effective as of June 30, 2020. The Chugai Amendment extended the date through which Chugai will exclusively provide the Existing Product and materials to the Company from June 30, 2020 to June 30, 2021, extended the date through which Chugai will not provide materials or technical support to any third party for the purpose of development and commercialization in a given area from the fifth anniversary to the eleventh anniversary of the original effective date and provides that, in addition to the designated fee provided upon the initial indication approval in the Chugai Pharmaceutical Agreement, the Company will pay Chugai a designated fee for each additional indication approval. The Company is obligated to Chugai for certain payments upon the completion of agreed upon milestones. As of December 31, 2019, the Company recorded an obligation of $500 upon Chugai having completed an agreed upon milestone, which the Company paid on July 27, 2020.

 

During the years ended December 31, 2020 and 2019, the Company recorded research and development expense of $0 and $500, respectively, respectively, in connection with the Chugai Agreement, as amended.

 

Johns Hopkins University

 

In February 2002, Proteon entered into an agreement to license certain intellectual property in connection with vonapanitase with Johns Hopkins University. The agreement calls for payments to be made by the Company upon the commencement of vonapanitase related product sales, in the form of a royalty of 2.5% on net sales of the product. As of December 31, 2020, the Company has not commenced vonapanitase product sales and therefore has recognized no royalties on product sales.

 

F-22

 

 

Protara Therapeutics, Inc. and Consolidated Subsidiaries

Notes to Consolidated Financial Statements

(amounts in thousands, except share and per share data)

 

NOTE 7 – COMMITMENTS AND CONTINGENCIES (Continued)

 

Litigation

 

From time to time, Protara may be subject to various legal proceedings and claims that arise in the ordinary course of its business activities. Management is of the opinion that the ultimate outcome of these matters would not have a material adverse impact on the financial position of the Company or the results of its operations.

 

In the normal course of business, the Company enters into contracts in which it makes representations and warranties regarding the performance of its services and that its services will not infringe on third party intellectual rights. There have been no significant events related to such representations and warranties in which the Company believes the outcome could result in losses or penalties in the future.

 

NOTE 8 – STOCKHOLDERS’ EQUITY

 

Authorized Common Stock

 

As of December 31, 2020, the Company has 100,000,000 shares of Common Stock authorized for issuance, $0.001 par value per share, of which 11,211,840 and 2,627,533 shares were issued and outstanding as of December 31, 2020 and 2019, respectively.

 

The holders of the Company’s Common Stock are entitled to one vote per share.

 

Authorized Series 1 Convertible Preferred Stock

 

In connection with the Preferred Offering (defined below) on September 22, 2020, the Company filed a Certificate of Amendment to the Certificate of Designation of Preferences, Rights and Limitations of Series 1 Convertible Preferred Stock of the Company (the “Amendment”) with the State of Delaware to increase the authorized number of shares of the Company’s Series 1 Convertible Preferred Stock that may be issued from 3,880 to 8,028. The Amendment was approved by a committee of the Company’s Board of Directors and the requisite holders of outstanding shares of Series 1 Convertible Preferred Stock. No approval of the holders of the Company’s Common Stock was required to effectuate the Amendment.

 

As of December 31, 2020 and 2019, the Company has 10,000,000 shares of preferred stock authorized for issuance, $0.001 par value per share of which 8,028 shares of Series 1 Convertible Preferred Stock are authorized for issuance and 8,027 and 0 shares were issued and outstanding, respectively.

 

F-23

 

 

Protara Therapeutics, Inc. and Consolidated Subsidiaries

Notes to Consolidated Financial Statements

(amounts in thousands, except share and per share data)

 

NOTE 8 – STOCKHOLDERS’ EQUITY (Continued)

 

Description of Series 1 Convertible Preferred Stock

 

Each share of Series 1 Convertible Preferred Stock is convertible into 1,000 shares of Common Stock, at a conversion price initially equal to approximately $7.01 per common share, subject to adjustment for any stock splits, stock dividends and similar events, at any time at the option of the holder, provided that any conversion of Series 1 Convertible Preferred Stock by a holder into shares of Common Stock would be prohibited if, as a result of such conversion, the holder, together with its affiliates and any other person or entity whose beneficial ownership of the Common Stock would be aggregated with such holder’s for purposes of Section 13(d) of the Securities Exchange Act of 1934, as amended, would beneficially own more than 9.99% of the total number of shares Common Stock issued and outstanding after giving effect to such conversion. Upon written notice to the Company, the holder may from time to time increase or decrease such limitation to any other percentage not in excess of 19.99% specified in such notice. Each share of Series 1 Convertible Preferred Stock is entitled to a preference of $10.00 per share upon liquidation of the Company, and thereafter will share ratably in any distributions or payments on an as-converted basis with the holders of Common Stock. In addition, upon the occurrence of certain transactions that involve the merger or consolidation of the Company, an exchange or tender offer, a sale of all or substantially all of the assets of the Company or a reclassification of its Common Stock, each share of Series 1 Convertible Preferred Stock will be convertible into the kind and amount of securities, cash and/or other property that the holder of a number of shares of Common Stock issuable upon conversion of one share of Series 1 Convertible Preferred Stock would receive in connection with such transaction. The Company’s Series 1 Convertible Preferred Stock are non-voting.

 

The terms of the Series 1 Convertible Preferred Stock provide that, in the event of a fundamental transaction (as such term is described in the certificate of designation of preferences, rights and limitations of series 1 convertible non-voting preferred stock), each share of Series 1 Convertible Preferred Stock outstanding shall thereafter be convertible into the kind and amount of securities, cash and/or other property which a holder of the number of shares of Common Stock of the Company issuable upon conversion of one share of Series 1 Convertible Preferred Stock immediately prior to such fundamental transaction would have been entitled to receive pursuant to such fundamental transaction, provided that, if the value of the aggregate of such securities, cash and/or other property the which the holder of one share of Series 1 Convertible Preferred Stock would be entitled to upon conversion thereof would be less than the stated value, then each outstanding share of Series 1 Convertible Preferred Stock shall instead be convertible into such kind of securities, cash and/or other property with an aggregate value equal to the stated value.

 

Common Stock

 

On September 23, 2019, the Company completed a placement of 69,114 shares of its common stock at a price of $7.23 per share for gross proceeds of $500.

 

F-24

 

 

Protara Therapeutics, Inc. and Consolidated Subsidiaries

Notes to Consolidated Financial Statements

(amounts in thousands, except share and per share data)

 

NOTE 8 – STOCKHOLDERS’ EQUITY (Continued)

 

Underwritten Public Offering

 

On September 24, 2020, pursuant to an underwriting agreement dated September 22, 2020, the Company issued and sold in an underwritten public offering (the “Common Offering”) an aggregate of 4,600,000 shares of its Common Stock at an offering price of $16.87 per share, for gross and net proceeds of approximately $77.6 million and $73.6 million, respectively. The underwriters were granted an option to purchase up to 690,000 additional shares of Common Stock at the public offering price, less the underwriting discount. On October 6, 2020, the underwriters exercised their overallotment option in full, purchasing an additional 690,000 shares, resulting in the receipt of gross and net proceeds of $11.6 million and $11.1 million, respectively.

 

On September 24, 2020, pursuant to an underwriting agreement (dated September 22, 2020), the Company issued and sold in an underwritten public offering (the “Preferred Offering”) an aggregate of 4,148 shares of its Series 1 Convertible Preferred Stock at an offering price of $16,873.54 per share, for gross and net proceeds of approximately $70.0 million and $66.3 million, respectively.

 

The Common Offering and the Preferred Offering were made pursuant to the Company’s registration statement on Form S-3, declared effective by the Securities and Exchange Commission on May 26, 2020 (Registration No. 333-238273).

 

In December 2020, the Company filed a shelf registration statement on Form S-3, declared effective by the Securities and Exchange Commission on December 18, 2020 (Registration No. 333-251224) (the “Shelf Registration Statement”). The Shelf Registration Statement permits: (i) the offering, issuance and sale by the Company of up to a maximum aggregate offering price of $300 million of common stock, preferred stock, debt securities and warrants in one or more offerings and in any combination. No securities have been sold to date under the Shelf Registration Statement.

 

NOTE 9 – STOCK-BASED COMPENSATION

 

2020 Inducement Plan

 

On March 26, 2020, the Compensation Committee of the Board of Directors (the “Compensation Committee”) approved the ArTara Therapeutics, Inc. Inducement Plan (the “2020 Inducement Plan”) in order to award nonstatutory stock options, restricted stock awards, restricted stock unit awards and other stock-based awards to persons not previously an employee or director of the Company, or following a bona fide period of non-employment, as an inducement material to such persons entering into employment with the Company.

 

The 2020 Inducement Plan provides for a total of 600,000 shares for the issuance of the Company’s Common Stock. The Compensation Committee also adopted a form of stock option grant notice and stock option agreement and forms of restricted stock unit grant notice and restricted stock unit agreement for use with the Inducement Plan.

 

As of December 31, 2020, 460,650 shares remain available to be issued under the 2020 Inducement Plan.

 

2017 Equity Incentive Plan

 

On August 10, 2017, Private ArTara, its Board of Directors and its shareholders approved the ArTara Therapeutics, Inc. 2017 Equity Incentive Plan (the “2017 Equity Incentive Plan”) to enable Private ArTara and its affiliates to recruit and retain highly qualified personnel and to incentivize personnel for productivity and growth.

 

The 2017 Equity Incentive Plan provided for the grant of a total of 2,000,000 shares for the issuance of stock options, stock appreciation rights, restricted stock and restricted stock units to among others, members of the Board of Directors, employees, consultants and service providers to the Company and its affiliates. As of January 9, 2020, in connection with the Merger, no additional awards will be made under the 2017 Equity Incentive Plan.

 

F-25

 

 

Protara Therapeutics, Inc. and Consolidated Subsidiaries

Notes to Consolidated Financial Statements

(amounts in thousands, except share and per share data)

 

NOTE 9 – STOCK-BASED COMPENSATION (Continued)

 

2014 Equity Incentive Plan

 

On October 3, 2014, the stockholders approved the 2014 Plan. On June 20, 2017, the Company’s Board of Directors amended the 2014 Plan (the “Amended 2014 Plan”). On July 31, 2017, the stockholders approved this amendment.

 

The Amended 2014 Plan provides for the grant of incentive and non-statutory stock options, stock appreciation rights, restricted stock and stock unit awards, performance units, stock grants and qualified performance-based awards. The 2014 Plan provides that the number of shares reserved and available for issuance under the 2014 Plan will automatically increase each January 1, beginning January 1, 2015 by four percent of the outstanding shares of Common Stock on the immediately preceding December 31 or such lesser number of shares as determined by the Company’s Board of Directors prior to each such January 1st. The Amended 2014 Plan clarifies that the number of shares for purposes of calculating the evergreen feature includes the number of shares of Common Stock issuable upon conversion of any security that the Company may issue that is convertible into or exchangeable for Common Stock, including, but not limited to, preferred stock or warrants. Pursuant to a special meeting of the Proteon stockholders held on January 9, 2020, the number of shares available for issuance under the Amended 2014 Plan increased by 900,002 shares from 148,298 shares to 1,048,300 shares on January 1, 2020. As of December 31, 2020, 227,850 shares remain available to be issued under the Amended 2014 Plan. On January 1, 2021, pursuant to the Amended 2014 Plan’s annual evergreen feature, the number of shares authorized under the Amended 2014 Plan was increased by 812,889 shares to 1,861,189 shares.

 

Terms of the stock awards, including vesting requirements, are determined by the Board of Directors, subject to the provisions of the plans. Certain awards provide for accelerated vesting if there is a change in control as defined in the plans.

 

2014 Employee Stock Purchase Plan

 

On October 3, 2014, the stockholders approved the 2014 Employee Stock Purchase Plan (the “2014 ESPP”). The 2014 ESPP initially authorized the issuance of up to 3,513 shares of Common Stock. The number of shares increases each January 1, commencing on January 1, 2015 and ending on (and including) January 1, 2024, by an amount equal to the lesser of one percent of the outstanding shares as of the end of the immediately preceding fiscal year, 7,025 shares or any lower amount determined by the Company’s Board of Directors prior to each such January 1st. As of December 31, 2020, the authorized number of shares under the 2014 ESPP is 18,012 and the number of shares available for issuance is 13,340. During the years ended December 31, 2020 and 2019, no shares were issued under the 2014 ESPP. On January 1, 2021, pursuant to the increase per the 2014 ESPP, the number of share authorized under the 2014 ESPP was increased by 7,025 shares to 25,037 shares.

 

F-26

 

 

Protara Therapeutics, Inc. and Consolidated Subsidiaries

Notes to Consolidated Financial Statements

(amounts in thousands, except share and per share data)

 

NOTE 9 – STOCK-BASED COMPENSATION (Continued)

 

Restricted Stock Units

 

Awards to Directors

 

The following restricted stock units (“RSUs”) were granted pursuant to the Amended 2014 Plan. Settlement for the RSUs is deferred until the earliest to occur of (i) the director’s termination of service, (ii) death, (iii) disability or (iv) a change in control of the Company. In the event of a change in control of the Company, the RSUs will vest in full.

 

During the year ended December 31, 2020, the Board of Directors granted an aggregate of 316,000 RSUs to directors of the Company. Of these RSUs, 254,000 vest 12.5% on the date of grant and in twenty-one equal monthly installments thereafter and the remaining 62,000 RSUs vest 50% on the one year anniversary of the grant date and the remainder vest in 12 equal monthly installments thereafter. The grant date fair value of these RSUs was $9,480.

 

Awards to Others

 

During the year ended December 31, 2019, the Board of Directors granted of 5,245 RSUs to a consultant. The RSUs were granted under the Company’s 2017 Equity Incentive Plan. The RSUs vested in five equal installments of 1,049 units on the 15th and 30th of each month, beginning on October 30, 2019. The grant date fair value of this RSU was $36.

 

During the year December 31, 2020, Board of Directors granted an aggregate of 163,325 RSUs to employees of the Company. These RSUs will vest 25% on each of the first, second, third and fourth year anniversaries of the date of grant. The grant date fair value of these RSUs was $4,887.

 

Following is a summary of restricted stock unit activities for the year ended December 31, 2020:

 

  Restricted Stock Units  Weighted
Average Grant
Date Fair Value
 
Non-vested 1/1/2020  -  $- 
Granted  479,325   29.97 
Forfeited  (56,375)  30.00 
Vested  (148,334)  30.00 
Non-vested 12/31/2020  274,616  $29.95 

 

F-27

 

 

Protara Therapeutics, Inc. and Consolidated Subsidiaries

Notes to Consolidated Financial Statements

(amounts in thousands, except share and per share data)

 

NOTE 9 – STOCK-BASED COMPENSATION (Continued)

 

Restricted Stock Units (Continued)

 

The fair value of restricted stock units is amortized on a straight line basis over the requisite service periods of the respective awards. As of December 31, 2020, the unamortized value of RSUs was $6,299. As of December 31, 2020, the weighted average remaining amortization period was 1.81 years. As of December 31, 2020 and 2019, 132,709 and 5,245 RSUs, respectively, have vested that have not yet been settled into shares of the Company’s Common Stock.

 

During the year ended December 31, 2020, the Company issued 20,870 shares of Common Stock from the settlement of RSUs.

 

Restricted Stock Units Modification

 

On July 23, 2020, the Company agreed to accelerate the vesting of 5,687 RSUs of a former executive. The Company recorded a charge of $152 during the year ended December 31, 2020 to research and development expense within the Company’s consolidated statements of operations in connection with the modification of this award.

 

Stock Option Grants

 

Options to Directors

 

During the year ended December 31, 2019, the Board of Directors granted options for the purchase of 47,114 shares of the Company’s common stock to members of the board of directors. These options were granted under the Company’s 2017 Equity Incentive Plan, had an exercise price of $9.18 per share and a term of 10 years. These options vest ratably over approximately four years. The options had a grant date fair value of $317.

 

During the year ended December 31, 2020, the Board of Directors granted options for the purchase of 80,250 shares of the Company’s common stock to members of the board of directors. These options were granted under the Company’s 2014 Equity Incentive Plan, had an exercise price ranging from $26.70 to $35.00 per share and a term of 10 years. These options vest ratably over approximately one year. The options had a grant date fair value of $1,903.

 

Options to Employees

 

During the year ended December 31, 2019, the Board of Directors granted options for the purchase of 50,549 shares of the Company’s common stock to employees of the Company. These options were granted under the Company’s 2017 Equity Incentive Plan, had an exercise price of $9.18 per share and a term of 10 years. These options vest ratably over approximately four years. The options had a grant date fair value of $322.

 

During the year ended December 31, 2020, the Board of Directors granted options for the purchase of 484,850 shares of the Company’s common stock to employees of the Company. These options were granted under the Company’s 2014 Equity Incentive Plan, had an exercise price ranging from $17.84 to $51.12 per share and a term of 10 years. These options vest ratably over approximately four years. The options had a grant date fair value of $10,867.

 

F-28

 

 

Protara Therapeutics, Inc. and Consolidated Subsidiaries

Notes to Consolidated Financial Statements

(amounts in thousands, except share and per share data)

 

NOTE 9 – STOCK-BASED COMPENSATION (Continued)

 

Stock Option Modifications

 

Effective July 20, 2020, a former director notified the Company of his resignation from the Company’s Board of Directors. In connection with his resignation, the Compensation Committee approved the accelerated vesting of all stock options issued to him prior to the Merger, and to extend the post-termination exercise period of vested options to 12 months from the date of resignation. Due to the modification of his options, the Company recorded the incremental value of $501 during the year ended December 31, 2020 to general and administrative expense within the Company’s consolidated statements of operations.

 

Stock Options

 

The Company determined the fair value of stock options granted based upon the assumptions as provided below.

 

  For the Years Ended
December 31,
  2020 2019
Stock price $ 17.84 - $ 51.12 $ 6.81 - $ 8.65
Exercise price $ 17.84 - $ 51.12 $ 9.18
Dividend yield 0.00% 0.00%
Expected volatility 95.00% - 101.00% 97.00%
Risk-free interest rate 0.28% - 1.69% 1.71% - 2.37%
Expected life (in years) 5.27 - 6.08 5.58 - 6.02

 

Following is a summary of stock option activities for the year ended December 31, 2020:

 

  Options  Weighted Average Grant Date Fair Value  Weighted Average Exercise Price  Weighted Average Remaining Contractual Term (years)  Aggregate Intrinsic Value 
Outstanding 1/1/2020  219,592  $7.29  $9.18   9.72  $- 
Granted  565,100   22.61   29.23   -   - 
Exercised  (57,767)  6.72   9.18   -   - 
Forfeited  (52,886)  14.08   18.91   -   - 
Outstanding 12/31/2020  674,039  $20.60  $25.23   9.06  $2,311 
                     
Exercisable as of 12/31/2020  109,117  $11.44  $15.63   8.25  $1,201 

 

The weighted average grant date fair value of the options granted during the year ended December 31, 2019 was $6.55 per share. The fair value of stock options is amortized on a straight line basis over the requisite service periods of the respective awards. As of December 31, 2020, the unamortized value of stock options was $9,973. As of December 31, 2020, the weighted average remaining amortization period was 3.00 years.

 

F-29

 

 

Protara Therapeutics, Inc. and Consolidated Subsidiaries

Notes to Consolidated Financial Statements

(amounts in thousands, except share and per share data)

 

NOTE 9 – STOCK-BASED COMPENSATION (Continued)

 

Summary of Stock-Based Compensation Expense

 

The following tables summarize total stock-based compensation costs recognized:

 

  For the Years Ended
December 31,
 
  2020  2019 
Restricted stock $-  $75 
RSUs  6,357   36 
Stock options  3,389   313 
Total $9,746  $424 

 

Stock-based compensation expense was reflected within the statements of operations as:

 

  For the Years Ended
December 31,
 
  2020  2019 
Research and development $741  $200 
General and administrative  9,005   224 
Total $9,746  $424 

 

NOTE 10 – INCOME TAXES

 

Federal and State income tax expense is as follows:

 

  For the Years Ended
December 31,
 
  2020  2019 
Current      
Federal $-  $- 
State  -   - 
Total current  -   - 
Deferred        
Federal  (6,211)  (1,614)
State  (2,439)  (930)
Total deferred  (8,650)  (2,544)
Change in valuation allowance  8,650   2,544 
Total income tax expense (benefit) $-  $- 

 

F-30

 

 

Protara Therapeutics, Inc. and Consolidated Subsidiaries

Notes to Consolidated Financial Statements

(amounts in thousands, except share and per share data)

 

NOTE 10 – INCOME TAXES (Continued)

 

Deferred income taxes, if applicable, are provided for the differences between the basis of assets and liabilities for financial reporting and income tax purposes.

 

The tax effects of temporary differences that give rise to significant portions of the deferred tax assets are as follows:

 

  As of
December 31,
 
  2020  2019 
Deferred tax assets:      
Net operating loss carry forwards $19,371  $3,806 
Organization costs/legal fees  8   9 
Stock option expense  443   111 
Research and development credits  70   - 
Operating lease liability  330   - 
Restricted stock expense  -   238 
RSU expense  1,796   12 
Charitable contributions  2   2 
Total deferred tax assets  22,020   4,178 
Valuation allowance  (21,698)  (4,176)
Deferred tax assets, net of valuation allowance  322   2 
Deferred tax liabilities:        
Operating right-of-use asset  (322)  - 
Depreciation  -   (2)
Total deferred tax liabilities  (322)  (2)
Deferred tax assets, net of valuation allowance and deferred tax liabilities $-  $- 

 

A reconciliation of the provision for income taxes with the amounts computed by applying the statutory Federal income tax to income before provision for income taxes is as follows:

 

  For the Years Ended
December 31,
 
  2020  2019 
U.S. federal statutory rate  (21.0)%  (21.0)%
State taxes, net of federal benefit  (9.4)%  (12.1)%
Option expense  1.2%  0.5%
Other  1.9%  0.1%
True-up to prior years return  1.8%  -%
Change in valuation allowance  25.5%  32.5%
Effective tax rate  -%  -%

 

F-31

 

 

Protara Therapeutics, Inc. and Consolidated Subsidiaries

Notes to Consolidated Financial Statements

(amounts in thousands, except share and per share data)

 

NOTE 10 – INCOME TAXES (Continued)

 

As of December 31, 2020 for U.S. federal and state income tax reporting purposes, the Company has approximately $63.7 million of unused net operating losses (“NOLs”) available for carry forward to future years. The 2018 - 2020 federal NOLs may be carried forward indefinitely. The Company does not have the ability to carry any of these losses back. The New York state and city NOLs may be carried forward through the year 2040 and may be applied against future taxable income. Because United States tax laws limit the time during which NOL carry forwards may be applied against future taxable income, the Company may be unable to take full advantage of its NOLs for federal and state income tax purposes when the Company does generate taxable income. Further, the benefit from utilization of NOL carry forwards could be subject to limitations due to material ownership changes that could occur as the Company continues to issue additional shares of common stock pursuant to its capital raising plans. Based on such limitations, the Company has significant NOLs for which realization of tax benefits is uncertain.

 

On January 9, 2020, the Company completed the Merger. In connection with the Merger, the Company acquired NOL’s from Proteon of $41.6 million. These NOLs were determined to be impaired by $12.4 million, with an annual limitation of $0.5 million on the remaining $29.2 million of NOLs. The general business credits of $3.6 million acquired in the merger were determined to be fully impaired.

 

As a result of the Merger, the company performed a study to review the application of IRC §382 to the Company. It was determined there was an ownership change as of January 9, 2020 and the Company’s NOLs generated prior to January 9, 2020 would be limited. The annual limitation of the Company’s NOL’s after application of the IRC §382 are $1.4 million.

 

The Company remains subject to examination by tax authorities for tax years 2018 through 2020. The Company has identified its federal tax return and its state tax return in New York state and New York City as its “major” tax jurisdictions.

 

Based on a history of cumulative losses at the Company and the results of operations for the years ended December 31, 2020 and 2019, the Company determined that it is more likely than not that it will not realize benefits from the net deferred tax assets. The Company will not record income tax benefits in the financial statements until it is determined that it is more likely than not that the Company will generate sufficient taxable income to realize the deferred income tax assets. As a result of the analysis, the Company determined that a full valuation allowance against the deferred tax assets was required. As of December 31, 2020 and 2019, the Company has recorded a valuation allowance of $21.7 million and $4.2 million, respectively.

 

As of December 31, 2020 and 2019, management does not believe that the Company has any material uncertain tax positions that would require it to measure and reflect the potential lack of sustainability of a position on audit in its consolidated financial statements. The Company will continue to evaluate its uncertain tax positions in future periods to determine if measurement and recognition in its financial statements is necessary. The Company does not believe there will be any material changes in its unrecognized tax positions over the next year.

 

F-32

 

 

Protara Therapeutics, Inc. and Consolidated Subsidiaries

Notes to Consolidated Financial Statements

(amounts in thousands, except share and per share data)

 

NOTE 11 – EMPLOYEE BENEFIT PLAN

 

The Company maintains a defined contribution benefit plan under section 401(k) of the Internal Revenue Code covering substantially all qualified employees of the Company (the “401(k) Plan”). Under the 401(k) Plan, the Company matches 100% up to a 4% contribution. The 401(k) Plan was implemented in June of 2020. For the year ended December 31, 2020, the Company recorded expense of $69 under the 401(k) Plan.

 

NOTE 12 – COVID-19

 

The ultimate impact of the current COVID-19 pandemic or a similar health epidemic is highly uncertain and subject to change. The Company has experienced minimal delays, but may experience future delays that impact its business, research and development activities, healthcare systems and the global economy as a whole. However, the Company will continue to monitor the COVID-19 situation closely should the effects have a material impact on its operations, liquidity and capital resources.

 

In response to public health directives and orders, the Company has implemented work-from-home policies for its employees and temporarily modified its operations to comply with applicable social distancing recommendations. Similar health directives and orders are affecting third parties with whom the Company does business, including the third parties that the Company has contracted with to conduct studies for TARA-002. The effects of the orders and the Company’s related adjustments in its business are likely to negatively impact productivity, disrupt the Company’s business and delay its timelines, the magnitude of which will depend, in part, on the length and severity of the restrictions and other limitations on the Company’s ability to conduct its business in the ordinary course.

 

Severe and/or long-term disruptions in the Company’s operations will negatively impact its business, operating results and financial condition in other ways, as well. Specifically, the Company anticipates that the stress of COVID-19 on healthcare systems around the globe will negatively impact its ability to conduct clinical trials in the near term due primarily to the lack of resources at clinical trial sites and the resulting inability to enroll patients in the trials. The Company also anticipates that the global impact of COVID-19 will negatively impact its ability to conduct nonclinical studies due primarily to laboratory closures and limited availability of personnel. In addition, while the potential economic impact brought by, and the duration of, COVID-19 may be difficult to assess or predict, it has significantly disrupted global financial markets, and may limit the Company’s ability to access capital, which could in the future negatively affect its liquidity. A recession or market correction resulting from the spread of COVID-19 could materially affect the Company’s business and the value of its Common Stock.

 

 

F-33